1/75
Looks like no tags are added yet.
Name | Mastery | Learn | Test | Matching | Spaced | Call with Kai |
|---|
No analytics yet
Send a link to your students to track their progress
les organes du système de défense
Thymus
moelle osseuse
ganglions lymphatiques
amygdales
MALT
rate
fonction de la moelle osseuse (hématopoïétique)
origine de tous les lymphocytes → à partir de: cellules souches hématopoïétiques pluripotentes
localisation de la moelle hématopoïétique chez adulte →
os spongieux →
épiphyses
os courts
os plats
lieux de ponction moelle hématopoïétique
sternale
crête iliaque
épine iliaque postérieure suérieure
fonction thymus
Sélection des lymphocytes T
→ >90% éliminés
situation du thymus
Essentiellement derrière le manubrium sternal
thymus et involution
Après la puberté, le thymus subit une atrophie physiologique (=involution) pour constituer finalement le tissu adipeux rétrosternal
Lymphopoïèse T résiduelle se poursuit →
tout au long de la vie d’adulte

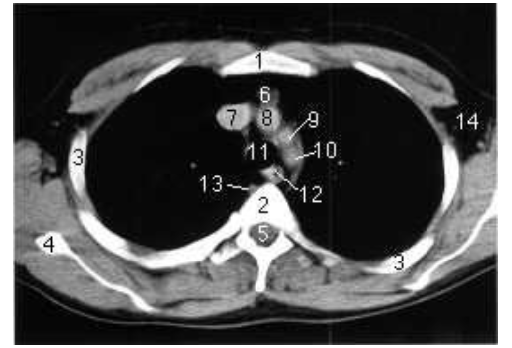
Scanner thoracique, reconstruction axiale
Sternum
corps vertébral
côtes
scapula
canal vertébral
tissu adipeux rétrosternal
veine cave supérieure
tronc brachiocéphalique
artère carotide commune gauche
artère subclavière gauche
trachée
oesophage
veine azygos


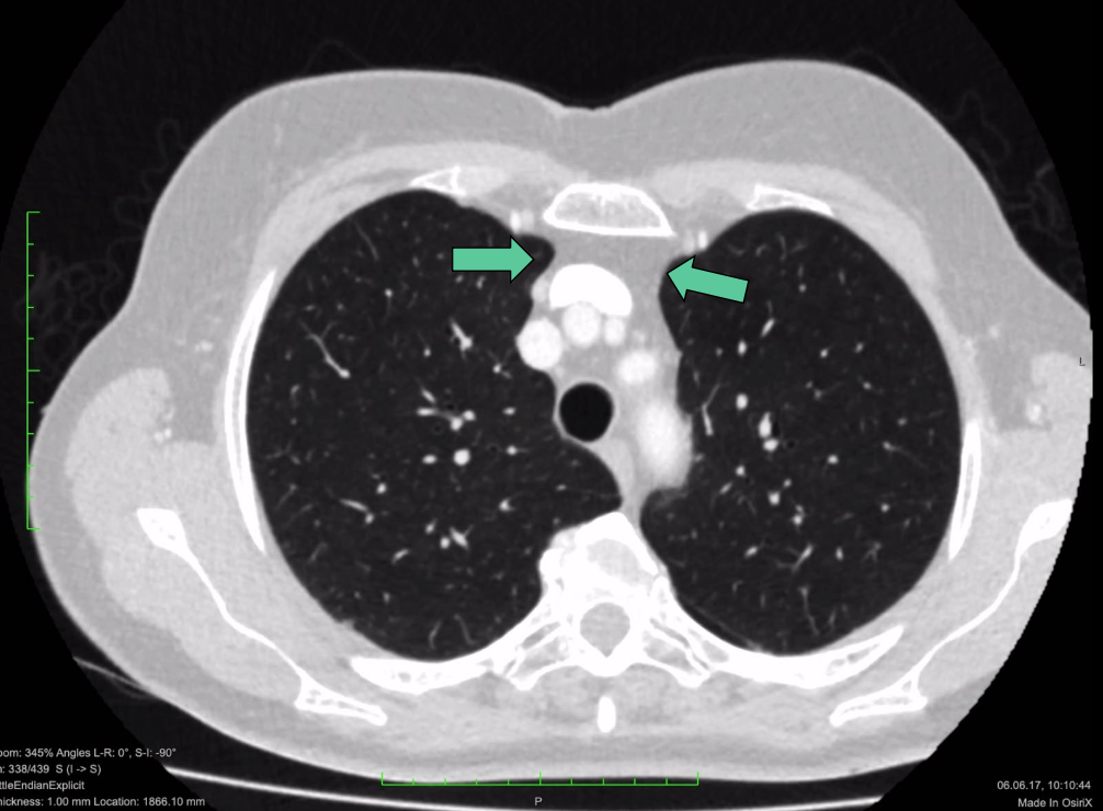
que sont les flèches vertes ?
l’espace rétrosternal

