N245: Chapter 24 - Disorders of Leukocytes & Lymphoid Tissues

0.0(0)
studied byStudied by 0 people
0.0(0)
full-widthCall Kai
learnLearn
examPractice Test
spaced repetitionSpaced Repetition
heart puzzleMatch
flashcardsFlashcards
GameKnowt Play
Card Sorting

1/87

encourage image

There's no tags or description

Looks like no tags are added yet.

Study Analytics
Name
Mastery
Learn
Test
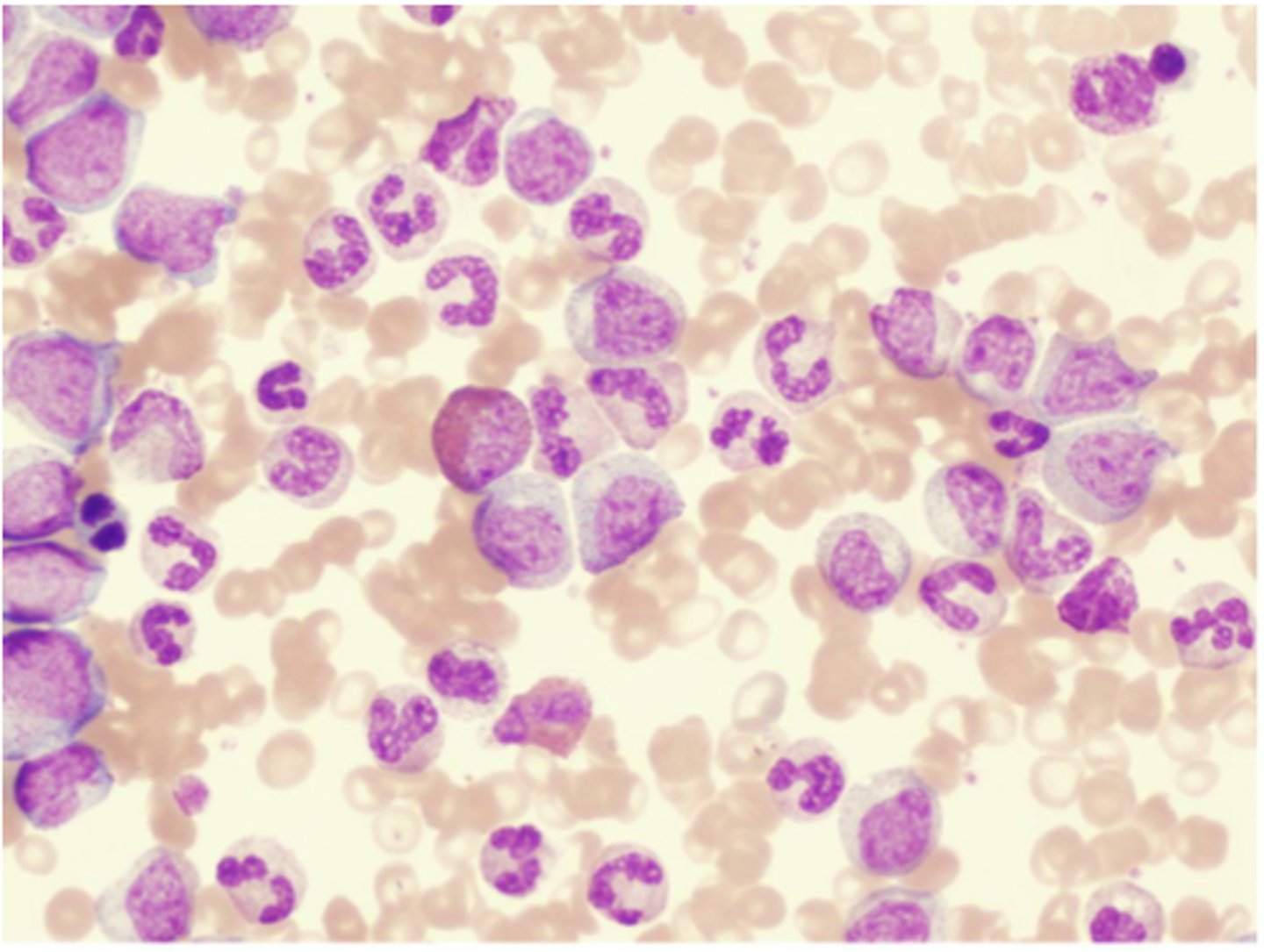
Matching
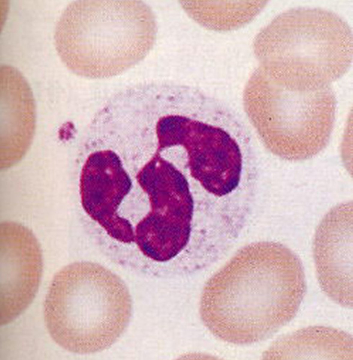
Spaced

