1/82
Looks like no tags are added yet.
Name | Mastery | Learn | Test | Matching | Spaced | Call with Kai |
|---|
No analytics yet
Send a link to your students to track their progress
Convex profile
What profile does this patient have?

Yes
Is the patient symmetric?

Yes
Does she have lip competence?
(Translation: do her lips comfortably touch at rest?)

Yes
Does she have a consonant smile?

Class II, Division 2
What type of malocclusion does she have?

No
Does she have transverse discrepancy?
(Translation: does she have a posterior or buccal crossbite?)

Over-eruption of incisors and/or the under-eruption of the posterior teeth
What could have caused her deep overbite?

They would flare/labialize
If you were to align the maxillary teeth, what would happen to the maxillary incisors?

Straight
Facial profile?

Fairly symmetric (within the range of normal)
Is the patient symmetric?

No
Does she have procumbent lips?
(Translation: are her lips sticking out?)

No
Does she have a consonant smile?

Class I malocclusion
What type of malocclusion does she have?

No
(but she does have a sagittal discrepancy, i.e. an anterior crossbite)
Does she have any transverse discrepancy?

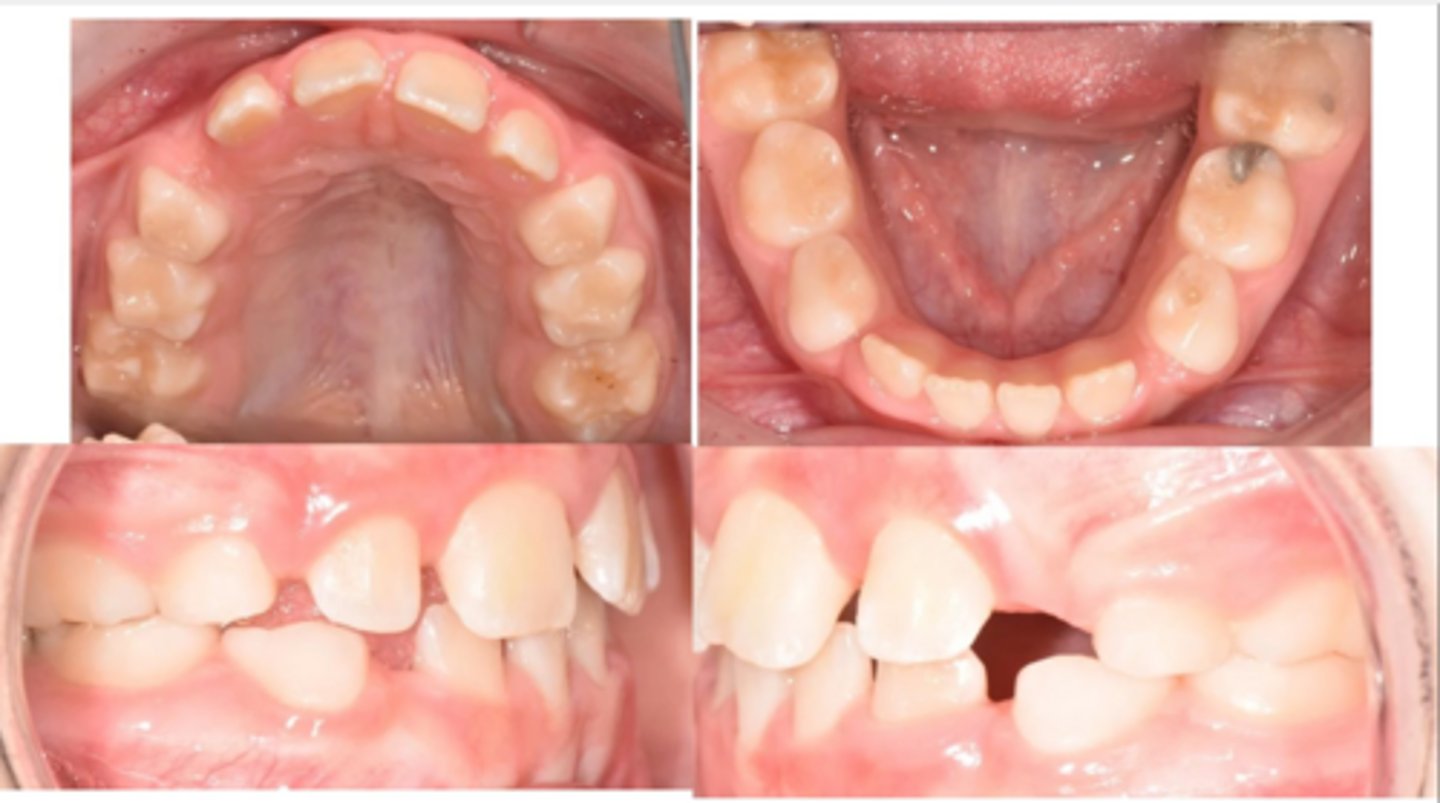
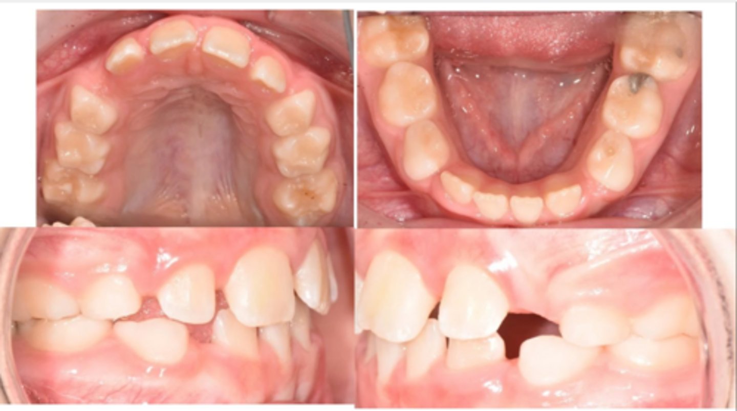
Severe crowding
Does she have crowding? If she does, how would you describe it?

Class II, Subdivision Right
(On the left, she is Class I. On the right, she is Class II. "Class II, Subdivision Right" describes this.)
What type of malocclusion does this patient have?

Premature loss of a molar, which might have caused the shift on just the one side
What might have caused her malocclusion?

Convex
Facial profile?

No
She is not a Class I molar relation, and she only has 4 mm of crowding
There is a procedure called "serial extraction," which is done if the patient has more than 8 mm of crowding and is Class I molar relation. Let's say we do a mixed dentition analysis and find that this patient has 4 mm of crowding.
Should we do serial extraction on her?

