1/50
2 Q's Lecture , 1 Q Lab
Name | Mastery | Learn | Test | Matching | Spaced | Call with Kai |
|---|
No analytics yet
Send a link to your students to track their progress
Hypospadia
Urethral opening under shaft (ventral)
Epispadia
Urethral opening on top of shaft (dorsal)
Priapism
Congestion of the corpora cavernosa >4-6 hours
Peyronies Disease
Chronic fibrosis of the tunica albuginea , pain and abnormal curvature
Phimosis
Foreskin scarred and unable to retract
Paraphimosis
Forcible retraction of the foreskin which becomes trapped behind the glans
Urethritis etiology
Gonococcal = Gonorrhea , Nongonococcal = chlamydia (also mycoplasma, tricohomonas, e.coli)
Complications from urethritis
Ascending infection, infertility, reactive arthritis
Reactive Arthritis
Males 15-35;
GU infection chlamydia;
GI infection shigella, salmonella, campylobacter
Reactive Arthritis HLA
HLA-B27
Reactive Arthritis Classic Triad
Conjunctivitis/Uveitis/Arthritis “Cant See, Cant Pee, Cant Climb a Tree”
Balanitis
Nonspecific penile ulcer
Specific Ulcer Etiology: Chancre
Treponema Pallidum (Syphilis)
Specific Ulcer Etiology: Chancroid
Haemophilus Ducreyi
Specific Ulcer Etiology: Lymphogranuloma Venereum
Chlamydia Trachomatis
Specific Ulcer Etiology: Granuloma Inguinale
Klebsiella granulomatis

Chancre - Treponema Pallidum (Syphilis)

Chancroid - Haemophilus Ducreyi

HSVII

Granuloma Inguinale - Klebsiella granulomatis
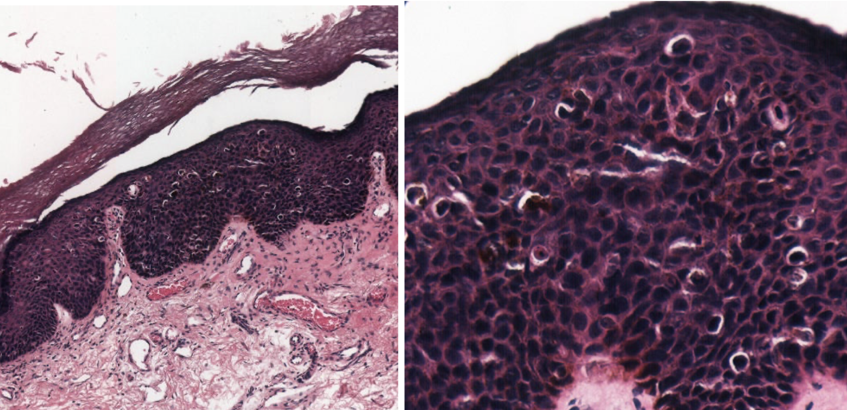
Condyloma Acuminata
HPV6,11

Balanitis

Condyloma Acuminata

Condyloma Acuminata

Condyloma Acuminata

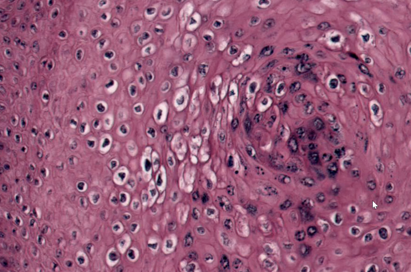
Koilocytes
Benign Neoplasms of the Urethra (2)
Papilloma and Adenoma
Malignant Neoplasm of the Urethra (1)
Urothelial Carcinoma (Adenocarcinoma very rare)

