MICROBIO: EUKARYOTES

0.0(0)
studied byStudied by 0 people
0.0(0)
full-widthCall Kai
learnLearn
examPractice Test
spaced repetitionSpaced Repetition
heart puzzleMatch
flashcardsFlashcards
GameKnowt Play
Card Sorting

1/22

flashcard set

Earn XP

Description and Tags

Identify the specimen

Study Analytics
Name
Mastery
Learn
Test
Matching
Spaced

No study sessions yet.

23 Terms

1
New cards
<p>Oscillatoria</p><p>cyanobacteria</p><p>blue-green</p><p>filamentous; unbranched</p><p>cylindrical cells arranged in a single row</p><p>no flagella; but gliding motility</p><p>distinctive oscillating/waving movement; nitrogen fixation</p>

Oscillatoria

cyanobacteria

blue-green

filamentous; unbranched

cylindrical cells arranged in a single row

no flagella; but gliding motility

distinctive oscillating/waving movement; nitrogen fixation

specimen

phylum

color

shape

cell arrangement

motility

characteristic

<p>specimen</p><p>phylum</p><p>color</p><p>shape</p><p>cell arrangement</p><p>motility</p><p>characteristic</p>
2
New cards
<p>Anabaena</p><p>cyanobacteria</p><p>blue-green</p><p>filamentous</p><p>cells in a single row resembling a string of beads</p><p>no flagella; gliding movement from slime secretion</p><p>presence of heterocysts for nitrogen fixation and akinetes</p>

Anabaena

cyanobacteria

blue-green

filamentous

cells in a single row resembling a string of beads

no flagella; gliding movement from slime secretion

presence of heterocysts for nitrogen fixation and akinetes

specimen

phylum

color

shape

cell arrangement

motility

characteristic

<p>specimen</p><p>phylum</p><p>color</p><p>shape</p><p>cell arrangement</p><p>motility</p><p>characteristic</p>
3
New cards
<p>Spirulina</p><p>cyanobacteria</p><p>blue-green</p><p>filamentous; spirally coiled</p><p>cells in a single row along the helix held together by a thin sheath</p><p>no flagella; gliding movement dependent on Ca2+ and Na+ ions</p><p>distinct pigment comes from phycocyanin</p>

Spirulina

cyanobacteria

blue-green

filamentous; spirally coiled

cells in a single row along the helix held together by a thin sheath

no flagella; gliding movement dependent on Ca2+ and Na+ ions

distinct pigment comes from phycocyanin

specimen

phylum

color

shape

cell arrangement

motility

characteristic

<p>specimen</p><p>phylum</p><p>color</p><p>shape</p><p>cell arrangement</p><p>motility</p><p>characteristic</p>
4
New cards
<p>Chlamydomonas</p><p>chlorophyta</p><p>green</p><p>spherical/ovoid</p><p>single</p><p>motile by means off two anterior flagella</p><p>has an eyespot (stigma) with photoreceptors for photosynthesis</p>

Chlamydomonas

chlorophyta

green

spherical/ovoid

single

motile by means off two anterior flagella

has an eyespot (stigma) with photoreceptors for photosynthesis

specimen

phylum

color

shape

cell arrangement

motility

characteristic

<p>specimen</p><p>phylum</p><p>color</p><p>shape</p><p>cell arrangement</p><p>motility</p><p>characteristic</p>
5
New cards
<p>Eudorina</p><p>cholrophyta</p><p>green</p><p>spherical/ovoid colonies</p><p>colonies of 16 / 32 cells radially embedded within a matrix</p><p><span>highly motile; coordinated beating of the two flagella on each cell</span></p><p>each cell has a stigma; hollow colonies surrounded by a gelatinous matrix</p>

Eudorina

cholrophyta

green

spherical/ovoid colonies

colonies of 16 / 32 cells radially embedded within a matrix

highly motile; coordinated beating of the two flagella on each cell

each cell has a stigma; hollow colonies surrounded by a gelatinous matrix

specimen

phylum

color

shape

cell arrangement

motility

characteristic

<p>specimen</p><p>phylum</p><p>color</p><p>shape</p><p>cell arrangement</p><p>motility</p><p>characteristic</p>
6
New cards
<p>Pandorina</p><p>chlorophyta</p><p>green</p><p>globular/spherical colony</p><p>radial compacted mass; held together at their bases in a gelatinous mix</p><p>2 flagella on each cell to create the rolling motion of colony</p><p>each cell has an eyespot</p>

