1/17
Looks like no tags are added yet.
Name | Mastery | Learn | Test | Matching | Spaced | Call with Kai |
|---|
No study sessions yet.

darwin’s tubercle

frostbite

external view of otitis externa (swimmer’s ear)

tophi

sebaceous cyst

keloid

trauma

carcinoma

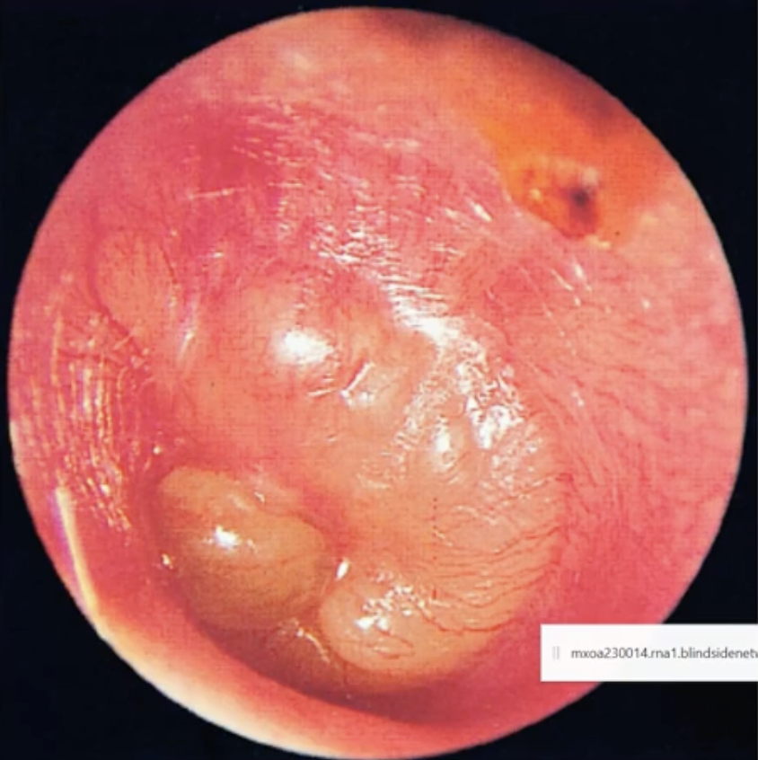
otoscope view of otitis externa

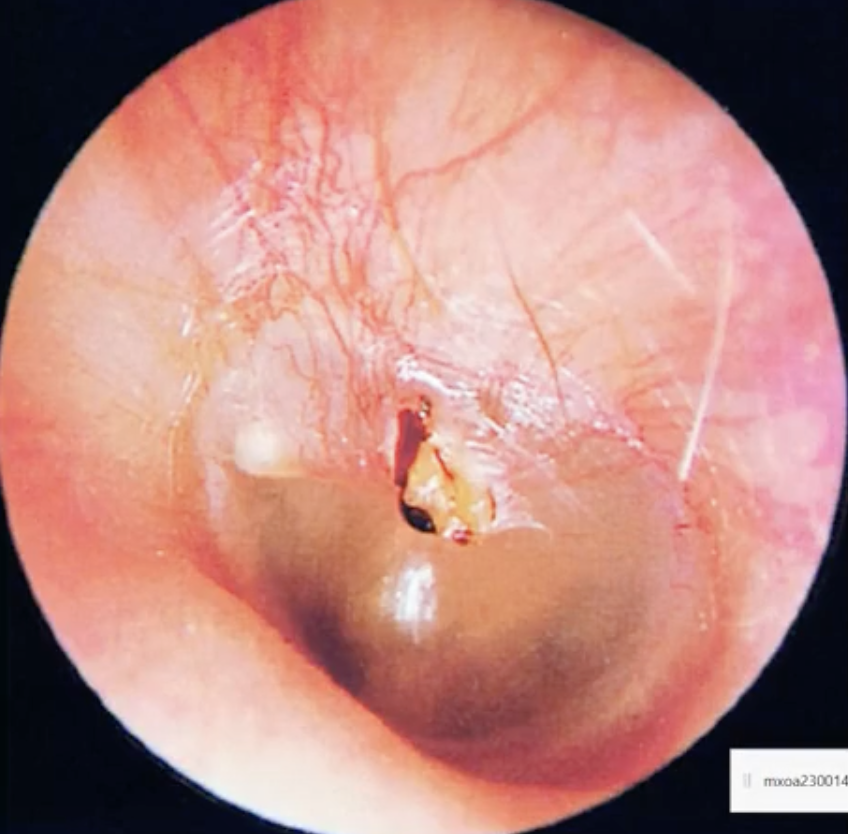
otoscope view of buildup of cerumen in ear canal

acute otitis media

polyp

normal tympanic membrane (7 o’clock)

otitis media with effusion

ear ventilation tubes (come in many colors)

scarred tympanic membrane

eardrum perforation

blue drum