1/75
slides from exercise 3 and 4 to study for midterm exams. please let me know if there are any corrections with pictures or labelings. best of luck! ◡̈
Name | Mastery | Learn | Test | Matching | Spaced | Call with Kai |
|---|
No analytics yet
Send a link to your students to track their progress

Intracellular and extracellular fluid

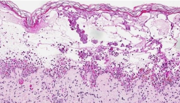
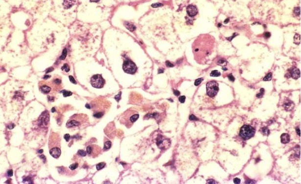
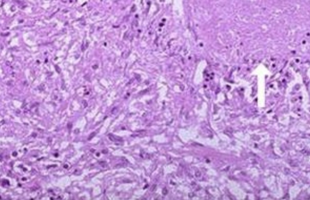
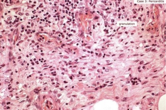
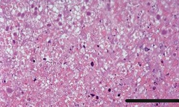
Ballooning degeneration

Nucleus and cytoplasm

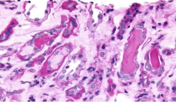
Hydrophic degeneration

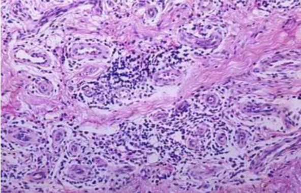
Degeneration

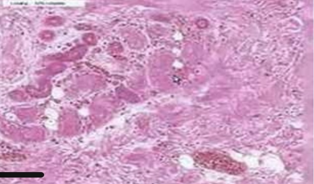
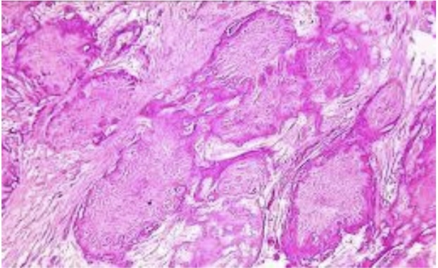
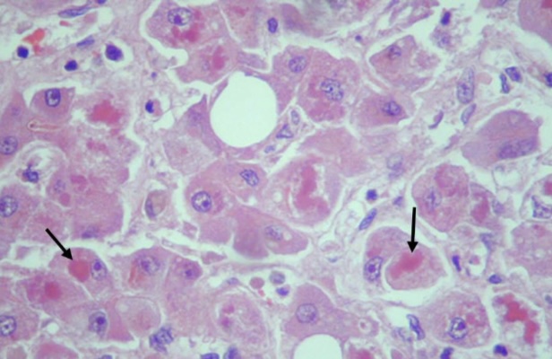
Hyaline degeneration

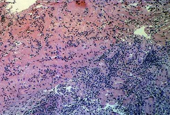
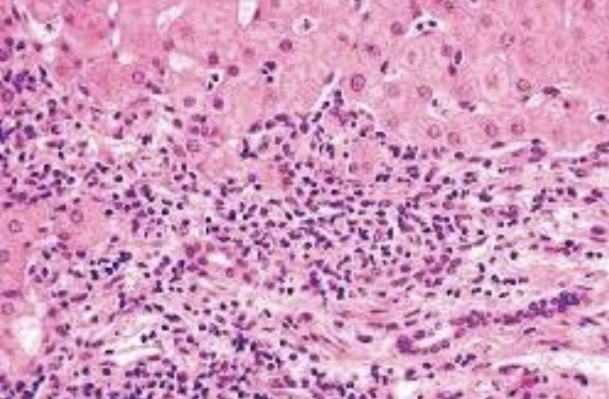
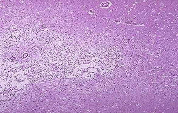
Necrosis

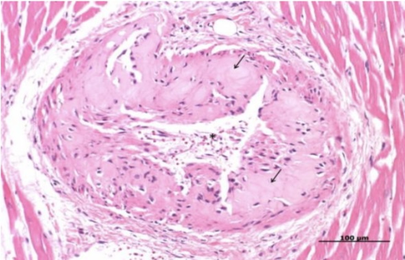
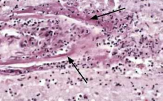
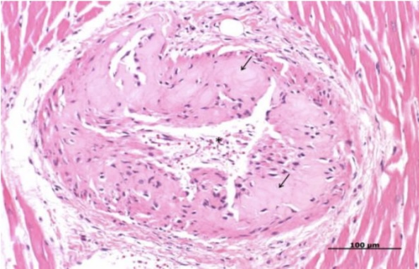
fibrinoid degeneration

