1/156
Looks like no tags are added yet.
Name | Mastery | Learn | Test | Matching | Spaced | Call with Kai |
|---|
No analytics yet
Send a link to your students to track their progress
elastic fibers and smooth muscle
what composes the aorta?
the aorta (transverse cut)- mostly elastic fibers, smooth muscle
what is this?

the aorta (longitudinal cut)- mostly elastic fibers, smooth muscle
what is this ?

cardiac muscle (longitudinal)- long, cylindrical cells, intercalated discs, 1-2 elongated central nuclei, transverse striations
what is this?

cardiac muscle (longitudinal)- long, cylindrical cells, intercalated discs, 1-2 elongated central nuclei, transverse striations
what is this?

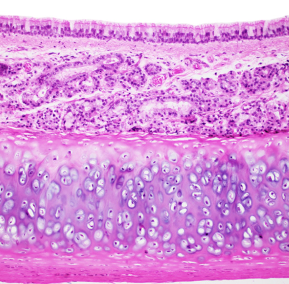
trachea-
-mucosa with respiratory epithelium ( pseudostratified columnar, cilia), goblet cells
-submucosa with CT, mucus and serous glands
-hyaline cartilage
what is this?

trachea, bronchus
if the sample has hyaline cartilage, what organ could it be?
ear
if the sample has elastic cartilage, what organ could it be?
bronchus-
-mucosa with pseudostratified columnar epithelium, cilia, goblet cells, smooth muscle
-submucosa with seromucous glands, vessels, lymphocytes
-hyaline cartilage plates
what is this?

trachea- (almost) complete ring of hyaline cartilage
bronchus- random hyaline cartilage plates, smooth muscle in mucosa
bronchiole- no goblet cells, no cartilage
how can you differentiate the trachea, a bronchus, and a bronchiole?
trachea- (almost) complete ring of hyaline cartilage, no smooth muscle in mucosa
bronchus- random hyaline cartilage plates, smooth muscle in mucosa
what is different between a trachea and a bronchus?

the tongue- dorsal surface with keratin and papillae, ventral surface smooth and non keratinized; stratified squamous epithelium
what is this?

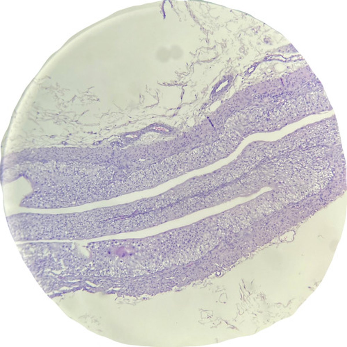
esophagus-
-mucosa with statified squamous epithelium, can be keratinized or not
-submucosa with mucous glands, loose CT
-muscularis with 2 layers (either smooth or striated)
what is this?

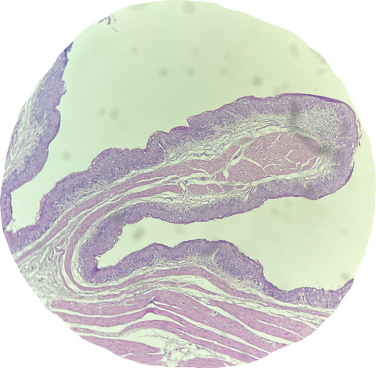
rumen-
-mucosa with keratinized stratified squamous epithelium
-muscularis: smooth muscle
-short folds with no muscle inside the folds
what is this?

omasum-
-mucosa with keratinized stratified squamous epithelium
-muscularis: smooth muscle
-very long folds with muscle in entire fold
what is this?

reticulum-
-mucosa with keratinized stratified squamous epithelium
-muscularis: smooth muscle
-short and long folds, muscle only in apical part of long folds
what is this?

-mucosa: simple columnar epithelium with surface mucous cells
-epithelium is covering the gastric mucosal folds, covered by gastric pits
-gastric glands in lamina propria- chief cells and parietal cells
-muscularis: 2-3 layers
what is the glandular stomach like?
glandular stomach-
-mucosa: folds (gastric pits) covered by epithelium, parietal and chief cells in lamina propria
-submucosa: CT with blood vessels and lymphoid follicles, adipocytes
-muscularis: 2-3 layers of smooth muscle
what is this?

glandular stomach (just mucosa)-
gastric pits (folds) covered by epithelium
chief cells and parietal cells
what is this?

small intestine-
-mucosa: simple columnar epithelium with microvilli, enterocytes, goblet cells
what is this?

