1/24
Looks like no tags are added yet.
Name | Mastery | Learn | Test | Matching | Spaced | Call with Kai |
|---|
No analytics yet
Send a link to your students to track their progress
Forklar hvad man forstår ved en ortoradial optagelse.
Når tændernddes approksimalflader er gengivet fri af hinanden. For at få røngtenbillederne ortoradiale skal røngtenkilden og billedereceptoren placeres bestemt.
Ofte kan man ikke få alle tænder gengivet ortoradialt grundet tandbuens krumning.

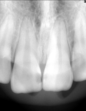
Er denne optagelse ortoradial? Begrund dit svar.
approksimalrum ses åbne
ingen overlap af kontaktpunkter
emaljekonturer kan følges mesialt og distalt
tandkroner fremstår adskilt
ingen tegn på horisontal vinklingsfejl
Beskriv fremgangsmåden ved at bruge fosforplade
Åbne patientens journal
Plastposer og evt. beskyttelsespap fjernes og fosforpladen berøres, så vidt muligt, kun på kanterne
Fosforpladen placeres korrekt i scanneren
Billedet vises på skærmen
Kontroller at det viste billede vender korrekt i forhold til den ønskede optagelse

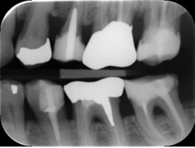
Denne optagelse er med fosforplade, beskriv mulige fejl, der kan opstå på en fosforplade 2. Er der fejl på denne fosforplade? begrund
1.
ridser
fingeraftryk
støv/snavs
lys-eksponering før scanning
bidemærker eller bøjning
2.
Nej.
der ses ingen uønskede linjer eller striber i billedet
der ses ingen pletter eller områder med tab af billedsignal
gråtonerne fremstår jævne og ensartede
der ses ingen udvaskede eller unaturligt lyse/mørke områder
billedet fremstår tydeligt og med god skarphed
Hvad er artefakter?
Bruger man fosforplader som billedreceptor skal man også kontrollere, at der ikke er opstået fejl på receptorerne. Denne type fejl kan fremkomme, hvis der er fejl på fosforpladerne. Sådanne fejl på røntgenbillederne kalder man artefakter. Denne kontrol udføres på alle de fosforplader, man arbejder med.
Kontrollen skal foretages mindst hver 3. måned. Man eksponerer fosforpladerne med en meters afstand fra fokus. Man må godt bestråle flere fosforplader samtidigt. Der skal foreligge en entydig instruks, der beskriver eksponeringsparametrene.
Forklar hvad man forstår ved optisk densitet.
Optisk densitet = hvor mørkt et røntgenbillede er.
Meget mørkt billede → høj optisk densitet
Meget lyst billede → lav optisk densitet
Man bruger et apparat der hedder et densitometer.
Optisk densitet skal ligge mellem:
0,25 – 2,5
Det betyder:
under 0,25 → billedet er for lyst
over 2,5 → billedet er for mørkt

Vurder den optiske densitet på denne fosforplade.
Passende/god
emalje tydeligt radiopak
dentin kan skelnes fra emalje
trabekulært knoglemønster synligt
pulparum radiolucent
billedet hverken for mørkt eller for lyst

Forklar hvorledes radioluscente og radiopake områder er opstået på denne optagelse.
Radiopake (lyse) og radiolucente (mørke) områder på optagelsen opstår, fordi forskellige væv absorberer røntgenstråler forskelligt.
Radiopake områder som emalje, dentin og kompakt knogle fremstår lyse, fordi de er tætte og mineraliserede og derfor absorberer mange røntgenfotoner. Dermed når færre stråler frem til billedreceptoren.
Radiolucente områder som pulpa og parodontalspalten fremstår mørke, fordi disse væv har lavere densitet og derfor tillader flere røntgenfotoner at passere og ramme billedreceptoren.
Den optiske densitet beskriver graden af mørkfarvning på det digitale røntgenbillede og afhænger af mængden af billeddannende stråling, der når billedreceptoren. Hvis den optiske densitet er lav, bliver billedet lyst og kontrasten mellem radiopake og radiolucente strukturer mindre tydelig.
- Kv = spændingsforskellen måles i kiloVolt. Afgørende for, hvor meget energi strålerne får (kort eller lang længdebølger bliver) og hvor mange stråler dannes. Spændingsforskellen er altså bestemmende for både kvalitet og kvantiteten af strålerne.

