1/29
Looks like no tags are added yet.
Name | Mastery | Learn | Test | Matching | Spaced |
|---|
No study sessions yet.

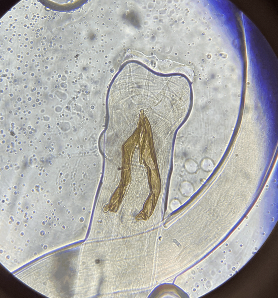
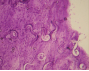
Trichinella in muscle

Trichuris

Male or female
Trichuris male

Male or female
Trichuris female

Trichuris egg

Capillaria egg
Oxyurida genera
Oxyuris, Passalurus, Enterobius

Oxyurida egg

Microfilaria

Ascaris eggs

Ascaris eggs

Toxocara eggs

Anisakis L3

Male or female
Heterakis male

Male or female
Heterakis female

Male or female
Ostertagia male

Male or female
Ostertagia female

Male or female
Haemonchus male

Male or female
Haemonchus female

Male or female
Nematodirus male

Male or female
Trichostrongylus male

Male or female
Ancylostoma male

Male or female
Oesophagostomum male

Male or female
Oesophagostomum female

Male or female
Ascarops male

Male or female
Chabertia male

Aelurostrongylus

Ascaris suum

Dirofilaria immitis

Toxocara