1/307
Looks like no tags are added yet.
Name | Mastery | Learn | Test | Matching | Spaced | Call with Kai |
|---|
No analytics yet
Send a link to your students to track their progress

What view is this image in?
upright view of the abdomen
good for seeing free air in the peritoneal cavity
good for seeing air-fluid levels within the bowel

what is abnormal about the circled area?
free air in the peritoneum under the diaphragm

What view is this image in?
Left lateral decubitus

free air

Free air

free air under the diaphragm (indicative of pneumoperitoneum)

Normal bowel gas pattern

Normal supine AXR

Normal prone AXR

Normal AXR (and normal size liver)

Normal AXR (and normal organs)

Normal AXR (and normal structures)

Toxic megacolon


Location of large bowel

Small bowel enlargement (Valvulae conniventes)

Large bowel Haustra

Large bowel haustra (pic 2)

Small bowel (Valvulae conniventes)

Normal colonic distension (barium enema study)

shows large bowel on barium swallow with follow through

Stool

Constipation

Hepatomegaly

Hepatomegaly (pic 2)

splenomegaly

Normal kidneys intravenous pyelogram

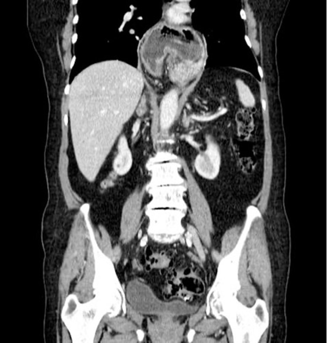
enlarged kidneys AXR and CT

Normal bladder

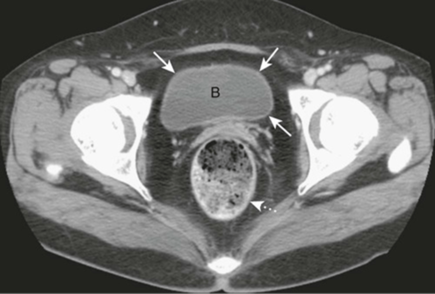
left: distended bladder
right: enlarged uterus

Bladder stone

Gallstones/maybe kidney stone

Kidney stones

Kidney stones (pic 2)

kidney stones (pic 3)

renal calculi (and ureteric stone)

staghorn renal calculus

staghorn renal calculus

medullary nephrocalcinosis

Gallstones (pic 2)

Gallstones (pic 3)

Gallstones (pic 4)

Fibroid

Phleboliths (venous calcifications)

Uterine fibroid/Leiomyoma

Calcified pancreas in chronic pancreatitis

Gallbladder wall calcification (porcelain gallbladder)

Injection granulomas

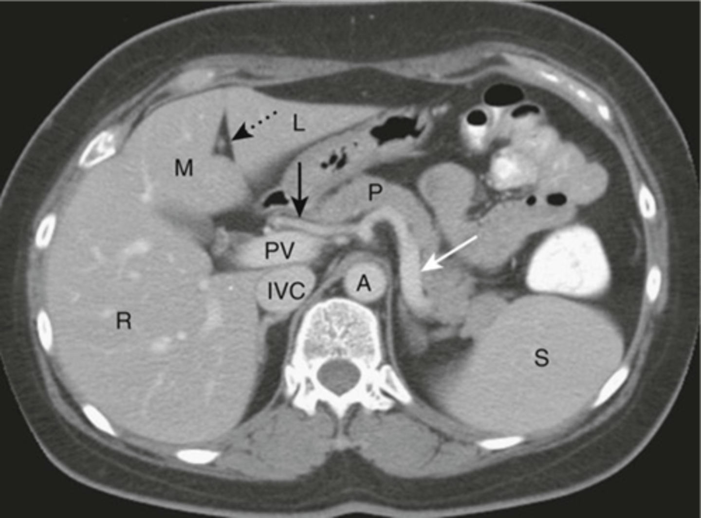
Normal anatomy in axial CT

Aortic aneurysm calcification

Abdominal aortic aneurysm calcification

Abdominal aortic aneurysm calcification (pic 2)

