1/41
Looks like no tags are added yet.
Name | Mastery | Learn | Test | Matching | Spaced | Call with Kai |
|---|
No analytics yet
Send a link to your students to track their progress
The spleen is apart of what system
Reticuloendothelial system
If the patient has RCC, what other vessels should be evaluated for tumor
Renal Veins, IVC, HV’s
What is RCC
Renal Cell Carcinoma: Most common kidney cancer, starts in the tubules
Pheochromocytoma
Rare and usually benign adrenal gland tumor. It causes excessive hormone production.
Caroli disease
Rare congenital condition characterized by segmental dilation of large, intrahepatic biles ducts. This appears are cysts on imaging

Pyloric stenosis
Narrowing of the pyloric canal
Symptoms: Projectile vomiting, no weight gain and sever abdominal pain

Intussusception
Bowel tunneling on itself
Symptoms: Vomiting, sever abdominal pain and, “jelly-like” red mucus stool

May Thurner Syndrome (MTS)
Affects the bloody flow. Occurs when the left iliac vein is compressed by the right iliac artery. This impedes blood flow to the heart and can cause swelling of the legs, DVT and other clots, and non-healing sores/discoloration.
Is treated with shunts

Medullary sponge kidney
Birth defect
Tiny cysts formed in the tubules within the medulla. This can cause hematuria, stones and UTI’s.

Choledochal cyst
Rare, congenital dilation of the bile ducts.

Highest risk of AAA
Occurs most commonly in med over the age of 65 and smokers.
Genetic conditions linked to AAA: Marfans syndrome and Ehlers-Danilo’s syndrome.
What is AAA
Abdominal Aortic Aneurysm: Localized dilation of the abdominal aorta, usually greater than 3cm in diameter or more than 1.5 times the diameter of the proximal aorta.
Usually develops below the renal arteries
What is a dissection
Dissections occurs when the force of blood pumping splits the arterial wall layers, allowing blood to leak in between the walls.

True aneurysm vs false
True: aneurysm lined by all 3 layers of the AO
False (pesudoaneurysm): Not lined by all 3 layers.
Saccular vs Fusiform aneurysm
Saccular: Shows sudden transition between normal and abnormal. Somewhat spherical and longer
Fusiform: Gradual transition between normal and abnormal. “Football-like” shape

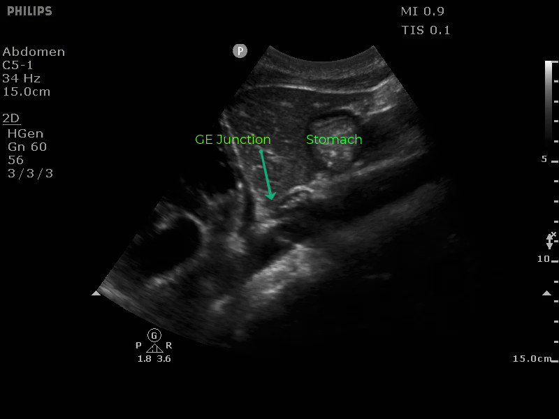
GE junction location
Where the esophagus and stomach connect

What does a TIPS shunt connect
The PV’s and HV’s to redirect flow in the liver- takes pressure off and relieves some hypertension.

What is the cause of physic flow in the HV’s
Caused by pressure changes in the right atrium of the heart. This is because the HV’s dump directly into the IVC near the heart
What is the largest zone of the prostate?
The peripheral zone

Where does the superior thyroid artery arise from?
The ECA

What is this image demonstrating?
Parathyroid adenoma (Likely benign)
What is the most common thyroid malignancy?
Papillary carcinoma; 70% of all thyroid cancers

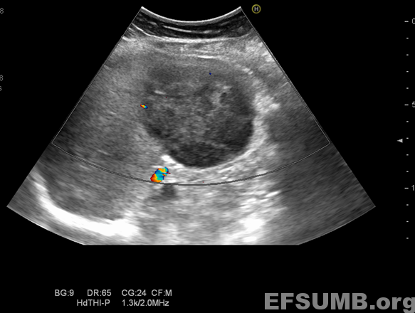
What is this image demonstraating
Splenic lymphoma: rare slow-growing, b-cell non-Hodgkin lymphoma
Also will demonstrate splenomegaly

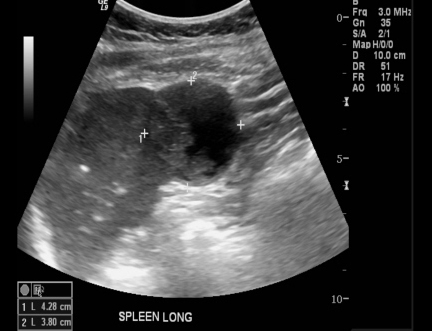
What is this image demonstrating?
Splenic abscess

What is this image demonstrating?
Breast abscess

What is this image demonstrating?
Breast hematoma

What is this image demonstrating?
Pleural Effusion

What is this image demonstrating?
Pulmonary abscess
What is the difference between pleural effusion and ascities
Pleural effusion occurs within the pleural space; between the chest wall and lung: above the diaphragm
Ascities occurs within the peritoneal (abdominal) space: below the diaphragm
What is this image demonstrating
CT image of horseshoe kidney

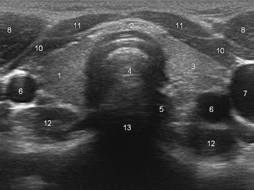
Name the locations on this image

The celiac branch trifurcates into?
Common Hepatic artery, Splenic artery, Left Gastric
The gastroduodenal artery is a branch of?
The common hepatic artery
What do the coronary ligaments connect the liver to?
The diaphragm
What vessels are in the portal triad?
The CHA, CBD and PV
Normal CBD measurment
Adult: 6mm or less (at 60 y.o. Measurement will increase by 1mm per decade)
Child: 4mm
Neonate: 1mm or less
Normal adult liver measurment
15-20cm (L)
Normal kidney measurement
Adult: 9-12cm L
Child: 7-8cm L
Infant: 5-6cm L
Neonate: 3.3-5cm L
Normal GB all measurement
Adult: 3mm or less
Normal thyroid measurement
Adult: 4-6cm L
Ped: 2-3cm L
Normal isthmus measurement
0.2-0.6 cm H