1/20
Looks like no tags are added yet.
Name | Mastery | Learn | Test | Matching | Spaced | Call with Kai |
|---|
No study sessions yet.

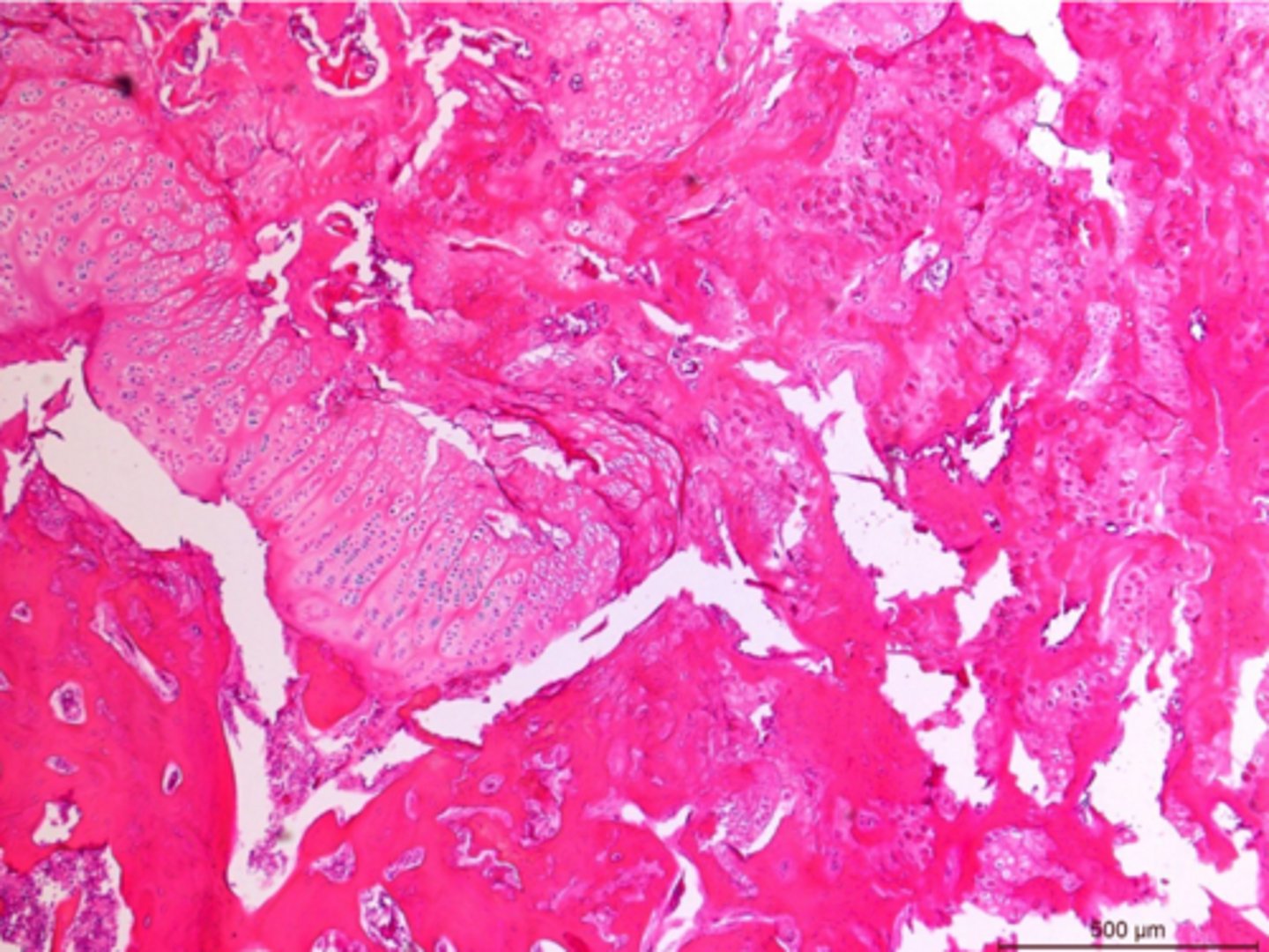
Identify the pathology:
HOD

Identify the pathology:
Osteoarthritis

Identify the pathology:
Osteoarthrosis

Identify the pathology:
Ankylosing spondylosis

Identify the pathology:
Unilateral masseter atrophy due to neural sheath tumor in trigeminal nerve

Identify the pathology:
Caprine arthritis encephalitis - proliferative and lymphoplasmacytic synovitis