Abdominal aortic aneurysm calcification (pic 3)

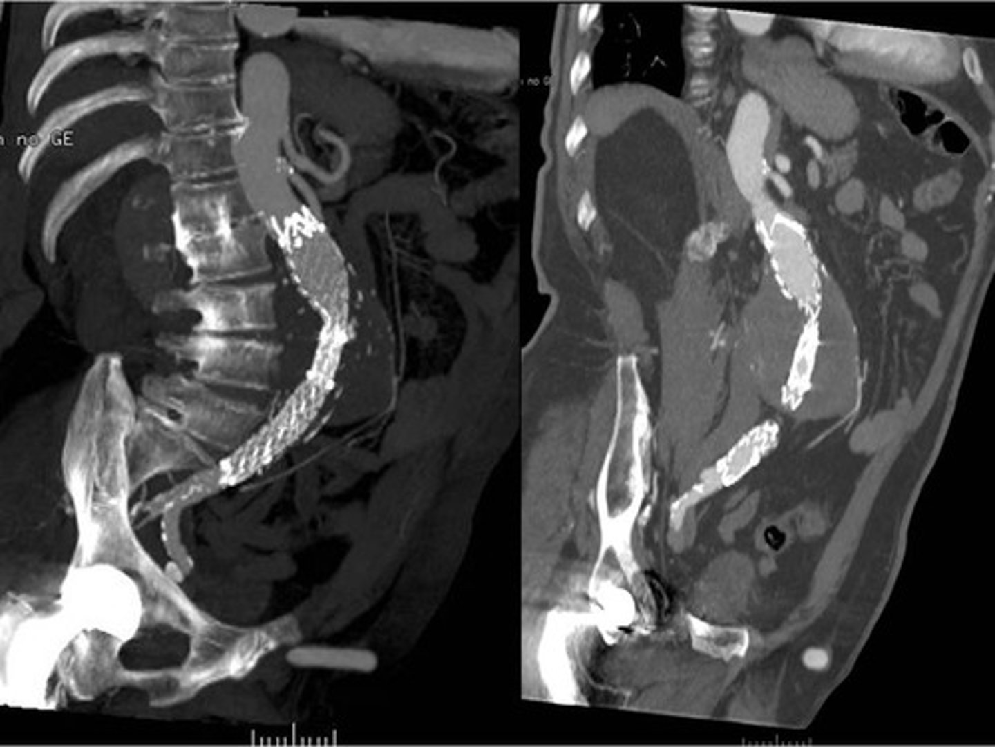
Abdominal aortic aneurysm on CT

endostent placement due to AAA

Normal liver

Right lobe of liver and hepatic veins on US

right lobe of liver and kideny on US

Portahepatis and bile duct on US

Normal

fatty liver (hyperechoic=too bright)

Hepatitis (hypoechoic=starry skies)

Inhomogeneous (normally a liver tumor)

Normal pancreas

Normal pancreas US

Normal pancreas US (pic 2)