sternum
œsophage
12,18,19. gerbe aortique
trachée
17. veine brachiocéphalique droite
20. veine brachiocéphalique gauche

ganglion lymphatiques synonyme
noeuds lymphatiques
forme et dimension des ganglions lymphatiques
forme → haricot
dimension → 1mm - 2,5cm

composition ganglion lymphatqiue
vaisseaux lymphatiques afférentes (1)
vaisseaux lymphatiques efférentes (2)
hile
artères
veines
capsule
trabécule
cortex
paracortex
médulla
nombre de ganglions lymphatiques chez un adulte →
jusqu’à 450 dont:
60 - 70 tête cou
100 thorax
250 abdomen et bassin
où se trouve le plus grand nombre de ganglion ?
près des viscères, surtout dans les mésentères.

Ganglions lymphatiques
occipitaux
retro- auriculaires
ré- auriculaires
sous- mandibulaires
cervicaux superficiels
cervicaux profonds
supra- claviculaires
du coude
axillaires
parasternaux
hilaires
de la bifurcation trachéale
paratrachéaux
para- aortiques
para-viscéraux
mésentériques
iliaques
inguinaux
poplités
ganglions lymphatiques cervicaux superficiels de la tête et du cou
situés dans la nuque et la région latérale du cou, parce qu’ils y sont facilement palpables
ganglions lymphatiques cervicaux profonds de la tête et du cou
disposés le long de la veine jugulaire interne
Cercle ganglionnaire (collier) péri-cervical de Poirier et Cunéo :
occipital
mastoïdien (retro-auriculaire)
parotidien
sous-mandibulaire
sous-mental
Les ganglions axillaires reçoivent →
plus de 75% de la
lymphe du sein
localisation des ganglions axillaires
regroupés en →
antérieurs (pectoraux)
postérieurs (sous- scapulaires)
latéraux (huméraux)
centraux
apicaux
Une partie des ganglions lymphatique des côtés médiaux des seins s'écoule →
vers les ggls parasternaux, situés le long des vaisseaux thoraciques internes.
les ganglions parasternaux peuvent →
s'anastomoser à travers le sternum, fournissant une voie pour la propagation nodale controlatérale dans le carcinome du sein situé médialement.
(sur le plan chirurgical) les nœuds axillaires sont décrits en relation avec →
le muscle du petit pectoral
noeuds axillaire niveau 1
ceux qui se trouvent latéralement ou inférieur au muscle du petit pectoral
noeud axillaire niveau 2
ceux situés en arrière du petit pectoral sont le groupe moyen
noeud axillaire niveau 3
ceux qui se trouvent entre le bord supéro-médial du petit pectoral et l'inférieur de la clavicule sont les nœuds axillaires supérieurs ou apicaux

