1/18
Looks like no tags are added yet.
Name | Mastery | Learn | Test | Matching | Spaced | Call with Kai |
|---|
No analytics yet
Send a link to your students to track their progress

what kind of tissue is this?
hyaline cartilage

what kind of tissue is this?
elastic cartilege

what kind of tissue is this?
dense regular connective tissue

what kind of tissue is this?
blood

what kind of tissue is this?
areolar connective tissue

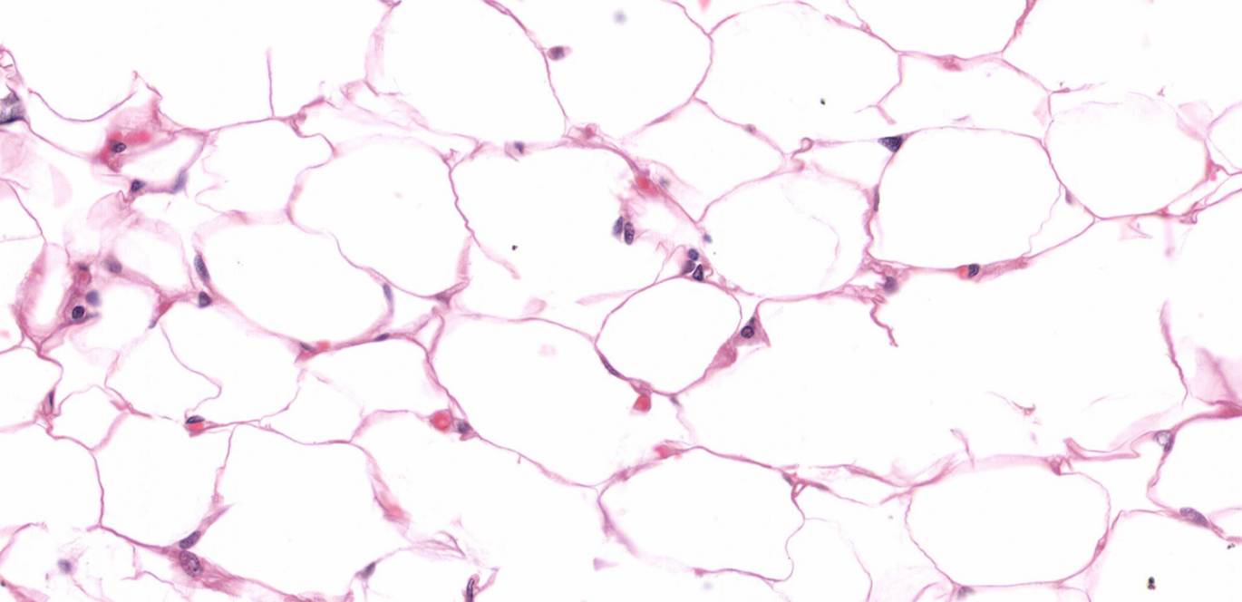
what kind of tissue is this?
adipose tissue