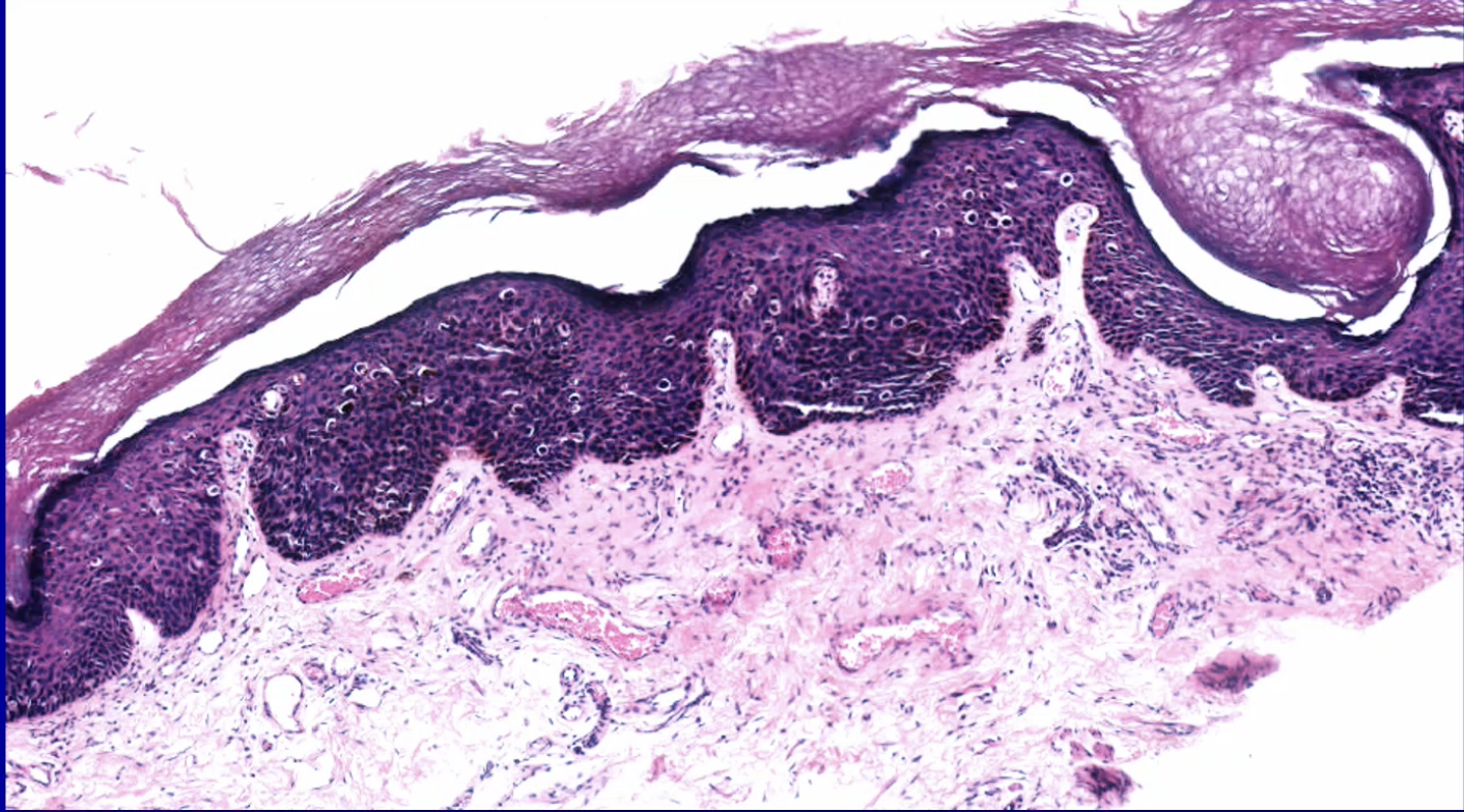
PeIN

PeIN

PeIN

PeIN

Bowenoid Papulosis - Better prognosis than PIN
PeIN vs Bowenoid Papulosis age range
PeIN >35 years old, Bowenoid Papulosis 20’s
Penile squamous cell carcinoma demographics
Asia, Africa, South America ; 40-70 yo ; not circumscribed ; smokes ; hx HIV, HPV, PeIN