No study sessions yet.

88 Terms

1
New cards

How much blood do humans have?

5 liters (1.3 gallons)

<p>5 liters (1.3 gallons)</p>
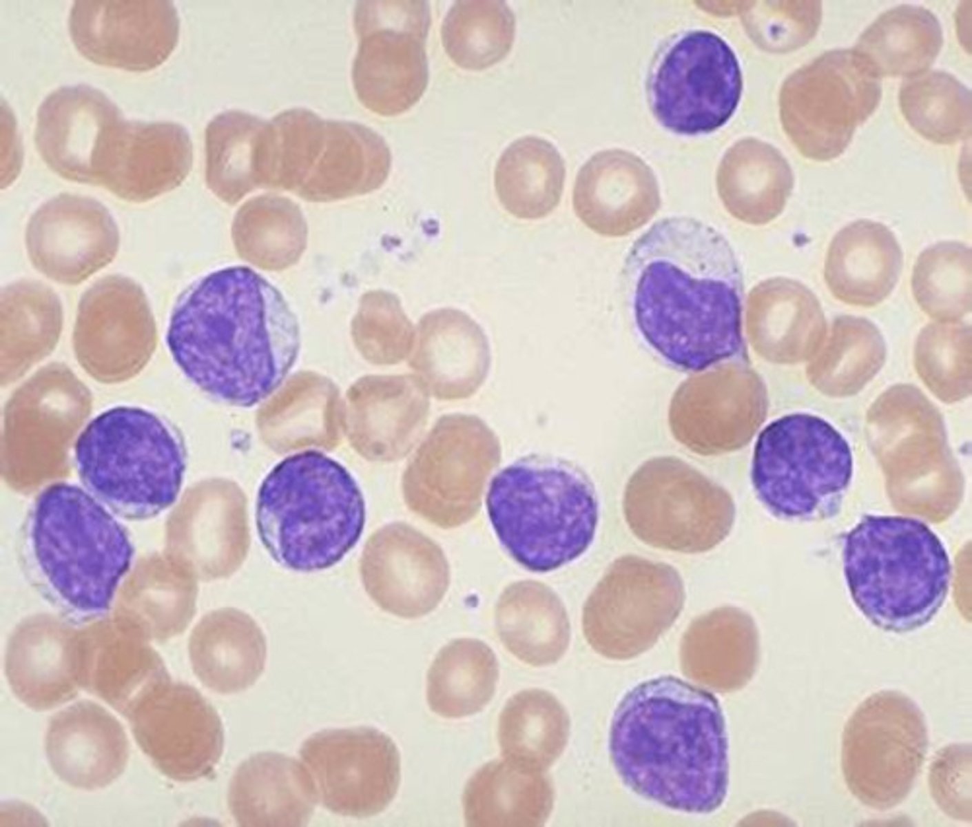
2
New cards

What is the cellular component of blood?

Erythrocytes, leukocytes, thrombocytes (45% of blood)

<p>Erythrocytes, leukocytes, thrombocytes (45% of blood)</p>
3
New cards

What is blood plasma?

