1/46
Looks like no tags are added yet.
Name | Mastery | Learn | Test | Matching | Spaced | Call with Kai |
|---|
No analytics yet
Send a link to your students to track their progress
Explain how ATP is produced in muscle
Distinguish and discuss the characteristics of muscle fibre types
Explain how the characteristics of muscle fibre type determines different features of muscle contraction (tension, fatiguablility, speed of contraction)
Discuss the association between muscle fibre properties and athletic performance / training
Distinguish and describe the two sources of fatigue
Discuss two theories on muscle cramps and explain the mechanism behind hypocalcemia tetany
the fuel for the contraction cycle (aka crossbridge cycling)
ATP is the fuel
How do muscles gain the ATP that’s needed for the contraction cycles? (three ways)
creatine phosphate (phosphocreatine)
glycolysis
aerobic cellular respiration (oxidation phosphorylation: aerobic glycolysis and beta oxidation)
Creatine Phosphate system (aka phosphocreatine system) (aka ATP-CP)
immediate and rapid production of ATP
occurs in cytosol
no oxygen required
very small amount of ATP
3-15 sec of energy
about 90 sec to recover
lasts until PCR runs out
comes from food we eat

ATP-CP system fatigue results from
depletion of PCr stores
ATP levels don’t drop off immediately because it is being maintained by PCr in the cytosol
PCr levels drop off immediately as those stores are used to produce ATP to power the muscle
exhaustion occurs when PCr and ATP levels are both depleted
Phosphocreatine system: muscle at rest vs working muscle

Glycolysis (anaerobic)

Oxidative Phosphorylation (aerobic glycolysis)

oxidative phosphorylation (beta / fat oxidation)

diagram of products going in and coming our of oxidative phosphorylation

3 types of fuel and energy storage
immediate
short term
long term
immediate fuel and energy storage
stored in muscle cytosol (ADP, PCr)
short term fuel and energy is stored in…
blood (blood glucose), muscle cytosol (muscle glycogen)*, liver (liver glycogen)
* = larger stores of fuel
long term fuel and energy is stored…
in adipose tissue (subcutaneous and intramuscular)
(huge stores of fuel)
Fuel and Energy Storage

how long does each ATP supply provide energy for at a time
(Stored ATP in muscle: 0-2 seconds of exercise)
Phosphocreatine System: 3-15 seconds of exercise
Anaerobic Glycolysis: 30 seconds - 2 minutes
Aerobic Glycolysis: up to 40 minutes
Fat Oxidation: hours
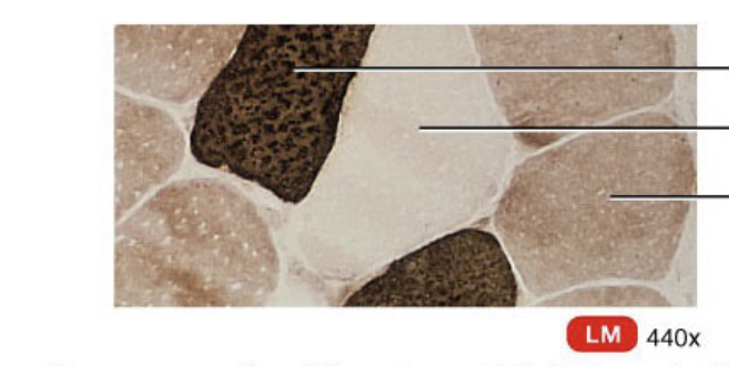
3 types of muscle fibre
Type I – Slow oxidative (SO) fibres
Type IIa – fast oxidative-glycolytic (FOG) fibres
Type IIx – fast glycolytic (FG) fibres (aka Type IIb)

