1/12
Looks like no tags are added yet.
Name | Mastery | Learn | Test | Matching | Spaced | Call with Kai |
|---|
No analytics yet
Send a link to your students to track their progress
What are the 3 histological layers of the cervix? #ff8300
Propria submucosa
Tunica muscularis #ffd500
Tunica serosa

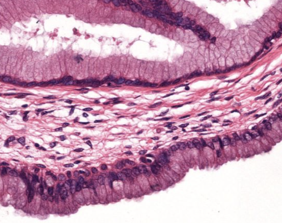
Cervix: Propria-submucosa
Epithelium
Function in gravid animals
Lack of
Describe the connective tissue
Epithelium: Tall columnar and has goblet cells that produce mucus
Function in gravid animals: Mucus becomes very thick and accumulates in cervical canal into a cervical plus
Which seals the cervix and protects the uterus and fetus from bacteria or debris
Lack of: Glands
Describe the connective tissue: Dense and irregular and forms major folds

Cervix: Tunica Muscularis #ffcd00
What are the layers
What is inbetween the layers
Layers:
Inner circular
Outer longitudinal
Inbetween layers: Elastic fibers
Cervix: Tunica Serosa
What is in the tunica serosa?
Loose connective tissue
Vagina
What
Connects
Receives
What: Muscular tube
Connects: Uterus to the vestibule
Receives: Male copulatory organ
Vagina: What are the 3 histological layers?
Propria submucosa
Tunica muscularis #ffaf00
Tunica serosa
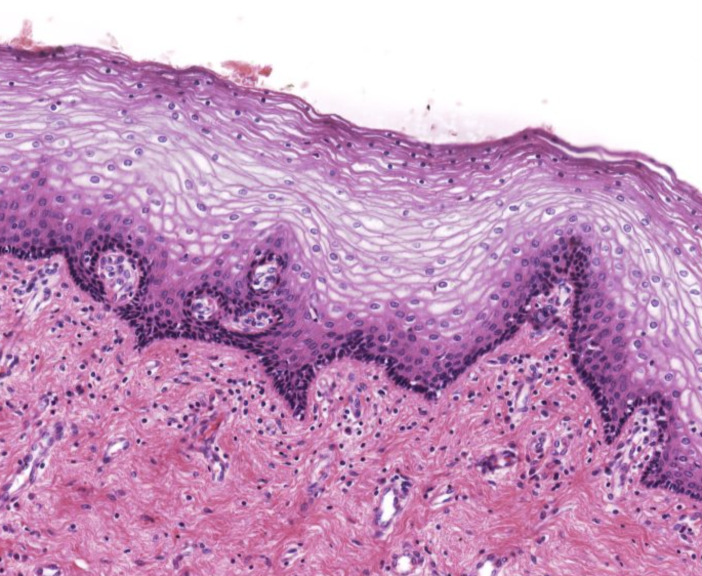
Vagina: Propria submucosa
Epithelium
Describe the connective tissue
Lack of
Additional structures
Epithelium: Non keratinized straitified squamous
Describe the connective tissue: Loose or dense CT
Lack of: Glands
Additional structures: Lymphooid tissue

Vagina: Tunica Muscularis
What are the 2 layers
Layers:
Inner circular
Outer longitudinal
Vagina: Tunica Serosa
Type of connective tissue
Type of CT: Loose, adventitia