Liquid part of blood, mostly water and proteins (55% of blood)

<p>Liquid part of blood, mostly water and proteins (55% of blood)</p>
4
New cards

What are the functions of blood?

Transportation of nutrients, protections against pathogens, regulation of homeostasis

<p>Transportation of nutrients, protections against pathogens, regulation of homeostasis</p>
5
New cards

Blood fractionation

The process of separating it into its component parts using a centrifuge

<p>The process of separating it into its component parts using a centrifuge</p>
6
New cards

Hematopoiesis

The formation of blood cells from stem cells in the bone marrow

<p>The formation of blood cells from stem cells in the bone marrow</p>
7
New cards

What are pluripotent cells?

Stem cells that can differentiate into each of the different types of blood cells

<p>Stem cells that can differentiate into each of the different types of blood cells</p>
8
New cards

Lymphoid stem cell

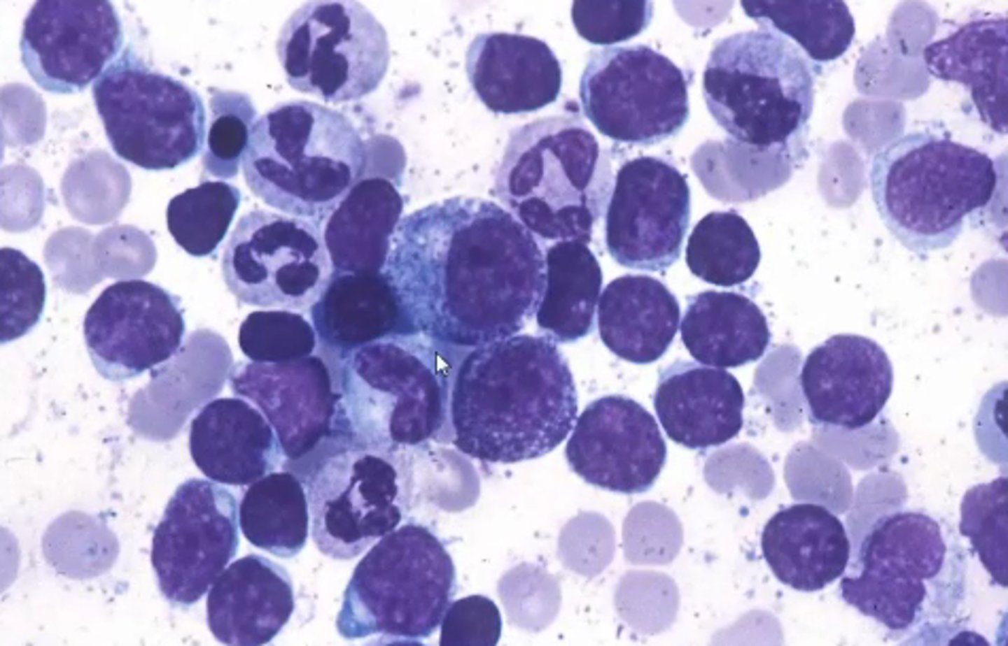
Differentiates into the 3 types of lymphocytes (T cells, B cells, NK cells)