Pandorina

chlorophyta

green

globular/spherical colony

radial compacted mass; held together at their bases in a gelatinous mix

2 flagella on each cell to create the rolling motion of colony

each cell has an eyespot

specimen

phylum

color

shape

cell arrangement

motility

characteristic

<p>specimen</p><p>phylum</p><p>color</p><p>shape</p><p>cell arrangement</p><p>motility</p><p>characteristic</p>
7
New cards
<p>Gonium</p><p>chlorophyta</p><p>green</p><p>flat and spherical/curved colony</p><p>4/8/16 cells arranged in flat colonies (spherical/curved) held together by extracellular matrix</p><p>2 flagella per cell; pinwheel motion</p><p>exhibits phototaxis</p>

Gonium

chlorophyta

green

flat and spherical/curved colony

4/8/16 cells arranged in flat colonies (spherical/curved) held together by extracellular matrix

2 flagella per cell; pinwheel motion

exhibits phototaxis

specimen

phylum

color

shape

cell arrangement

motility

characteristic

<p>specimen</p><p>phylum</p><p>color</p><p>shape</p><p>cell arrangement</p><p>motility</p><p>characteristic</p>
8
New cards
<p>Cladophora</p><p>chlorophyta</p><p>green</p><p>branched filamentous colonies thallus</p><p>multinucleate cells arranged into uniseriate filaments</p><p>vegetative form non-motile; asexual zoospores have 4 flagella; sexual gametes have 2</p><p>forms cladophora balls; ability to grow attached or unattached freshwater and marine envi</p>

Cladophora

chlorophyta

green

branched filamentous colonies thallus

multinucleate cells arranged into uniseriate filaments

vegetative form non-motile; asexual zoospores have 4 flagella; sexual gametes have 2

forms cladophora balls; ability to grow attached or unattached freshwater and marine envi

specimen

phylum

color

shape

cell arrangement

motility

characteristic

<p>specimen</p><p>phylum</p><p>color</p><p>shape</p><p>cell arrangement</p><p>motility</p><p>characteristic</p>
9
New cards
<p>Chara</p><p>charophyta</p><p>green</p><p>thallus with main axis (w distinct nodes and internodes) and lateral branches</p><p>multicellular thallus</p><p>sessile organism; motile sperm</p><p>a stonewort; globules and nucules at nodes; calcification on their surfaces</p>

Chara

charophyta

green

thallus with main axis (w distinct nodes and internodes) and lateral branches

multicellular thallus

sessile organism; motile sperm

a stonewort; globules and nucules at nodes; calcification on their surfaces

specimen

phylum

color

shape

cell arrangement

motility

characteristic

<p>specimen</p><p>phylum</p><p>color</p><p>shape</p><p>cell arrangement</p><p>motility</p><p>characteristic</p>
10
New cards
<p>Oedogonium</p><p>chlorophyta</p><p>green</p><p>unbranched filaments</p><p>multicellular unbranched thallus </p><p>non-flagellated vegetative filaments; motile zoospore w ring of flagella</p><p><span>attach to substrates using a basal holdfast; apical caps (rings of old cell wall material left after cell division) indicate how many times a cell has divided</span></p>

Oedogonium

chlorophyta

green

unbranched filaments

multicellular unbranched thallus

non-flagellated vegetative filaments; motile zoospore w ring of flagella

attach to substrates using a basal holdfast; apical caps (rings of old cell wall material left after cell division) indicate how many times a cell has divided

specimen

phylum

color

shape

cell arrangement

motility

characteristic

<p>specimen</p><p>phylum</p><p>color</p><p>shape</p><p>cell arrangement</p><p>motility</p><p>characteristic</p>
11
New cards
<p>Spirogyra</p><p>chlorophyta</p><p>green</p><p>unbranched filaments</p><p>cells attached end to end to form filament</p><p>non-motile; capable of phototaxis</p><p>helical ribbon-shaped chloroplasts spiral around large central vacuole in each cell</p>

