1/250
Looks like no tags are added yet.
Name | Mastery | Learn | Test | Matching | Spaced | Call with Kai |
|---|
No analytics yet
Send a link to your students to track their progress
What are the main actions of the corrugator supercilli muscle?
Draw eyebrows medially and inferiorly
Creates vertical wrinkles above nose
What are the main actions of the procerus AND transversus part of the nasalis?
Depresses medial end of eyebrow
Wrinkles skin over dorsum of nose
What are the main actions of the alar part of the nasalis AND levator labii superioris alaeque nasil?
Depresses ala laterally
Flares nostils
What are the main actions of the orbicularis oris (oral sphincter)?
Tonus closes oral fissure
Phasic contraction compresses and protrudes lips
Resists distention when blowing
What are the main actions of the levator labii superioris?
Dilates mouth
Retracts and/or everts upper lip
Deepens nasolabial sulcus (frown)
What are the main actions of the zygomaticus minor?
Dilates mouth
Retracts and/or everts upper lip
Deepens nasolabial sulcus (frown)
What are the main actions of the buccinator (cheek muscle)?
Presses cheek against molar teeth
Keeps food between occlusal surfaces and out of oral vestibule
Resists distension when blowing
What are the main actions of the levator anguli oris?
Part of dilators of mouth
Widens oral fissure (grinning or grimmacing)
What are the main actions of the risorius?
Dilates the mouth
Depresses labial commissure
Bilaterally to frown
What are the main actions of the depressor anguli oris?
Dilates the mouth
Depresses labial commissure
Bilaterally to frown
What are the main actions of the depressor labii inferioris?
Dilates mouth
Retracts and/or everts lower lip
Pouting
Sadness
What are the main actions of the mentalis?
Elevates and protrudes lower lip
Elevates skin or chin
What are the main actions of the platysma?
Depresses mandible
Tenses skin of inferior face and neck (STRESS)
What are the main actions of the front belly of the occipitofrontalis?
Elevates eyebrows and winkles forehead skin
Protracts scalp (surprise)
What are the main actions of the occipital belly of the occipitofrontalis?
Retracts scalp
Increases effectiveness of frontal belly
What are the main actions of the zygomaticus major?
Dilates mouth
Elevates labial commissure
Bilaterally to smile
Unilaterally to sneer
What are the main actions of the orbicularis oculi (orbital sphincter)?
Closes eyelid
Palpebral part does so gently
Winking
What innervates the corrugator supercilli?
Temporal branches of the facial nerve (CN VII)
What innervates the procerus AND transverse part of nasalis?
The buccal branches of the facial nerve (CN VII)
What innervates the alar part of nasalis AND levator lanii superioris alaeque nasii?
The buccal branch of the facial nerve (CN VII)
What innervates the orbicularis oris?
Motor: Facial nerve (CN VII)
Sensory: Trigeminal nerve (CN V)
What innervates the levator labii superioris?
Buccal branch of the facial nerve (CN VII)
What innervates the zygomaticus minor?
Buccal branches of the facial nerve (CN VII)
What innervates the buccinator?
Buccal branch of the facial nerve (CN VII) AND trigeminal nerve (CN V)
What innervates the zygomaticus major?
Buccal branches of the facial nerve (VII)
What innervates the levator anguli oris?
Buccal branches of the facial nerve (CN VII)
What innervates the risorius?
Buccal branch of the facial nerve (CN VII)
What innervates the depressor anguli oris?
Buccal branch of facial nerve (CN VII)
What innervates the depressor labii inferioris?
Marginal mandibular branch of the facial nerve (CN VII)
What innervates the mentalis?
Marginal mandibular branch of the facial nerve (CN VII)
What innervates the platysma?
Cervical branch of the facial nerve (CN VII)
What innervates the frontal belly of the occipitofrontalis?
The temporal branch of the facial nerve (CN VII)
What innervates the occipital belly of the occipitofrontalis?
The posterior auricular branch of the facial nerve (CN VII)
What innervates the orbicularis oculi?
The temporal AND zygomatic branches of the facial nerve (CN VII)
What are the muscles of mastication?
Masseter, temporalis, medial pterygoid, and lateral pterygoid
What nerve innervates each of the muscles of mastication?
Motor fibers of the mandibular division of the trigeminal nerve (CN V3)
List some muscles (aside from the muscles of mastication) that also aid in chewing and swallowing.
Hyoglossus
Myohyoid
Stylohyoid
Digastric
Pharyngeal constrictors
Buccinator
What would happen if there were a tumor in the cirbriform foramina?
Loss of smell and decreased taste
What would happen if there were a tumor in the foramen cecum?
Venous congestion of the emissary vein; infection spread
What would happen if there were a tumor in the optic canal?
Blindness and retinal ischemia
What would happen if there were a tumor in the superior orbital fissure?
Ophthalmoplegia, ptosis, dilated pupil, and forehead numbness
What would happen if there were a tumor in the inferior orbital fissure?
Cheek and upper lip numbness
What would happen if there were a tumor in the supraorbital foramen?
Forehead anesthesia
What would happen if there were a tumor in the infraorbital foramen?
Upper lip, cheek, and maxillary teeth numbness
What would happen if there were a tumor in the ansterior ethmoidal foramen?
Nasal and ethmoid sensation loss
What would happen if there were a tumor in the posterior ethmoidal foramen?
Nasal and ethmoid sensation loss
What would happen if there were a tumor in the nasolacrimal canal?
Epiphora and infection
What would happen if there were a tumor in the zygomaticofacial foramen?
Cheek numbness
What would happen if there were a tumor in the zygomaticotemporal foramen?
Temple numbness
What would happen if there were a tumor in the foramen rotundum?
Upper face and palate numbness
What would happen if there were a tumor in the foramen ovale?
Jaw weakness, chin numbness, and tongue sensory loss
What would happen if there were a tumor in the foramen spinosum?
Epidural hemorrhage risk
What would happen if there were a tumor in the foramen lacerum?
Autonomic dysfunction
What would happen if there were a tumor in the pterygoid canal?
Decreased lacrimation and nasal dryness
What would happen if there were a tumor in the sphenoidal emissary foramen?
Venous congestion
What would happen if there were a tumor in the internal acoustic meatus?
Facial paralysis, deafness, and vertigo
What would happen if there were a tumor in the stylomastoid foramen?
Ipsilateral facial droop
What would happen if there were a tumor in the jugular foramen?
Dysphagia, hoarseness, and shoulder weakness
What would happen if there were a tumor in the hypoglossal canal?
Tongue paralysis and deviation
What would happen if there were a tumor in the Foramen magnum?
Quadriplegia and respiratory arrest
What would happen if there were a tumor in the carotid canal?
Major stroke
What would happen if there were a tumor in the condylar canal?
Increased intracranial pressure
What would happen if there were a tumor in the mastoid foramen?
Increased intracranial pressure
What would happen if there were a tumor in the incisive foramen?
Anterior palate numbness
What would happen if there were a tumor in the greater palatine foramen?
Posterior palate numbness
What would happen if there were a tumor in the lesser palatine foramina?
Soft-palate anesthesia
What would happen if there were a tumor in the sphenopalatine foramen?
Epistaxis and nasal numbness
What would happen if there were a tumor in the posterior superior alveolar foramina?
Maxillary molar anesthesia
What would happen if there were a tumor in the infraorbital foramen?
Upper teeth numbness
What would happen if there were a tumor in the mandibular foramen?
Lower teeth numbness
What would happen if there were a tumor in the mental foramen?
Chin and lip anesthesia
What would happen if there were a tumor in the lingual foramina?
Bleeding risk
What would happen if there were a tumor in the parietal foramen?
Venous congestion
What would happen if there were a tumor in the petrotympanic fissure?
Taste loss in the anterior 2/3 of the tongue and dry mouth

