1/46
Looks like no tags are added yet.
Name | Mastery | Learn | Test | Matching | Spaced |
|---|
No study sessions yet.
Toes Routine
- AP
- Oblique
- Lateral
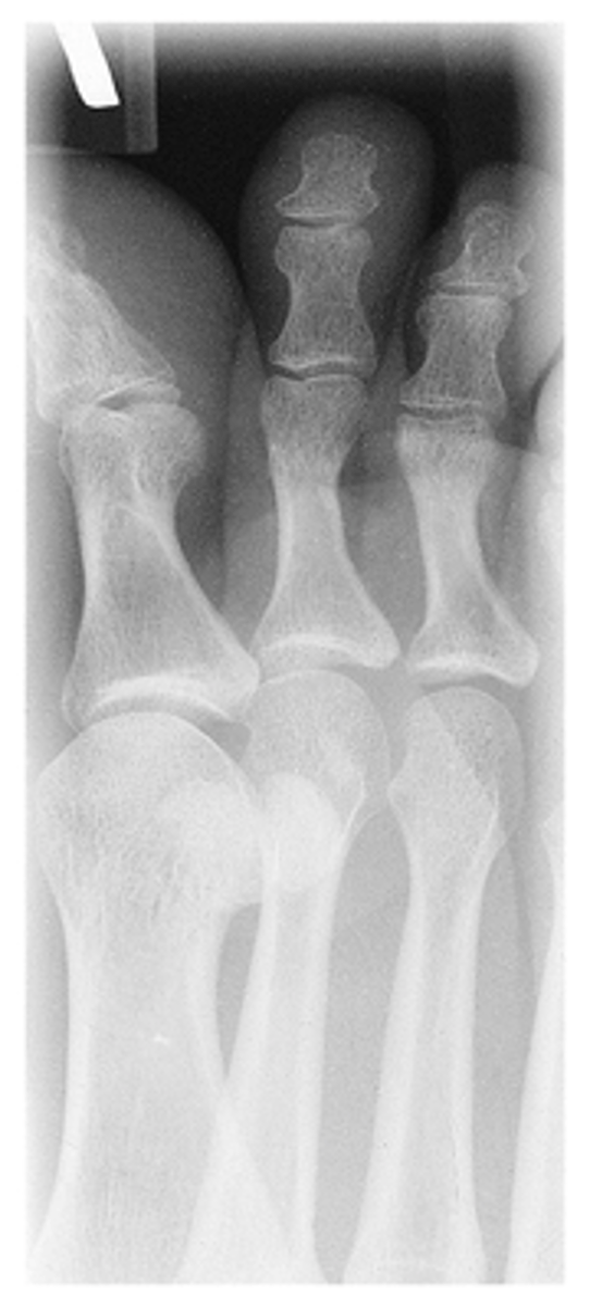
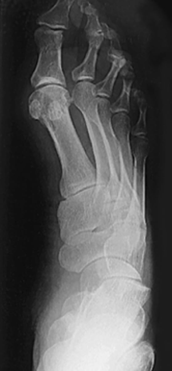
AP Toes
What projection is this?

Evaluation Criteria for AP Toes
- CR 10° to 15° posterior to MTP joint
- Digits and minimum of distal ½ of metatarsal demonstrated
- No overlap of soft tissues
- IP and MTP joints appear open
- Optimal exposure factors
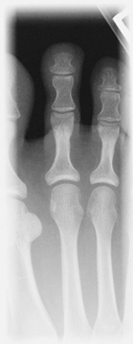
AP Second Digit
What projection is this?

Evaluation Criteria AP Toes Digit
- 15° wedge, CR perpendicular to IR
- Digits and minimum of distal ½ of metatarsal demonstrated
- No overlap of soft tissues
- IP and MTP joints appear open
- Optimal exposure factors

AP Oblique Medial Rotation
What projection is this?

AP Oblique Lateral Rotation
What projection is this?

Evaluation Criteria for AP Oblique
- Digits and minimum of distal ½ of metatarsal demonstrated
- IP and MTP joints appear open
- Increased concavity on one side of shaft
- Heads of metatarsals not overlapped
- Optimal exposure factors

Lateral First Digit
What projection is this?

Evaluation Criteria for Lateral First Digit
- Lateromedial
- CR to IP
- Digits presented in true lateral position
- IP and MTP joints appear open
- Digit free of superimposition
- Optimal exposure factors

Lateral Fourth Digit
What projection is this?