Spirogyra

chlorophyta

green

unbranched filaments

cells attached end to end to form filament

non-motile; capable of phototaxis

helical ribbon-shaped chloroplasts spiral around large central vacuole in each cell

specimen

phylum

color

shape

cell arrangement

motility

characteristic

<p>specimen</p><p>phylum</p><p>color</p><p>shape</p><p>cell arrangement</p><p>motility</p><p>characteristic</p>
12
New cards
<p>Zygnema</p><p>charophyta</p><p>yellow-green; green</p><p>unbranched filaments</p><p>cell attached end-to-end to form unbranched filament</p><p>non-motile</p><p>non-flagellated, amoeboid gametes</p>

Zygnema

charophyta

yellow-green; green

unbranched filaments

cell attached end-to-end to form unbranched filament

non-motile

non-flagellated, amoeboid gametes

specimen

phylum

color

shape

cell arrangement

motility

characteristic

<p>specimen</p><p>phylum</p><p>color</p><p>shape</p><p>cell arrangement</p><p>motility</p><p>characteristic</p>
13
New cards
<p>Vaucheria</p><p>xanthophyta</p><p>yellow-green (xanthophyll pigments)</p><p>branched, filamentous, tube-like thallus</p><p>coenocytic, aseptate thallus</p><p>sessile; motile zoospores and antherozoids</p><p><span>reserve food in the form of oil droplets, differing from the starch typical of other algae</span></p>

Vaucheria

xanthophyta

yellow-green (xanthophyll pigments)

branched, filamentous, tube-like thallus

coenocytic, aseptate thallus

sessile; motile zoospores and antherozoids

reserve food in the form of oil droplets, differing from the starch typical of other algae

specimen

phylum

color

shape

cell arrangement

motility

characteristic

<p>specimen</p><p>phylum</p><p>color</p><p>shape</p><p>cell arrangement</p><p>motility</p><p>characteristic</p>
14
New cards
<p>Ulorothrix</p><p>chlorophyta</p><p>green</p><p>unbranched filaments</p><p>uniseriate </p><p>non-motile; motile zoospores</p><p>girdle-shaped chloroplast; holdfast cell; cold temp</p>

Ulorothrix

chlorophyta

green

unbranched filaments

uniseriate

non-motile; motile zoospores

girdle-shaped chloroplast; holdfast cell; cold temp

specimen

phylum

color

shape

cell arrangement

motility

characteristic

<p>specimen</p><p>phylum</p><p>color</p><p>shape</p><p>cell arrangement</p><p>motility</p><p>characteristic</p>
15
New cards
<p>Desmids</p><p>charophyta</p><p>green</p><p>common shapes: globular, disc-like, spindle-like, and star-shaped</p><p>typically unicellular; each cell divided into 2 semi-cells</p><p>lack flagella</p><p>distinctive mirror-image semicells divided by a median constriction or isthmus</p>

Desmids

charophyta

green

common shapes: globular, disc-like, spindle-like, and star-shaped

typically unicellular; each cell divided into 2 semi-cells

lack flagella

distinctive mirror-image semicells divided by a median constriction or isthmus

specimen

phylum

color

shape

cell arrangement

motility

characteristic

<p>specimen</p><p>phylum</p><p>color</p><p>shape</p><p>cell arrangement</p><p>motility</p><p>characteristic</p>
16
New cards
<p>Scenedesmus</p><p>chlorophyta</p><p>green</p><p>cylindrical;ovoid;fusiform;lunate</p><p>aligned in a single row side by side</p><p>non-motile; no flagella</p><p><span>rigid, multi-layered cell wall with ornamentation (ridges, warts, spines); efficient at removing nitrogen and phosphorus from wastewater</span></p>