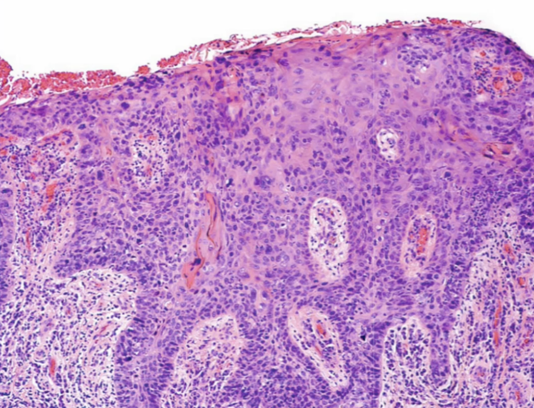
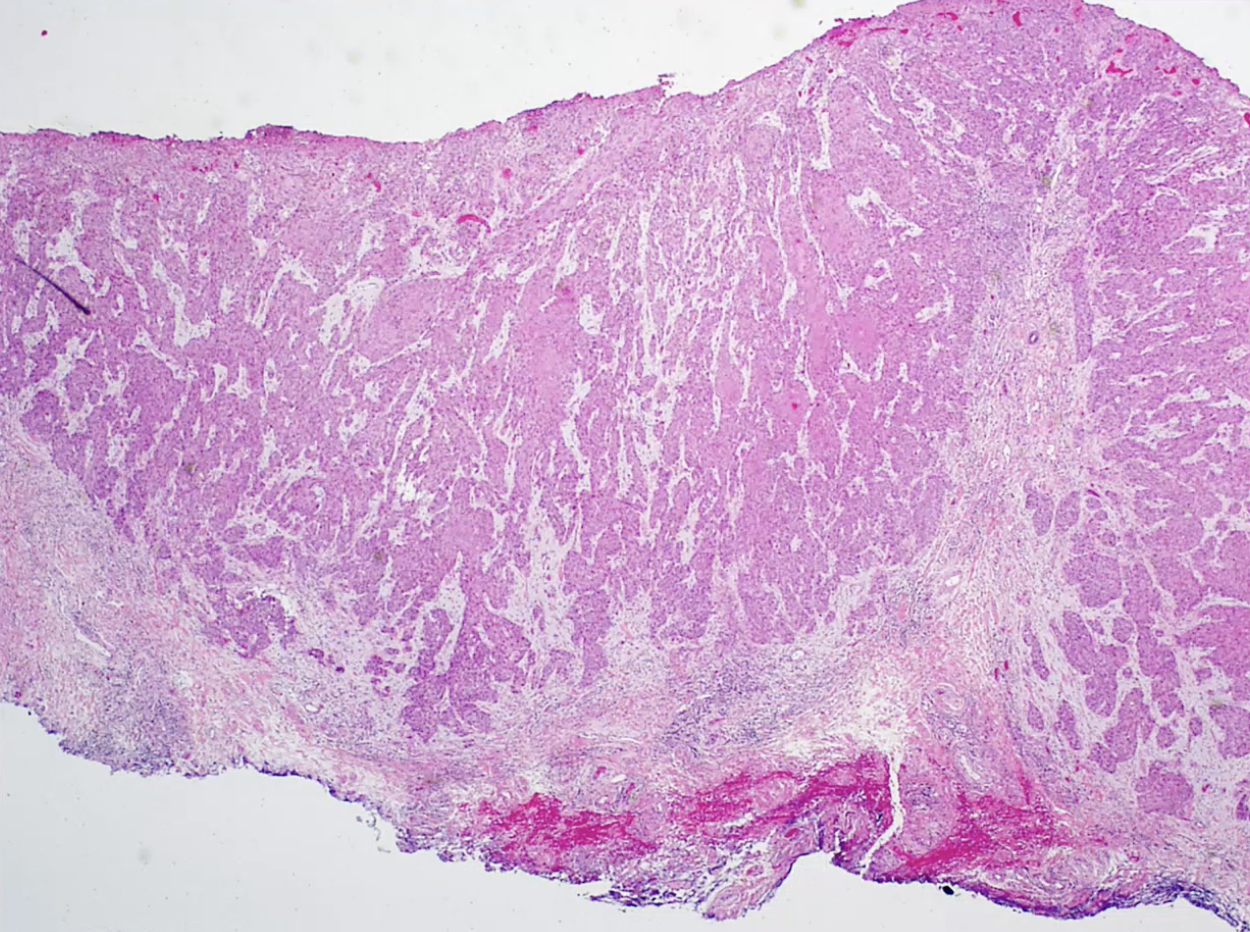
