1/118
Looks like no tags are added yet.
Name | Mastery | Learn | Test | Matching | Spaced | Call with Kai |
|---|
No analytics yet
Send a link to your students to track their progress
integumentary system
Consists of the skin, mucous membranes, hair, and nail
What are the 5 functions of the integumentary system?
1) protection
2) sensation
3) temp regulation
4) vitamin D production
5) excretion
what are the two major tissues of the skin?
epidermis and dermis
which layer is the superficial layer of the skin?
epirdermis
which layer is deep to the epidermis?
dermis
which layer is made of connective tissue?
dermis
which layer is made of stratified squamous epithelium?
epidermis
know the diagram of the skin

epidermis

demis

epidermis structure
Function: Protection, secretion, absorption
Structure: Simple Squamous Epithelial Tissue, Keratinocytes.
stratum corneum
Function: structural strength, prevents water loss
Structure: most superficial layer of epidermis, 25+ ;ayers of dead skin cells
stratum lucidum
Function: disperses keratohyalin aroudn keratin fibers
Structure: 3-5 layers dead skin cells, transparent, in thick skin
stratum granulosum
Structure: 2-5 layers flattened diamond cells
Function: produces keratohyalin granules, release lipids from cells
stratum spinosum
structure: 8-10 layers of many sided cells
fucntion: produces keratin fibers
stratum basale
structure: deepest stratum in epidermis, basement membrane, attatches epidermis to dermis
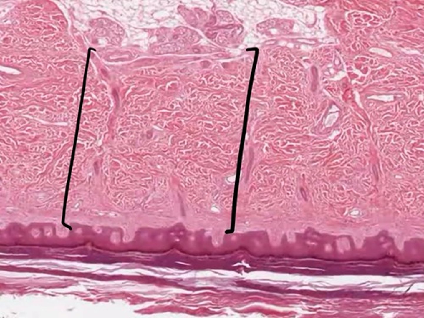
Dermis
deepest part of skin, composed of two layers, responsible for structural strength and flexibility
papillary layer
dermis layer responsible for fingerprints, made of loose connective tissue
reticular layer
Deeper layer of the dermis that supplies the skin with oxygen and nutrients, mat of collagen and elastic fibers
subcutaneous tissue
Not part of skin
Loose connective tissue that connects skin to underlying structures
what are the layers of the epidermis (Come, Lets Get Sun Burnt!)
stratum corneum
stratum luciduim
stratum granulosum
stratum spinosum
statum basale
melanocytes
produce the pigment melanin
keratinocytes
The most abundant epidermal cells, they function mainly to produce keratin.
langerhans cells
part of the immune system
merkel cells
touch receptors responsible for detecting light touch
keratinization
Process by which cells accumulate keratin
during keratinization, what happens to the cells?
they die, then accumulate as an outer layer of dead, hard cells, that makes a permeability barrier.
birthmarks
Congenital (present at birth) disorders of the dermal capillaries
ringworm
fungal infection that produces patchy scaling and inflammatory response in the skin
eczema
Inflammatory condition of the skin which may be acute or chronic, characterized by itching or burning, tiny papules and vesicles, oozing, crusting, and scaling
frostbite
damage to the skin and tissues caused by extreme cold
psoriasis
chronic skin condition producing red lesions covered with silvery scales
vitillo
development of patches of white skin where melanocytes are destroyed, by autoimmune response
alopecia areata
Autoimmune disorder that causes the affected hair follicles to be mistakenly attacked by a person's own immune system; usually begins with one or more small, round, smooth bald patches on the scalp.
skin cancer
a harmful, malignant growth on the skin
impetigo
small blister containing pus, easily rupture to form a thick, yellowish crust, usually affects kids
erysipelas
Swollen patches in the skin caused by the bacterium Streptococcus pyogenes
Decubitius Ulcers is a _________________
pressure ulcer (bedridden and wheelchair people)
acne
inflammatory disease of the skin involving the sebaceous glands and hair follicles
rubeola
Skin lesions; caused by a virus contracted through the respiratory tract; may develop into pneumonia or infect the brain, causing damage
rubella
skin lesions, usually mild viral disease contracted through the respiratory tract, very dangerous if contracted during pregnancy
shinges
painful skin lesions, caused by the chickenpox virus after childhood infection, can recur when the dormant virus is activated by trauma, stress, or another illness
chickenpox
skin lesions, usually mild viral disease contracted through the respiratory tract
cold sores
Skin lesions; caused by herpes simplex I virus; transmitted by oral or respiratory routes; lesions recur
genital herpes
Genital lesions; caused by herpes simplex II virus; transmitted by sexual contact
strata
regions of the epidermis
what are the layers of the epidermis? (deep to superficial)
stratum basale, stratum spinosum, stratum granulosum, stratum lucidum, stratum corneum
the number of cell layers in each stratum and number of Strata in the skin depend on what?
the location in the body
layers of strata