Scenedesmus

chlorophyta

green

cylindrical;ovoid;fusiform;lunate

aligned in a single row side by side

non-motile; no flagella

rigid, multi-layered cell wall with ornamentation (ridges, warts, spines); efficient at removing nitrogen and phosphorus from wastewater

specimen

phylum

color

shape

cell arrangement

motility

characteristic

<p>specimen</p><p>phylum</p><p>color</p><p>shape</p><p>cell arrangement</p><p>motility</p><p>characteristic</p>
17
New cards
<p>Pediastrum</p><p>chlorophyta </p><p>green</p><p>flat; disc-shaped circles/starlike</p><p>coloniall coenobium</p><p>nonmotile; motille spores and gametes</p><p><span>distinctive horn-like or bristle-like projections on its peripheral cells</span></p>

Pediastrum

chlorophyta

green

flat; disc-shaped circles/starlike

coloniall coenobium

nonmotile; motille spores and gametes

distinctive horn-like or bristle-like projections on its peripheral cells

specimen

phylum

color

shape

cell arrangement

motility

characteristic

<p>specimen</p><p>phylum</p><p>color</p><p>shape</p><p>cell arrangement</p><p>motility</p><p>characteristic</p>
18
New cards
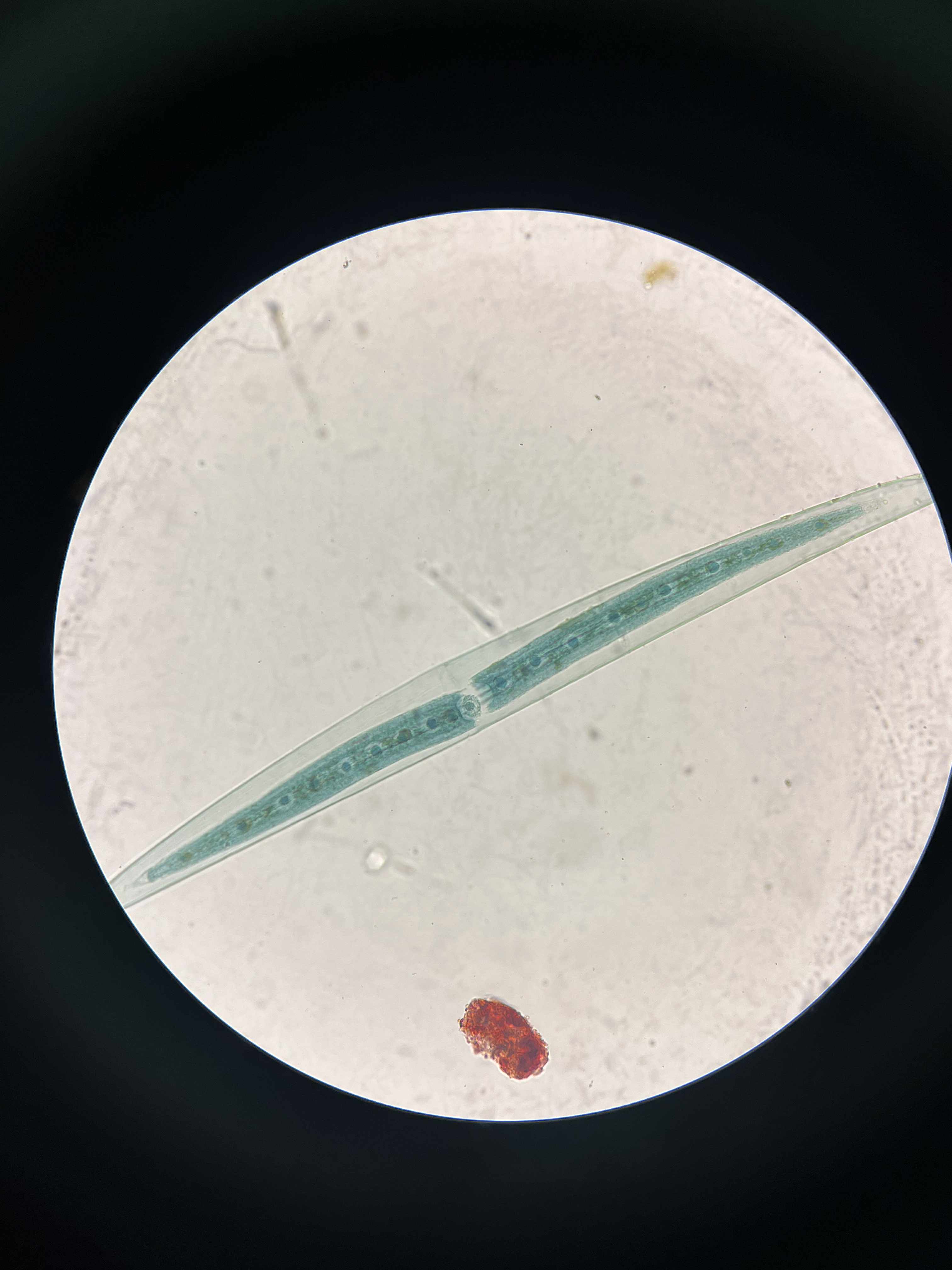
<p>Closterium</p><p>charophyta</p><p>green</p><p>lunate/elongate; tips usually tapered</p><p>Singles</p><p>Non-motile</p><p><span>At the very tips of the cell, there are special vacuoles that contain vibrating crystals of barium or calcium sulfate, the function of which is currently unknown.&nbsp;</span></p>