Normal pancreas CT

Normal pancreas MRI

Normal CT

Normal small and large bowel on CT

Normal bladder CT

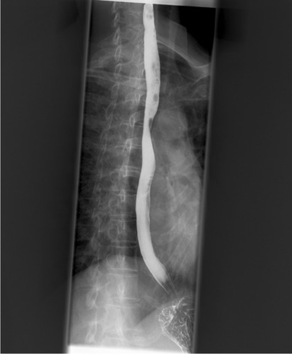
esophagus on barium swallow

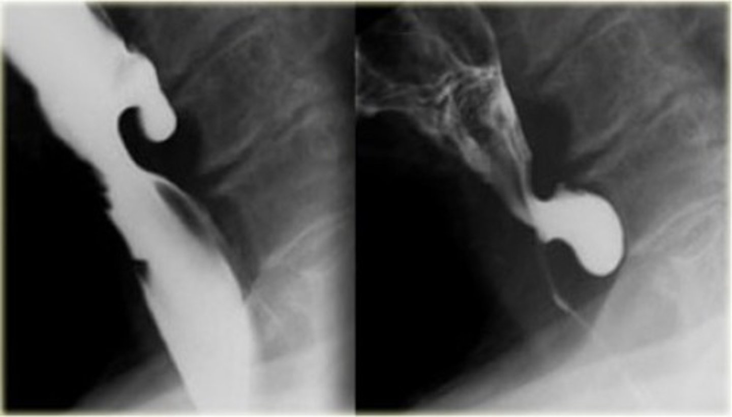
cricopharyngeal achalasia/Zenker’s diverticulum

Zenkers diverticulum

Zenkers diverticulum (pic 2)

Zenkers diverticulum (pic 3)

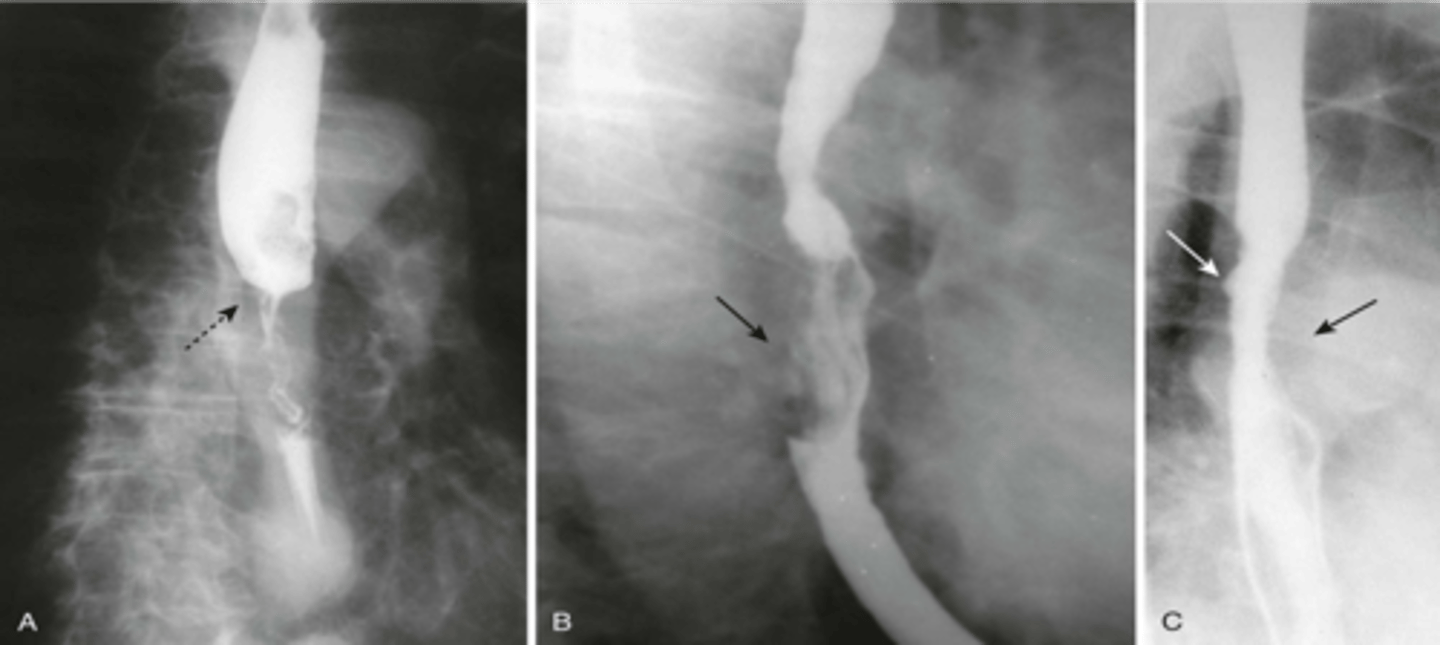
A: zenkers diverticulum
B: traction diverticulum (often seen in TB patients)
C: epiphrenic diverticulum