Ganglion de Virchow (Troisier)
ganglion supraclaviculaire gauche
quel est le ganglion qui est le premier signe d’un cancer ? comment est il souvent appelé ?
Ganglion de Virchow (Troisier)
souvent appelé → ggl lymphatique sentinelle
passage de la lymphe (membre inf) à travers les ganglions →
ganglions lymphatiques inguinaux
ganglions iliaques externes et communs
les ganglions aortiques latéraux.
Les ganglions inguinaux superficiels peuvent être divisés en un groupe
vertical inférieur
supérieur
ganglions inguinaux superficiels → vertical inférieur
habille la partie proximale de la grande veine saphène
ganglions inguinaux superficiels → supérieur
parallèle au ligament inguinal, mais en dessous
La région entourant l'isthme du tube utérin
l'angle tubo-utérin
drainage angle tubo-utérin
le long du ligament rond de l'utérus jusqu'aux ganglions inguinaux superficiels
amygdales synonyme
tonsille
surface amygdale
crevassée
fonction des amygdales
analogue aux ganglions lymphatiques
Anneau lymphatique de Waldeyer
anneau circumpharyngé de tissu lymphoïde associé aux muqueuses qui entoure les ouvertures des voies digestives et respiratoires
localisation des amygdales palatines
Dans la fosse (sinus) tonsillaire entre le pilier antérieur et postérieur du palais
drainage lymphatique des amygdales palatines
Ganglion lymphatiques cervicales profondes, en particulier angulaire (jugulodigastrique) et ses voisins
Derrière la fosse tonsillaire chemine →
l’artère carotide interne
Les 10 à 20 cryptes formées par l'invagination de la muqueuse de la surface libre sont →
des diverticules épithéliaux tubulaires étroits qui se ramifient souvent dans l'amygdale et sont fréquemment remplis de bouchons de cellules épithéliales desquamées, de lymphocytes et de bactéries
La surface totale de l'épithélium réticulé
≅ 300 cm2 pour une amygdale palatine
L'épithélium tapissant les cryptes est principalement similaire à celui →
de la surface oropharyngée
épithélium des cryptes et oropharyngé →
squameux stratifié
plaque épithélium stratifié pour celui qui tapisse les cryptes (bcp + mince)
L'apport sanguin artériel à l'amygdale palatine est →
dérivé des branches de l'artère carotide externe.
'artère amygdalienne (tonsillaire)
une branche de l'artère faciale
parfois de l'artère palatine ascendante
passage lymphatiques efférents →
l'hémicapsule
percent le constricteur supérieur
drainage des lymphatique efférents
directement →
vers les ganglions lymphatiques cervicaux profonds supérieurs
indirectement →
à travers les ganglions lymphatiques rétropharyngés
localisation de l’amygdale linguale
racine (base) de la langue
papilles et base de la langue
dépourvue de papilles et présente de faibles élévations
Amygdale pharyngée localisation
Toit de l’épipharynx, donc base du crâne
Derrière les choanes
Amygdale pharyngée synonyme
Végétations, tonsille adénoïde
Appendice synonyme
Appendice vermiculaire
appendice définition
Evagination vermiforme du cæcum
appendice dimensions
Diamètre : environ 6 mm
Longueur : entre 6 et 10 cm
Les positions principales de l'appendice rencontrées en chirurgie ou en post mortem:
rétrocæcale
pré-iléale
post-iléale
sous-cæcale
pelvienne
localisation appendice par rapport au péritoine
intrapéritonéale
localisation appendice par rapport à la paroi abdominale postérieure
peut reposer sur le muscle psoas
localisation appendice par rapport au cæcum
affecté par la posture, la distension caecale
palpation appendice
« point de McBurney »
zone de la paroi abdominale inférieure droite → position variable affectée par la posture et distension

fonction appendice
analogue aux amygdales
Le tissu lymphoïde (coloration basophile) occupe →
une grande partie de la muqueuse entre les cryptes et une partie de la sous- muqueuse.
Follicules lymphatiques définition
Amas de lymphocytes
Follicules lymphatiques dimension
Peuvent être juste visibles macroscopiques comme petits points (d’environ 0.1 mm de diamètre).
Follicules lymphatiques exemple
solitaires ou agrégés
Follicules lymphatiques distribution
dans les organes lymphatiques ss
dans les muqueuses (MALT)
G → centre germinatif
M → zone du manteau (couronne, lymphocytes transitoires)
MALT définition
l’ensemble des follicules lymphatiques et cellules lymphoïdes isolées localisés dans les muqueuses
MALT exemple
GALT (gut associated lymphoid tissue),
BALT (bronchus associated lymphoid tissue)
GALT définition
L’ensemble des follicules lymphatiques dispersés dans les muqueuses du tube digestif
GALT exemple
pharynx
iléon terminal
appendice
anneau de défense (Waldeyer) → formation (pharynx)
follicules lymphatiques peuvent se trouver en particulier dans la paroi latéral. Ils forment ainsi, avec les amygdales palatines paires, l’amygdale linguale et l’amygdale pharyngée
Dans iléon terminal, les follicules lymphatiques s’assemblent pour →
former des agrégats (plaques de Peyer)
composants de l’anneau lymphatique de Waldeyer
tonsille (amygdale) pharyngienne
tonsille (amygdale) linquinales
tonsille (amygdale) palatine