1/24
Looks like no tags are added yet.
Name | Mastery | Learn | Test | Matching | Spaced | Call with Kai |
|---|
No analytics yet
Send a link to your students to track their progress
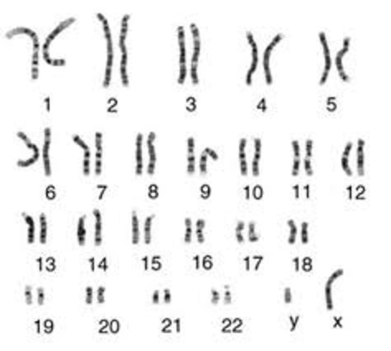
Karyotype
A picture of all the chromosomes in a cell arranged in pairs

Male karyotypes have ______________
Has a y chromosome and an x chromosome

TERM
Female karyotypes have ______________
DEFINITION
Has two x chromosomes

Down Syndrome
a condition of intellectual disability and associated physical disorders caused by an extra copy of chromosome 21.
TERM
Autosome
DEFINITION
Any chromosome that is not a sex chromosome (pairs 1-22)

TERM
Sex Chromosome
DEFINITION
X and Y chromosomes. (pair 23)
Chromosomal Disorder
When there are two many or two few chromosomes

TERM
Trisomy
DEFINITION
3 copies of a chromosome

Chromosome
condensed DNA in the shape of an X

Chromatid
one half of a chromosome; there are usually two identical "sisters"

Diploid
a complete set of chromosomes from the mother and father

Haploid
half the chromosome number; in humans this is 23

Duplication mutation
a mutation that involves duplication of a region of DNA on the same strand

Deletion mutation
a mutation that involves deletion/missing part of a region of DNA on the same strand

Inversion mutation
A mutation involving a piece of a chromosome that breaks off and reattaches in reverse orientation.

Translocation mutation
A mutation in which one part of one chromosome breaks off and attaches to another non-homologous chromosome

Homologous pairs
a pair of chromosomes, 1 materanal and 1 paternal

Meiosis is similar to mitosis except it is the production of
Sex cells (4 of them) and they are Haploid
Daughter Cells
The cells that are produced as a result of mitosis. These cells are identical to each other, and also to the original parent cell.

Amniocentesis
the sampling of amniotic fluid using a hollow needle inserted into the uterus, to screen for developmental abnormalities in a fetus make a karyotype

Genotype
An organism's genetic makeup, or allele combinations.

Phenotype
An organism's physical appearance, or visible traits.

Gamete
sex cell

Identical Twins
two infants resulting from division of one fertilized egg into two distinct embryos

Fraternal Twins
twins who come from two different eggs fertilized by two different sperm
