1/45
Looks like no tags are added yet.
Name | Mastery | Learn | Test | Matching | Spaced | Call with Kai |
|---|
No analytics yet
Send a link to your students to track their progress

Kingdom?
Phylum?
Class?
Subclass?
Order?
Family?
Species/Stage?
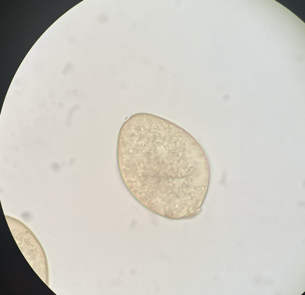
Kingdom: Animalia
Phylum: Platyhelminthes
Class: Trematoda
Subclass: Digenea
Order: Echinostomiformes
Family: Fasciolidae
Species/Stage: Fasciolopsis buski - adult

Kingdom?
Phylum?
Class?
Subclass?
Order?
Family?
Species/Stage?
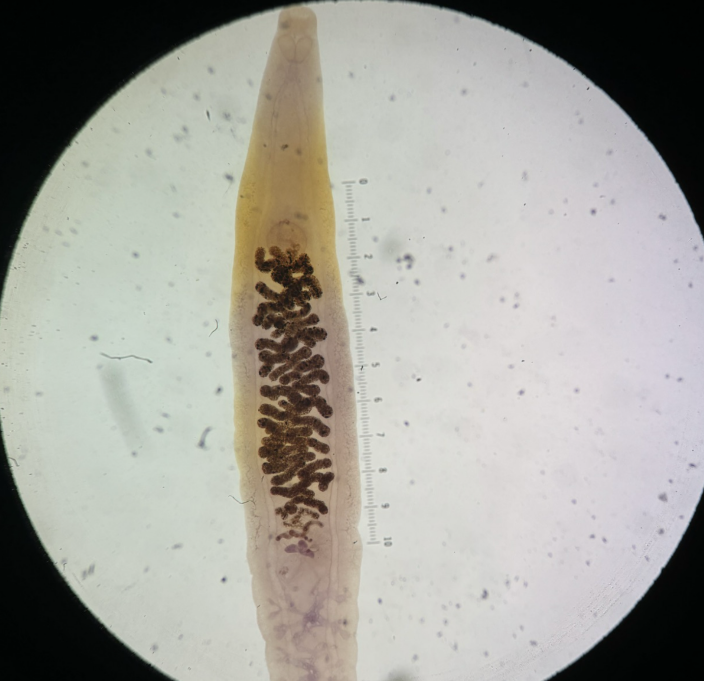
Kingdom: Animalia
Phylum: Platyhelminthes
Class: Trematoda
Subclass: Digenea
Order: Echinostomiformes
Family: Fasciolidae
Species/Stage: Fasciola hepatica - adult

Kingdom?
Phylum?
Class?
Subclass?
Order?
Family?
Species/Stage?
Kingdom: Animalia
Phylum: Platyhelminthes
Class: Trematoda
Subclass: Digenea
Order: Echinostomiformes
Family: Fasciolidae
Species/Stage: Fasciola hepatica - egg

Kingdom?
Phylum?
Class?
Subclass?
Order?
Family?
Species/Stage?
Kingdom: Animalia
Phylum: Platyhelminthes
Class: Trematoda
Subclass: Digenea
Order: Echinostomiformes
Family: Fasciolidae
Species/Stage: Fasciola hepatica - miracidium.
*recognize stage only

Kingdom?
Phylum?
Class?
Subclass?
Order?
Family?
Species/Stage?
Kingdom: Animalia
Phylum: Platyhelminthes
Class: Trematoda
Subclass: Digenea
Order: Echinostomiformes
Family: Fasciolidae
Species/Stage: Fasciola hepatica - redia
*recognize stage only