stratum basale
stratum germinativum
what type of tissue is in the basement layer of the epidermis?
single layer of cuboidal or columnar cells
________ hold keratinocytes together
desmosomes
stratum spinosum
consists of 8-10 layers of many-sided cells
lamellar bodies
Lipid-filled, membrane-bound organelles
stratum granulosum
2-5 layers of flat, diamond-shaped cells
stratum lucidum
Clear, transparent layer of the epidermis under the stratum corneum
stratum corneum
the most superficial layer of the epidermis consisting of dead cells
cornfield cells
dead keratinocytes
Where is thick skin found?
found in areas subject to friction or pressure (palms and soles)
where is thin skin found?
everywhere except palms of hands and soles of feet
callus
an area where the stratum corner of the epidermis increases in thickness
corn
skin over bony prominences develop these
what three factors determine skin color?
pigment in the skin
blood circulating through the skin
thickness of stratum corneum
melanin
group of pigments responsible for skin, hair, and eye color
provides protection against UV light from the sun
melanocytes produce and package melanin into vesicles called _________.
melanosomes
racial variations in skin color are determined by what major factors?
- type of melanin produced
- amount of melanin produced
- size of melanosomes produced
- distribution of melanosomes
albinism
a recessive genetic trait that results from an inability to produce tyrosinase
erythema
condition of redness of the skin due to the increase in blood flow to the skin
carotene
yellow pigment
basal cell carcinoma
Most common and least severe type of skin cancer; often characterized by light or pearly nodules.
what are the three types of skin cancer?
basal cell carcinoma, squamous cell carcinoma, melanoma
basal cell carcinoma

squamous cell carcinoma

melanoma

squamous cell carcinoma
Type of skin cancer more serious than basal cell carcinoma; often characterized by scaly red papules or nodules.
melanoma
least common
black oink red purple
ABCDE rule of skin cancer
A- asymmetry; 2 sides of pigmented area do not match
B- border irregularity
C- color (pigmented area) is black, brown, too tan, sometimes red or blue
D- diameter is larger than 6 mm (size of pencil eraser)
E- elevation above skin surface
What does the dermis include?
free nerve endings for pain, itch, tickle, and temp
hair follicle receptors for light touch
pacinian corpuscles for deep pressure
messier corpuscles for light touch
ruffini end organs for sensing continuous touch or pressure
what two layers are in the dermis?
papillary and reticular
dermal papillae
projections of dermis that cause epidermal ridges
friction ridges
the markings on the fingertips that leave oily fingerprints on surfaces we touch
cleavage lines
directions in which the skin is most resistant to stretch aka cleavage lines
stretch marks
thickened tissue resulting from excessive stretching of skin due to:
Pregnancy
Weight gain
intradermal injection
injection placed just below the epidermis
intradermal injection

subcutaneous injection
made into the fatty layer just below the skin
subcutaneous injection

intramuscular injection
an injection into deep muscle tissue, usually of the buttock, thigh, or upper arm
intramuscular injection

terminal hairs
long, coarse, heavily pigmented hairs (scalp, eyebrows, and eyelashes)
vellum hairs
short, fine, pale hairs that develop on most of the body during childhood
which hair replaces the other in many body parts when puberty hits?
terminal overtakes vellus
lanugo
fine downy hair of newborn infant
hair shaft

hair bulb

medulla

cortex

cuticle
dermal root sheath
dense dermis surrounding the hair follicle
epithelial root sheath
Extension of the epidermis lying adjacent to hair root
Widens at deep end into bulge—source of stem cells for follicle growth