Straight
Facial profile?

Class III
What type of malocclusion does this patient have?

No
Is there a transverse discrepancy?

No
Is there a vertical discrepancy?

Straight
Facial profile?

Class III
What kind of malocclusion does this patient have?

Yes
On the canines
Is there a transverse discrepancy?

The maxillary primary canines are constricted
What is the etiology of this patient's malocclusion?

Mesial step --> most likely will become Class III
What terminal plane does this patient have, and what kind of malocclusion will it become?

Class I
What kind of dental maocclusion does this patient have?

Serial extraction
The patient does not have congenitally missing teeth and has 9 mm of crowding. He has Class I molar relation. What is the tx?

Distal step --> will likely become Class II
What terminal plane does this patient have, and what kind of malocclusion will it become?

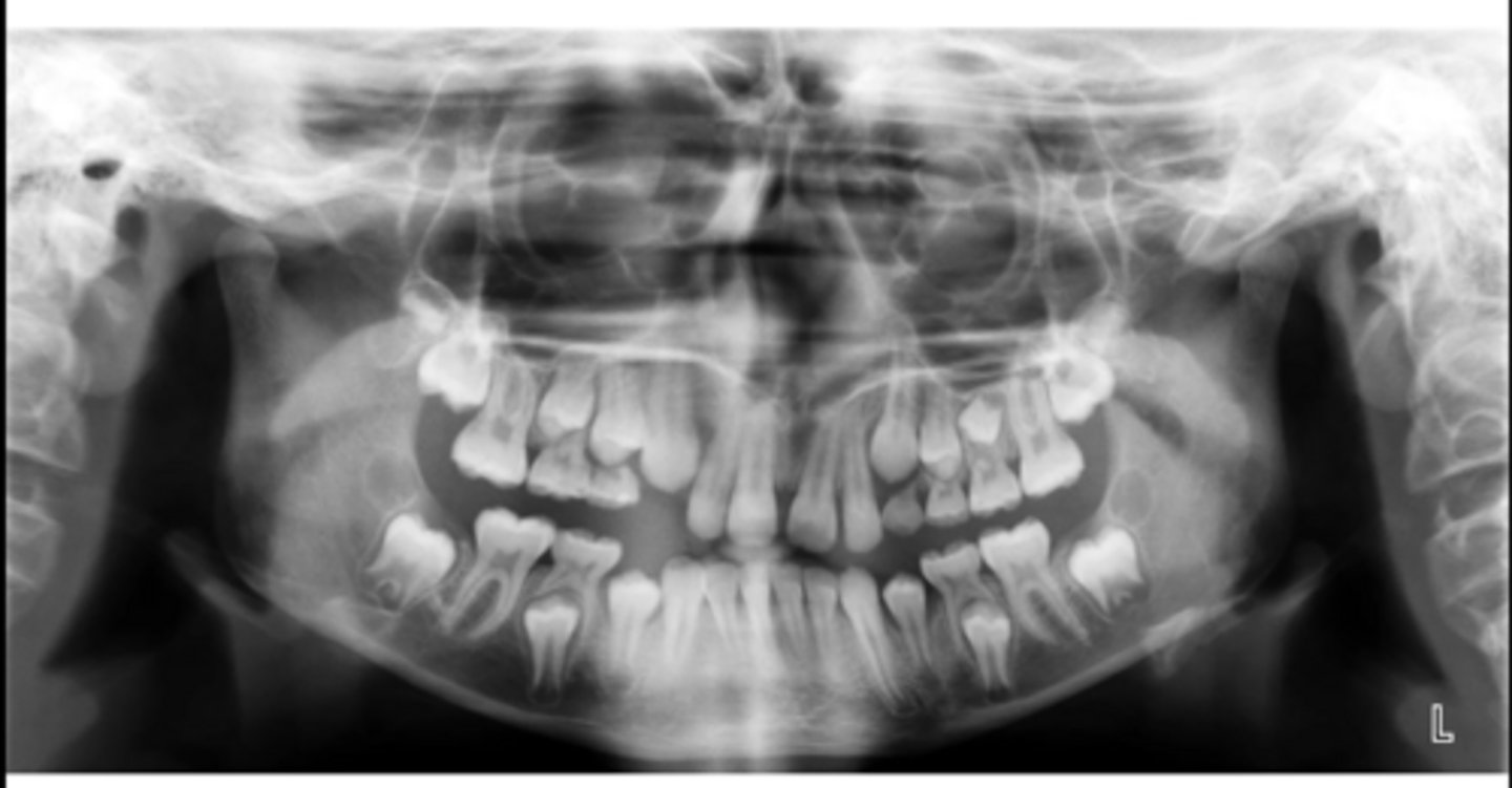
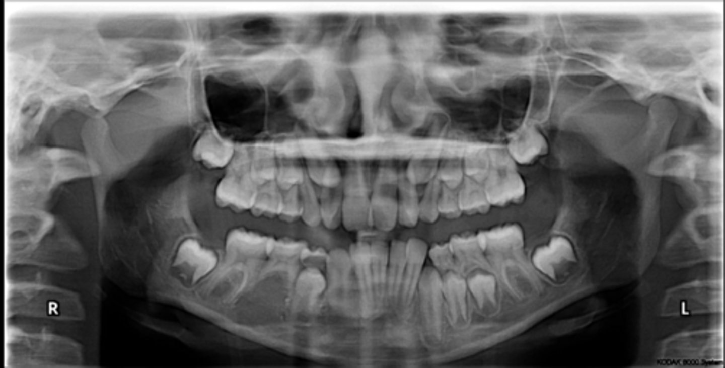
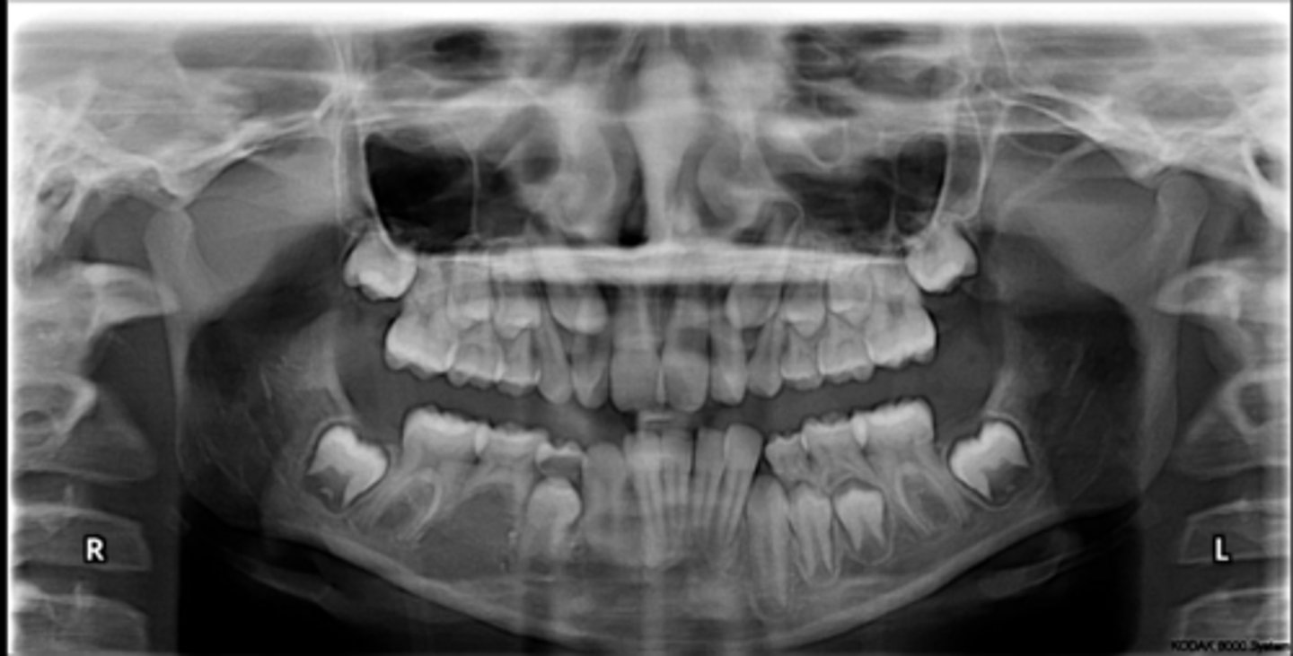
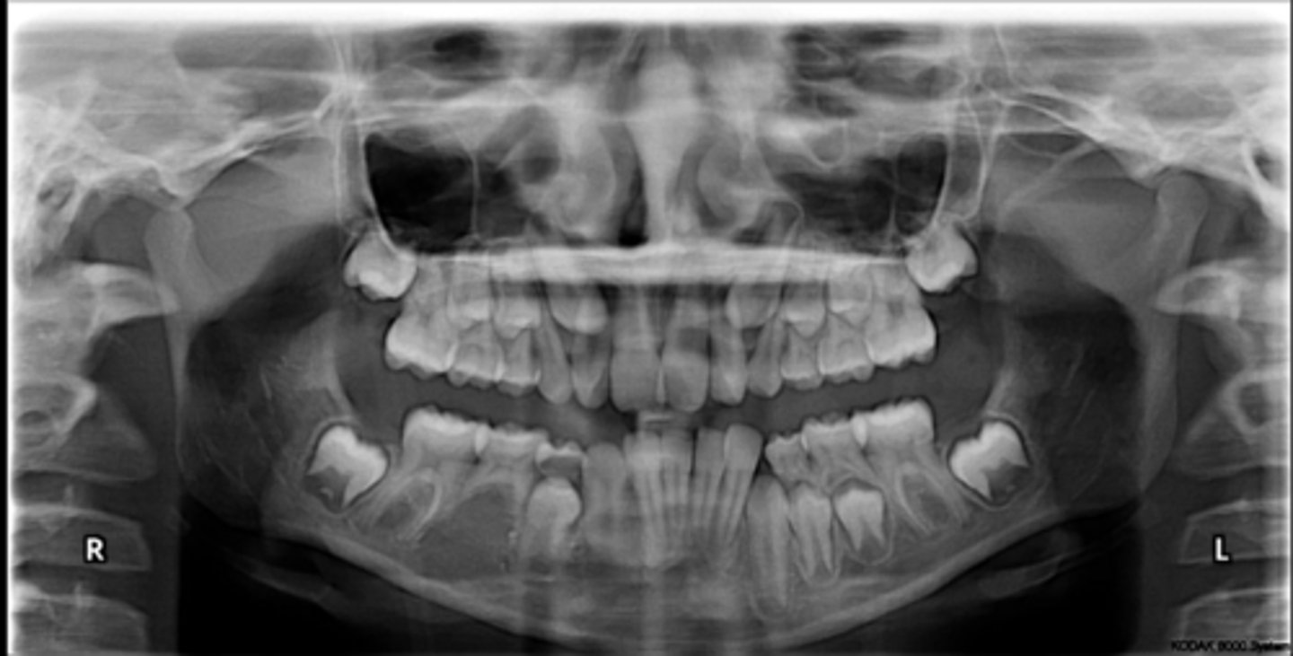
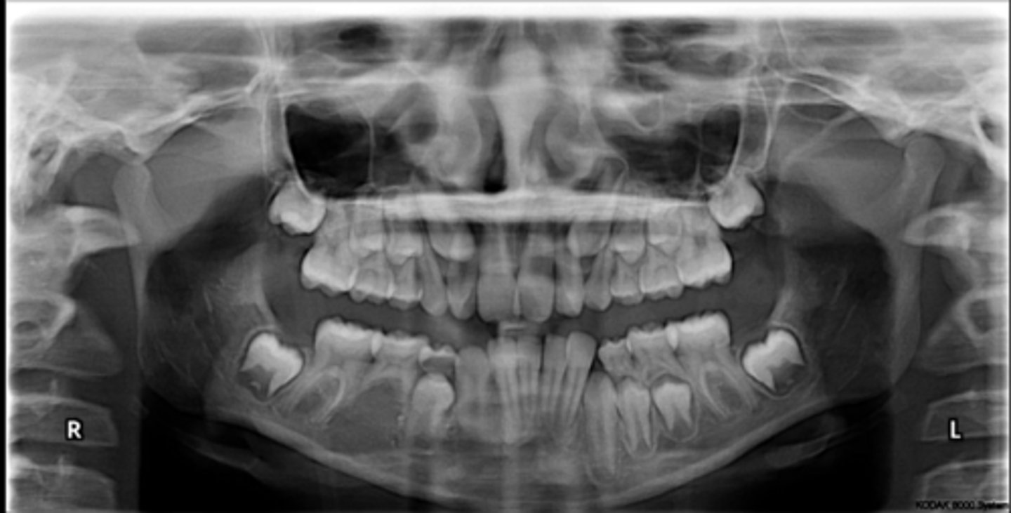
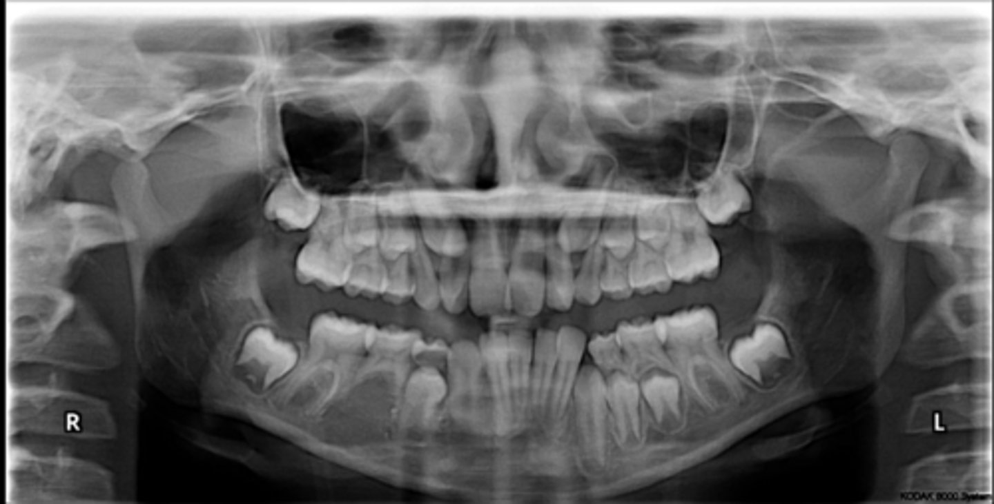
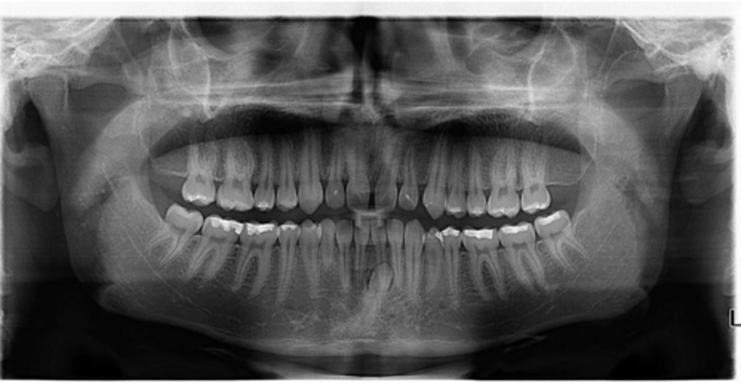