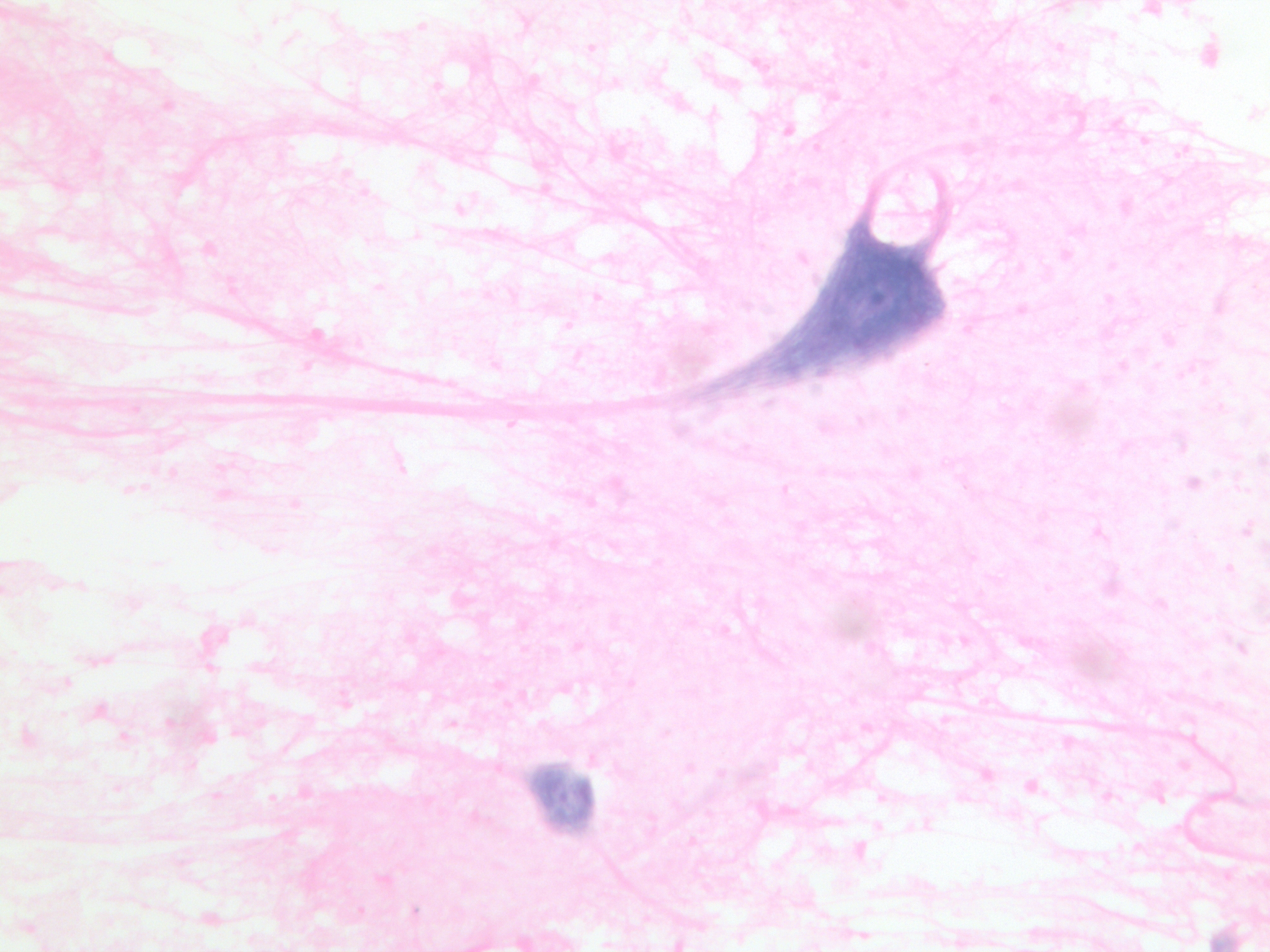
what kind of tissue is this?
nervous tissue

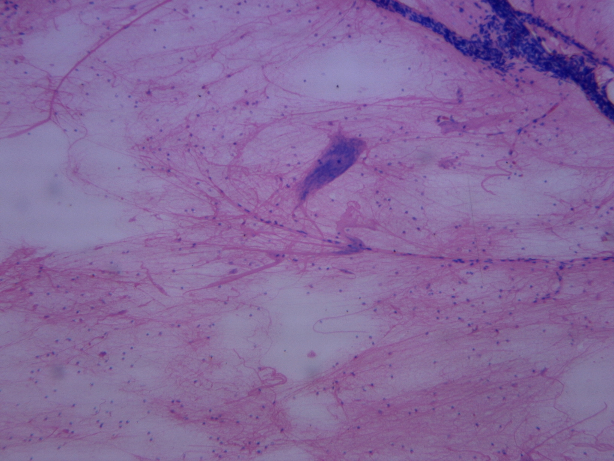
what kind of tissue is this?
nervous tissue

what kind of tissue is this?
nervous tissue

what kind of tissue is this?
stratified squamous epithelial

what kind of tissue is this?
stratified squamous epithelial

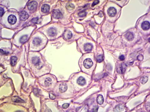
what kind of tissue is this?
simple cuboidal epithelial

