1/31
Looks like no tags are added yet.
Name | Mastery | Learn | Test | Matching | Spaced | Call with Kai |
|---|
No analytics yet
Send a link to your students to track their progress
Clinical features of Cyclic neutropenia
- Low PMNS every 21 days and lasts 5 days
-fever
-Malaise
-Sore throat
- cutaneous infections
Oral features of cyclic neutropenia
-Painful crater like ulcers
-lead to bone loss or tooth loss
Clinical features of papillon-Lefevre syndrome
palmar/planter hyperkeratosis that lasts a lifetime and have normal # of PMNS but body can't call them to an area
Oral features of papillon-Lefevre syndrome is
-Marked Perio destruction
-affects both dentitions
-all teeth lost by 14 years old
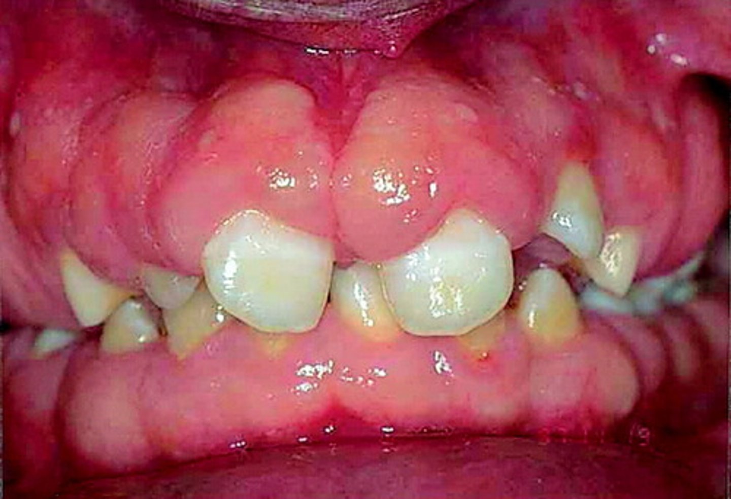
Gingival fibromatosis is
overgrowth of gingival tissue by genetic inheritance pattern
clinical features of gingival fibromatosis ONLY IF
associated with other syndromes
Oral features of Gingival fibromatosis
Gingival hypertrophy (firm, pale ,pink tissue)
Papillon-Lefevre syndrome

Gingival fibromatosis

Clinical features of Cleidocranial dysplasia
-Mushroom shaped head (frontanelles are open)
-Neck is long
-Clavicles are missing or hypoplastic (not developed)
Oral features of Cleidocranial dysplasia
-High palate
-delayed/failed eruption
-Many teeth
-paranasal sinuses missing
Cleidocranial dysplasia (oral photo)

Cleidocranial dysplasia (person)

Clinical features of gardner syndrome is
-Intestinal polyps
-Multiple osteomas (extra bumps on bone)
Oral features of Gardner syndrome is
-Supernumerary teeth
- Impacted teeth
-Multiple odontomas
What conditions present with supernumerary teeth
-Gardners syndrome
- Cleidocranial dysplasia
What condition is associated with cancer
-Gardners syndrome (GI)
-Nevoid basal cell carcinoma SX (Skin)
-Neurofibromatosis
-Multiple Endocrine Neoplasia IIB (MEN IIB) (thyroid cancer)
Clinical features of Nevoid basal cell carcinoma SX
-Palm and soles of the feet pits
- ribs divided into two
-Multiple Nevi (moles)
Oral features of Nevoid basal cell carcinoma SX
-Multiple odontogenic keratocytes of jaw
-Delayed jaw development
What conditions have clinical features associated with the palms/soles
-Nevoid basal cell carcinoma SX
-Papillon- Lefevre syndrome
-Peutz- Jeghers syndrome
Neurofibromatosis clinical features is
- Multiple neurofibromas (tumors that become larger)
- Cafe-au-lait pigmentation
Cafe-au-lait pigmentation
large discolored macule
Oral features of Neurofibromatosis
-Single or multiple neurofibromas
Clinical features of Peutz- Jeghers syndrome
-multiple melontic macules on skin
-Palmar/plantar melonatic macules
-Muscles fade with age
-Gastrointestinal polyps
Peutz- Jeghers syndrome

Oral manifestations of Peutz- Jeghers syndrome
-Multiple melanotic macules of the mucosa (in mouth don't fade with age)
oral features of Multiple Endocrine Neoplasia IIB (MEN IIB)
large thick lips
What is the first clinical sign of Multiple Endocrine Neoplasia IIB (MEN IIB)
Multiple mucosal neuromas (common site is lips/Tongue)
Clinical features of white sponge nevus
white patchy lesions of nasal, esophagus, vagina, rectum, mouth
Oral features of white sponge nevus
white corrugated (mostly bilateral)
Most common site for white sponge nevus
buccal mucosa
White sponge nevus
