1/106
Looks like no tags are added yet.
Name | Mastery | Learn | Test | Matching | Spaced | Call with Kai |
|---|
No analytics yet
Send a link to your students to track their progress
Direct
What type of restorations are the following?
- Amalgam
- Composite
- Indirect
- Intracoronal
What type of restorations are the following?
- Inlay
- Gold onlay
- Cermaic onlay
- Indirect
- Extracoronal
- Full coverage
What type of restorations are the following?
- Full cast metal crown
- Metal ceramic or PFM
- All ceramic
- Indirect
- Extracoronal
- Partial coverage
What type of restorations are the following?
- Cast metal: 3/4 crown
- Veneer
- Resin bonded restoration
Full cast metal crown
What type of crown is shown?

Porcelain Fused to Metal (PFM) crown
(or metal ceramic crown)
What type of crown is shown?

All ceramic crown
What type of crown is shown?

Partial coverage crown
What type of crowns are shown?

full cast metal crown
These are advantages of which type of full coverage restoration?
1. Strong: cylindrical shape
2. Greater retention and resistance than partial coverage
3. To modify the form and occlusion
4. Contact areas can be conveniently developed
5. To allow improved access for teeth with furcation involvement - fluting or barreling
PFM crown (metal ceramic)
These are advantages of which type of full coverage restoration?
1. Strong: cylindrical shape
2. Greater retention and resistance than partial coverage
3. To modify the form and occlusion
4. Contact areas can be conveniently developed
5. To allow improved access for teeth with furcation involvement - fluting or barreling
6. Superior esthetics comparing to full metal crown
all ceramic crown
These are advantages of which type of full coverage restoration?
1. Superior esthetics
2. Excellent translucency
3. Good soft tissue response
full cast metal crown
These are disadvantages of which type of full coverage restoration?
1. Removal of larger amount of tooth structure than partial coverage
2. Adverse effects to pulp and periodontium
3. Vitality test not feasible
4. Display of metal
PFM Crown (metal ceramic)
These are disadvantages of which type of full coverage restoration?
1. Significant tooth reduction: 63 - 72% by weight
2. Fracture of porcelain: metal coping design and/ or fabrication technique
3. Difficult to obtain accurate occlusion due to the glazed porcelain
4. Shade selection
5. Inferior esthetics to all ceramic crown
6. Expensive
all ceramic crown
These are disadvantages of which type of full coverage restoration?
1. Reduced strength of restoration
2. Less conservative than PFM
- due to 360° rounded shoulder/ deep chamfer
3. Technical difficulty: well-fitting margin
- adequate prep is critical
4. Wear
full cast metal crown
These are indications of which type of full coverage restoration?
1. Extensive destruction from caries or trauma
2. Endo treated teeth
3. Necessity of maximum retention and resistance:
short clinical crown or long span FPD
4. Correction of contours is needed - recontouring of axial surface
5. Modification of occlusion
6. Surveyed crown for removable partial denture
PFM Crown
These are indications of which type of full coverage restoration?
1. Typical indications for full metal crown AND
2. Esthetics
3. Long span anterior FPD
- metal ceramic vs. all ceramic
4. Surveyed crown for RPD
- metal ceramic vs. all ceramic
all ceramic crown
These are indications of which type of full coverage restoration?
1. Esthetics highly required
2. Relatively intact tooth with sufficient coronal structure:- porcelain thickness should not be more than 2mm
3. Occlusal load: middle 1/3 of lingual wall
full cast metal crown
These are contraindications of which type of full coverage restoration?
1. Mouth with uncontrolled caries
2. Mouth with untreated perio disease
3. Less than maximum retention necessary: onlay or 3⁄4 crown
4. Esthetic needs
PFM crown
These are contraindications of which type of full coverage restoration?
1. Presence of active caries and untreated periodontal disease
2. When more conservative solution is feasible
3. Young patients: high risk of pulp exposure
all ceramic crown
These are contraindications of which type of full coverage restoration?
1. When a more conservative restoration can be used: Gold crown or PFM
2. Unfavorable occlusal load
- Edge-to-edge
- Deep overbite
3. Less esthetic demand
4. Adequate support is not possible:
- 360° rounded shoulder is not possible
- Short clinical crown
- Preservation of tooth structure
- Preservation of periodontium
- Marginal integrity
- Retention
- Resistance
- Structural durability
- Esthetic
What are the 6 principles of tooth preparation?
preservation of tooth structure
What principle are the following apart of?
- Taper
- Marginal occlusal inclines
- Margin geometry
preservation of periodontium
Cleansibility and margin placement are apart of which principle?
marginal integrity
Margin design is apart of which principle?
retention
What principle are the following apart of?
- Magnitude of dislodging force
- Geometry of tooth prep
- Roughness of fitting surfaces
- Materials being cemented
- Dental cements
resistance
What principle are the following apart of?
- Magnitude of dislodging force
- Geometry of tooth prep
- Dental cements
0.4
Taper height is at least what?
3 mm
Taper width is at least what?
structural durability
What principle are the following apart of?
- Enough reduction-NO OVER-REDUCTION
- Functional bevel, second plane reduction, avoid overcontour of crown
- Occlusal inclines
- Supragingival (above gingival margin)
- Equigingival (at gingival margin)
- Subgingival (0.5 mm below gingival margin)
What are the three possible margin placements?
Feather edge
What type of margin design is at 1?