Pyknosis

Mucoid degeneration

Cell swelling

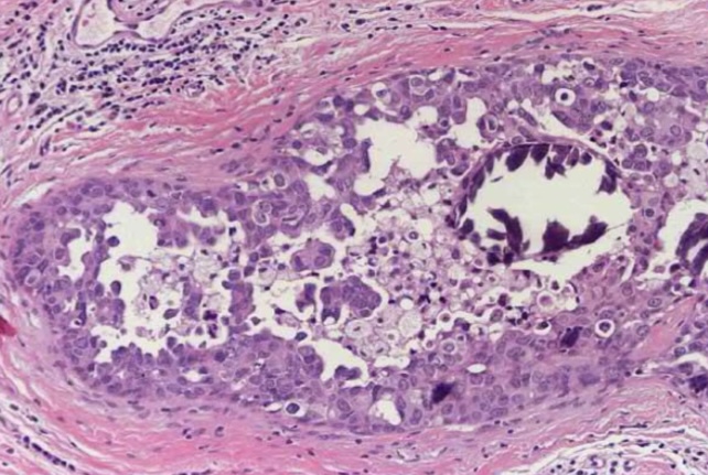
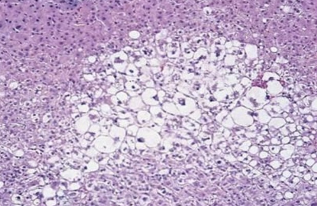
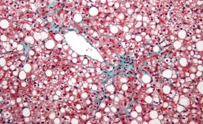
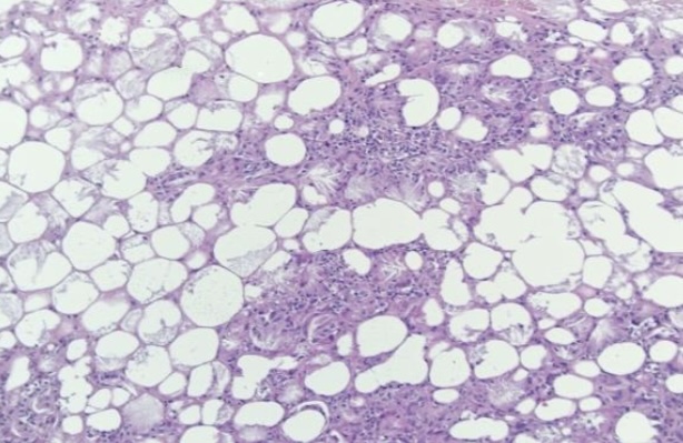
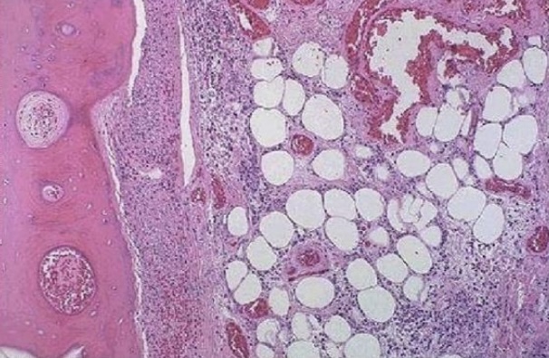
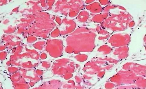
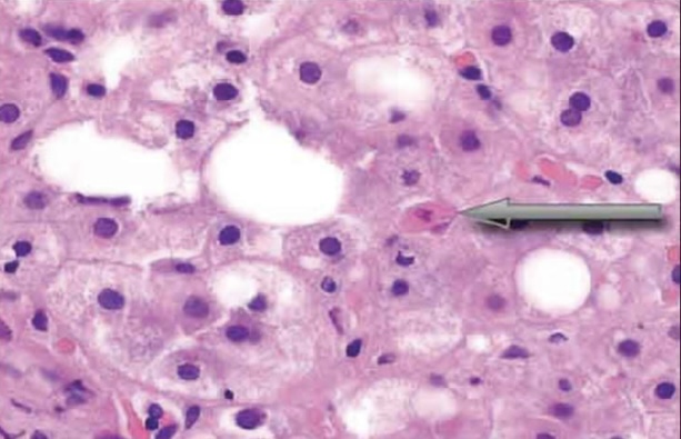
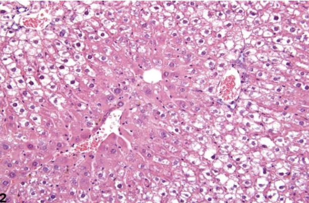
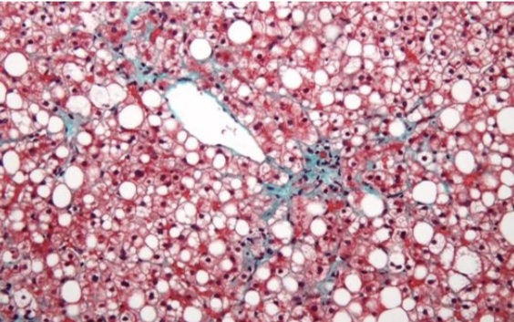
Fatty degeneration
Fatty degeneration

