BIO 1220 Lab Practical Prokaryotes & Eukaryotes

0.0(0)
studied byStudied by 0 people
0.0(0)
full-widthCall Kai
learnLearn
examPractice Test
spaced repetitionSpaced Repetition
heart puzzleMatch
flashcardsFlashcards
GameKnowt Play
Card Sorting

1/29

encourage image

There's no tags or description

Looks like no tags are added yet.

Study Analytics
Name
Mastery
Learn
Test
Matching
Spaced

No study sessions yet.

30 Terms

1
New cards
<p></p>

Bacillus (Firmicutes); Domain: Bacteria; 1000x total magnification; Shape: Bacillus; Arrangement: Chain

2
New cards
term image

Streptococcus (Firmicutes); Domain: Bacteria; 1000x total magnification; Shape: Coccus; Arrangement: Staph

3
New cards
term image

Clostridium (Firmicutes); Domain: Bacteria; 1000x total magnification; Shape: Bacillus; Arrangement: Chain

4
New cards
term image

Spirillum; Domain: Bacteria; 1000x total magnification; Shape: Spiral shaped

5
New cards
term image

Mixed Archaea (Halococcus and Methanomonas); Domain: Archaea; 1000x total magnification; Shape: Coccus; Arrangement: Staph

6
New cards
term image

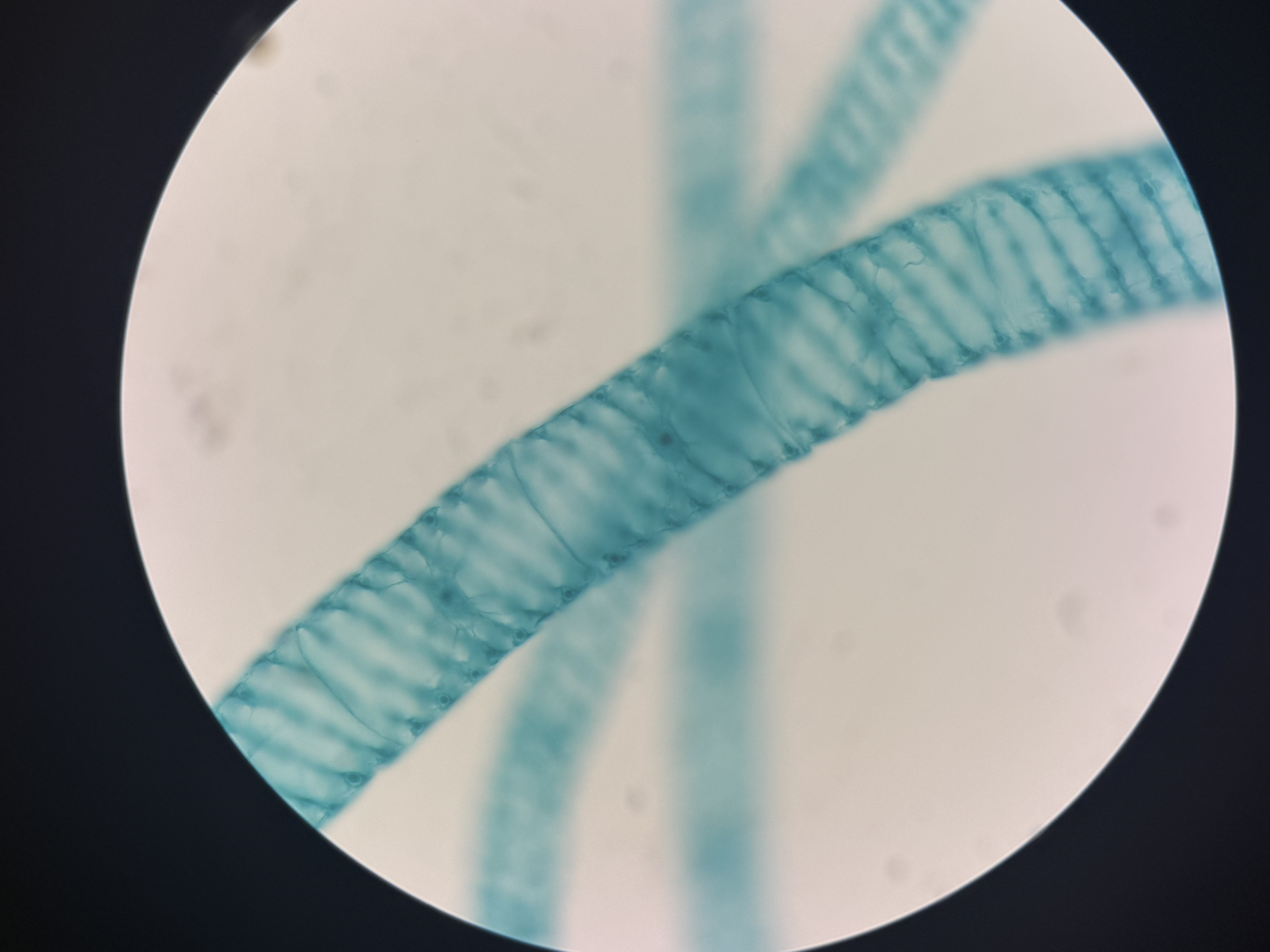
Anabaena (Cyanobacteria); Domain: Bacteria; 1000x total magnification; Shape: Coccus; Arrangement: Staph

7
New cards
term image

Root nodules

8
New cards
term image

Paramecium; Ciliated Protozoans (Animal-like Protist)

9
New cards
term image

Wet Mount Paramecium

10
New cards
term image

Trichonympha; Flagellated Protozoans (Animal-like Protist)

11
New cards
<p></p>

Amoeba; Amoeboid Protozoan (Animal-like Protist)

12
New cards
term image

Wet Mount Amoeba

13
New cards
term image

Plasmodium; Spore-Forming Protozoans (Animal-like Protist)

14
New cards
term image

Physarum plasmodial stage; Slime molds (Fungus-like Protist)

15
New cards
term image

Physarum reproductive stage; Slime molds (Fungus-like Protist)

16
New cards
term image

Euglena; Euglenids (Plant-like Protists)

17
New cards
term image

Euglena Wet Mount

18
New cards
term image

Dinoflagellates; Plant-like Protist

19
New cards
term image

Dinoflagellates; Plant-like Protist

20
New cards
term image

Diatoms; Plant-like Protist

21
New cards
term image

Phaeophyta; Brown algae; Plant-like Protist

22
New cards
term image

Rhodophyta; Red algae; Plant-like Protist

23
New cards
term image

Volvox sexual; Green algae (Plant-like Protist)

24
New cards
term image

Volvox asexual; Green algae (Plant-like Protist)

25
New cards
term image

Volvox Wet Mount

26
New cards
term image

Spirogyra; Green algae (Plant-like Protist)

27
New cards
term image

Spirogyra Wet Mount

28
New cards
term image

Codium; Green Algae; “Dead man’s finger;” Plant-like Protist

29
New cards
term image

UlvaI; Green Algae; “Sea lettuce;” Plant-like Protist

30
New cards
term image

Cladophora; Green Algae; Plant-like Protist