Knife edge or chisel edge
What type of margin design is at 2?

Chamfer
What type of margin design is at 3?

Deep or heavy chamfer
What type of margin design is at 4?

Bevel or sloped shoulder
What type of margin design is at 5?

Shoulder
What type of margin design is at 6?

Rounded shoulder
What type of margin design is at 7?

Shoulder with bevel
What type of margin design is at 8?

Deep chamfer with bevel
What type of margin design is at 9?

- Needle bur
- Flame shaped bur
What type of bur creates the following margin design?
- Feather edge
- Round ended tapered bur
- Torpedo/Chamfer bur
What type of bur creates the following margin designs?
- Chamfer
- Deep or heavy chamfer
- Flat end tapered bur
- Modified flat end bur
What type of bur creates the following margin designs?
- Shoulder
- Rounded Shoulder
taper
Define the following:
The convergence of two opposing external walls of a crown prep as viewed in a given plane (path of insertion), e.g. MD or BL
undercut
Define the following:
(1) any irregularity on the wall of a prepared tooth that prevents the withdrawal or seating of a crown or wax pattern
(2) when the divergence exists between the opposing axial wall or wall segments
6 - 10°
What is the ideal taper?
10-20°
What is clinically acceptable for taper?
2-3°
(~3° on each side = 6°)
What is the taper of a round end tapered diamond bur parallel to the path of insertion?
Decreases
As taper increases, retention __________
Retention
By limiting the paths of withdrawal, __________ is improved
path of insertion
Define the following:
The imaginary line along which the restoration is placed onto or removed from the prep; the specific direction in which a prosthesis is placed on the residual alveolar ridge, abutment teeth, dental implant abutment(s), or attachments; syn, Path of placement
True (If both eyes are open when the preparation is viewed, undercuts may remain undetected)
T/F: To examine a preparation for undercuts, one eye should be closed.

taper/undercut
This is a way to check what?
- 30cm (12") with one eye
- 1⁄2" at an angle with one eye
4:10 or greater
the height:width ratio of the tooth prep should be what?
3mm, 10°
For lingual of anterior teeth, and premolars, the axial walls should be ___ mm at taper <___ degrees
3.5-4mm
For molars, the measurement for axial walls should be what?
Better
The preparation with longer walls (a) interferes with the tipping displacement of the restoration ________ than the short preparation (b)

Better
A preparation on a tooth with a smaller diameter (a) resists pivoting movements _________ than a preparation of equal length on a tooth of larger diameter (b)