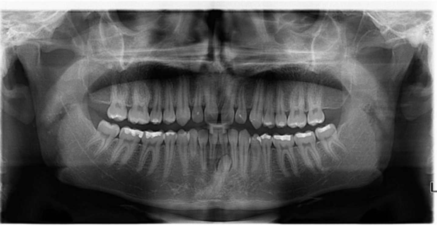
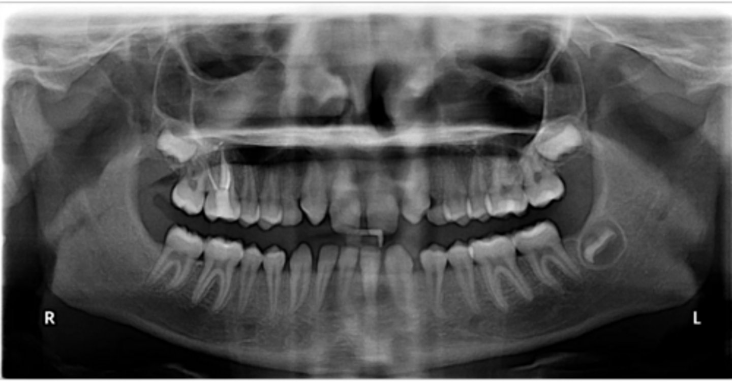
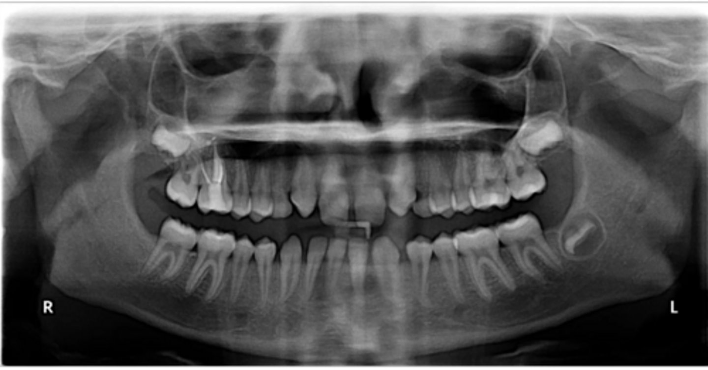
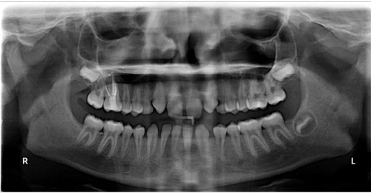
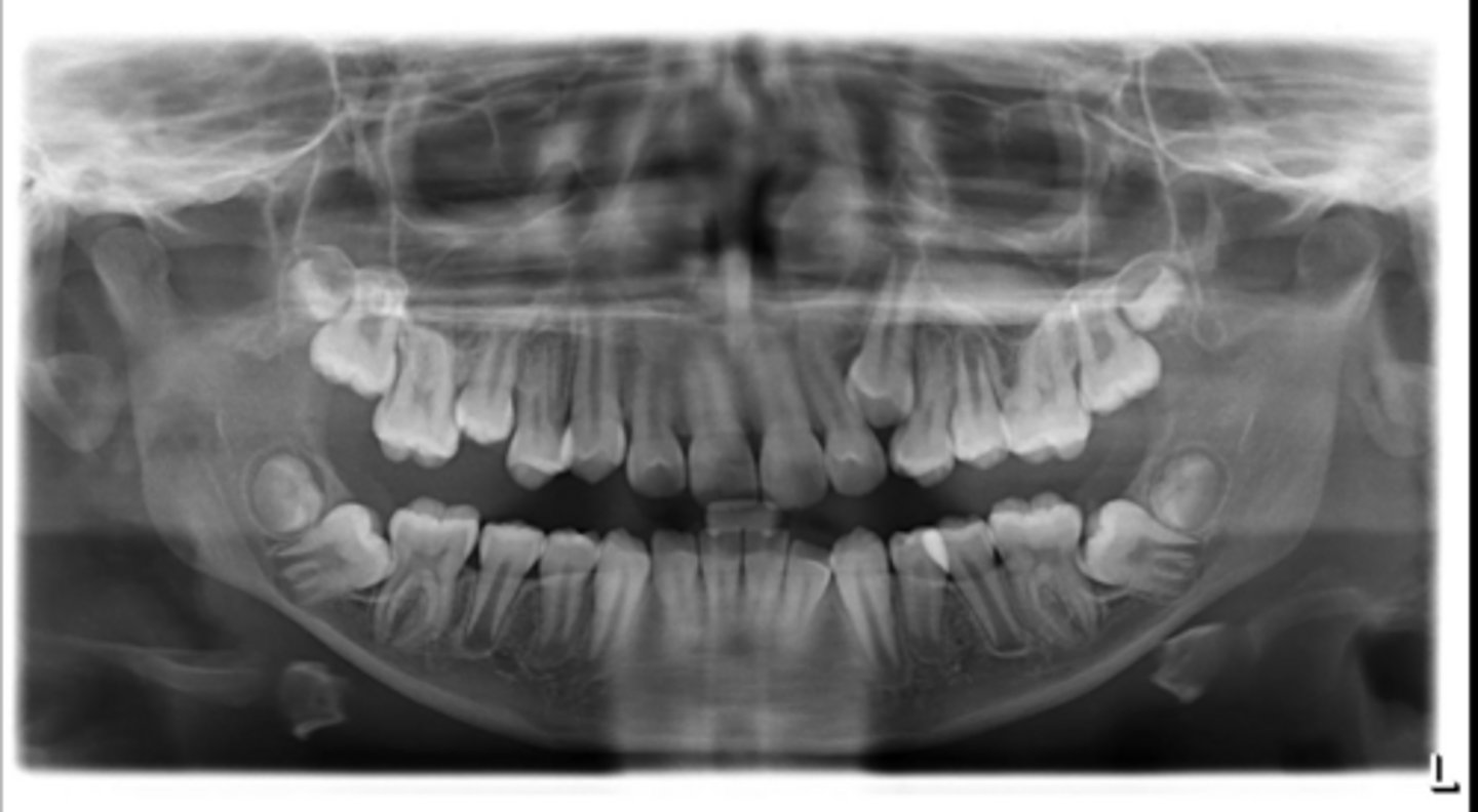
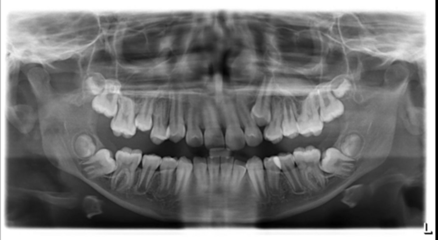
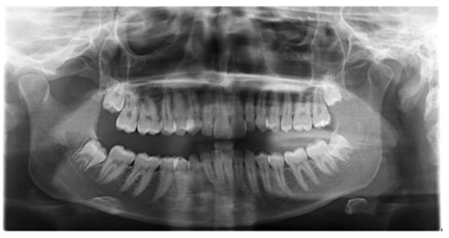
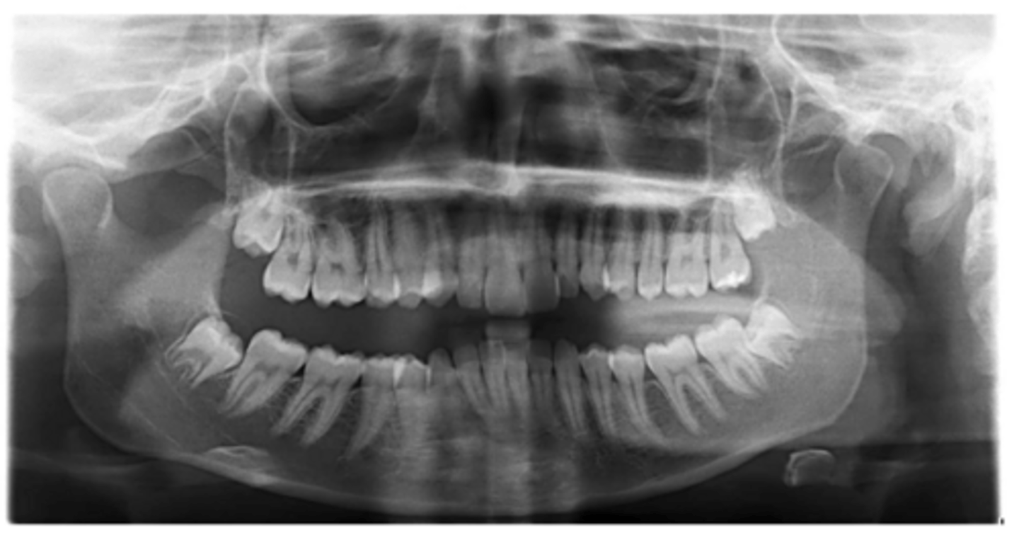
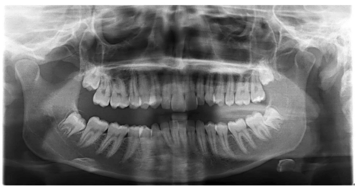
Premolar #13 (unerupted in pano) is more tilted than the opposing side (#4), which indicates an ectopic eruption pattern.
(Primary teeth w/o resorbing roots is also present)
What abnormalities/concerns do you see in this pano?