Kingdom?
Phylum?
Class?
Subclass?
Order?
Family?
Species/Stage?
Kingdom: Animalia
Phylum: Platyhelminthes
Class: Trematoda
Subclass: Digenea
Order: Echinostomiformes
Family: Fasciolidae
Species/ Stage: Fasciola hepatica - cercaria
*recognize stage only

Kingdom?
Phylum?
Class?
Subclass?
Order?
Family?
Species/Stage?
Kingdom: Animalia
Phylum: Platyhelminthes
Class: Trematoda
Subclass: Digenea
Order: Echinostomiformes
Family: Fasciolidae
Species/ Larval Stage: Fasciola hepatica - Metacercaria
*recognize stage only

Kingdom?
Phylum?
Class?
Subclass?
Order?
Family?
Species/Stage?
Kingdom: Animalia
Phylum: Platyhelminthes
Class: Trematoda
Subclass: Digenea
Order: Echinostomiformes
Family: Echinostomatidae
Species/Stage: Echinostoma revolutum - adult


Kingdom?
Phylum?
Class?
Subclass?
Order?
Family?
Species/Stage + Gender?
Kingdom: Animalia
Phylum: Platyhelminthes
Class: Trematoda
Subclass: Digenea
Order: Strigeiformes
Family: Schistosomatidae
Species/Stage: Schistosoma spp - adult male

Kingdom?
Phylum?
Class?
Subclass?
Order?
Family?
Species/Stage + Gender ?
Kingdom: Animalia
Phylum: Platyhelminthes
Class: Trematoda
Subclass: Digenea
Order: Strigeiformes
Family: Schistosomatidae
Species/Stage: Schistosoma spp - adult female

Kingdom?
Phylum?
Class?
Subclass?
Order?
Family?
Species/Stage?
Kingdom: Animalia
Phylum: Platyhelminthes
Class: Trematoda
Subclass: Digenea
Order: Strigeiformes
Family: Schistosomatidae
Schistosoma mansoni - sporocysts
*recognize stage only

Kingdom?
Phylum?
Class?
Subclass?
Order?
Family?
Species/Stage?
Kingdom: Animalia
Phylum: Platyhelminthes
Class: Trematoda
Subclass: Digenea
Order: Strigeiformes
Family: Schistosomatidae
Schistosoma mansoni - miracidium
*recognize stage only

Kingdom?
Phylum?
Class?
Subclass?
Order?
Family?
Species/Stage?
Kingdom: Animalia
Phylum: Platyhelminthes
Class: Trematoda
Subclass: Digenea
Order: Strigeiformes
Family: Schistosomatidae
Schistosoma mansoni - cercaria
*recognize stage only

Kingdom?
Phylum?
Class?
Subclass?
Order?
Family?
Species/Stage?
Kingdom: Animalia
Phylum: Platyhelminthes
Class: Trematoda
Subclass: Digenea
Order: Strigeiformes
Family: Schistosomatidae
Species/Stage: Schistosoma haematobium - egg


Kingdom?
Phylum?
Class?
Subclass?
Order?
Family?
Species/Stage?
Kingdom: Animalia
Phylum: Platyhelminthes
Class: Trematoda
Subclass: Digenea
Order: Strigeiformes
Family: Schistosomatidae
Species/Stage: Schistosoma japonicum -egg

Kingdom?
Phylum?
Class?
Subclass?
Order?
Family?
Species/Stage?
Kingdom: Animalia
Phylum: Platyhelminthes
Class: Trematoda
Subclass: Digenea
Order: Strigeiformes
Family: Schistosomatidae
Species/Stage: Schistosoma haematobium - egg

Kingdom?
Phylum?
Class?
Order?
Family?
Species/Stage?
Kingdom: Animalia
Phylum: Platyhelminthes
Class: Trematoda
Order: Plagiorchiformes
Family: Dicrocoeliidae
Species/Stage: Dicrocoelium dendriticum - adult

Kingdom?
Phylum?
Class?
Order?
Family?
Species/Stage?
Kingdom: Animalia
Phylum: Platyhelminthes
Class: Trematoda
Order: Plagiorchiformes
Family: Troglotrematidae
Species/Stage: Paragonimus westermani - adult