Vurder kontrasten på denne optagelse.
kontrasten vurderes som lav til moderat
der er kun små forskelle mellem gråtonerne
emalje og dentin fremstår forholdsvis ens
lamina dura ses kun svagt (rodlinjen)
det trabekulære knoglemønster er utydeligt
strukturerne fremstår lidt udjævnede og mindre klart afgrænsede
Forklar begrebet burnout.
Ved tandhalsen, der hvor emaljen holder op, ses ofte en mørk skygge. Det skyldes blandt andet, at tanden her er mere rund end oppe på kronen. Dette område kan være meget mørkt. Dette må ikke opfattes som caries. Det er yderst sjældent, at der ses caries her. Dette fænomen kaldes burnout-effekten.
Forklar begrebet penumbra.
Penumbra effekten opstår pga. strålebundtet er vifteformet, dette medfører en lille forstørrelse/randuskarphed i randområderne af de fremstillede objekter/tænderne.
Hvad er den gennemsnitlige effektive dosis ved periapikal optagelse?
Ca. 1–5 µSv
Forklar kort hvordan røntgenstrålerne dannes i røntgenrøret.
Katoden varmes op og frigiver elektroner.
Spænding accelererer elektroner mod anoden.
Elektroner rammer anoden (wolfram).
Energi omdannes → mest varme, lidt røntgenstråler.
Røntgenfotoner udsendes mod billedreceptoren.
Hvor stor en spænding anvendes ved intraorale optagelser?
Typisk 60–70 kV
Hvorfor er der olie omkring røntgenrøret?
køler røret
elektrisk isolering
beskytter mod overophedning
Hvilket materiale er den primære blænde lavet af?
Bly
Hvad er den primære blændes funktion?
Den primære blænde er en blyplade med et hul i, som sidder foran røntgenrøret.
Den sørger for, at røntgenstrålerne kun rammer det område vi vil tage billede af.
begrænser strålefelt - ikke hele kæben men tænderne
reducerer patientdosis
mindsker spredt stråling
forbedrer billedkvalitet
Beskriv hvad der forstås ved en klinisk ansvarlig sundhedsperson.
Vurdere indikation (berettigelse)
→ beslutte om der er behov for røntgenundersøgelsen og inddrage tidligere relevante undersøgelser samt overveje stråledosis.
Valg af undersøgelse/teknik
→ vælge den mest hensigtsmæssige type røntgenoptagelse i den konkrete situation.
Udførelse eller delegation
→ kan selv udføre optagelsen eller delegere den til kvalificeret personale efter skriftlig instruks.
Beskrivelse og journalføring
→ sikre at røntgenbilledet tolkes, hele det afbildede område beskrives og at det journaliseres korrekt.
Diagnostisk anvendelse
→ sikre at røntgenundersøgelsen indgår i den samlede diagnostiske vurdering og behandlingsplan.
Hvem kan være klinisk ansvarlig sundhedsperson ved intraorale optagelser?
tandlæge
tandplejer
Hvad er forskellen på absorberet dosis og effektiv dosis?
absorberet dosis → energi i væv (Gy)
hvor hårdt blev vævet “ramt” af strålingen
effektiv dosis → biologisk risiko (Sv)
hvilket væv der rammes
hvor følsomt vævet er
Hvad forstås ved at røntgenstråler har ioniserende virkning?
Ioniserende virkning betyder, at røngtenstråler har tilstrækkelig energi til at fjerne elektroner fra atomer og dermed ionisere dem. Denne ioniserende effekt kan forårsage skader på DNA og andre molekyler i levende væv. Kan føre til celleskader og i sjældne tilfælde cancer.
Hvilke molekylære ændringer kan opstå ved intraorale røntgenoptagelser?
Ionisering → mutation i DNA → evt. kræftrisiko (stokastiske skader).
Hvad forstås ved den naturlige baggrundsstråling?
Det er den stråling vi hele tiden får fra omgivelserne, uden at tænke over det.
Den kommer fra:
kosmisk stråling fra rummet
radioaktive stoffer i jorden
fødevarer (fx kalium)
byggematerialer (fx radon i huse)

Vurder skarpheden på billedet
Acceptabel.
tandkonturer kan vurderes
approksimalflader synlige
ingen dobbeltkonturer
ingen tydelig bevægelse
let afrunding af strukturer
Hvilke faktorer influerer på skarpheden?
Fokusstørrelse
→ Lille fokus giver større skarphed og mindre geometrisk uskarphed.
Fokus-objekt-receptorafstand
→ Stor afstand mellem fokus og tand/receptor giver et skarpere billede.
Bevægelse under eksponering
→ Bevægelse af røntgenrør, patient eller billedreceptor giver uskarphed.
Billedreceptorens kvalitet
→ En god receptor giver bedre gengivelse af detaljer og dermed større skarphed.