a&p lab practical 2 (bones)

0.0(0)
studied byStudied by 0 people
full-widthCall with Kai
GameKnowt Play
learnLearn
examPractice Test
spaced repetitionSpaced Repetition
heart puzzleMatch
flashcardsFlashcards
Card Sorting

1/41

encourage image

There's no tags or description

Looks like no tags are added yet.

Study Analytics
Name
Mastery
Learn
Test
Matching
Spaced

No study sessions yet.

42 Terms

1
New cards

the axial skeleton consists of:

  • skull

  • hyoid bone

  • vertebral column

  • ribs

  • sternum

  • auditory ossicles

2
New cards

the appendicular skeleton consists of:

  • pectoral girdle

  • clavicle

  • scapula

  • upper limb

    • humerus

    • radius

    • ulna

    • carpals

    • metacarpals

    • phalanges

  • lower limb

    • femur

    • patella

    • tibia

    • fibula

    • tarsals

    • metatarsals

    • phalanges

3
New cards

process

general term for projection from the surface of the bone

4
New cards

tubercle

a relatively small bump on a bone

5
New cards

tuberosity 

relatively large, rough area on a bone

6
New cards

spine

short, sharp projection

7
New cards

condyle

a smooth surface that articulates with another bone

8
New cards

epichondyle

projection above a chondyle

9
New cards

head

a terminal projection that articulates with another

10
New cards

neck

constriction below the head

11
New cards

crest

an elevated ridge of bone

12
New cards

line

smaller elevation than a crest

13
New cards

facet

smooth, flat face

14
New cards

trochanter

a large bump (on femur)

  • greater or lesser

15
New cards

foramen

a shallow hole

16
New cards

sinus

cavity

17
New cards

meatus or canal

deeper hole

18
New cards

fossa

a depression in a bone

19
New cards

notch 

a deep cut out

20
New cards

groove or sulcus

elongated depression

21
New cards

fissure

long, deep cleft

22
New cards

epiphysis

  • proximal and distal ends of long bone 

  • epiphyseal plate

    • line of hyaline cartilage that increases in thickness with the division of chondrocytes

