1/56
Looks like no tags are added yet.
Name | Mastery | Learn | Test | Matching | Spaced |
|---|
No study sessions yet.

Raiz secundaria

Raíz secundaria

Tallo monocotiledoneo

Tallo monocotiledoneo (haz vascular)

Hoja de pino

Hoja de olivo

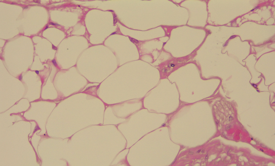
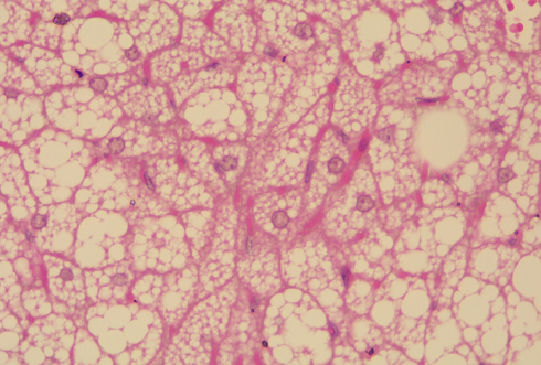
Tejido adiposo blanco

Tejido adiposo marrón

Tendón

Hueso compacto

Musculo esqueletico

Musculo cardiaco (corazón)

Cartilago (azul alcian)

Cartilago (hematoxilina)

Traquea

Traquea (azul alcian)

Pulmón

Higado (cerdo)

Higado (triada portal)

Higado (rata)

Glandula salival (conducto excretor)

Glandula salival

Lengua

Lengua (papila filiforme)

Lengua

Lengua (papila filiforme)

Lengua (papilas fungiformes)

Esofago

Esofago

Estomago

Estomago (fosa gastrica)

Intestino delgado (PAS)

Intestino delgado

intestino grueso

Intestino grueso

Bazo

Timo

Timo (arteria central)

Testiculo

Testiculo (tubulo seminifero)

Testiculo (celula de Leydig)

Ovario

Ovario (trompas de falopio)

Ovario (foliculo primario multilaminar)

Ovario (foliculo secundario)

Ovario (foliculo de Graaf)

Cerebelo

Cerebelo (lamina cirbelar)

Medula espinal

Medula espinal (neuronas)

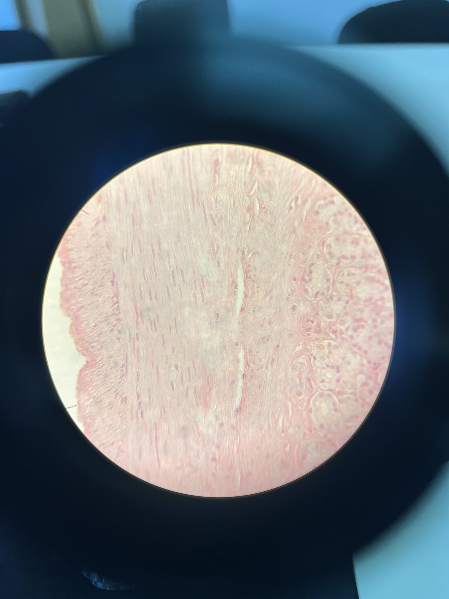
Riñon

Riñon (corpusculo de Bowman)

Riñon (PAS)

Utero

Utero

Pancreas (cerdo)

Pancreas (cerdo)