Kingdom?
Phylum?
Class?
Order?
Family?
Species/Stage?
Kingdom: Animalia
Phylum: Platyhelminthes
Class: Trematoda
Order: Plagiorchiformes
Family: Troglotrematidae
Species/Stage: Paragonimus westermani - egg

Kingdom?
Phylum?
Class?
Order?
Family?
Species/Stage?
Kingdom: Animalia
Phylum: Platyhelminthes
Class: Trematoda
Order: Opisthorchiformes
Family: Opisthorchiidae
Species/Stage: Clonorchis sinensis - adult

Kingdom?
Phylum?
Class?
Order?
Family?
Species/Stage?
Kingdom: Animalia
Phylum: Platyhelminthes
Class: Trematoda
Order: Opisthorchiformes
Family: Opisthorchiidae
Species/Stage: Clonorchis sinensis - egg

Kingdom?
Phylum?
Class?
Order?
Family?
Species/Stage?
Kingdom: Animalia
Phylum: Platyhelminthes
Class: Trematoda
Order: Opisthorchiformes
Family: Heterophyidae
Species/Stage: Heterophyes heterophyes - adult

Kingdom?
Phylum?
Class?
Subclass?
Order?
Family?
Species/Stage?
Kingdom: Animalia
Phylum: Platyhelminthes
Class: Cestoidea
Subclass: Eucestoda
Order: Cyclophyllidea
Family: Taeniidae
Species/Stage: Echinococcus multilocularis - alveolar (multilocular) cyst

Kingdom?
Phylum?
Class?
Subclass?
Order?
Family?
Species/Stage?
Kingdom: Animalia
Phylum: Platyhelminthes
Class: Cestoidea
Subclass: Eucestoda
Order: Cyclophyllidea
Family: Taeniidae
Species/Stage: Echinococcus granulosus - adult

Kingdom?
Phylum?
Class?
Subclass?
Order?
Family?
Species/Stage?
Kingdom: Animalia
Phylum: Platyhelminthes
Class: Cestoidea
Subclass: Eucestoda
Order: Cyclophyllidea
Family: Taeniidae
Species/Stage: Echinococcus granulosus - hydatid cyst

Kingdom?
Phylum?
Class?
Subclass?
Order?
Family?
Species/Stage?
Kingdom: Animalia
Phylum: Platyhelminthes
Class: Cestoidea
Subclass: Eucestoda
Order: Pseudophyllidea
Family: Diphyllobothriidae
Species/Stage: Diphyllobothrium latum - egg

Kingdom?
Phylum?
Class?
Subclass?
Order?
Family?
Species w “dog tapeworm” hint & no hint
Stage?
Kingdom: Animalia
Phylum: Platyhelminthes
Class: Cestoidea
Subclass: Eucestoda
Order: Cyclophyllidea
Family: Taeniidae
Species w “dog tapeworm” hint & no hint: Taenia sp. & Taenia pisiformis
Stage: mature proglottid

Kingdom?
Phylum?
Class?
Subclass?
Order?
Family?
Species/Stage?
Kingdom: Animalia
Phylum: Platyhelminthes
Class: Cestoidea
Subclass: Eucestoda
Order: Cyclophyllidea
Family: Taeniidae
Species/Stage: Taenia pisiformis - scolex

Kingdom?
Phylum?
Class?
Subclass?
Order?
Family?
Species/Stage?
Kingdom: Animalia
Phylum: Platyhelminthes
Class: Cestoidea
Subclass: Eucestoda
Order: Pseudophyllidea
Family: Diphyllobothriidae
Species/Stage: Diphyllobothrium latum mature/gravid proglottid

Kingdom?
Phylum?
Class?
Subclass?
Order?
Family?
Species
Kingdom: Animalia
Phylum: Platyhelminthes
Class: Cestoidea
Subclass: Eucestoda
Order: Pseudophyllidea
Family: Diphyllobothriidae
Species: Diphyllobothrium latum