23
New cards

diaphysis

shaft of the long bone

24
New cards
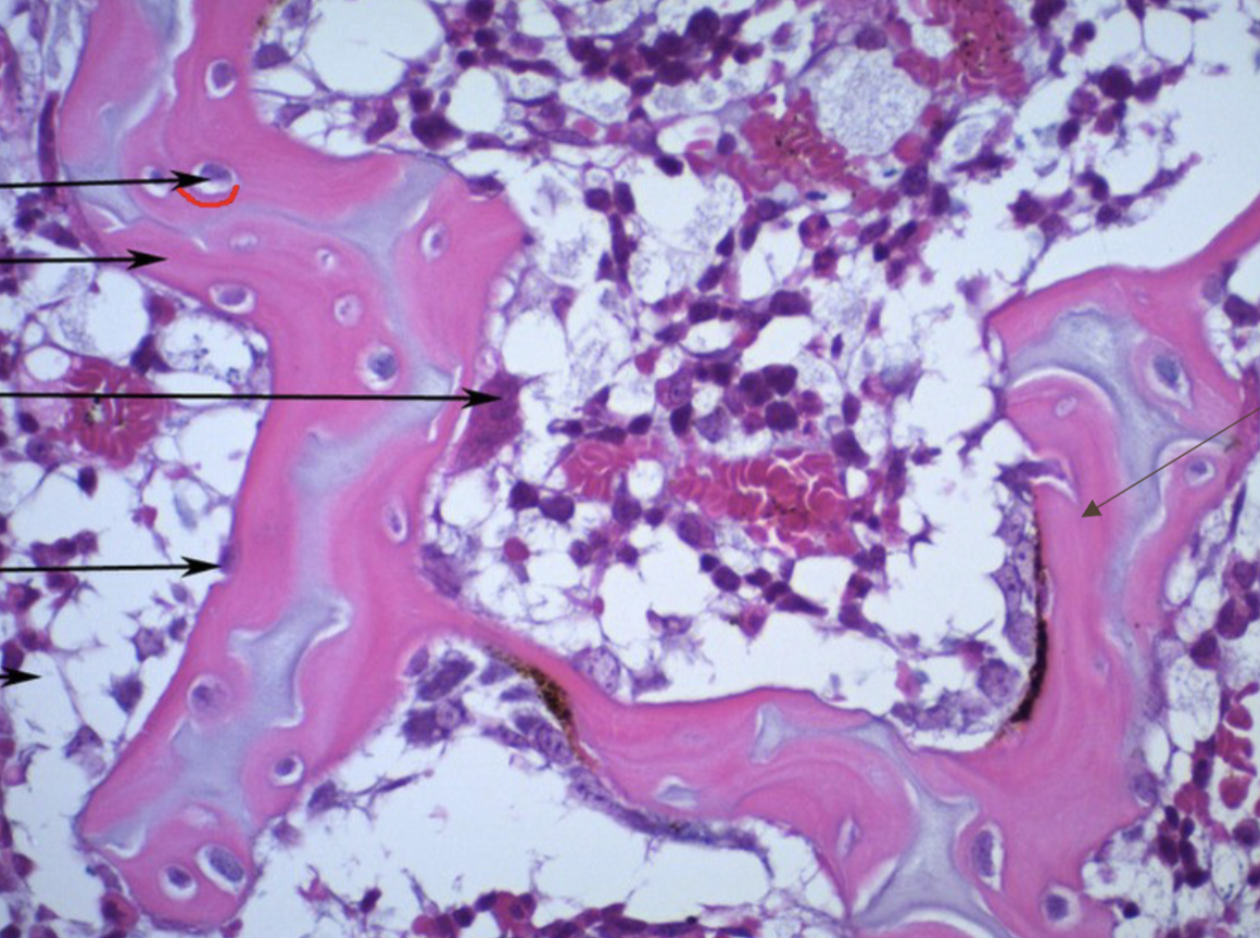
<p>spongey bone</p>

spongey bone

  • cancellous

  • porous, lattice like structure

  • provides strength and reduces weight

  • inner most bone type

  • made of trabeculae: thin rods of bone that run parallel with stressor

25
New cards

compact bone

  • cortical

  • dense, hard outer layer

  • provides strength and skeletal protection

26
New cards

yellow bone marrow

  • adipose containing

  • soft, spongey

  • found in hollow center of long bones

27
New cards

red bone marrow

  • hematopoietic (blood forming)

  • spongey, soft tissue

  • as person ages, red marrow changes to yellow

  • found in long bones, ribs, skull, spine, and pelvis

28
New cards

articular cartilage

  • found in epiphysis at ends of long bones 

  • composed of hyaline cartilage and helps reduce friction at ends of joints

29
New cards

periosteum

  • dense connective tissue that covers the outer portion of bone

  • where nerves and blood vessels are located

  • anchoring point for tendons and ligaments 

30
New cards

osteon

modular unit of bone

31
New cards

central canal of osteon

  • hole in the middle of osteon

  • houses blood vessels and nerves in dense bone tissue

  • typically runs vertically

32
New cards

osteocytes of osteon

  • mature bone cells

  • respond to stress on bone and remodel bone in response

33
New cards

lacunae of osteon

  • small cavities that contain mature bone cells

    • houses osteocytes

34
New cards

canaliculi of osteon

  • thin tubes that connect lacunae

  • provides passageway through dense bone material

35
New cards

3 types of lamellae:

  • concentric 

  • interstitial 

  • circumferential

36
New cards

concentric lamellae

cylindrical layers of bone matrix that surround central haversian canal

37
New cards

interstitial lamellae

irregularly shaped bone tissue remains that fill spaces between osteons

38
New cards

circumferential lamellae

thin, flat layers of bone matrix that wrap completely around the circumference of bone shaft

39
New cards

long bones

  • longer than they are wide with prominent shaft and two ends

    • femur

    • tibia

    • fibula

    • humerus

    • radius

    • ulna

    • phalanges

40
New cards

short bones

  • cube-like shape

    • carpals 

    • tarsals

41
New cards

flat bones

  • thin, broad, sometimes curved

    • skull bones

    • ribs

    • sternum

    • scapulae

    • pelvic bones

42
New cards

irregular bones

  • complex in shape

    • vertebrae

    • pelivs

    • skull bones

    • hyoid

    • mandible

    • maxilla