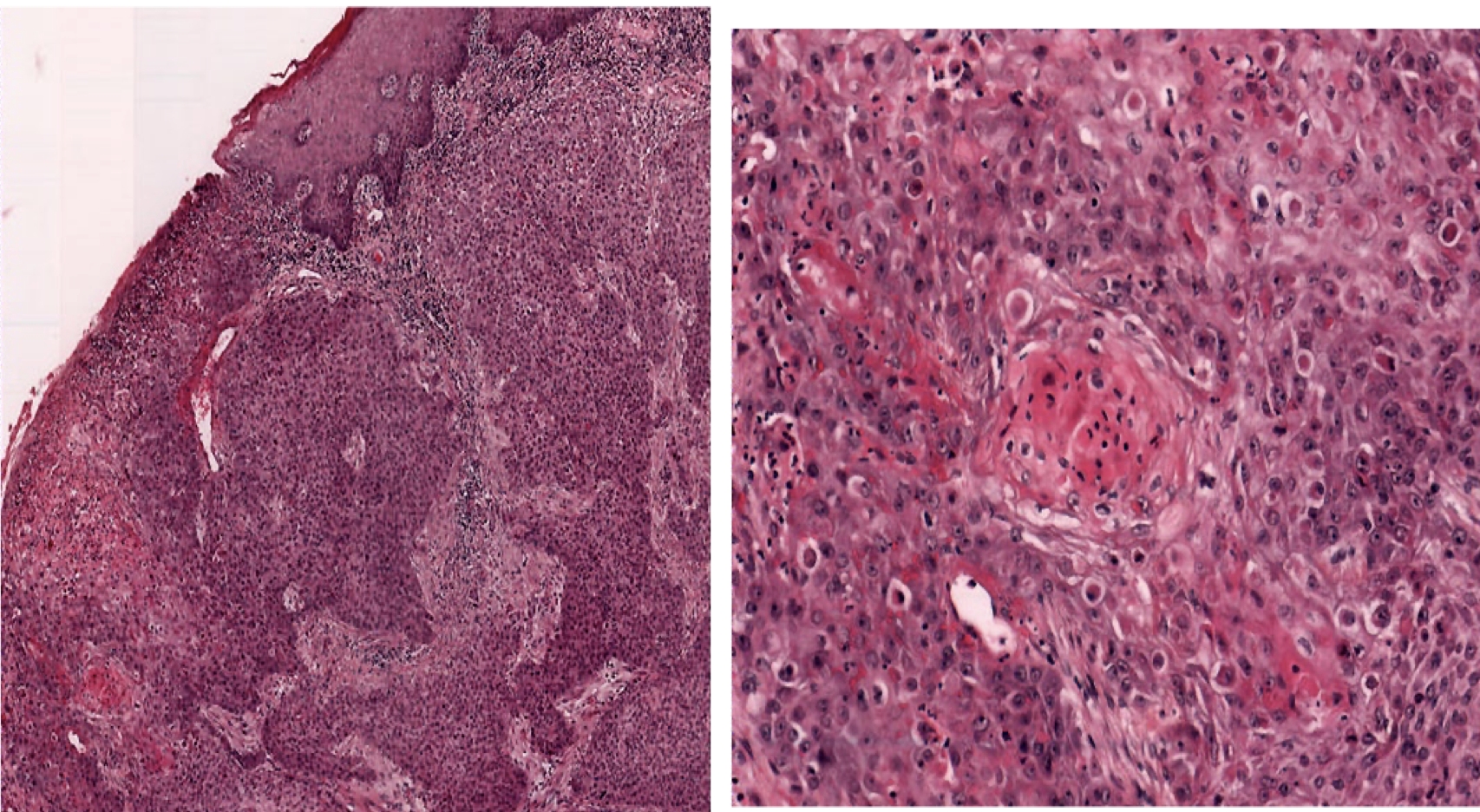
Squamous cell carcinoma