A: annular constriction
B: Polypoid mass
C: rigid wall and ulcer

Esophageal cancer: ulcers and mass

Barrett’s esophagus

Hiatal hernia with schatzkis ring

Achalasia

Achalasia (pic 5)

Achalasia (pic 2)

Achalasia (pic 3)

Achalasia (pic4 )

Hiatal hernia
we can see schatzki ring

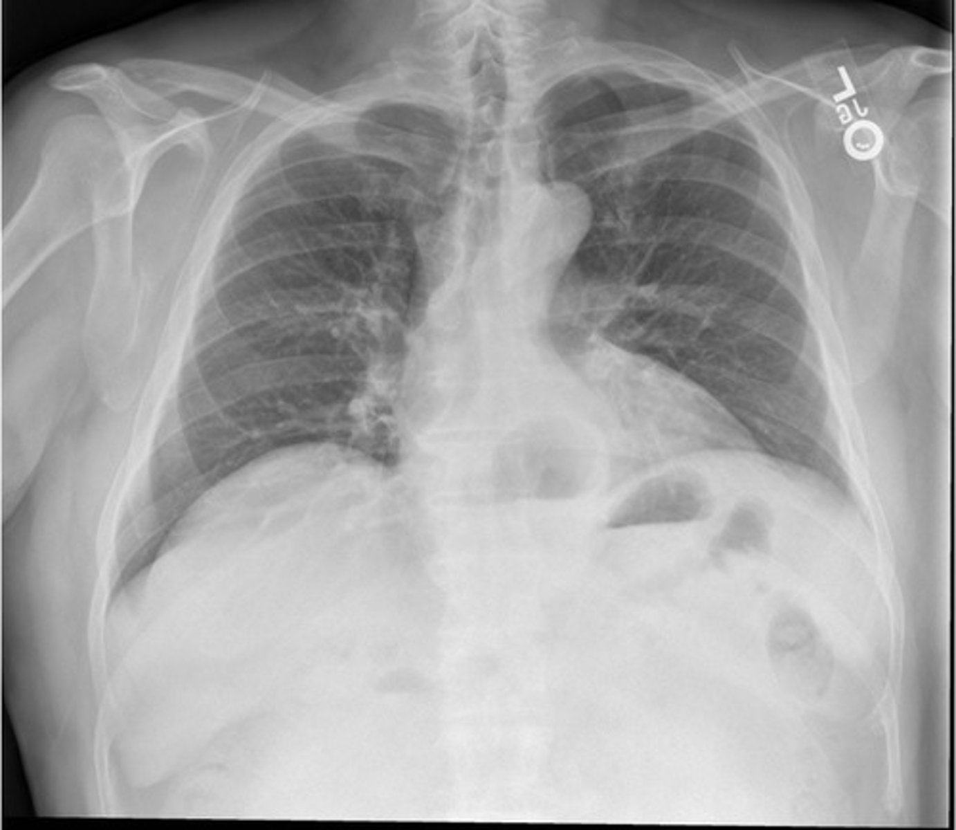
Hiatal hernia CXR

Hiatal hernia CXR (Pic 2)

Sliding hiatal hernia

Sliding hiatal hernia (pic 2)

Sliding hiatal hernia (pic 3)