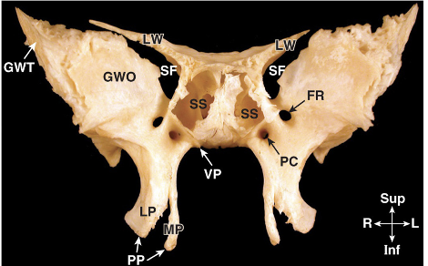
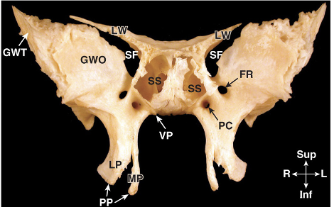
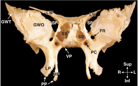
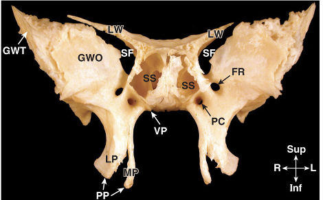
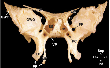
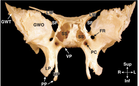
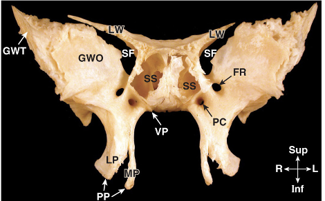
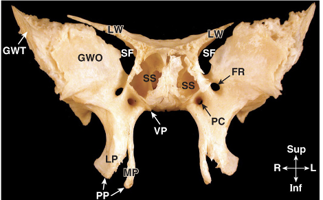
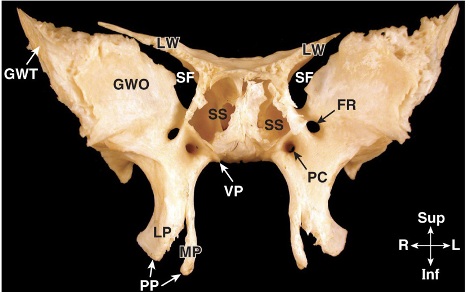
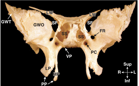
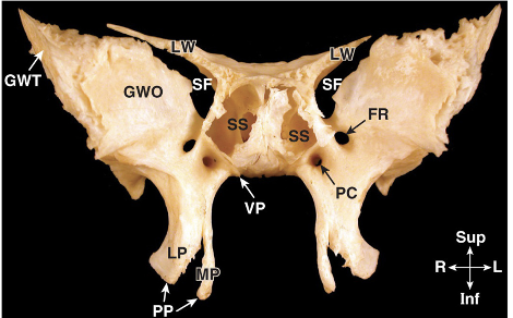
What area of the sphenoid does GWT stand for?
Greater wing (temporal surface)