what kind of tissue is this?
simple columnal epithelial

what kind of tissue is this?
simple columnal epithelial

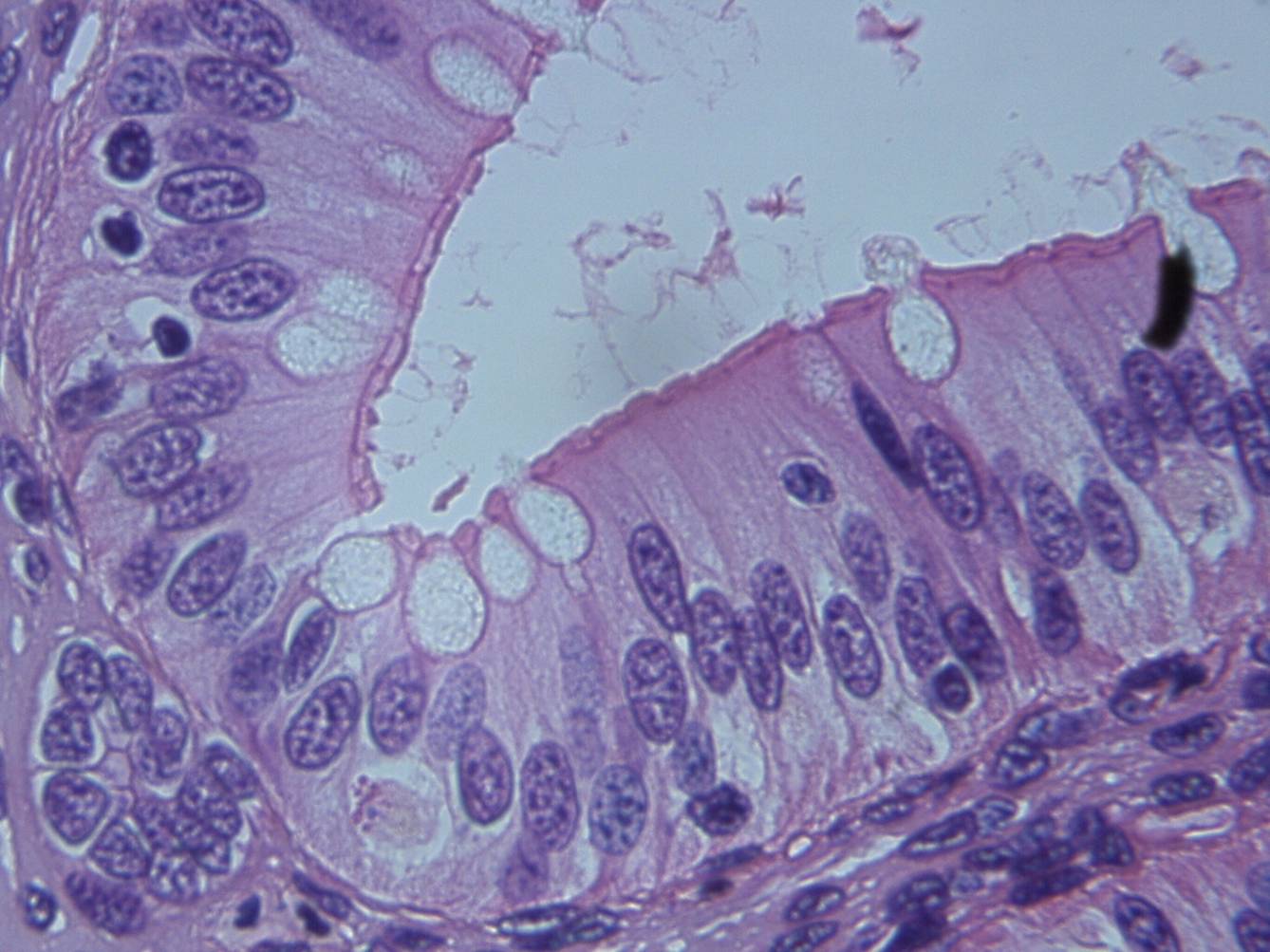
what kind of tissue is this?
pseudostratified ciliated columnar epithelia

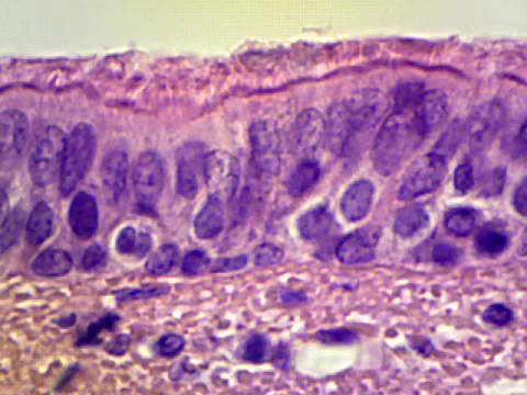
what kind of tissue is this?
pseudostratified ciliated columnar epithelia

what kind of tissue is this?
smooth muscle

what kind of tissue is this?
smooth muscle

what kind of tissue is this?
skeletal muscle