Evaluation Criteria for
Lateral Fourth Digit
- CR to PIP
- Mediolateral
- Digits presented in true lateral position
- IP and MTP joints appear open
- Digit free of superimposition
- Optimal exposure factors

Tangential Sesamoids Supine
What projection is this?

Tangential Sesamoids Prone
What projection is this?

Evaluation Criteria for Tangential Sesamoids
- Sesamoids free of superimposition
- Minimum of three metatarsals seen
- Optimal exposure factors

Foot Routine
- AP
- Oblique
- Lateral
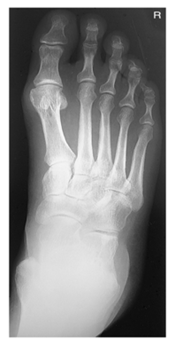
AP Foot
What projection is this?

Evaluation Criteria for AP Foot
- CR 10° angled posteriorly
- CR to base of 3rd MT
- Entire foot visualized
- No rotation of metatarsals
- MTP joints generally open
- Optimal exposure factors

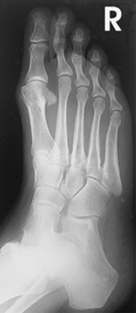
AP Oblique Foot
What projection is this?

Evaluation Criteria for AP Oblique Foot
- 30° to 40° medial rotation
- CR to base of third MT
- Entire foot visualized
- Third through fifth metatarsals free of superimposition
- Tuberosity demonstrated at base of fifth metatarsal
- Optimal exposure factors

Evaluation Criteria for Alternate Lateral Oblique Foot
- 30° lateral rotation
- CR to base of third MT
- Demonstrates base of first MT and medial tarsals

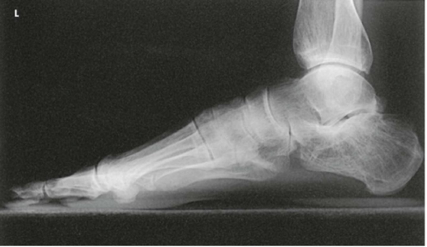
Mediolateral Foot
What projection is this?

Evaluation Criteria for Mediolateral Foot
- True lateral
- CR to midcuneiform (base of third MT)
- Entire foot visualized
- Tibiotalar joint demonstrated
- Metatarsals superimposed
- Optimal exposure factors

Lateromedial Foot
What projection is this?

Evaluation Criteria for Lateromedial Foot
- True lateral
- CR to midcuneiform (base of third MT)
- Entire foot visualized
- Metatarsals superimposed
- Optimal exposure factors

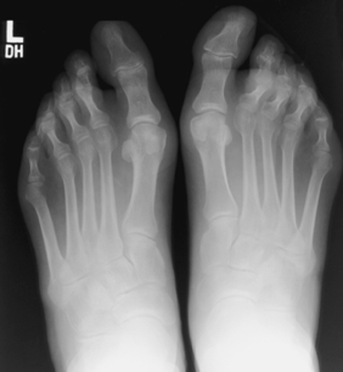
AP Weight Bearing Foot
What projection is this?

Evaluation Criteria for AP Weight Bearing Foot
- CR 15 posterior
- CR to base of MTs
- Bilateral feet demonstated
- Phalanges and MTs not rotated

Lateral Weight Bearing Foot
What projection is this?

Evaluation Criteria for Lateral Weight Bearing Foot
- Horizontal beam
- Entire foot demonstrated
- Plantar surfaces of MTs superimposed
- Optimal exposure factors

Calcaneus Routine
- Plantodorsal (axial)
- Lateral
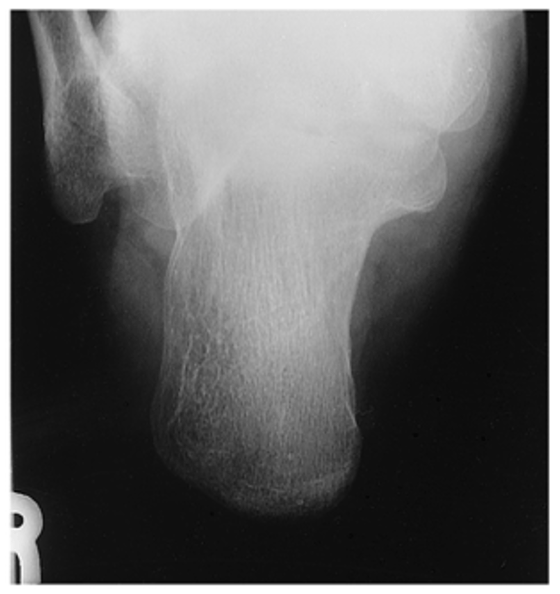
Plantodorsal (Axial) Calcaneus
What projection is this?