Karyolysis

Colloidal degeneration

Complete absence of nucleus

Wallerian degeneration

Acidophilia

Cytoplasmolysis

Karyorrhexis

Loss of cell outline

Loss of differential staining

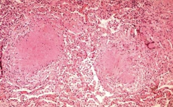
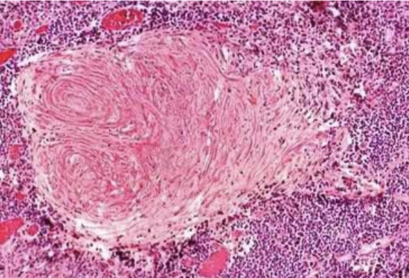
Caseation necrosis

Apoptosis in necrosis

Endocytosis

Hypoplasia

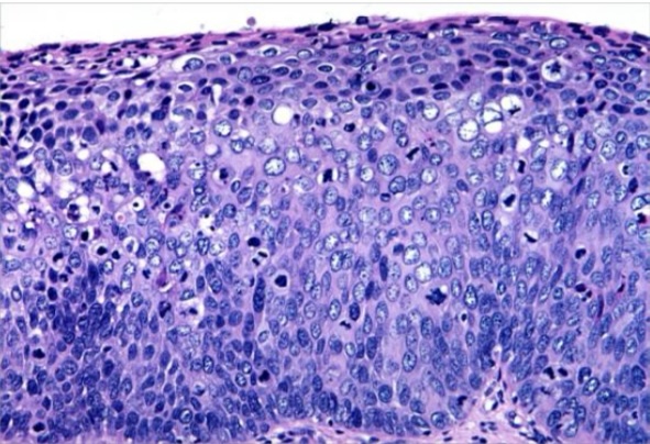
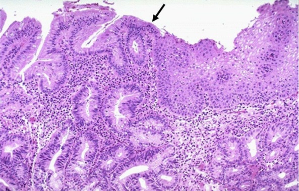
Dysplasia