Kingdom?
Phylum?
Class?
Subclass?
Order?
Family?
Species/Stage?
Kingdom: Animalia
Phylum: Platyhelminthes
Class: Cestoidea
Subclass: Eucestoda
Order: Cyclophyllidea
Family: Taeniidae
Species: Taenia saginata - gravid proglottid

Kingdom?
Phylum?
Class?
Subclass?
Order?
Family?
Species?
Kingdom: Animalia
Phylum: Platyhelminthes
Class: Cestoidea
Subclass: Eucestoda
Order: Cyclophyllidea
Family: Taeniidae
Species: Taenia solium

Kingdom?
Phylum?
Class?
Subclass?
Order?
Family?
Species/Stage?
Kingdom: Animalia
Phylum: Platyhelminthes
Class: Cestoidea
Subclass: Eucestoda
Order: Cyclophyllidea
Family: Taeniidae
Species: Taenia solium - gravid proglottid

Kingdom?
Phylum?
Class?
Subclass?
Order?
Family?
ID?
Kingdom: Animalia
Phylum: Platyhelminthes
Class: Cestoidea
Subclass: Eucestoda
Order: Cyclophyllidea
Family: Taeniidae
ID: taeniid egg

Kingdom?
Phylum?
Class?
Subclass?
Order?
Family?
Species/Stage?
Kingdom: Animalia
Phylum: Platyhelminthes
Class: Cestoidea
Subclass: Eucestoda
Order: Cyclophyllidea
Family: Taeniidae
Genus/Stage: Taenia sp. - cysticercus

Kingdom?
Phylum?
Class?
Subclass?
Order?
Family?
Species?
Form/ ID?
Kingdom: Animalia
Phylum: Platyhelminthes
Class: Cestoidea
Subclass: Eucestoda
Order: Cyclophyllidea
Family: Dilepididae
Species: Dipylidium caninum
Form/ID: egg balls

Kingdom?
Phylum?
Class?
Subclass?
Order?
Family?
Species/Stage?
Kingdom: Animalia
Phylum: Platyhelminthes
Class: Cestoidea
Subclass: Eucestoda
Order: Cyclophyllidea
Family: Dilepididae
Species: Dipylidium caninum - mature proglottid

Kingdom?
Phylum?
Class?
Subclass?
Order?
Family?
ID?
Kingdom: Animalia
Phylum: Platyhelminthes
Class: Cestoidea
Subclass: Eucestoda
Order: Cyclophyllidea
Family: Hymenolepididae
Species: Hymenolepis diminuta
ID: proglottids

Kingdom?
Phylum?
Class?
Subclass?
Order?
Family?
Species?
ID?
Kingdom: Animalia
Phylum: Platyhelminthes
Class: Cestoidea
Subclass: Eucestoda
Order: Cyclophyllidea
Family: Hymenolepididae
Species: Hymenolepis diminuta
ID: scolex with acetabula

Kingdom?
Phylum?
Class?
Subclass?
Order?
Family?
Genus?
ID?
Kingdom: Animalia
Phylum: Platyhelminthes
Class: Cestoidea
Subclass: Eucestoda
Order: Cyclophyllidea
Family: Hymenolepididae
Genus: Hymenolepis
ID: egg

Kingdom?
Phylum?
Class?
Subclass?
Order?
Family?
Species?
Kingdom: Animalia
Phylum: Platyhelminthes
Class: Cestoidea
Subclass: Eucestoda
Order: Cyclophyllidea
Family: Hymenolepididae
Species: Hymenolepis nana

Kingdom?
Phylum?
Class?
Subclass?
Order?
Family?
Genus?
ID?
Kingdom: Animalia
Phylum: Platyhelminthes
Class: Cestoidea
Subclass: Eucestoda
Order: Cyclophyllidea
Family: Hymenolepididae
Genus: Hymenolepis
ID: egg