Evaluation Criteria Plantodorsal (Axial) Calcaneus
- CR 40° to cephalad
- CR to base of third MT to emerge posterior to malleoli
- Entire calcaneus visualized
- No rotation
- Optimal exposure factors

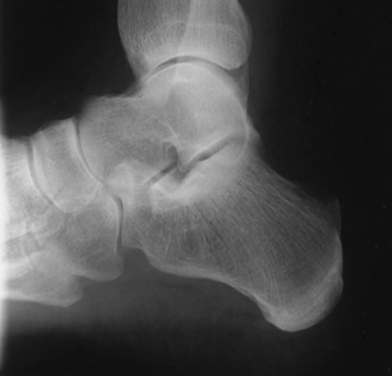
Mediolateral Calcaneus
What projection is this?

Evaluation Criteria Mediolateral Calcaneus
- CR 1 inch (2.5 cm) inferior to medial malleolus
- Calcaneus and talus visualized
- No rotation
- Optimal exposure factors

Ankle Routine
- AP
- AP Mortise
- 45º Oblique
- Lateral
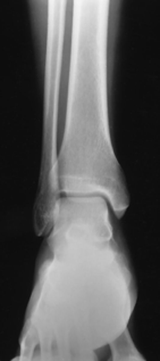
AP Ankle
What projection is this?

Evaluation Criteria AP Ankle
- AP
- CR midway between malleoli
- Distal ⅓ of tibia and fibula demonstrated
- Proximal ½ of metatarsals included
- Medial and superior aspect of ankle joint open

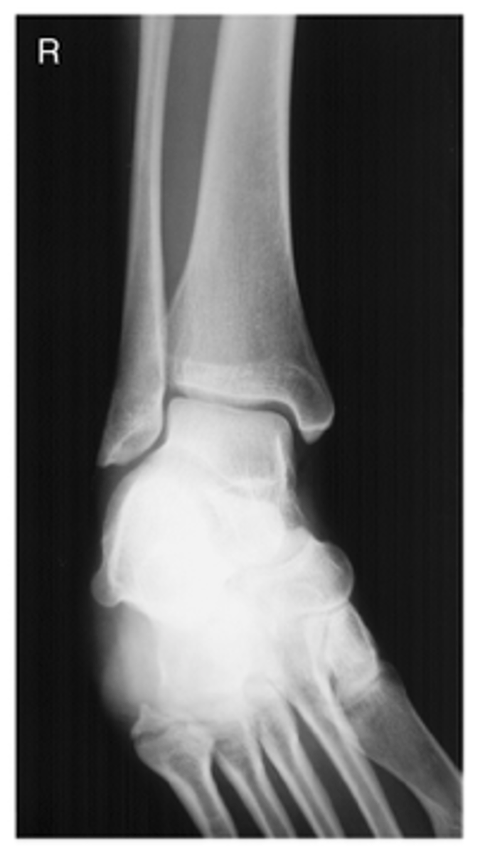
AP Mortise Ankle
What projection is this?

Evaluation Criteria AP Mortise Ankle
- Intermalleolar line parallel to IR
- Ankle rotated 15-20 degrees medial rotation
- CR midway between malleoli
- Entire ankle mortise open
- Distal ⅓ of tibia and fibula demonstrated
- Proximal ½ of metatarsals included
- Optimal exposure factors

