1/72
Looks like no tags are added yet.
Name | Mastery | Learn | Test | Matching | Spaced | Call with Kai |
|---|
No analytics yet
Send a link to your students to track their progress
Components of integumentary system
skin, hypodermis (subcutaneous membrane), sweat glands, hair, nails

components of integument (skin)
epidermis (superficial region) is epithelial tissue; dermis (underlies epidermis) is mostly fibrous connective tissue

TERM
Hypodermis
DEFINITION
subcutaneous tissue (bottom layer) technically not a part of the skin, shares protection functions, composed of adipose tissue, anchors the skin to underlying structures, shock absorber and insulator

Epidermis
a keratinized stratified squamous epithelium (keratinocytes) also contain melanocytes, Langerhans (dendritic) cells, Merkel cells; avascular

2 layers of the skin (superficial to deep)
epidermis, dermis

keratinocytes
primary cell type in epidermis, produce keratin which is a fibrous protein that gives protection properties; produced by stem cells in stratum basale; pushed through the layers of skin as new cells are formed; die by apoptosis as distance from capillaries increase; cells slough off as dander and dandruff

melanocytes
spider shaped cells, synthesize melanin, found in the deepest layer of epidermis (stratum basale)

langerhans/ dendritic cells
arise from bone marrow, ingest foreign substances (phagocytosis), key factors in immune system

tactile (Merkel) cells
sensory touch receptors associated with nerve endings

layers of epidermis (superficial - deep)
corneum/ cornified (horny) layer; (thick skin only) lucidum/ clear layer; granulosum/ grainy layer; spinosum/ spiny layer; basale/ basal layer

Thick skin
palms, fingertips, soles of feet

Thin skin
covers most of body, strata's are thinner

TERM
Basale/ basal layer
DEFINITION
deepest layer of epidermis; one row of actively mitotic stem cells; some newly formed cells become part of the more superficial layers; (10-25%) melanocytes and some dendritic cells

TERM
Spinosum/ spiny layer
DEFINITION
several keratinocyte layers, cells contain thick bundle of intermediate filaments made of pre-keratin; abundant melanosomes and dendritic cells

TERM
Granulosum/ grainy layer
DEFINITION
4-6 cell layers thick, begin to develop keratin, functions as an external water barrier; organelles deteriorating and cells stain dark

TERM
Lucidum/ clear layer
DEFINITION
only found in thick skin; thin, translucent band superficial to the stratum granulosum; a few rows of flat, dead keratinocytes

TERM
Corneum/ cornified/ horny layer
DEFINITION
20-30 layers of dead cells, outermost layer, protect against abrasion and penetration, protects internal cells from harsh environment, water loss, and from chemical, biological, and physical assaults

TERM
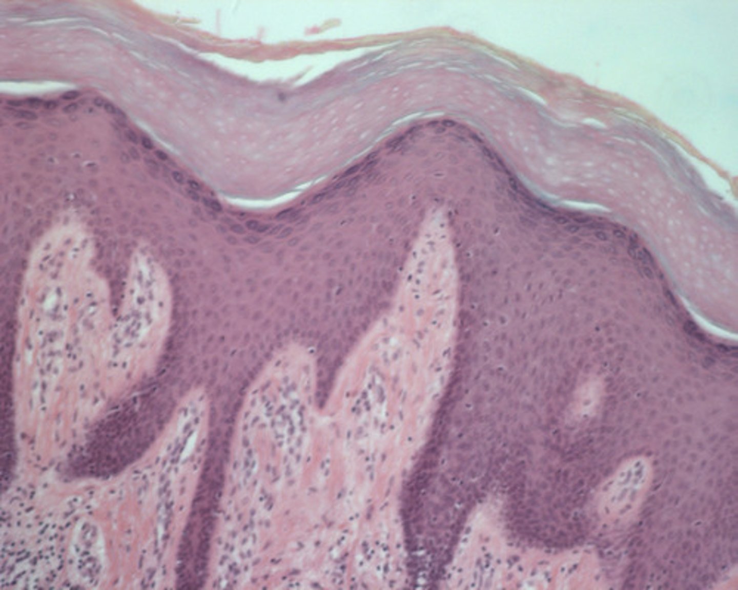
Dermis
DEFINITION
deep to epidermis, dense irregular connective tissue, consists of 2 layers (papillary and reticular); contains nerves, blood & lymphatic vesicles, hair follicles, oil and sweat glands

Dermis cell types/fibers
fibroblasts, mast cells, WBC, Macrophages/ collagen, elastin