Closterium

charophyta

green

lunate/elongate; tips usually tapered

Singles

Non-motile

At the very tips of the cell, there are special vacuoles that contain vibrating crystals of barium or calcium sulfate, the function of which is currently unknown. 

specimen

phylum

color

shape

cell arrangement

motility

characteristic

<p>specimen</p><p>phylum</p><p>color</p><p>shape</p><p>cell arrangement</p><p>motility</p><p>characteristic</p>
19
New cards
<p><strong>Entamoeba histolytica</strong></p><p><strong>Amoebozoa</strong></p><p><strong>Archamoebae</strong></p><p>colorless</p><p>irregular/amoeboid (trophozoites); spherical (cysts)</p><p>single</p><p>active trophozoite stage is motile, pseudopodia (temporary projections)</p><p></p><p><strong>Amebiasis</strong></p><p>Prevention: Hygiene, food and water safety</p><p>Treatment: (initial) anti-parasitic drug e.g.metronidazolel → (luminal) for eliminating cysts</p><p></p><p>Life cycle:</p><ol><li><p>Ingestion: Humans ingest mature cysts from contaminated food, water, or hands.&nbsp;</p></li><li><p>Excystation: In the small intestine, the cyst excysts to release the motile trophozoite.&nbsp;</p></li><li><p>Migration &amp; Invasion: Trophozoites migrate to the large intestine, where they can invade the intestinal lining, causing amebic dysentery.&nbsp;</p></li><li><p>Multiplication: Trophozoites multiply by binary fission, and some form cysts.&nbsp;</p></li><li><p>Excretion: Cysts are passed in the feces, completing the cycle.&nbsp;</p></li></ol><p></p>

Entamoeba histolytica

Amoebozoa

Archamoebae

colorless

irregular/amoeboid (trophozoites); spherical (cysts)

single

active trophozoite stage is motile, pseudopodia (temporary projections)

Amebiasis

Prevention: Hygiene, food and water safety

Treatment: (initial) anti-parasitic drug e.g.metronidazolel → (luminal) for eliminating cysts

Life cycle:

  1. Ingestion: Humans ingest mature cysts from contaminated food, water, or hands. 

  2. Excystation: In the small intestine, the cyst excysts to release the motile trophozoite. 

  3. Migration & Invasion: Trophozoites migrate to the large intestine, where they can invade the intestinal lining, causing amebic dysentery. 