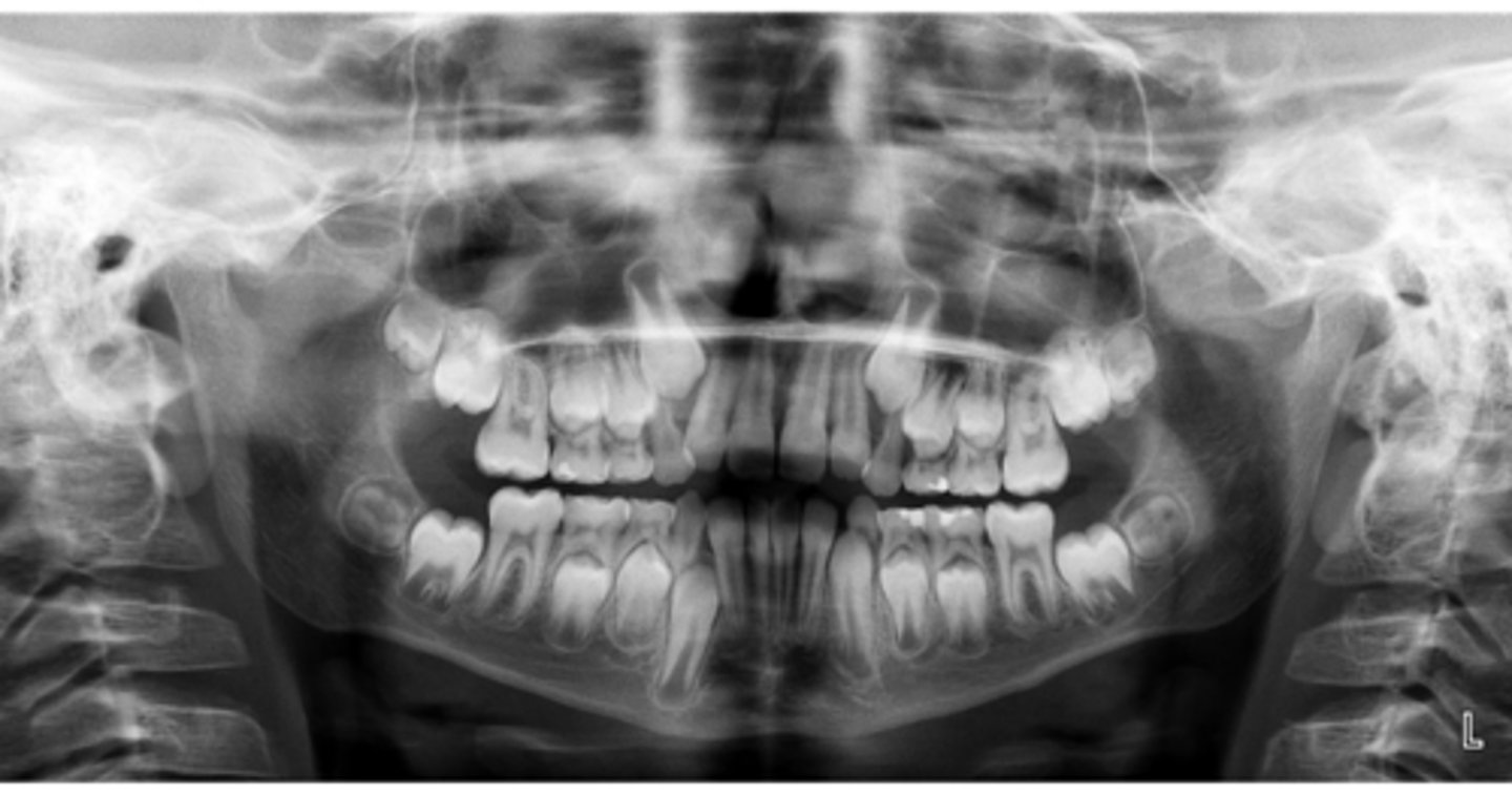
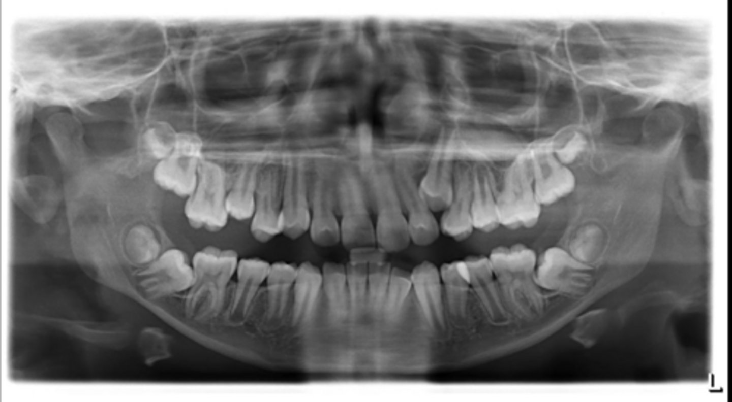
Third molars and mandibular right second premolar
Are there any congenitally missing teeth in the maxillary arch?

