1/27
Looks like no tags are added yet.
Name | Mastery | Learn | Test | Matching | Spaced | Call with Kai |
|---|
No analytics yet
Send a link to your students to track their progress
Beskriv kort hvordan røntgenstråler/fotoner dannes i røntgenrøret
Røntgenfotoner er små energipakker. De dannes, når elektroner fra katoden rammer anoden og bremses, så deres energi bliver til røntgenstråling (fotoner). Når de rammer stof, kan de enten absorberes eller spredes (Comptoneffekt).
Hvor stor en del af den dannede energi i røntgenrøret bliver til varme?
Ca. 99 % af energien i røntgenrøret bliver til varme.
Hvordan bortledes den dannede varme i røntgenrøret?
Overophedning forhindres ved, at røntgenrøret er omgivet af olie, som bortleder varmen.
Hvad er den sekundære blændes funktion?
Den sekundære blænde er en alliminiumsplade hvis formål er at standse lav energiske røntgenstråler, som laver støj på billedet - begrænser strålefeltet og mindsker det område, der bestråles.
Hvad siger bekendtgørelsen om rørspændingen i et dentalrøntgenapparat?

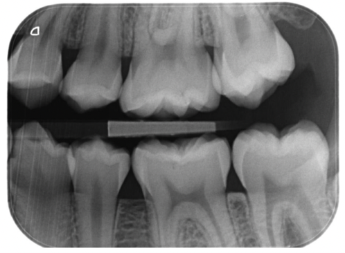
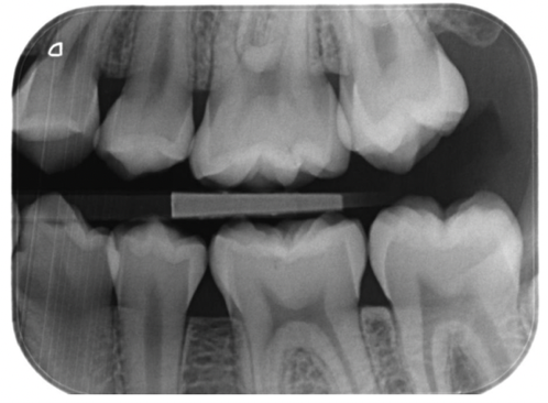
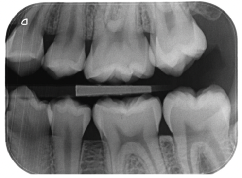
Beskriv fejl på billedet

Er optagelsen ortoradial? Begrund dit svar
Hvad er årsagen til, at man tager både en præmolar og et molar bitewing?
Hvad forstås ved den optiske densitet?
Optisk densitet = hvor mørkt et røntgenbillede er.
Meget mørkt billede → høj optisk densitet
Meget lyst billede → lav optisk densitet
Man bruger et apparat der hedder et densitometer.
Optisk densitet skal ligge mellem:
0,25 – 2,5
Det betyder:
under 0,25 → billedet er for lyst
over 2,5 → billedet er for mørkt

Vurdér optisk densitet på denne optagelse
Hvad er den gennemsnitlige effektive dosis en bitewing optagelse?
Den gennemsnitlige effektive dosis for en bitewing er 1,5 mikrosievert.
Hvilke former for ioniserende stråling kender du?
Direkte ionisering
Røntgenstråler kan ramme vigtige makromolekyler direkte i cellen, fx DNA eller proteiner.
Når det sker:
røntgenfotonen slår elektroner løs → molekylet ioniseres
der kan opstå brud på DNA-strengen eller ændringer i basesekvensen (mutation)
hvis cellen ikke kan reparere skaden korrekt → kan det føre til ændret cellefunktion eller øget kræftrisiko
Indirekte ionisering
Kroppen består af ca. 60–70 % vand, derfor rammer strålingen oftest vandmolekyler.
Her sker:
vand ioniseres → der dannes frie radikaler (fx hydroxyl- og hydrogenradikaler)
disse er meget reaktive og kan angribe DNA, proteiner og cellemembraner
kan give kemiske ændringer og mutationer i DNA
Derfor er indirekte stråleskade den vigtigste mekanisme ved dental røntgen.
Hvilke molekylære ændringer kan der opstå ved en dental røntgen optagelse?
Røntgenstråling er ioniserende → kan slå elektroner løs i molekyler
Direkte virkning: stråler rammer DNA/proteiner → kan give DNA-brud og mutationer
Indirekte virkning (hyppigst): stråler rammer vand → danner frie radikaler → disse kan skade DNA
Skader i DNA kan føre til ændret cellefunktion eller øget kræftrisiko (stokastisk effekt)
Forklar begreberne stokastiske og deterministiske stråleskader
De deterministiske effekter medfører altid celledød, når stråledosis når over et vist niveau (tærskeldosis)
Stokastiske stråleskader opstår tilfældigt, har ingen tærskel og kan opstå selv ved små doser - ses typisk som cancer.
Kan der opstå deterministiske stråleskader ved dentale røntgenoptagelse? Begrund dit svar.
Hvordan beskytter du bedst patienten mod stokastiske stråleskader?
Hvad er den klinisk ansvarlige sundhedsperson ved dentale røntgen optagelser ansvarlig for?
Hvem kan være klinisk ansvarlig sundhedsperson ved intraorale røntgenoptagelser?
tandlæge
tandplejer
Hvilken anatomisk struktur peger den røde pil på?
Hvilken anatomisk struktur peger den blå pil på?
Hvilken anatomisk struktur peger den grønne pil på?
Hvilken anatomisk struktur omkranser den røde cirkel?
Hvilke tænder ser du på billedet?
Hvilken anatomisk struktur peger den røde pil på?
Hvad peger den grønne pil på?
Hvordan vil du vurdere kontrasten på denne optagelse? Begrund dir svar.
Hvor ofte skal man udføre konstanskontrol for optisk densitet for digitale receptorer?
Forklar hvad det betyder at denne røntgenoptagelse er et summationsbillede.
De strukturer vi røntgen fotograferer er 3 dimensionale, disse strukturer gennemtrænges af røntgenstrålerne/fotonerne og energien af de røntgenstråler der er nået igennem strukturen summeres på en billedmodtager (analog film, fosforplade, sensor) og der fremstilles et 2 dimensionalt billede.