small intestine-
-mucosa: simple columnar epithelium with microvilli, enterocytes, goblet cells
what is this?

large intestine-
-mucosa: no microvilli, LOTS of goblet cells, thicker muscular layer
what is this?

small- less goblet cells, mucosa is predominant layer, microvilli
large- more goblet cells, muscularis is predominant layer, no microvilli
how can you differentiate large and small intestine?

pancreas-
islets of langerhans: lighter circles, capillaries inside, basophilic
exocrine: most of the organ, darker, cell clusters forming acini
what is this?

liver (pig)-
hepatic lobules made of hepatocytes arranged in lines, limited by CT
what is this?

liver (dog)-
visible central veins, undifferentiated lobules
what is this?

small intestine-
-mucosa: simple columnar epithelium with microvilli, enterocytes, goblet cells
-Brunner's glands in submucosa
what is this?

large intestine-
-mucosa: no microvilli, LOTS of goblet cells
-muscularis: very thick
what is this?

glandular stomach (just mucosa)-
gastric pits (folds) covered by epithelium
chief cells and parietal cells
what is this?

reticulum-
-mucosa with keratinized stratified squamous epithelium
-muscularis: smooth muscle
-short and long folds, muscle only in apical part of long folds
what is this?

omasum-
-mucosa with keratinized stratified squamous epithelium
-muscularis: smooth muscle
-very long folds with muscle in entire fold
what is this?

esophagus-
-mucosa with statified squamous epithelium, can be keratinized or not
-submucosa with mucous glands, loose CT
-muscularis with 2 layers (either smooth or striated)
what is this?

tongue-
striated muscle interior
dorsal mucosa with papillae and keratin
ventral mucosa without papillae and unkeratinized
what is this?

paw pad (thick skin)-
sweat glands
no sebacious glands or hair follicles
lots of adipose tissue in hypodermis (not seen here)
what is this?

ear-
elastic cartilage
what is this?

lip-
very large tactile hairs (whiskers)
oral epithelium
sebacious glands
sweat glands
hair follicles
what is this?

hypophysis (pituitary gland)-
pas distalis (upper part): chromophobes and chromophiles
pas intermedia (middle part): basophils
pas nerviosa (lower part): lightly stained, disorganized, nervous fibers
what is this?

thyroid gland-
follicular- very organized
what is this?

thyroid gland-
follicular- very organized
what is 1?

parathyroid gland-
basophilic, compact (unorganized)
what is 2?

adrenal gland-
outer cortex and inner medulla
cortex:
- glomerulosa- outer, arched appearance
- fasciculata- cuboid cells arranged in cords
- reticularis- short cellular cords
medulla- inner, darker
what is this?

thyroid
which of the endocrine glands is follicular (very organized)?
thyroid gland-
follicular (very organized)
what is this?

adrenal gland-
cortex and medulla
what is this?

hypophysis (pituitary gland)-
pars distalis, pars intermedia, pars nerviosa
what is this?

kidney-
cortex (upper 2): bowman's capsules, PCT and DCT
medulla (lower right): no bowman's capsules
renal pelvis (lower left): transitional epithelium
all these slides are what organ?

ureter (transverse cut)-
external CT with vessels
smooth muscle
transitional epithelium
surrounded by adipose
what is this?

ureter (longitudinal cut)-
external CT with vessels
smooth muscle
transitional epithelium
surrounded by adipose
what is this?

ureter (longitudinal cut)-
external CT with vessels
smooth muscle
transitional epithelium
surrounded by adipose
what is this?

bladder-
transitional epithelium
3 layers of smooth muscle mixed in with CT
what is this?

prostate-
capsule: dense CT
glands with columnar epithelium and light cytoplasm
transitional epithelium lining ureter entrance
what is this?

transitional
what type of epithelium composes the bladder?
transitional
what type of epithelium composes the ureter?
testicle-
seminiferous tubules- circles, surrounded by lamina propria
tunica albuginea- CT capsule
what is this?

testicle-
seminiferous tubules- circles, surrounded by lamina propria
tunica albuginea- CT capsule
what is this?

epididymus-
muscular tube with segments
psedostratified epithelium
what is this?

ovary-
cortex and medulla
fibrous CT with follicles (oocytes, primary follicles, etc)
corpus luteum cells
corpus albicans cells
what is this?

mammary gland (very zoomed out)-
mammary lobules with tubulo-acinar glands
what is this?