Depot fat

Fatty infiltration

Congenital porphyria

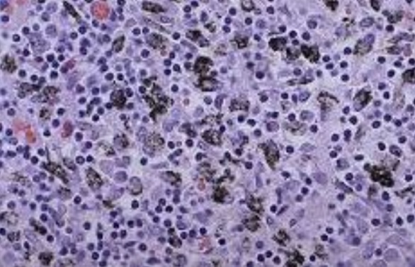
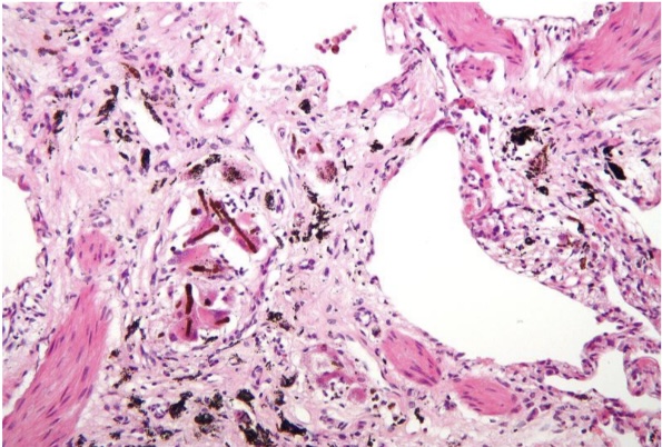
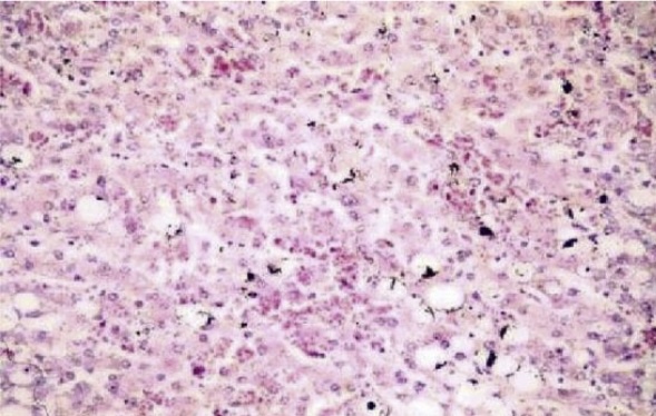
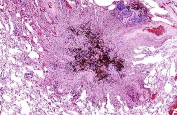
Anthracosis

Steatosis

Fat necrosis

Complete absence of cytoplasm

Wet gangrene

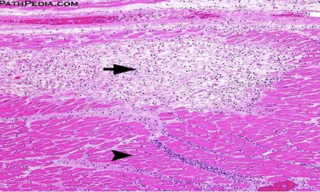
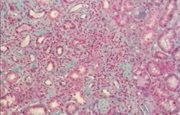
Coagulative necrosis

Dry gangrene

Infarct

Liquefactive necrosis

Zenker’s necrosis

Autophagy

Apoptosis in normal tissues

Atrophy

Exocytosis

Hypertrophy

Hyperplasia

Heterophagy

Metaplasia

Hyaline degeneration

Dysplasia

Amyloid infiltration

Anaplasia

Cell swelling

Hydrophic degeneration

Gout

Glycogen infiltration

Albinism

Protoplasmic fat

Lipofuscin

Fatty degeneration

Ceroid

Bilirubin

Melanosis

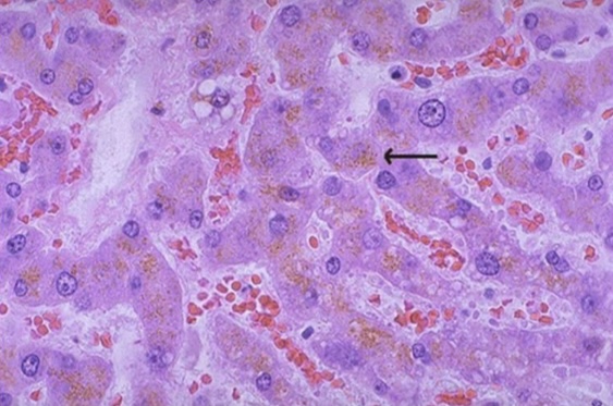
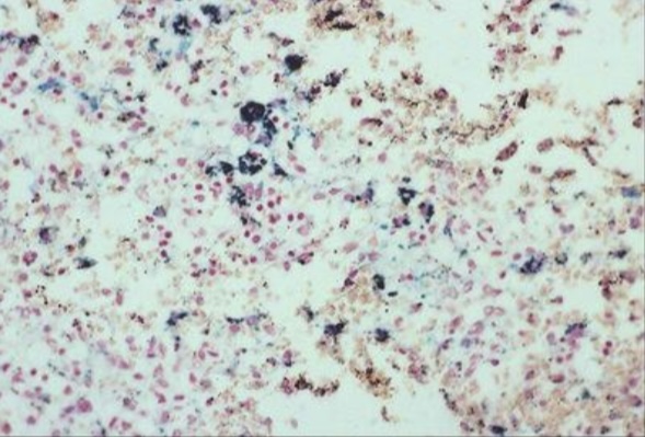
Hemosiderin

Asbestosis

Icterus

Chalicosis

Pneumoconiosis

Hyalinization

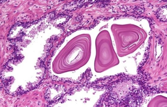
Hyaline cast

Silicosis

Hyaline droplets

Corpora amylacea

Cholesterol clefts

Fibrinoid

Sphingomyelin

Fibrinoid