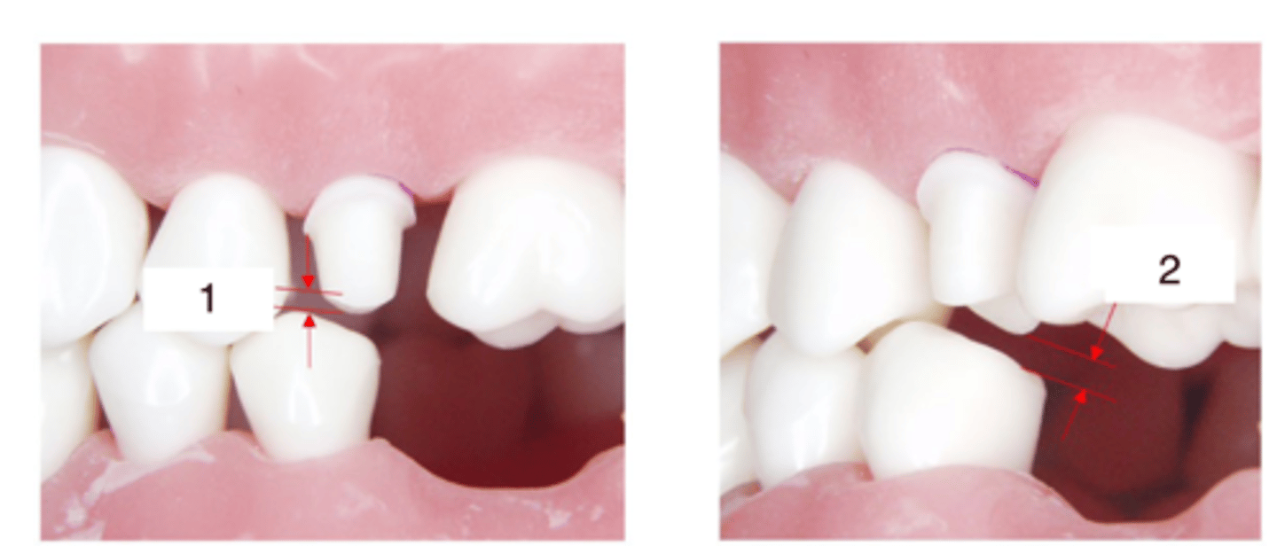
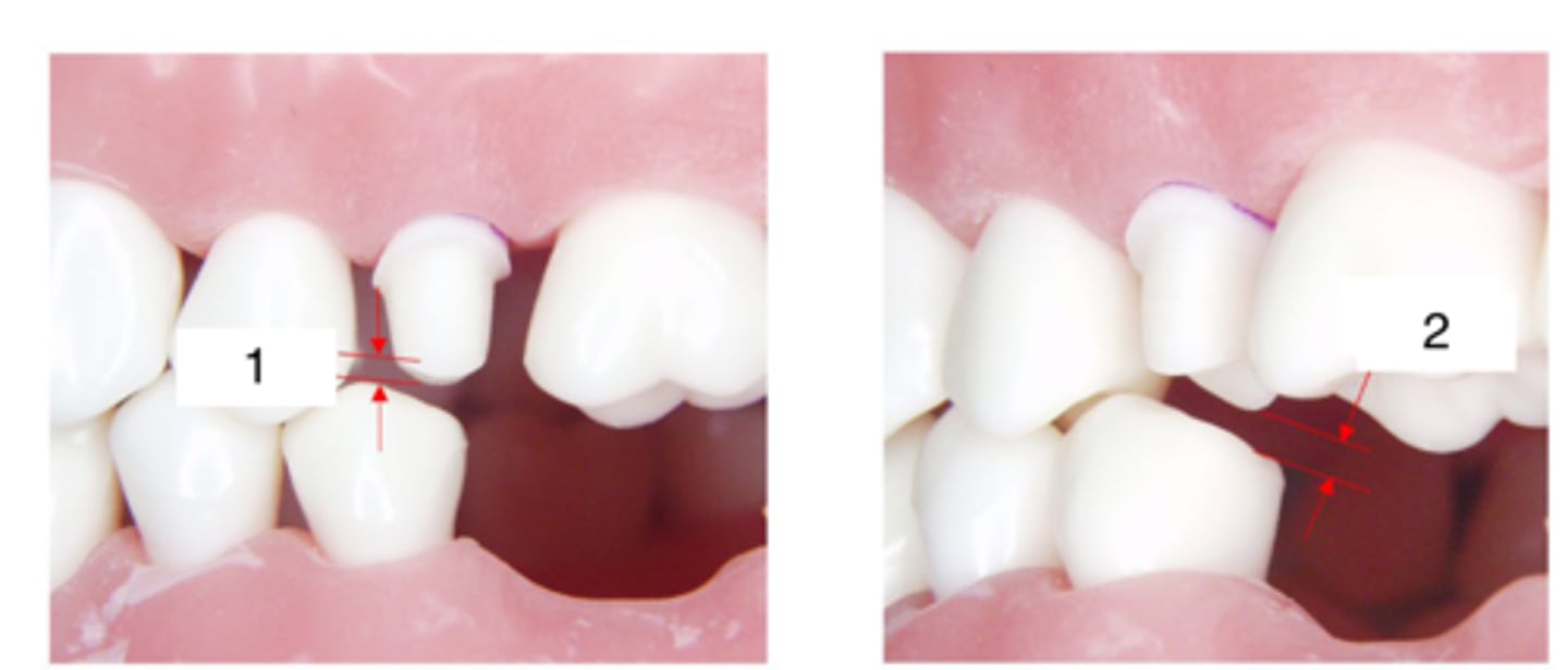
1.5 mm
What is the measurement of 1?