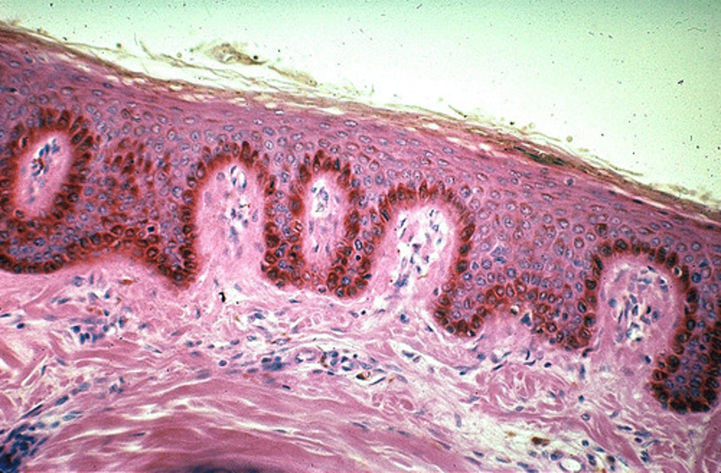
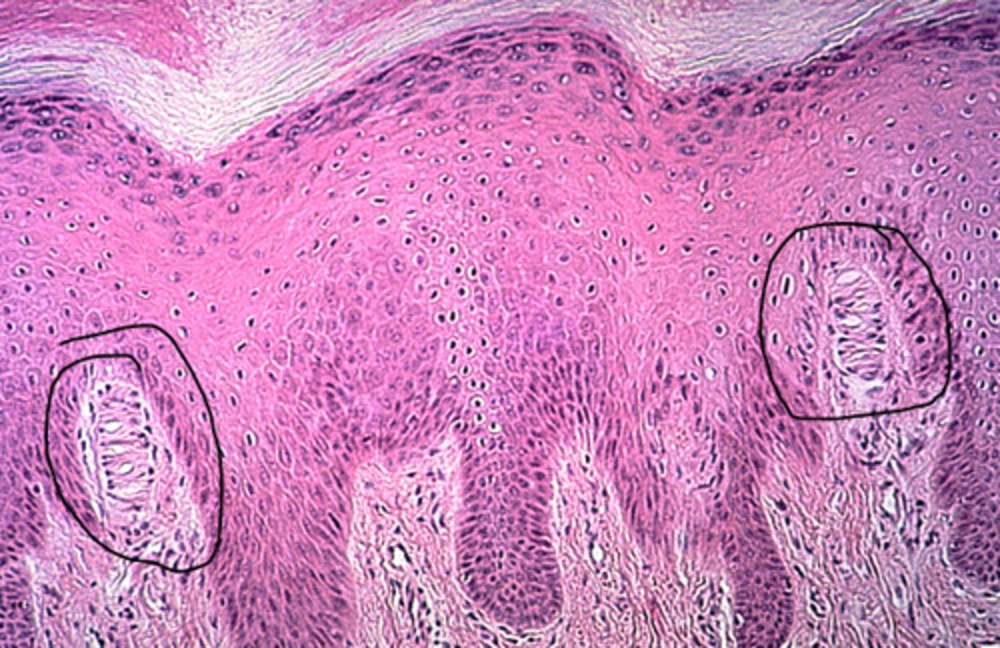
Papillary layer (dermis)
superficial, thin; loose areolar connective tissue; exhibits dermal papillae that protrude toward the epidermis above and form dermal ridges (enhance gripping ability, contribute to sense of touch, pattern is fingerprints)

Dermal papillae
peg like protrusions, indent overlaying epidermis, may contain capillary loops or nerve endings and Meissner's corpuscles

Reticular layer
deep, thicker layer; dense irregular connective tissue; contains cutaneous plexus

skin color
three pigments contribute to skin color; melanin (only pigment made in skin), carotene, hemoglobin

melanin
two forms (reddish-yellow to brownish-black); color differences due to amount and form; produced in melanocytes; same relative number in all people; freckles and pigmented moles are local accumulations of melanin;
sun exposure stimulates melanin production

carotene
yellow to orange pigment; most obvious in palms and soles; accumulates in stratum corneum and hypodermis; can be converted to vitamin A for vision and epidermal health

hemoglobin
pinkish hue of fair skin due to blood cells

cyanosis
blue skin color - low oxygenation of hemoglobin

erythema
redness may indicate blushing, fever, hypertension, inflammation, allergies

pallor or blanching (Pale)
may indicate fear, anger, emotional stress, anemia, and low blood pressure

jaundice
liver disorder, yellow bile pigments accumulate in blood and are deposited into tissues

bronzing
metallic appearance, Addison's disease, adrenal disease, can also be pituitary gland tumor that secret melanocyte stimulation hormones

black-and blue marks
Bruises forms when blood escapes from circulation and clots beneath the skin called hematomas

TERM
hair
DEFINITION
dead keratinized cells of hard keratin; not found on palms, soles, lips, nipples, portions of external genitalia

hair functions
warn of insects on skin, physical trauma, prevent heat loss, sunlight protection

hair pigments
melanins (yellow, rust, brown, black); trichosiderin in red hair; gray/white hair: decreased melanin production, increased air bubbles in shaft

TERM
hair follicle
DEFINITION
consists of heavily keratinized cells; inner epithelial root sheath and outer peripheral connective sheath; hair bulb; is richly vascularized, has many nerve fibers