Squamous cell carcinoma

Squamous Cell Carcinoma

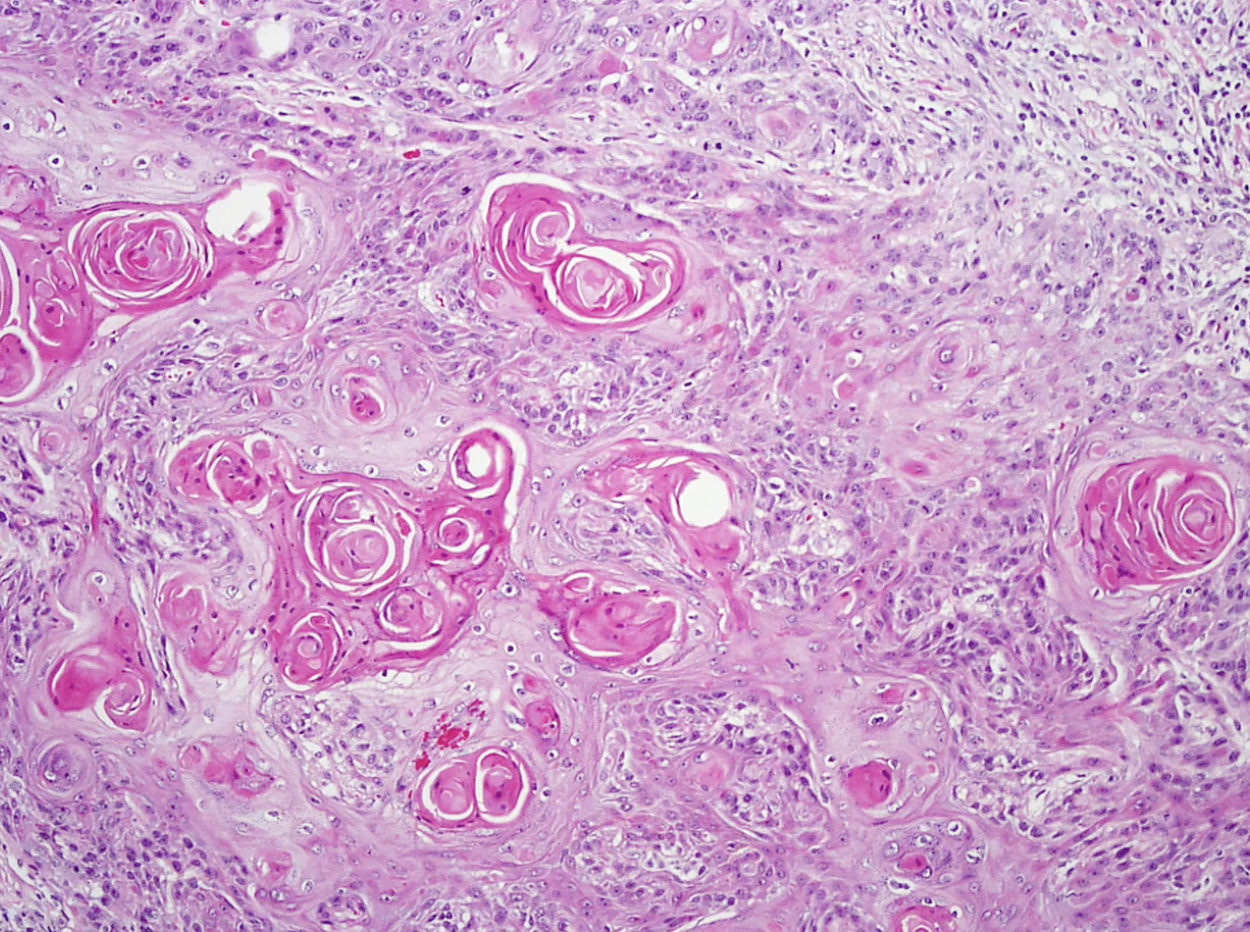
SCC well differentiated

SCC poorly differentiated

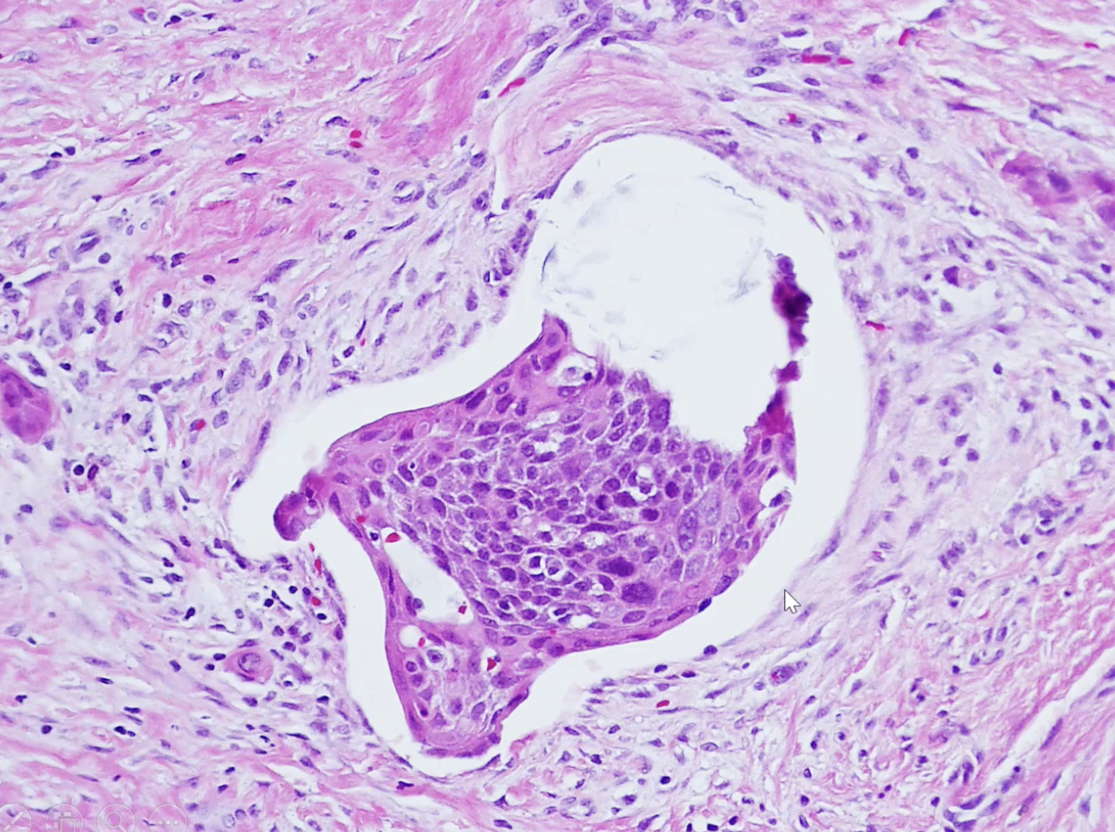
SCC Lymphovascular Invasion

HPV associated SCC with p16 staining
Penile SCC lymph metastasis
