1/111
Looks like no tags are added yet.
Name | Mastery | Learn | Test | Matching | Spaced | Call with Kai |
|---|
No analytics yet
Send a link to your students to track their progress
After double ferttilization, an ovule develops into a _____?
Seed
What serves as nutritive tissue for the developing embryo?
Emdosperm
What is formed after the embryo is pushed into the endosperm?
Cotyledons, embryotic roots, and embryonic shoots.

What’s labeled by the light blue arrows?
Hilum

What labeled by the red arrow?
Micropyte

What is labeled by the orange arrow?
Seed coat
Remember: the seed coat develops from integuments of an ovule

What is labeled by the yellow arrow?
Foliage leaves (epicotyl)

What is labeled by the pink arrow?
Cotyledon
(also known as “seed leaves”)

What is the function? (pink arrow)
It provides food for the bean seedling during early growth.

What is labeled by the red arrow?
Hypocotyl

What is labeled by the light blue arrow?
Radicle

What is being shown?
Bean seedling

What is labeled by a dark blue arrow?
Epicotyl

What is labeled by the pink arrows?
Cotyledon

What is labeled by the light blue arrows?
Hypocotyl

What is labeled by the yellow arrow?
Primary leaf (Foliage leaves)

What is labeled by the red arrow?
Hypocotyl

What is being shown?
A corn seedling
What is the outside coat of a corn seed called?
The wall of fruit

When stained with iodine, what is being shown?
The endosperm

What is marked by the black marker?
Embryo


What is the yellow arrow labeling?
Cotyledon

What is the purple arrow labeling?
Coleoptile

What does the orange arrow label?
Plumule(embryotic shoot)

What is labeled but the light blue arrow?
Hypocotyl

Do dicots have one cotyledon or two?
They have two cotyledons
How many cotyledons do monocots have?
One cotyledon
Whats the difference between the bean and corn seedling?
The hypocotyl and cotyledon in the corn seedling remain below ground.

What s this image a part of?
A corn seed

What is labeled by the pink arrows?
Coleoptile

What is labeled by the red arrows?
Radicle

What is labeled by the light blue arrows?
Coleoptile

What is labeled by the orange arrows?
Foliage leaves
What does the radicle emerge into?
Roots

What is being observed?
A shoot tip, or stem tip
Its from a Coleus plant

What is the yellow arrow labeling?
Apical meristem

What is labeled by the purple arrows?
Leaf primordia

What is labeled by the orange arrow?
Protoderm

What is labeled by the pink arrow?
Procambium

What is labeled by the blue arrows?
Ground meristem

What is labeled by the red arrows?
Axillary bud meristems
What is the apical meristems function?
It produces new cells through the life of the plant
What is the process of producing growth that contributes to the lenth or height of the stem?
Primary growth
(It is found in both herbaceous and woody plants)
Primary growth also occurs at the tips of banches on woody plants.
In woody plants wha is primary growth followed by?
Secondary growth
What does secondary growth produce?
Increase in diameter and girth of the stem.
What three components produce wood and bark?
Two lateral meristems, the vascular cambum, and the cork cambium.

Where us the zone of enlongation found under?
Below the apical meristem (yellow arrow)
What does protoderm become?
The epidermis
What does the procambium become?
Vascular tissue (Xylem and phloem)
What does the ground meristem become?
Food storage and support cells (parechyma)

What is being observed?
A eudicot stem, a sunflower specifically

What is labeled by the purple arrow?
Epidermis

What is labeled by the red arrow?
Collenchyma

What is labeled by the dark blue arrow?
Parenchyma

What is labeled by the black marker?
Cortex

What is labeled by the light blue arrows?
Phloem

What is labeled by the pink arrow?
Xylem

What is labeled by the yellow star?
Pith (parenchyma)

What is labeled by the orange marker?
Vascular bundle
What seperates the xylem and phloem?
A thin layer of cells called the vascular cambium
In woody eudicots, what becomes active during secondary growth?
The lateral meristems (vascular cambium and cork cambium)

What is labeled by the orange marker?
Pith

What is labeled by the pink arrow?
Primary xylem

What is labeled by the yellow arrow?
Secondary xylem

What is labeled by the black arrow and question mark?
Vascular cambium
It’s a first year stem

What is labeled by the blue arrow?
Secondary phloem

What is labeled by the green arrow?
Parenchyma

What is labeled by the orange arrow?
Cork cambium

What is labeled by the purple arrow?
Cork cells
Where does the primary phloem get pushed when a stem goes into secondary growth?
It ends up on the outside of the secondary phloem.

