1/34
Looks like no tags are added yet.
Name | Mastery | Learn | Test | Matching | Spaced |
|---|
No study sessions yet.

List 2


list 3


List 4


List 8

List 6


List 10


List 12


List 14


List 18


List 20


List 16


Liat 15


List 2


List 3


list 5


list 7


list 9


list 3


list 6


list 9


list 11


list 3


list 6


list 9


list 12


list 15


list 17


List caudal, cranial, anterior and posterior


list the 2 pieces of anatomy


what do you see


what do this images show
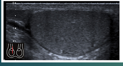
Epididymal cyst- US

what is this image showing
abscess

what does this image show
Varicocele

what does the image show
torsion

what does the image show
testicular tumour