Inguinal (early) iliac (late)

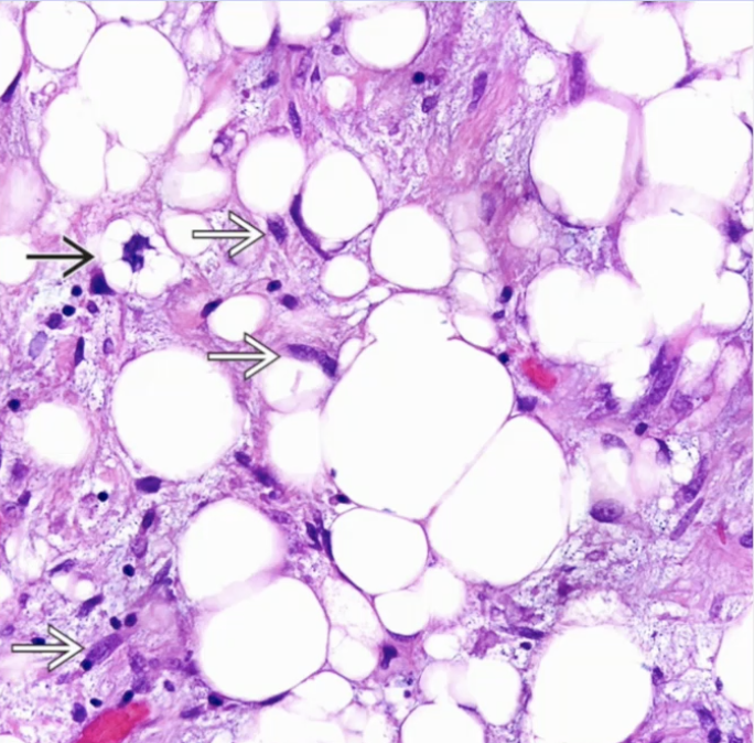
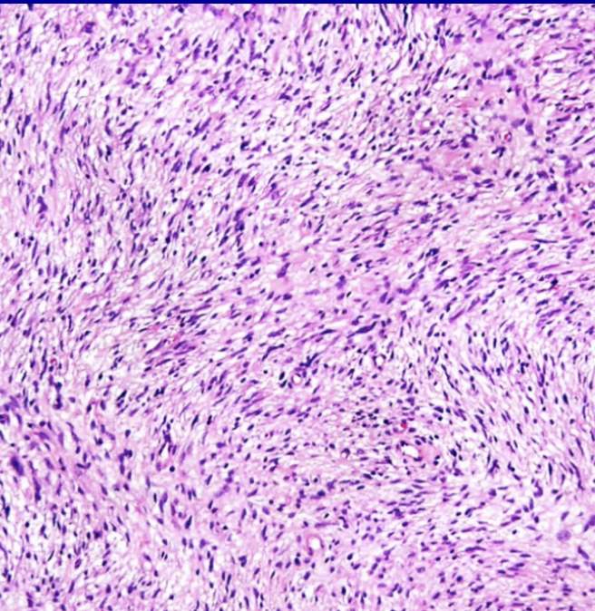
Scrotal Liposarcoma

Scrotal liposarcoma , well differentiated

Scrotal liposarcoma, dedifferentiated

Scrotal leiomyosarcoma

BPH

Prostate Carcinoma

PeIN

SCC