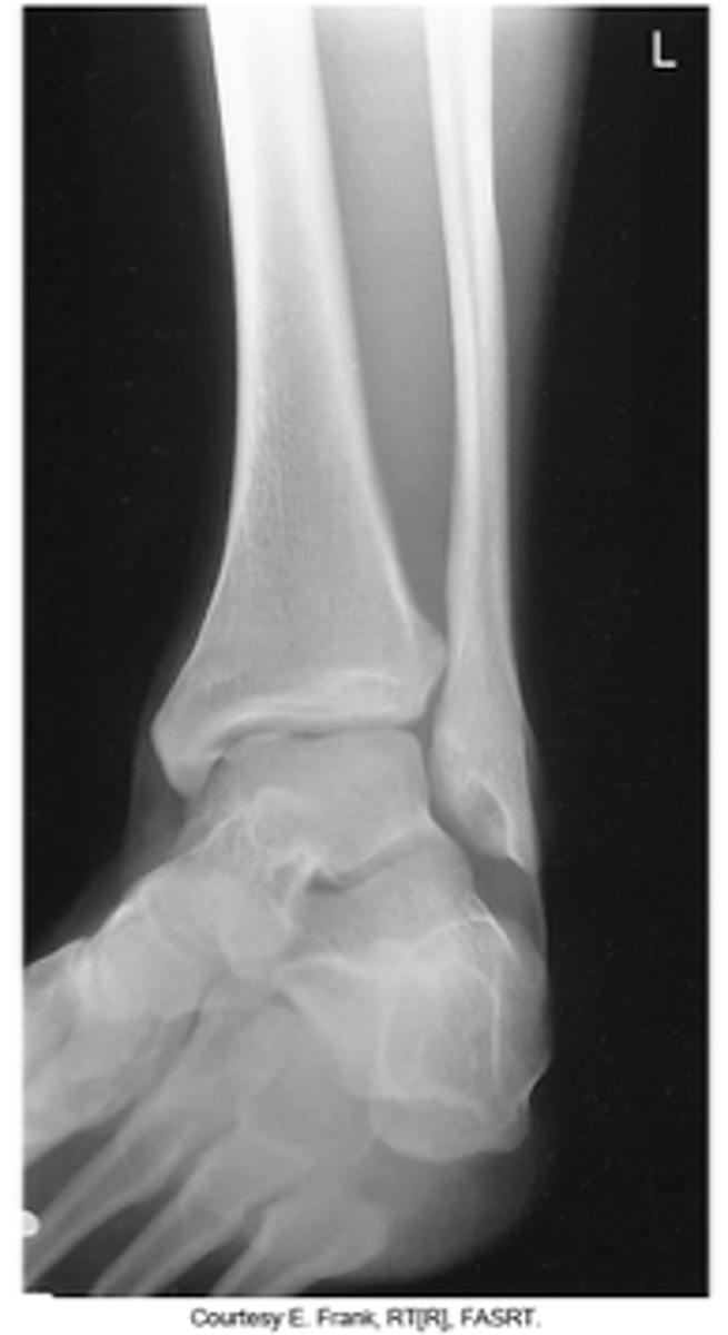
AP 45º Oblique Ankle
What projection is this?

Evaluation Criteria AP 45º Oblique Ankle
- 45° medial rotation
- CR midway between malleoli
- Distal tibiofibular joint open
- Distal ⅓ of tibia and fibula demonstrated
- Proximal ½ of metatarsals included
- Optimal exposure factors

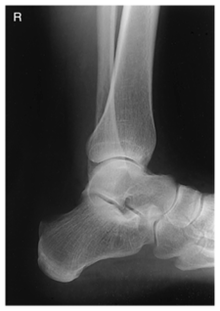
Lateral Ankle (Mediolateral)
What projection is this?

Lateral Ankle (Lateromedial)
What projection is this?

Evaluation Criteria Lateral Ankle
- CR Centered to Medial Malleolus
- Entire talus and calcaneus visualized
- Lateral malleolus superimposed over posterior half of tibia
- Optimal exposure factors

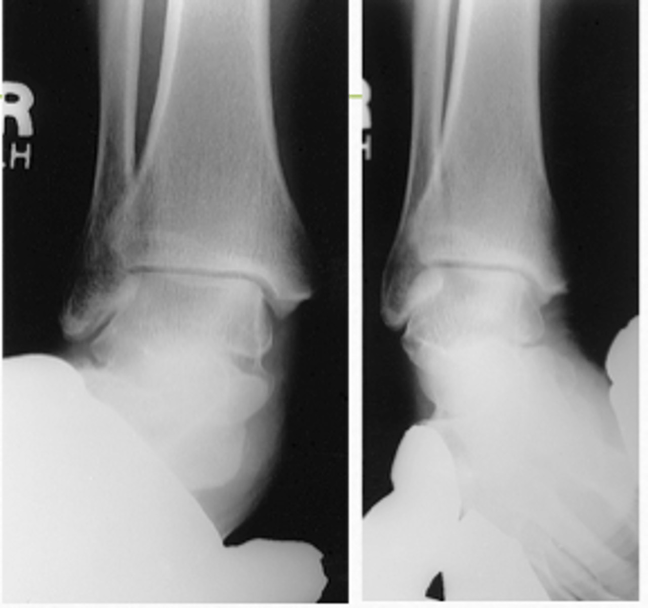
AP Stress Ankle (Inversion)
What projection is this?

AP Stress Ankle (Eversion)
What projection is this?

Evaluation Criteria AP Stress Ankle
- Distal aspect of tibia and fibula demonstrated
- Ankle joint to center of collimation field
- Optimal exposure factors
