1/5
Looks like no tags are added yet.
Name | Mastery | Learn | Test | Matching | Spaced | Call with Kai |
|---|
No analytics yet
Send a link to your students to track their progress
Simple squamous
single layer; flattened; used in diffusion and filtration; found in air sacs in lungs, lining of blood vessels

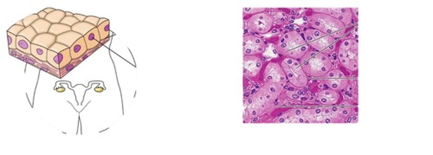
simple cuboidal
Single layer of cube shaped cells, usually with spherical nuclei. Covers ovaries and lines most of the kidney tubules and the ducts of certain glands.

simple columnar
single layer of elongated, rectangular shaped cells. Secretion and absorption. Surface lining of stomach and intestines.

pseudostratified columnar
looks stratified or looks like in layers, but really just odd shaped columnar cells with nuclei located in different parts of each cell. Found in the cells of the respiratory system.

stratified squamous
layers of flattened cells; used in protection (covers areas of high abrasion); found in skin and upper digestive tract (mouth, esophagus)

transitional epithelium
Multiple layers of cells which appear cuboidal when not stretched, but squamous when stretched; found in the urinary organs