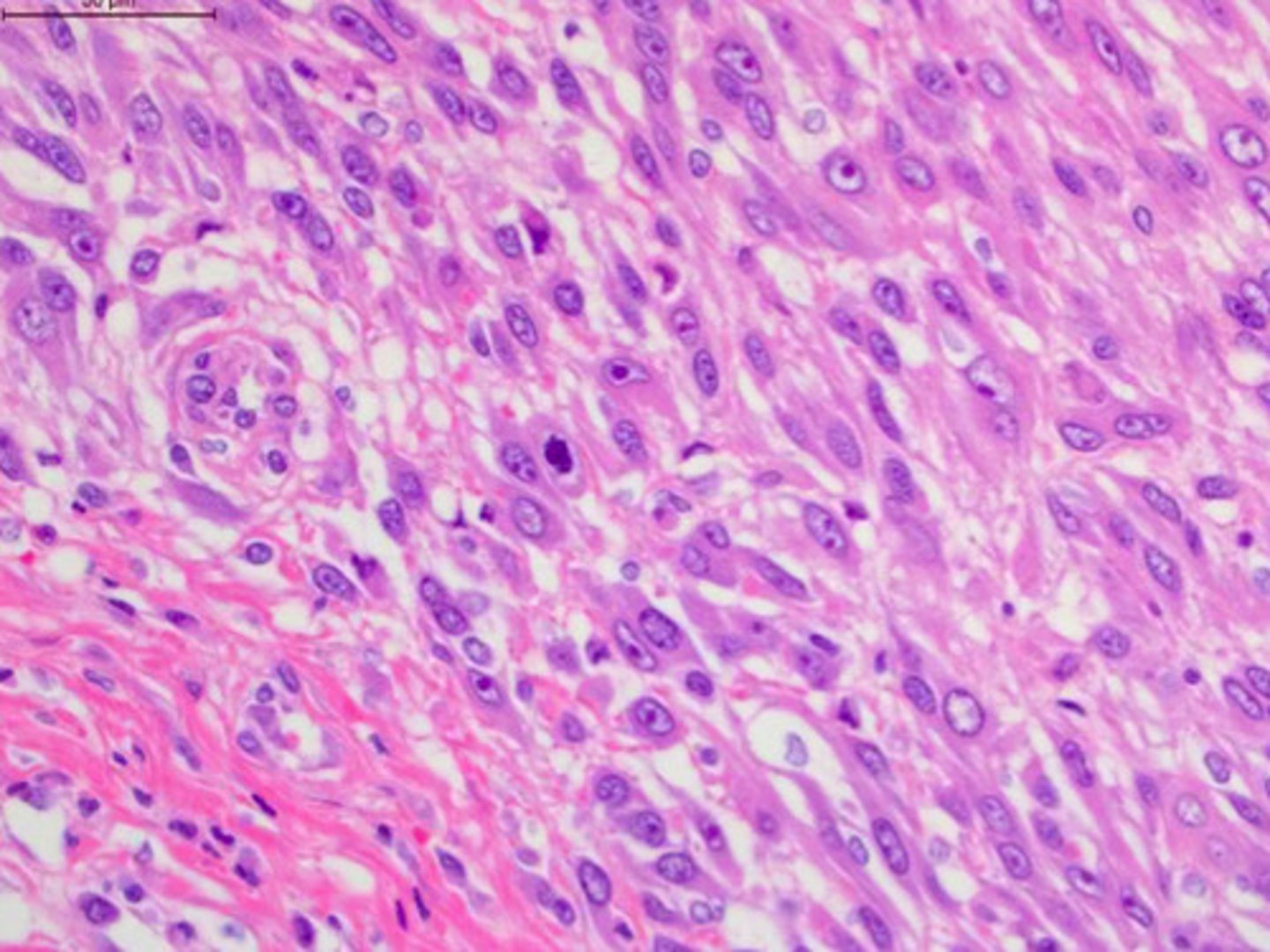
Identify the pathology:
Fibrosarcoma

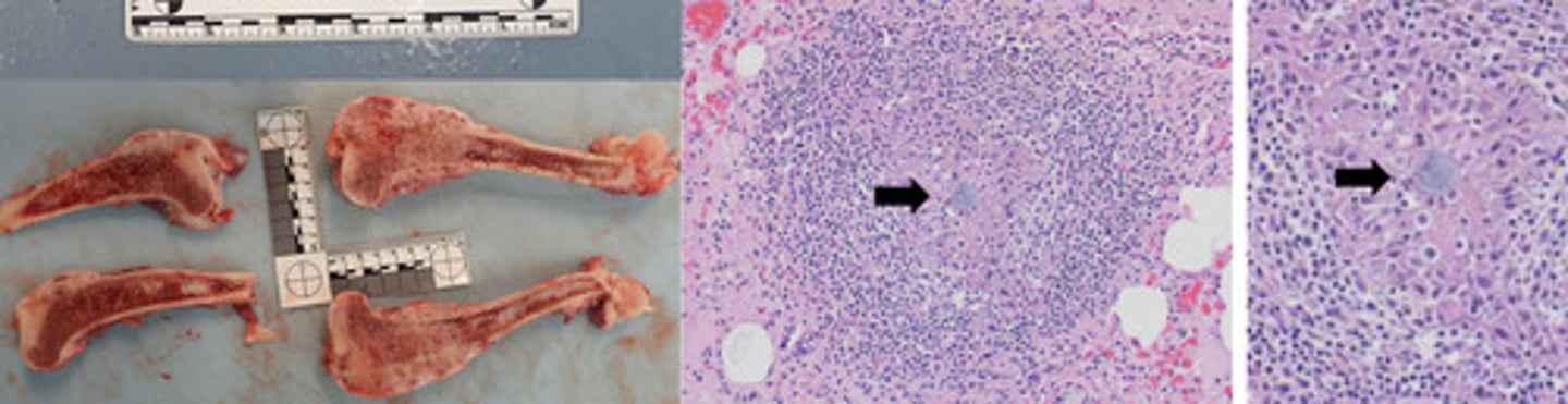
Identify the pathology:
Coccidiodes - fungal granulation