#29 (mandibular right second premolar)
Are there any congenitally missing teeth in the mandibular arch?

mandibular right second molar
Are there any retained primary teeth?

maxillary canines
Are there any impacted teeth?

Yes
Is there crowding?

More or less
Are the condyles symmetrical?

Maybe?
Is there any pathology?

Yes
Are there any ankylosed primary teeth?

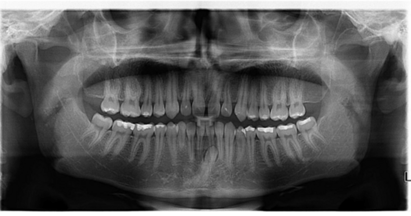
No, just one in an odd position
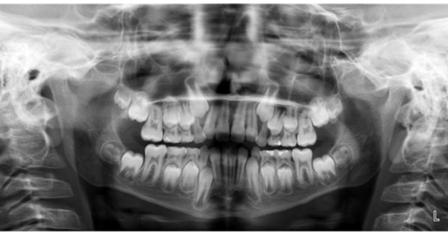
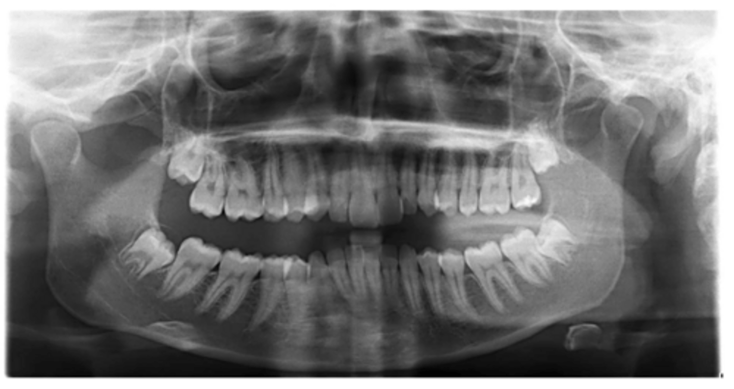
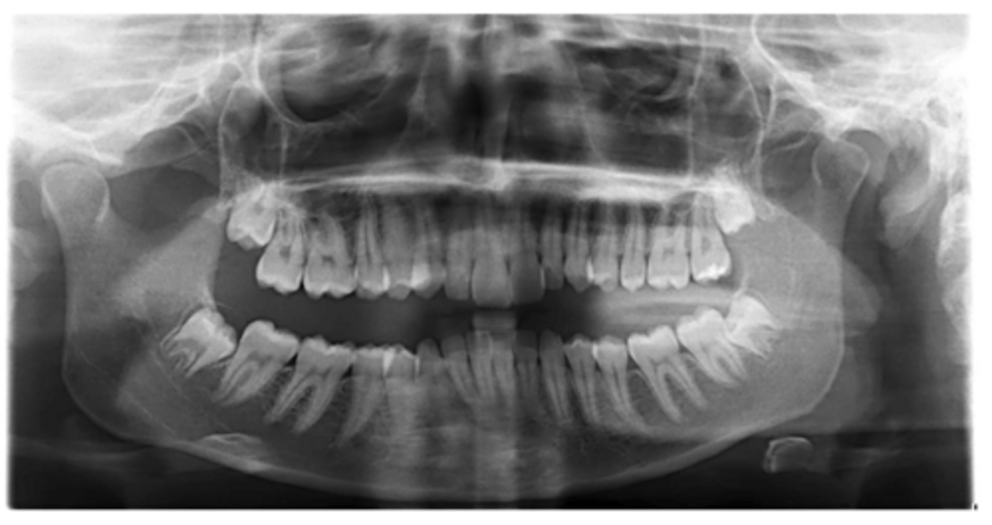
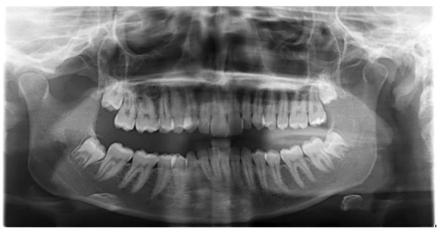
Is there any ectopic eruption?