TERM
arector pili muscle
DEFINITION
smooth muscle pull the follicles upright producing goose bumps, and propel sebum to the skin surface when contracted, involuntary

hair bulb
expanded deep end of hair surrounded by a hair follicle receptor (root hair plexus); contains sensory nerve endings (touch receptors) and a hair matrix (actively dividing area) with stem cells and melanocytes

root hair plexus
a special group of nerve fiber endings that serves as a very sensitive mechanoreceptor for touch sensation; each hair plexus forms a network around a hair follicle and is a receptor that sends and receives nerve impulses to and from the brain when the hair moves

hair structure
consisting of several layers, starting from the outside: the cuticle, which consists of several layers of flat, thin cells laid out overlapping one another as roof shingles; the cortex, which contains the keratin bundles in cell structures; the medulla, a disorganized and open area at the fiber's center

vellus hair
pale, fine body hair of children and adult females

terminal hair
coarse, long hair of eyebrows, scalp; at puberty, appear in axillary and pubic regions of both sexes also face and neck of males

alopecia
the partial or complete absence of hair from areas of the body where it normally grows; baldness

nails
protective cover for distal, dorsal surface of fingers and toes; contain hard keratin

nail functions
keeps Meissner's (light touch) and Pacinian/lamellar (vibration and pressure) corpuscles at right distance beneath epidermis to work properly
TERM
Meissner's corpuscle
DEFINITION
a sensory nerve ending that is sensitive to mechanical stimuli (light touch); found in the dermis in various parts of the body

TERM
Pacinian (lamellar) corpuscle
DEFINITION
a sensory nerve ending in the skin responsible for sensitivity to vibration and pressure

Sudoriferous (sweat) glands
found on alll skin surfaces except nipples and parts of external genitalia with about 3 million per person; types - eccrine, apocrine, sebaceous, ceruminous, mammary

TERM
Eccrine glands (=everywhere)
DEFINITION
all over body; function is thermoregulation; small coiled tubular glands; secret salt solution into ducts that empty through pores to surface of skin

Apocrine sudiferous glands
larger glands found in axillary and anogenital areas with ducts that lead to hair follicles; may function as sexual scent glands; secrete sweat with proteins and fatty substances; feed bacteria on the skin causing BO

Ceruminous glands
modified apocrine glands; found in ear; secrete earwax (cerumin)

Mammary glands
modified apocrine glands; secrete milk; contains complex proteins, lipids, carbohydrates, calcium and other minerals, and vitamins

TERM
Sebaceous glands
DEFINITION
occur over entire body except palms and soles; secret oily sebum which empty into hair follicles

Sebum
softens skin and hair, prevents water loss, acts as a bactericidal agent, activated at puberty
6 functions of integument
protection, temperature regulation, sensory reception, vitamin D synthesis (metabolic), blood reservoir, excretion
protection
resistance to abrasion, trauma, dehydration, and infection; chemical barriers-sebum, defenses, acid mantel, UV shield of melanin; physical barriers - hardened keratinized and lipid-rich surface; biological barriers- dendritic cells, macrophages and DNA
temperature regulation
vasculature and sweat glands
sensory reception
cutaneous sensory receptors respond to temp, touch, pressure, and pain
metabolic
vitamin D synthesis- required for calcium absorption in intestine
blood reservoir
extensive vascular supply of dermis allows skin to act as a ______ ______
excretion
sweat contains small amounts of wastes
Cutaneous sensory receptors
respond to stimuli from outside the body; includes Meissner's (tactile) corpuscles and Pacinian (lamellar) corpuscles

skin cancer
most skin tumors are benign (not cancerous) and do not metastasize (spread); risk factors 1. overexposure to UV radiation 2. frequent irritation of skin; prevention by limiting sun exposure and some skin lotions contain enzymes that can repair damaged DNA

Three forms of skin cancer
basal cell, squamous cell, and melanoma
Basal cell carcinoma
least malignant, and moat common, stratum basal cells proliferate, invading the dermis and hypodermis. Occurs in sun exposed areas of the face, shiny domelike, slow growing, metastasis is rare, cured by surgery

Squamous cell carcinoma
second most common, arises form keratinocyte's if the stratum spinosum, scaly reddened papule, head scalp ears lip and hands, grows fast will metastasize if not treated by surgery or radiation

Melanoma
cancer of melanocytes, dangerous, highly metastatic and resistant to chemo, account to 2-3% of skin cancers, spreading brown/black mole, chance of survival poor if over 4mm thick.

ABCDE rule
used for recognizing melanoma: asymmetry, border irregularity, color, diameter, evolution

Rule of nines
used to estimate the volume of fluid lost in adult burn patients, divides the body into 11 areas, each accounting for 9% of the total body area.

Burns
tissue damage caused by heat, electricity, radiation, certain chemicals; denatures proteins and kills cells; immediate threat is dehydration and electrolyte imbalance; can lead to renal shutdown and circulatory shock; classified according to severity and depth

First degree burn
only epidermis is damaged, symptoms- redness, swelling and pain

2nd degree burn
epidermis and upper region of the dermis affected, symptoms- same as first with the addition of blisters, regeneration within 3-4 weeks

3rd degree burns
full thickness burns, entire thickness of skin is affected, appears gray or white, cherry red or blackened, initially little edema, nerve ending destroyed there is little pain until regeneration, treated with grafting