  4. Multiplication: Trophozoites multiply by binary fission, and some form cysts. 

  5. Excretion: Cysts are passed in the feces, completing the cycle. 

specimen

phylum

class

color

shape

cell arrangement

motility

disease

life cycle

prevention

treatment

<p>specimen</p><p>phylum</p><p>class</p><p>color</p><p>shape</p><p>cell arrangement</p><p>motility</p><p></p><p>disease</p><p></p><p>life cycle</p><p></p><p>prevention</p><p>treatment</p><p></p><p></p><p></p>
20
New cards
<p><strong>Balantidium coli</strong></p><p><strong>Ciliophora</strong></p><p><strong>Litostomatea</strong></p><p>yellowish-green</p><p>ovoid/spherical</p><p>single cell</p><p>rapid movement due to trophozoite’s entire surface covered with cilia</p><p></p><p><strong>Balantidiasis</strong> - an intestinal infection that is often asymptomatic but can manifest as diarrhea, dysentery, and abdominal pain</p><p>Strict adherence to good hygiene and proper sanitation especially in areas where pigs are raised, as they are a reservoir for the parasite.&nbsp;</p><p>Treatment: Antimicrobials</p><p></p><p>Life Cycle</p><ol><li><p>Ingestion:</p><p>Humans become infected by ingesting the infective cysts through contaminated food or water.&nbsp;</p></li><li><p>Excystation:</p><p>Once in the small intestine, the cyst excysts, releasing the motile trophozoite.&nbsp;</p></li><li><p>Colonization:</p><p>The trophozoites then establish themselves in the mucosa of the large intestine.&nbsp;</p></li><li><p>Replication:</p><p>The trophozoites multiply in the large intestine.&nbsp;</p></li><li><p>Invasion and Pathology:</p><p>Some trophozoites can invade the colon wall, leading to ulceration and disease.&nbsp;</p></li><li><p>Encystation:</p><p>Trophozoites undergo encystation in the colon to produce infective cysts, which are then passed in the feces.&nbsp;</p></li></ol><p></p>

Balantidium coli

Ciliophora

Litostomatea

yellowish-green

ovoid/spherical

single cell

rapid movement due to trophozoite’s entire surface covered with cilia

Balantidiasis - an intestinal infection that is often asymptomatic but can manifest as diarrhea, dysentery, and abdominal pain

Strict adherence to good hygiene and proper sanitation especially in areas where pigs are raised, as they are a reservoir for the parasite. 

Treatment: Antimicrobials

Life Cycle

  1. Ingestion:

    Humans become infected by ingesting the infective cysts through contaminated food or water. 

  2. Excystation:

    Once in the small intestine, the cyst excysts, releasing the motile trophozoite. 

  3. Colonization:

    The trophozoites then establish themselves in the mucosa of the large intestine. 

  4. Replication:

    The trophozoites multiply in the large intestine. 

  5. Invasion and Pathology:

    Some trophozoites can invade the colon wall, leading to ulceration and disease. 

  6. Encystation:

    Trophozoites undergo encystation in the colon to produce infective cysts, which are then passed in the feces. 

specimen

phylum

color

shape

cell arrangement

motility

found

disease

prevention

treatment

life cycle

<p>specimen</p><p>phylum</p><p>color</p><p>shape</p><p>cell arrangement</p><p>motility</p><p></p><p>found</p><p></p><p>disease</p><p>prevention</p><p>treatment</p><p></p><p>life cycle</p><p></p>
21
New cards
<p><strong>Giardia lamblia</strong></p><p><strong>Sarcomastigophora</strong></p><p><span><strong>Zoomastigophorea</strong></span></p><p>colorless</p><p>(trophozoite) pear-shaped; (cyst) ovoid</p><p>Single (trophozoite 2 nuclei, cyst 4 nuclei)</p><p>trophozoite has flagella</p><p></p><p>Giardiasis&nbsp;- Diarrhea, abdominal cramps, bloating, gas, and fatty stools</p><p>Prevention: Hygiene, Water and Food Safety</p><p>Prescribed drugs</p><p></p><ol><li><p>Ingestion: Humans ingest Giardia cysts, often from contaminated water or food.</p></li><li><p>Excystation: In the small intestine, exposure to digestive enzymes triggers the cysts to release motile trophozoites.</p></li><li><p>Trophozoite Activity: Trophozoites attach to the intestinal wall, reproduce by binary fission, and cause damage.</p></li><li><p>Encystation: As the parasite moves towards the colon, trophozoites transform into environmentally stable cysts.</p></li><li><p>Excretion: Cysts are passed in the feces, ready to infect another host</p></li></ol><p></p>