2.0 mm
What is the measurement of 2?

2.0 mm
What is the measurement of 1?

1.5 mm
What is the measurement of 2?

1.2-1.5 mm
What is the measurement of 3?

1.0-1.2 mm
What is the measurement of 4?

1.0-1.2 mm
What is the measurement of 5?

0.5-1.0 mm
What is the measurement of 6?

10-12 o'clock with the patient's head turned to the left
Where should you sit when working on the buccal surfaces of #5?
11-1 o'clock with the patient's head straight
Where should you sit when working on the occlusal surfaces of #5?
12-3 o'clock with the patient's head turned to the right
Where should you sit when working on the lingual surfaces of #5?
Firm grip, finger rest
What type of grip do you use when working on a crown prep?
Supragingival margin
What type of margin is this?

45°
The functional bevel on the functional cusp has an inclination of ____°
Nonfunctional cusp
What cusp is the second plane of reduction on?
3-5°
What should the taper be here?

Isosceles trapezoid
What shape does the PFM Crown prep on #5 make?
Retention form
Define the following:
Ability to prevent dislodgment of the restoration along the path of insertion
Resistance form
Define the following:
The ability to prevent dislodgment of the restoration in any directions besides the path of insertion
- Retention form
- Resistance form
What are functional factors of tooth preparation?
- Increase parallelism (less occlusal taper)
- Increase height
- Increase surface area (i.e. Retentive Groove(s) or Box(es) provides not only increasing surface area but also providing strategic geometry to improve retention, if it was done properly)
What are three ways to improve retention form on your tooth prep?
Increase adhesion (i.e. use non-precious metal with specific resin cement or modify surface chracter of the restoration and/or tooth structure)
What is a way to improve retention form at the interface between tooth-cement restoration?
- Parallelism
- Height
- Surface Area
- Adhesion
What four factors influence the retention of a final restoration?
> 0.4
What is the recommended Occlusal-Cervical Dimension: Buccal-Lingual Dimension?
Adjusting occlusion prior to restoration insertion
What helps reduce loss of retention due to unintended forces on a cemented restoration?
Lack of resistance form
What is a major reason to discard the crown during Try-in visit even though marginal fit is good?
- Creating M&D Grooves
- Creating M&D Boxes
- Creating Occlusal Isthmus Groove
What are three methods to improve resistance form?
Undercut
Define the following:
1. The portion of the surface of an object that is below the height of contour in relationship to the path of placement (1859)
2. The contour of a cross-sectional portion of a residual ridge or dental arch that prevents the insertion of a dental prosthesis (1859)
1598 - To create areas that provide mechanical retention for dental materials placement
Undercut
Define the following:
Any irregularity in the wall of a prepared tooth that prevents the withdrawal or seating of a wax pattern or indirect restoration
less
An undercut is the portion of a tooth that lies between its height of contour and the gingiva, only if that portion is of _______ circumference than the height of contour.
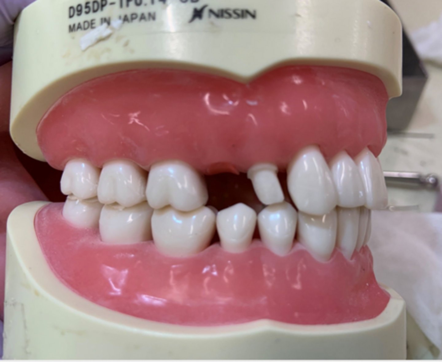
#5
Which tooth has an undercut?

1. Know what type restorative material to be used for your crown = amount of tooth reduction to match your restorative material thickness
2. Proper Occlusal Taper/Path of Insertion = Look at 3 views--Mesial View, Buccal View and Occlusal View to make certain that there is no undercut
3. Make sure you break contact at the margin area. Use Retraction Cord instrument to check that you have enough space = No resistance
What are three ways to assess your tooth preparation?
Buccal-lingual walls
What is this assessing?

Mesial-Distal walls
What is this assessing?

- Outline form to finish line
- Check undercut(s)
What is this assessing?

Palatal cusp was significantly over-reduced
What is wrong with the tooth prep on #5?

