Medsurg: Pituitary Gland

0.0(0)
studied byStudied by 0 people
full-widthCall with Kai
GameKnowt Play
learnLearn
examPractice Test
spaced repetitionSpaced Repetition
heart puzzleMatch
flashcardsFlashcards
Card Sorting

1/27

encourage image

There's no tags or description

Looks like no tags are added yet.

Study Analytics
Name
Mastery
Learn
Test
Matching
Spaced

No study sessions yet.

28 Terms

1
New cards

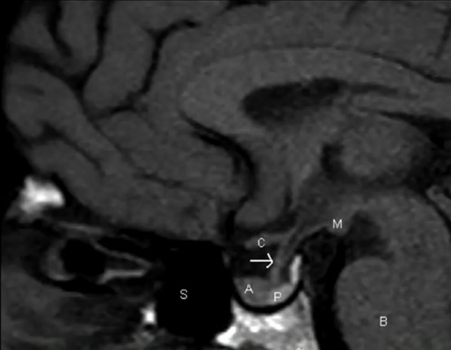
What is something to consider with MRI or CT when imaging for the pituitary?

You might have to order special testing, to get thin enough slices to catch smaller tumors

<p>You might have to order special testing, to get thin enough slices to catch smaller tumors</p>
2
New cards

What is the most common pituitary tumor?

Almost always benign adenoma—micro in size and non-functional

Many are incidentally found after death, up to 25%

<p>Almost always benign adenoma—micro in size and non-functional</p><p>Many are incidentally found after death, up to 25%</p>
3
New cards

What is the recommended treatment with vision changes related to pituitary tumors?

Surgery

4
New cards

Where are most pituitary surgical interventions performed?

Through the sphenoid bone (less invasive)

5
New cards

He said know this

Describe the symptoms of a prolactinoma, the most common functional tumor

Galactorrhea

Infertility

Amenorrhea

Decreased libido

*Prolactin elevation is proportional to the size of the tumor*

6
New cards

What is the treatment for prolactinoma?

1. DA agonist (Cabergoline, Bromocriptin)

2. Switch to second DA agonist

3. If DA agonists ineffective then transphenoidal resection

7
New cards

What medications should you look for with hyperprolactinemia, before doing invasive imaging, for sure?

Check meds for metoclopramide, haldol, risperidone

Also look for primary hypothyroidism (which cause secondary hyperprolactinemia) and pregnancy

8
New cards

What is the common presentation with acromegaly?

Change in face, hands and feet with smelly sweat

<p>Change in face, hands and feet with smelly sweat</p>
9
New cards

What testing should be done to rule out acromegaly?

IGF-1/GH leaves

Oral Glucose test—excess glucose should suppress GH. If they don't change—acromegaly

10
New cards

How does TSH secreting tumor present differently than other thyroid disorders?

All of them may have a goiter and all could show pituitary hypertrophy

However, TSH tumors result in high TSH, T3 and T4

Keep in mind, this is rare—check for other reasons first (like metabolism of levothyroxine)

11
New cards

When should a T3/T4 be drawn?

At least 8 hours after dosing—otherwise falsely high

12
New cards

How is cushing disease diagnosed?

24 hour urine: need to account for pulsatile release of cortisol

Dexamethasone suppression test

Same as other testing: Labs always first, confirm with imaging

13
New cards

What is the actual issue with Cushing Disease?

Pituitary source of excess cortisol; ACTH dependent. This will show high ACTH and high cortisol

ACTH independent high cortisol is an issue with the adrenal gland (probably a tumor—this is Cushing SYNDROME). Labs will show low ACTH and high cortisol

14
New cards

How does the dexamethasone suppression test work?

Dexamethasone should normally suppress morning cortisol, but does not suppress cortisol in someone with cushing syndrome

15
New cards

What is the presentation of empty sella disease?

Sometimes—nothing

The herniation may or may not affect labs

16
New cards

What are the two symptoms associated with compression of the pituitary stalk?

Typically elevated prolactin or diabetes insipidus

This would also cause changes in the visual feilds

17
New cards

What is the primary cause of pituitary hyperplasia?

Pregnancy—don't treat this :)

Primary Gland failure of the thyroid (Hashimoto) or gonads (ovarian/testes)

Pituitary specific: Somatotroph/Corticotroph secreting tumors

18
New cards

How does apoplexy vary from other tumors?

It is a surgical emergency

Sudden bleeding causes acute hemorrhage

They will have symptoms of mass effects (HA, cranial nerve impact, vision changes)

19
New cards

What is the pathological changes associated with diabetes insipidus?

Inability to concentrate urine due to a loss of vasopressin

So:

Hypernatremia

Dehydration

High Serum osmolarity and dilute urine

These patients can become dehydrated very quickly if they cannot maintain fluids in for fluids out (common in NH)

20
New cards

Compare osmolality versus osmolarity:

Osmolality: particles per kg

Osmolarity: particles per liter solution

Higher values mean higher concentration for both

21
New cards

How does a water deprivation test determine DI?

Both can show dehydration—keep them from a water source

A normal patient will show concentration of urine

DI patient's urine will retain the same osmolality no matter what

22
New cards

What does administering desmopressin in a water deprivation test do to a DI patient?

If there is a response and urine corrects, the problem is central (pituitary)

If there is no response, it is the kidney (nephrogenic DI)

23
New cards

What are some of the causes of nephrogenic DI?

Lithium

Hypercalcemia

Hyperparathyroidism

ADH is always elevated and ineffective because the kidney can't respond

24
New cards

What are the symptoms of hypopituitarism, which can occur after hemorrhagic pregnancy?

Flu like symptoms

Lack of: gonad hormones, growth hormones, urine volume changes

Prolactin levels can be low—but not critical

LH and FSH should be high in older men and postmenopausal women

GH and IGF-1 should be normal

25
New cards

How should TSH be evaluated?

In conjunction with T4

26
New cards

What would hyperkalemia tell you about pituitary function?

It is likely primary hypopituitarism, not secondary

27
New cards

What patient should receive GH replacement?

ONLY with deficiency

Never for general wellness

28
New cards

What do you give to treat SIADH?

NOT diuretics

Treat the cause, if possible

Serum sodium is low

Urine sodium is normal

Urine osmolality is elevated

Replace sodium, but fluid restriction is primary