Giardia lamblia

Sarcomastigophora

Zoomastigophorea

colorless

(trophozoite) pear-shaped; (cyst) ovoid

Single (trophozoite 2 nuclei, cyst 4 nuclei)

trophozoite has flagella

Giardiasis - Diarrhea, abdominal cramps, bloating, gas, and fatty stools

Prevention: Hygiene, Water and Food Safety

Prescribed drugs

  1. Ingestion: Humans ingest Giardia cysts, often from contaminated water or food.

  2. Excystation: In the small intestine, exposure to digestive enzymes triggers the cysts to release motile trophozoites.

  3. Trophozoite Activity: Trophozoites attach to the intestinal wall, reproduce by binary fission, and cause damage.

  4. Encystation: As the parasite moves towards the colon, trophozoites transform into environmentally stable cysts.

  5. Excretion: Cysts are passed in the feces, ready to infect another host

specimen

phylum

color

shape

cell arrangement

motility

found

disease

prevention

treatment

life cycle

<p>specimen</p><p>phylum</p><p>color</p><p>shape</p><p>cell arrangement</p><p>motility</p><p></p><p>found</p><p></p><p>disease</p><p>prevention</p><p>treatment</p><p></p><p>life cycle</p><p></p>
22
New cards
<p><strong>Plasmodium vivax</strong></p><p><strong>Apicomplexa</strong></p><p><strong>Aconoidasida</strong></p><p>colorless</p><p>Shape:&nbsp;</p><ul><li><p>Sporozoites: Lancet-shaped.</p></li><li><p>Trophozoites: Amoeboid, with an irregular, spreading cytoplasm.</p></li><li><p>Gametocytes: Round to oval shapes.</p></li></ul><p>Cell Arrangement: The parasites grow and reproduce inside red blood cells and liver cells.&nbsp;</p><p>Motility: The parasites are non-motile.&nbsp;</p><p>Found: transmitted by female Anopheles mosquitoes.&nbsp;</p><p>Disease: P. vivax causes malaria, a febrile illness characterized by fever, chills, headaches, and digestive issues.&nbsp;</p><p>Prevention:</p><ul><li><p>Mosquito control: Avoiding mosquito bites through the use of insect repellent and bed nets.&nbsp;</p></li><li><p>Antimalarial drugs: Chemoprophylaxis is used to prevent infection.&nbsp;</p></li></ul><p>Treatment:</p><ul><li><p>Blood stage treatment:</p><p>Chloroquine is the standard treatment for the symptomatic malaria parasite in the blood.&nbsp;</p></li><li><p>Liver stage treatment:</p><p>Primaquine is necessary to eradicate the dormant hypnozoite stage in the liver, which causes relapses.&nbsp;</p></li></ul><p>Life Cycle:</p><ol><li><p>Mosquito to human transmission:</p><p>An infected female Anopheles mosquito injects P. vivax sporozoites into a human host during a blood meal.&nbsp;</p></li><li><p>Liver stage (Exoerythrocytic phase):</p><p>Sporozoites migrate to the liver, where they multiply within liver cells (hepatocytes) and develop into liver-stage schizonts. Some may remain dormant as hypnozoites for long periods.&nbsp;</p></li><li><p>Merozoite release:</p><p>Rupturing schizonts release merozoites into the bloodstream.&nbsp;</p></li><li><p>Blood stage (Erythrocytic phase):</p><p>Merozoites infect red blood cells (specifically reticulocytes), where they develop into trophozoites, and then into schizonts.&nbsp;</p></li><li><p>Rupture and re-infection:</p><p>The schizonts rupture, releasing more merozoites to infect new red blood cells, repeating the cycle and causing symptoms.&nbsp;</p></li><li><p>Gametocyte formation:</p><p>Some parasites develop into gametocytes, which are then ingested by another mosquito during a blood meal.&nbsp;</p></li><li><p>Mosquito sexual reproduction:</p><p>Inside the mosquito, gametocytes undergo sexual reproduction to form sporozoites, which migrate to the salivary glands, completing the life cycle.&nbsp;</p></li></ol><p></p>

Plasmodium vivax

Apicomplexa

Aconoidasida

colorless

Shape: 

  • Sporozoites: Lancet-shaped.

  • Trophozoites: Amoeboid, with an irregular, spreading cytoplasm.