mammary gland (active)-
tubulo-acinar glands with pink interior, dilated
what is this?

active- dilated glands, lumen is stained pink, less space between glands
inactive- less dilated glands, less stained lumen, more space between glands
how can you tell if the mammary gland is active or inactive?
bone marrow-
white- adipose of yellow bone marrow
cells- hematopoietic cells of red bone marrow
what is this?

bone marrow-
white- adipose of yellow bone marrow
cells- hematopoietic cells of red bone marrow
what is this?

bone marrow-
white- adipose of yellow bone marrow
cells- hematopoietic cells of red bone marrow
what is this?

thymus-
very lobulated, with capsule and trabeculae as well
cortex: dark, basophilic
medulla: lighter
what is this?

thymus-
very lobulated, with capsule and trabeculae as well
cortex: dark, basophilic
medulla: lighter
what is this?

thymus-
very lobulated, with capsule and trabeculae as well
cortex: dark, basophilic
medulla: lighter
what is this?

bursa of fabricius-
folded mucosa and submucosa
lobules
what is this?

bursa of fabricius
what is this?

bursa of fabricius
what is this?

bursa of fabricius
what is this?

lymph node-
exterior, darker cortex with follicles
inner, lighter medulla
what is this?

lymph node-
exterior, darker cortex with follicles
inner, lighter medulla
what is this?

spleen-
red and white pulp
what is this?

spleen-
red and white pulp
what is this?

spleen
what is this?

spleen
what is this?

spleen
what is this?

small intestine with peyer's patches
what is this?

small intestine with peyer's patches
what is this?

tonsil
what is this?

tonsil
what is this?

tonsil- follicles of lymphocytes under epithelium
what is this?

tonsil
what is this?

aorta-
thick wall of elastic and smooth muscle
what is this?

aorta-
thick wall of elastic and smooth muscle
what is this?

cardiac muscle-
long, cylindrical cells, intercalated discs, 1-2 elongated central nuclei, transverse striations
what is this?

cardiac muscle-
long, cylindrical cells, intercalated discs, 1-2 elongated central nuclei, transverse striations
what is this?

trachea-
-mucosa with respiratory epithelium ( pseudostratified columnar, cilia), goblet cells
-submucosa with CT, mucus and serous glands
-hyaline cartilage
what is this?

trachea-
-mucosa with respiratory epithelium ( pseudostratified columnar, cilia), goblet cells
-submucosa with CT, mucus and serous glands
-hyaline cartilage
what is this?

bronchus-
-mucosa with pseudostratified columnar epithelium, cilia, goblet cells, smooth muscle
-submucosa with seromucous glands, vessels, lymphocytes
-hyaline cartilage plates
what is this?

bronchus-
-mucosa with pseudostratified columnar epithelium, cilia, goblet cells, smooth muscle
-submucosa with seromucous glands, vessels, lymphocytes
-hyaline cartilage plates
what is this?

bronchioles/alveoli
what is this?

the tongue-
interior- muscle
dorsal surface with keratin and papillae, ventral surface smooth and non keratinized; stratified squamous epithelium
what is this?

esophagus-
-mucosa with statified squamous epithelium, can be keratinized or not
-submucosa with mucous glands, loose CT
-muscularis with 2 layers (either smooth or striated)
what is this?

esophagus-
-mucosa with statified squamous epithelium, can be keratinized or not
-submucosa with mucous glands, loose CT
-muscularis with 2 layers (either smooth or striated)
what is this?

rumen-
-mucosa with keratinized stratified squamous epithelium
-muscularis: smooth muscle
-short folds with no muscle inside the folds
what is this?

reticulum-
-mucosa with keratinized stratified squamous epithelium
-muscularis: smooth muscle
-short and long folds, muscle only in apical part of long folds
what is this?

omasum-
-mucosa with keratinized stratified squamous epithelium
-muscularis: smooth muscle
-very long folds with muscle in entire fold
what is this?

glandular stomach-
-mucosa: folds (gastric pits) covered by epithelium, parietal and chief cells in lamina propria
-submucosa: CT with blood vessels and lymphoid follicles, adipocytes
-muscularis: 2-3 layers of smooth muscle
what is this?

glandular stomach-
-mucosa: folds (gastric pits) covered by epithelium, parietal and chief cells in lamina propria
-submucosa: CT with blood vessels and lymphoid follicles, adipocytes
-muscularis: 2-3 layers of smooth muscle
what is this?