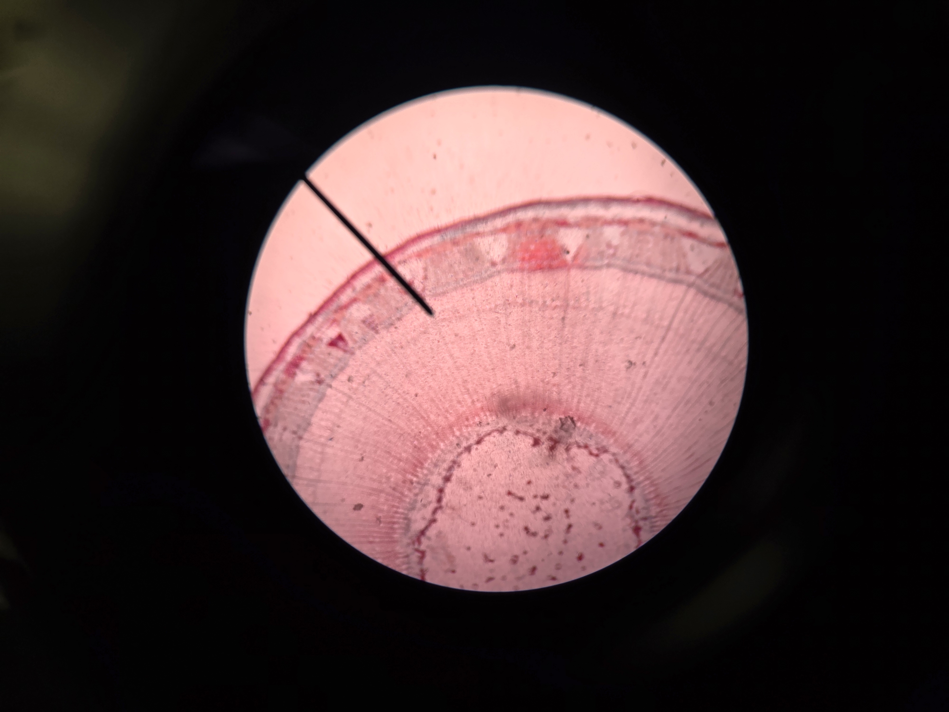
What is being observed?
A secondary growth of a stem

Whats labeled by the green marker?
Periderm

What is labeled by the blue marker?
Secondary phloem

What is labeled by the red arrow?
Vascular cambrium

What is labeled by the black marks?
3 years of secondary xylem

What is labeled by the pink mark?
Pith

What does sapwood consist of?
Most recently produced growth ring that are still actively conducting water.

What does heartwood consist of?
The growth rings that have ceased to function in water conduction.

What is this, and what is it showing?
Oak- An angiosperm
This shows vessel elements

What is this, and what is showing?
Pine- A gymnosperm
Shows tracheids

What is being shown?
A monocot stem
this is at the end of primary growth

What is being shown?
Vascular bundles

Observe this!
You got this, don’t worry:)

What is labeled by the light blue?
Zone of maturation

What is labeled by the red?
Zone of elongation

What is marked by the yellow?
Zone of cell division

What is labeled by the dark blue arrows?
Root caps

What is the green arrows labeling?
Apical meristem

What is labeled by the orange arrows?
Endodermis

What is labeled by the purple arrows?
Pericycle

What is labeled by the pink arrows?
Cortex

What is labeled by the dark green arrows?
Epidermis

What is labeled by the gray arrows?
Root hairs

What is labeled by the black arrow?
Xylem

What is labeled by the pink arrows?
Phloem

What is observed?
Root hairs
From a radish seedling

What is being observed?
root cross-section of a eudicot root
this is a buttercup

What is being labeled by a green arrow?
Paricycle