  • Gametocytes: Round to oval shapes.

Cell Arrangement: The parasites grow and reproduce inside red blood cells and liver cells. 

Motility: The parasites are non-motile. 

Found: transmitted by female Anopheles mosquitoes. 

Disease: P. vivax causes malaria, a febrile illness characterized by fever, chills, headaches, and digestive issues. 

Prevention:

  • Mosquito control: Avoiding mosquito bites through the use of insect repellent and bed nets. 

  • Antimalarial drugs: Chemoprophylaxis is used to prevent infection. 

Treatment:

  • Blood stage treatment:

    Chloroquine is the standard treatment for the symptomatic malaria parasite in the blood. 

  • Liver stage treatment:

    Primaquine is necessary to eradicate the dormant hypnozoite stage in the liver, which causes relapses. 

Life Cycle:

  1. Mosquito to human transmission:

    An infected female Anopheles mosquito injects P. vivax sporozoites into a human host during a blood meal. 

  2. Liver stage (Exoerythrocytic phase):

    Sporozoites migrate to the liver, where they multiply within liver cells (hepatocytes) and develop into liver-stage schizonts. Some may remain dormant as hypnozoites for long periods. 

  3. Merozoite release:

    Rupturing schizonts release merozoites into the bloodstream. 

  4. Blood stage (Erythrocytic phase):

    Merozoites infect red blood cells (specifically reticulocytes), where they develop into trophozoites, and then into schizonts. 

  5. Rupture and re-infection:

    The schizonts rupture, releasing more merozoites to infect new red blood cells, repeating the cycle and causing symptoms. 

  6. Gametocyte formation:

    Some parasites develop into gametocytes, which are then ingested by another mosquito during a blood meal. 

  7. Mosquito sexual reproduction:

    Inside the mosquito, gametocytes undergo sexual reproduction to form sporozoites, which migrate to the salivary glands, completing the life cycle. 

specimen

phylum

color

shape

cell arrangement

motility

found

disease

prevention

treatment

life cycle

<p>specimen</p><p>phylum</p><p>color</p><p>shape</p><p>cell arrangement</p><p>motility</p><p></p><p>found</p><p></p><p>disease</p><p>prevention</p><p>treatment</p><p></p><p>life cycle</p><p></p>
23
New cards
<p><strong>Trichomonas vaginalis</strong></p><p><strong>Trichomonada</strong></p><p><span><strong>Parabasalia</strong></span></p><p>Colorless</p><p>pear-shaped (pyriform) or oval</p><p>single</p><p><strong>Motility:&nbsp;</strong></p><ul><li><p>highly motile due to four anterior flagella and a posterior flagellum attached to an undulating membrane, giving it a jerky motion.</p></li></ul><p><strong>Found:&nbsp;</strong></p><ul><li><p>Resides in the lumen and mucosal surfaces of the urogenital tracts of humans, predominantly the vagina, urethra, and prostate.</p></li><li><p></p></li></ul><p><strong>Trichomoniasis</strong>, a sexually transmitted infection; foul-smelling yellow-green discharge, itching, and dysuria</p><p>Prevention:&nbsp;Safe sex practices, such as using condoms; Treatment of sexual partners;</p><p></p><p></p>

Trichomonas vaginalis

Trichomonada

Parabasalia

Colorless

pear-shaped (pyriform) or oval

single

Motility: 

  • highly motile due to four anterior flagella and a posterior flagellum attached to an undulating membrane, giving it a jerky motion.

Found: 

  • Resides in the lumen and mucosal surfaces of the urogenital tracts of humans, predominantly the vagina, urethra, and prostate.

Trichomoniasis, a sexually transmitted infection; foul-smelling yellow-green discharge, itching, and dysuria

Prevention: Safe sex practices, such as using condoms; Treatment of sexual partners;

specimen

phylum

color

shape

cell arrangement

motility

found

disease

prevention

treatment

life cycle

<p>specimen</p><p>phylum</p><p>color</p><p>shape</p><p>cell arrangement</p><p>motility</p><p></p><p>found</p><p></p><p>disease</p><p>prevention</p><p>treatment</p><p></p><p>life cycle</p><p></p>