Name the structures from top to bottom
slow oxidative fibre
fast glycolytic fibre
fast oxidative-glycolytic fibre
Type I Fibres
slow oxidative (SO)
small in diameter = least powerful
greatest oxidative capacity
high capillary density
high mitochondrial density
high density myoglobin
fatigue resistent - high endurance
slow speed of contraction (slow twitch)
myosin head ATPase activity is sloooowwwww
Type IIa Fibres
Fast Oxidative-Glycolytic (FOG)
intermediate diameter = moderately powerful
moderate oxidative capacity
Moderate capillary density
Moderate mitochondrial density
Moderate myoglobin density
Relies on glycolysis AND phosphorylation for ATP
Moderate rate of fatigue
fast speed of contraction (fast twitch)
myosin head ATPase rate is moderate
Type IIx / IIb
Fast glycolytic (FG)
Largest diameter = very powerful
Low oxidative capacity
Relies on anaerobic processes for ATP
Lower capillary density
Lower myoglobin density
Fewer mitochondria
Very fatigable (low endurance)
Fastest contraction speed (fast twitch)
Myosin head ATPase activity very fast
how is muscle fibre type distribution determined
genetically
can muscle type distribution be changed?
a little bit with training
FG and FOG can become each other, but nothing can become or stop being SO
all muscles have all fibre types
depending on their typical function, Dif muscles will have different fibre type profiles - like our posture muscles will be more SO because need endurance vs another muscle that is mostly strength
How do adaptations to muscle fibre / muscle fibre types occur?
through the FITT principles
Frequency
Intensity
Time
Type - of exercise
how does aerobic (cardio) training affect muscle fibre?
Slow twitch fibres become more efficient at oxidative processes
increase in mitochondria
increase in capillary density
increase in myoglobin
improved O2 delivery and metabolite removal
FG become FOG
Increase type I motor units / connections
how power training affects the muscle fibres
muscle cells undergo hypertrophy - increase in cross-sectional area of muscle fibre - leads to increased cross-section of entire muscle
increase in muscle cell number (hyperplasia) - satellite cells activated to differentiate into muscle fibres
more cross bridge connections = more tension
FOG become FG
Increase in type II motor units / connections
Henneman’s Size principle
relates the input and output properties of motoneurons and their muscle fibers to size and is the basis for size-ordered activation or recruitment of motor units during movement
fatigue
the decline in the tension capacity of a muscle
two types of fatigue
peripheral fatigue (muscle)
central fatigue (neural)
peripheral fatigue
muscle fatigue
slower shortening velocity
slower relaxation rate
due to accumulation of metabolic by-products
muscle fibre types and their fatiguability
FG = fast fatigue
FOG = moderate fatigue
SO = slow fatigue
lactic acid is made of ____ and ______
an acid and a lactate molecule
effect of intensities / lengths of exercise on lactic acid levels
levels do change, but lactic acid disappears quickly from the blood
T / F: lactic acid helps make you sore
False. Levels do not seem to correlate with reported soreness
fatigue is multi-faceted, not completely understood
factors to consider when looking at fatigue
dehydration
fuel / lack of fuel
damage to muscle tissue
other metabolites
central command factors / neural factors
electrolyte balances
many others
Muscle cramps are…
involuntary tetanic contractions of a muscle
MVC
acronym for maximum voluntary contraction
T or F: during muscle cramps, AP (action potential) firing rates are higher than they are during MVC
True
Potential causes for muscle cramping
Electrolyte imbalance
may impair ability of muscle or neuron to maintain concentration gradient
impair ability of membrane to depolarize / repolarize
may result from overexercising and / or dehydration
treatments : drink electrolyte solutions, heat therapy, massage, hydration, rest
Stimulation of sensory receptors in muscle
activation of reflex arc with motor neuron as effector
treatment : eat spicy foods - may activate reflex arc that decreases motor unit output
Hypocalcemic tetany
the involuntary tetanic contraction of skeletal muscle that occurs when extracellular Ca2+ concentration decreases to about 40% of normal values
Symptoms of hypocalcemic tetany