What area of the sphenoid does GWO stand for?
Greater wing (orbital surface)

What area of the sphenoid does LW stand for?
Lesser wing

What area of the sphenoid does SF stand for?
Superior orbital fissure

What area of the sphenoid does SS stand for?
Sphenoidal sinus

What area of the sphenoid does FR stand for?
Foramen rotundum

What area of the sphenoid does PC stand for?
Pterygoid canal

What area of the sphenoid does VP stand for?
Vaginal process

What area of the sphenoid does LP stand for?
Lateral pterygoid plate

What area of the sphenoid does MP stand for?
Medial pterygoid plate

What area of the sphenoid does PP stand for?
Pterygoid process

What area of the sphenoid does GWC stand for?
Greater wing (cerebral surface)

What area of the sphenoid does SF stand for?
Superior orbital fissure

What area of the sphenoid does SP stand for?
Spine of sphenoid bone

What area of the sphenoid does FS stand for?
Foramen spinosum

What area of the sphenoid does PC stand for?
Pterygoid canal

What area of the sphenoid does DS stand for?
Dorsum sellae

What area of the sphenoid does VP stand for?
Vaginal process

What area of the sphenoid does PL stand for?
Posterior clinoid process

What area of the sphenoid does LW stand for?
Lesser wing

What area of the sphenoid does MP stand for?
Medial pterygoid plate

What area of the sphenoid does LP stand for?
Lateral pterygoid plate

What area of the sphenoid does PN stand for?
Pterygoid notch

What area of the sphenoid does ES stand for?
Ethmoid spine

What area of the sphenoid does LW stand for?
Lesser wing

What area of the sphenoid does LS stand for?
Limbus of sphenoid