No
Are there supernumerary teeth?

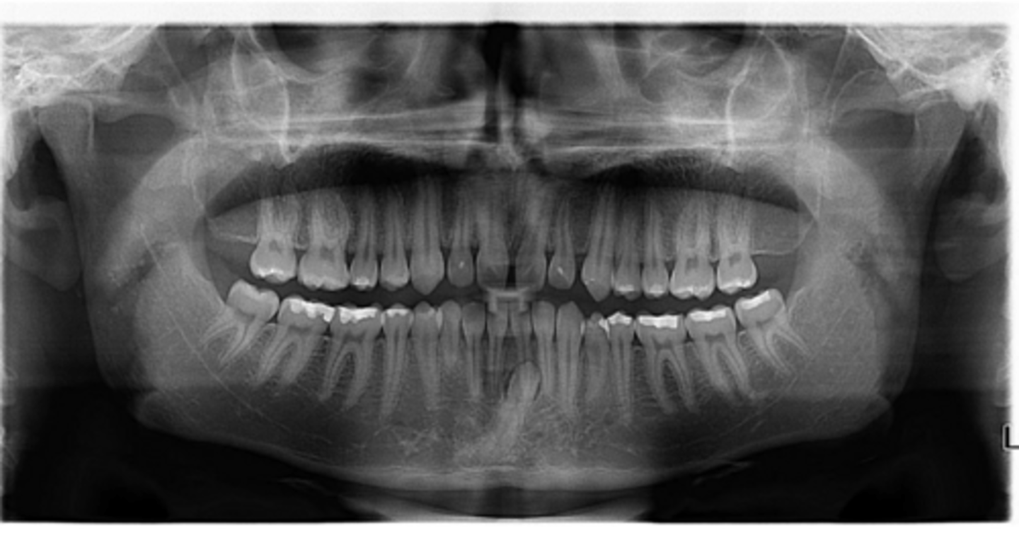
Right primary canine
Are there retained primary teeth?

Yes
Are there any impacted teeth?

Yes
Are the condyles symmetrical?

Yes
Is there a dilacerated root?