Significant under-reduction occlusally
What is wrong with the tooth prep on #5?

- Irregularities
- B/L, axial wall over-reduction
What is wrong with the tooth prep on #5?

- Divergent
- Undercut
What is wrong with the tooth prep on #5?

Internal line angle overlaps with finish line at the MB and DB corners
What is wrong with the tooth prep on #5?

Over-reduction
What is wrong with the tooth prep on #5?

Long axis preparation is off
What is wrong with the tooth prep on #5?

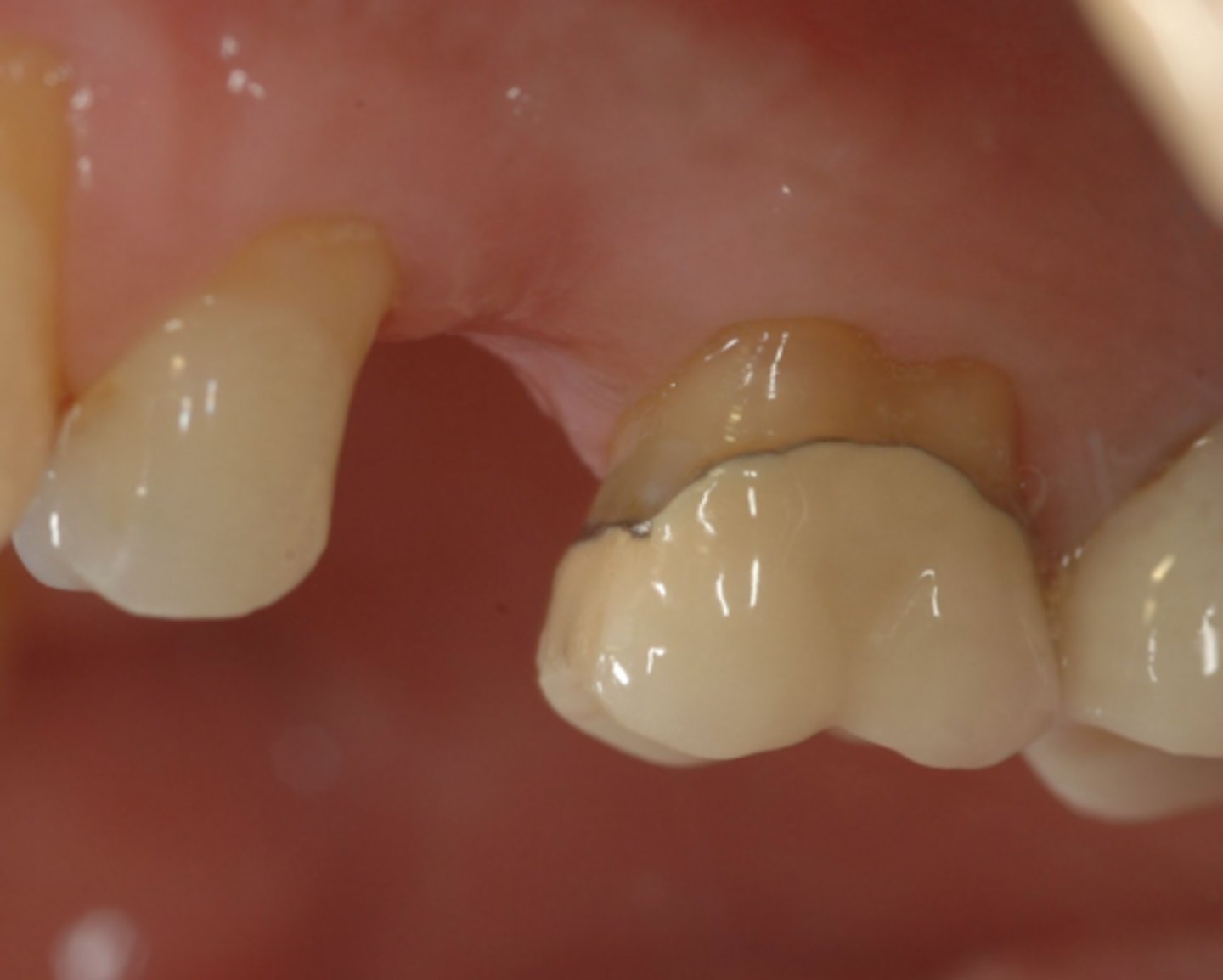
Sub-gingival (however, appearance is NOT an indicator to make a new crown)
What type of crown level would you suggestion for tooth #14?