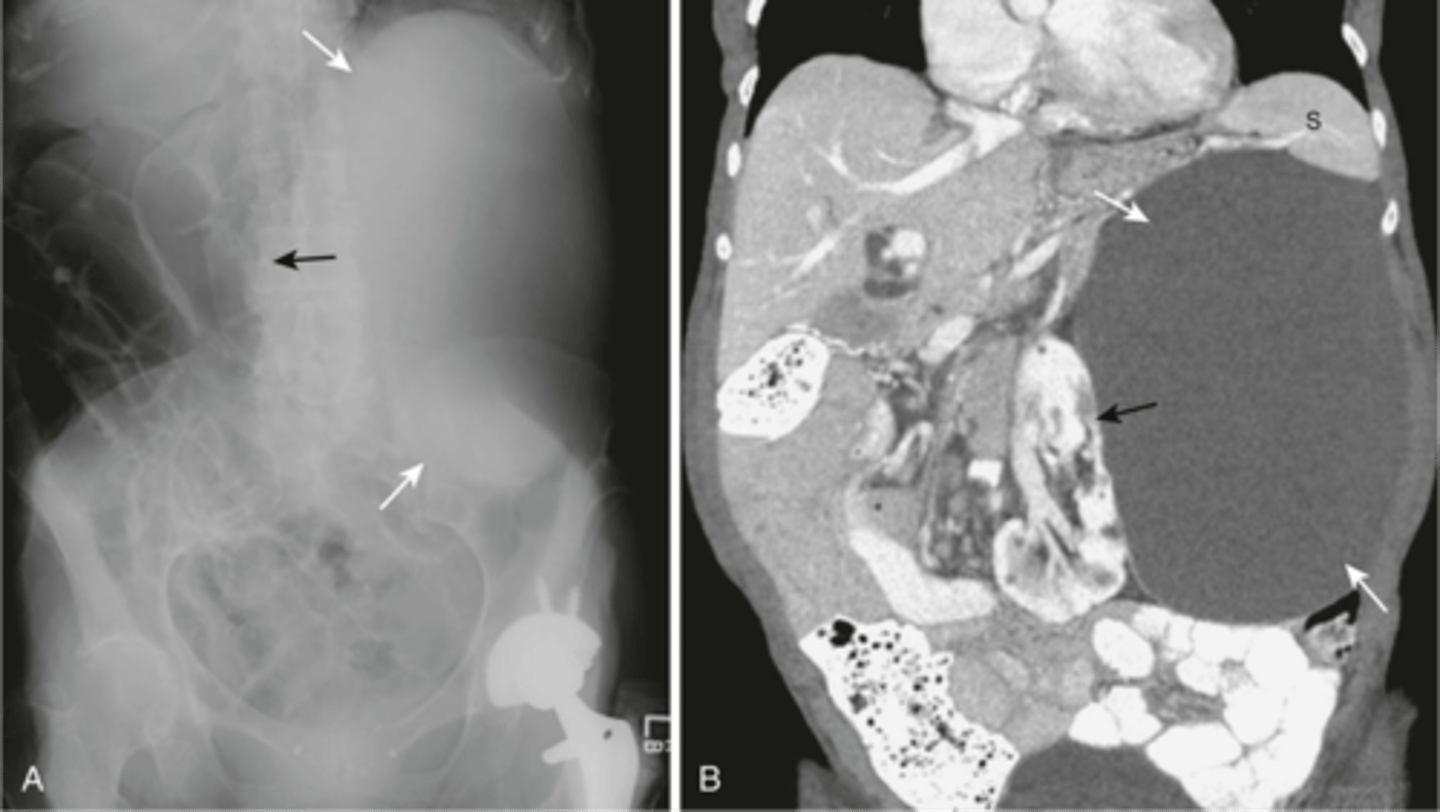
paraesophageal hernia

Paraesophageal hernia (pic 2)

Paraesophageal hernia CT
stomach is in chest

Paraesophageal hernia CT (pic 2)
stomach is in chest

Normal barium swallow

Normal barium swallow (pic 2)

ulcer

Ulcer (pic 2)

ulcerative cancerous mass