No
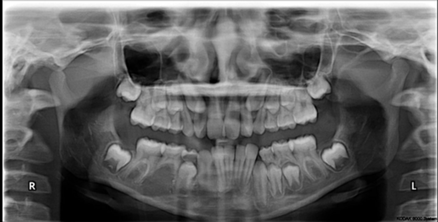
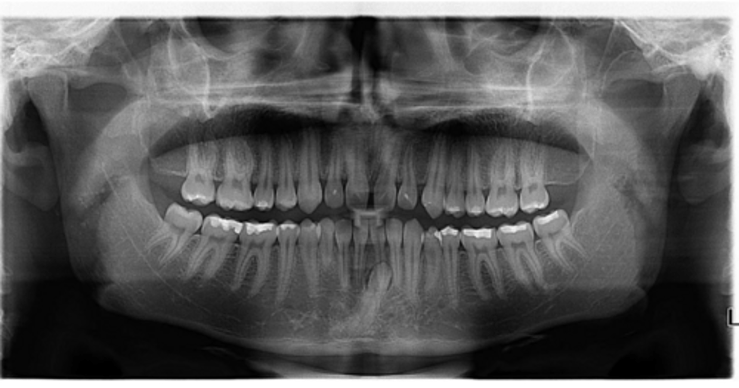
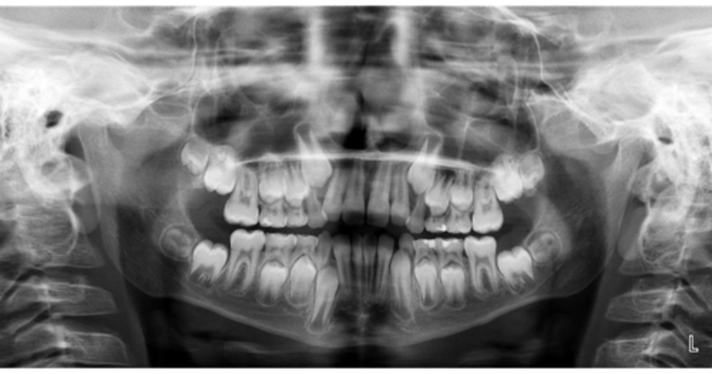
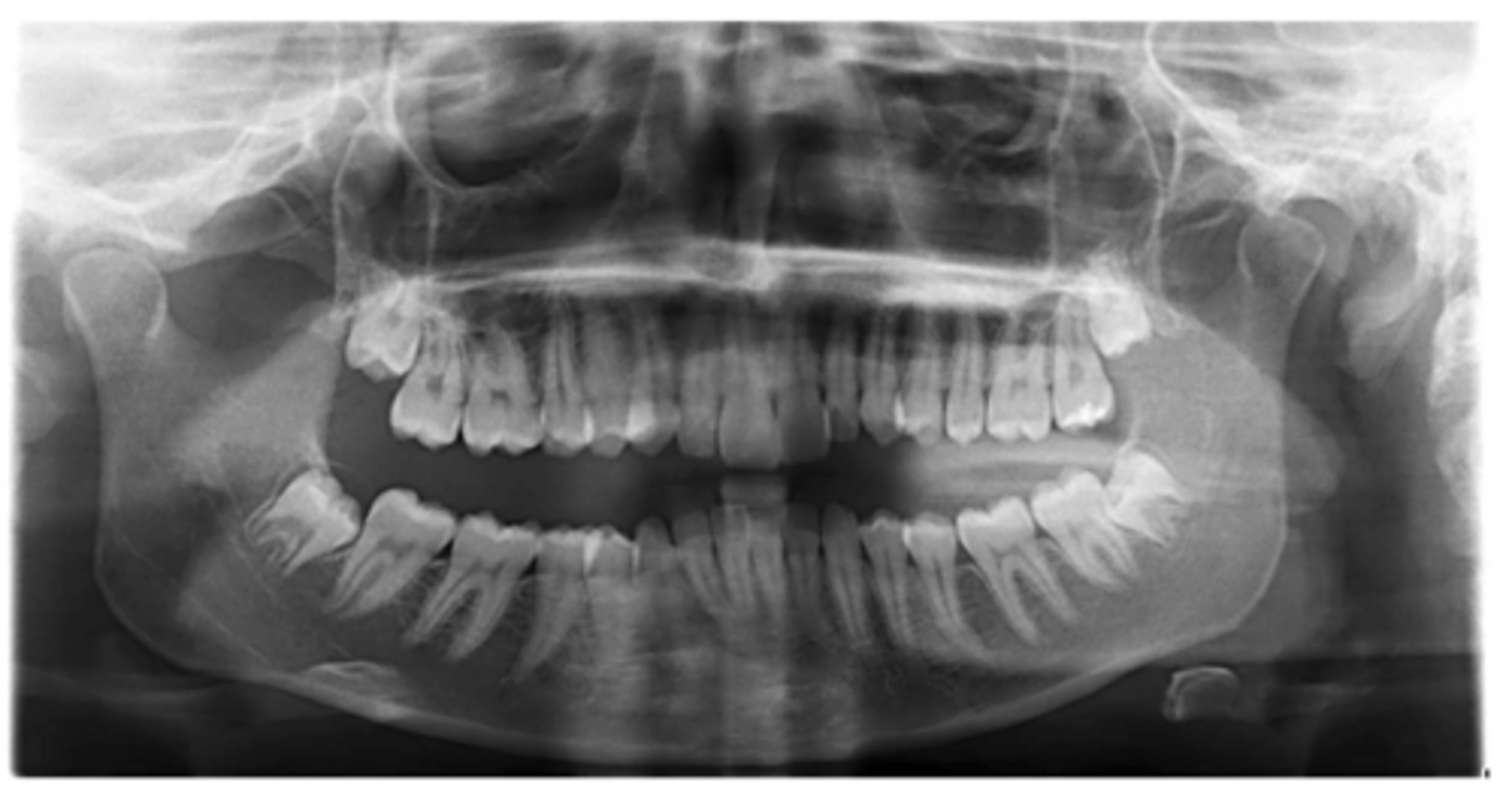
The mandibular left side has normal premolar/canine eruption, but the rigth side is abnormal.
Is the eruption pattern of this patient normal or not?

No
Are there any supernumerary teeth?

No
Are there any retained primary teeth?

Not at this stage
Are there impacted teeth?

Yes, within the range of normal
Symmetric condyles?

Yes - maxillary first molar
Dilacerated roots?

Yes - laterals
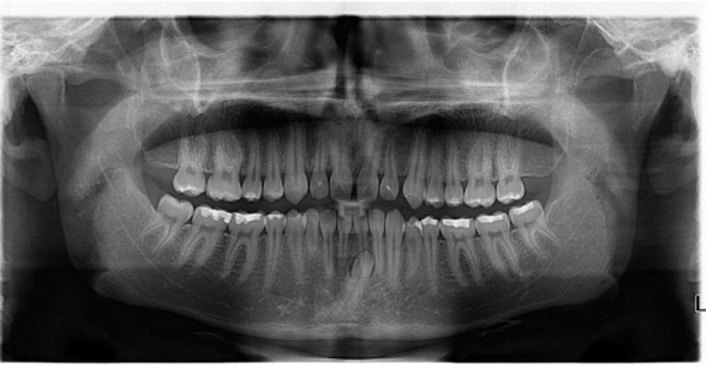
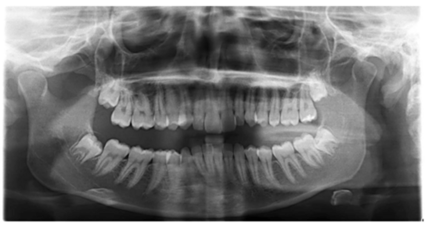
Are there congentially missing teeth in the maxillary arch?

Yes - an incisor
Are there congenitally missing teeth in the mandibular arch?
No
Are there any supernumerary teeth?

Yes - upper right near the premolar
Are there any retained primary teeth?

No
Any impacted teeth?

Can't see, so can't say
Symmetric condyles?

Yes - #2, also #27?
Dilacerated roots?

No
Are there congenitally missing teeth in the maxillary arch?

No
Are there congentially missing teeth in the mandibular arch?

No
Any supernumerary teeth?

Yes - mandibular second molars
Any impacted teeth?

Yes
Are the condyles symmetrical?

Maybe in the upper molars
Are there any dilacerated roots?

No
Are there congenitally missing teeth in the mandibular arch?

No
Are there congenitally missing teeth in the maxillary arch?

No
Are there any supernumerary teeth?

No
Are there retained primary teeth?

A little bit
Is there crowding?

Yes
Are the condyles symmetrical?

No
Is there any pathology?

Possibly #20
Are there any dilacerated roots?

Class II skeletal (very light)
What type of skeletal malocclusion is this patient?

Hypodivergent
Are the hyper-, hypo-, o normo- divergent?

proclined
Maxillary incisors are?

Class II
What type of skeletal malocclusion is this patient?

Hyperdivergent
Are the hyper-, hypo-, o normo- divergent?

Class I
What type of skeletal malocclusion is this patient?

Normodivergent
Are the hyper-, hypo-, o normo- divergent?

Class II
What type of skeletal malocclusion is this patient?

Hypodivergent
Are the hyper-, hypo-, o normo- divergent?

No
Are the maxillary incisors proclined/flared?