Identify the pathology:
Fracture healing/ complications

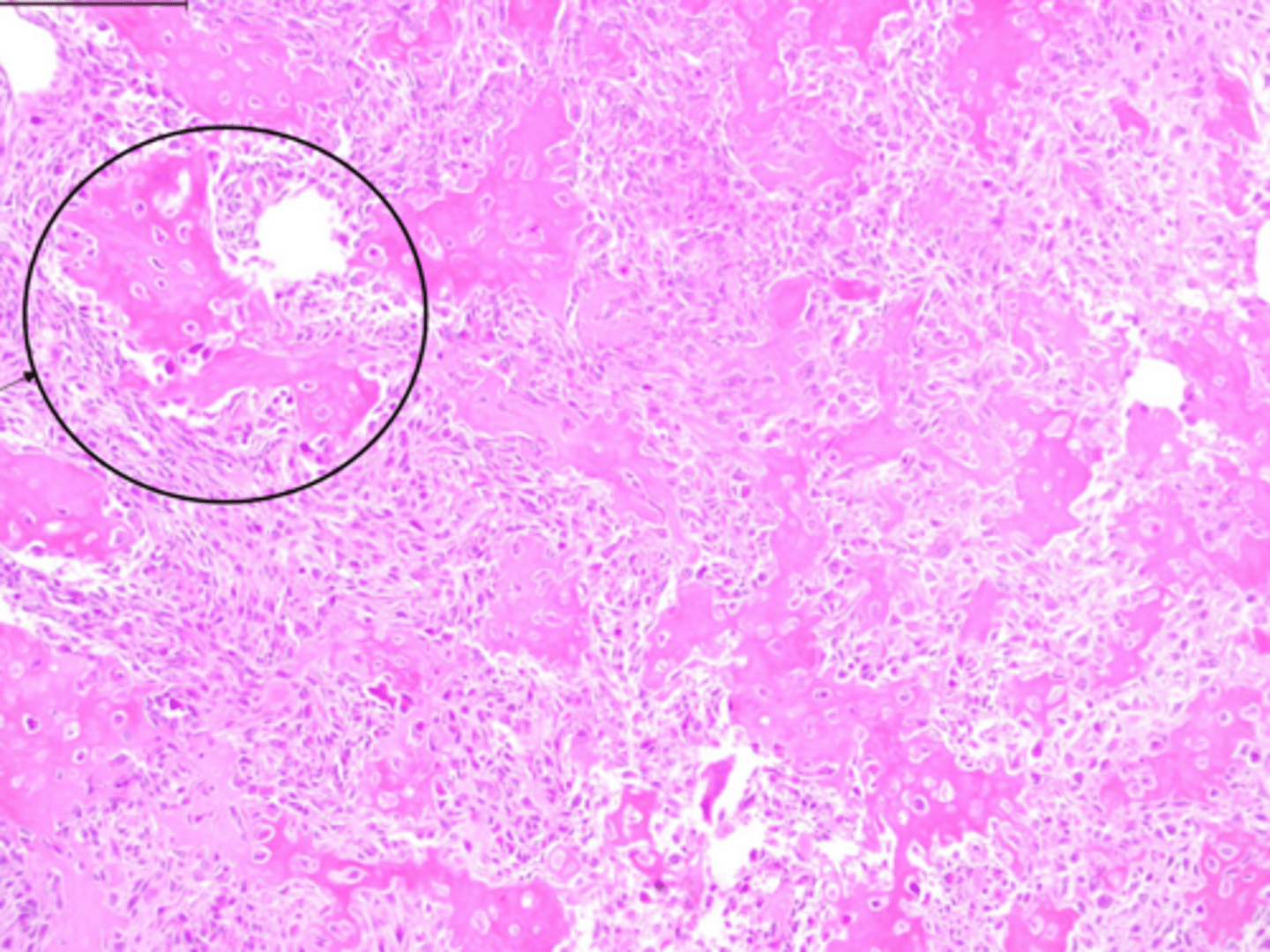
Identify the pathology:
Ostosarc

Identify the pathology:
Fiberous osteodystrophy

Identify the pathology:
Hypertrophic osteopathy

Identify the type of bone growth:
Intramembrenous ossification

Identify the pathology:
Osteosarcoma -

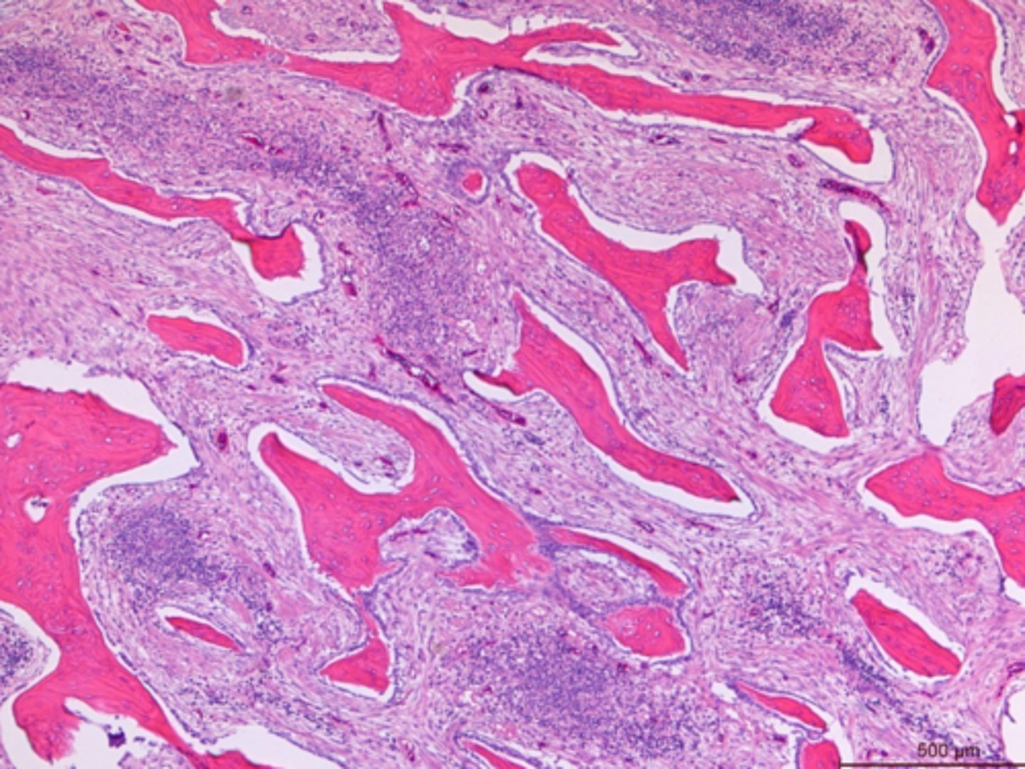
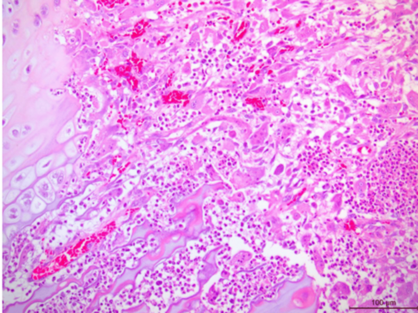
Identify the pathology:
Osteomyelitis

Identify the pathology:
Hypertrophic osteopathy

Identify the pathology:
Rickets - physeal chondrodysplasia

Which side is the callus formation?
R - callus formation
L - cortical bone

Identify the pathology:
Fibrillation

Identify the pathology:
HOD

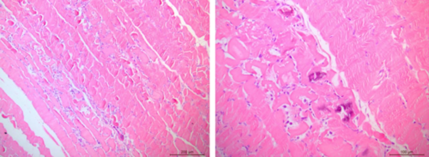
Identify the pathology:
Nutritional myopathy