<p>Differentiates into the 3 types of lymphocytes (T cells, B cells, NK cells)</p>
9
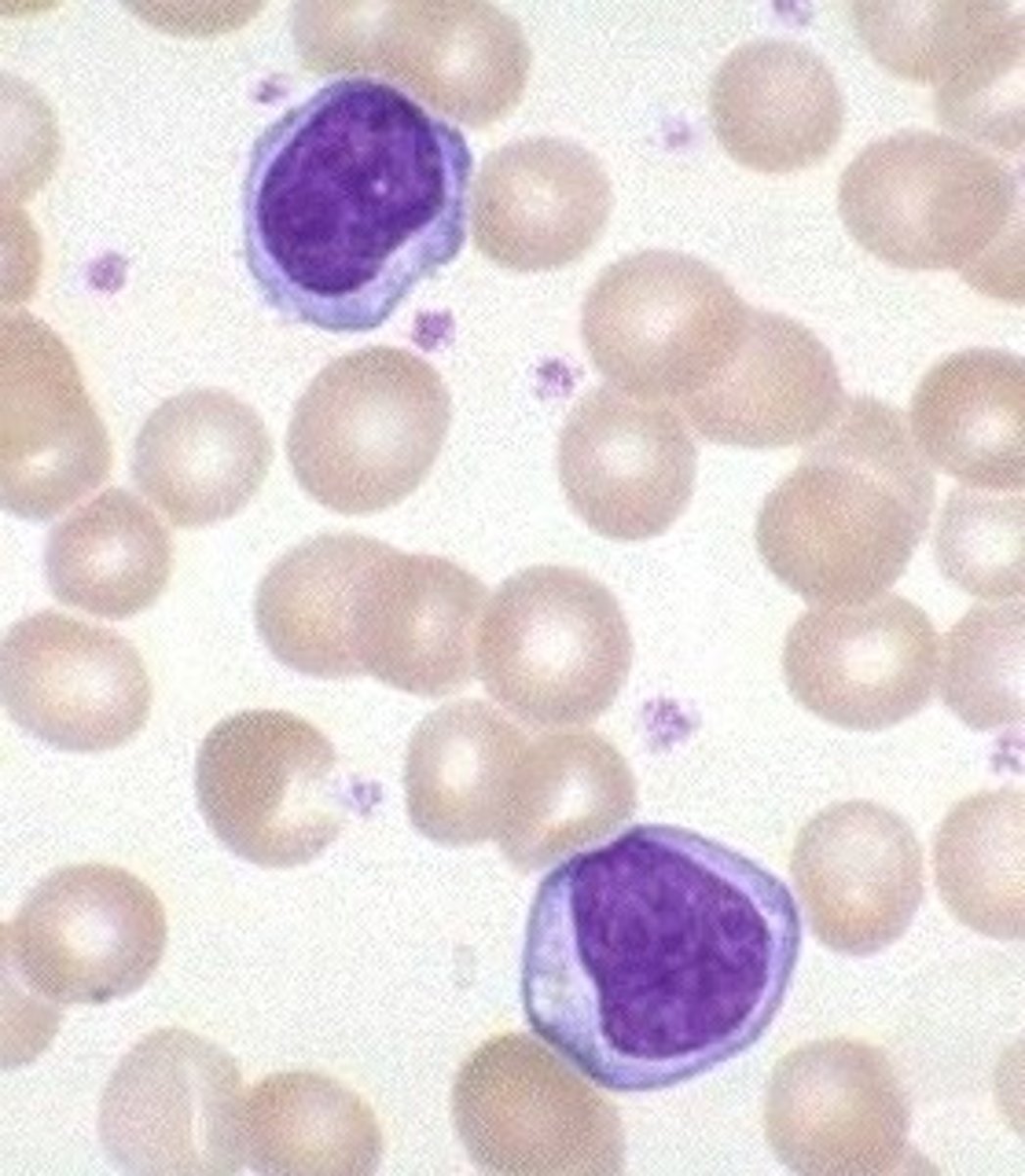
New cards

Myeloid stem cell

Differentiates into erythrocytes/platelets, and granulocytes/monocytes

<p>Differentiates into erythrocytes/platelets, and granulocytes/monocytes</p>
10
New cards

Hematopoietic growth factors

"Hormones" that promote and regulate the differentiation and proliferation of blood cells

AKA colony stimulating factors

11
New cards

Colony-stimulating factors

12
New cards

EPO

Erythropoietin; promotes growth of red blood cells

<p>Erythropoietin; promotes growth of red blood cells</p>
13
New cards

TPO

Thrombopoietin; stimulates platelet production

<p>Thrombopoietin; stimulates platelet production</p>
14
New cards

GM-CSF

Granulocyte-macrophage colony-stimulating factor; stimulates granulocytes and monocytes

<p>Granulocyte-macrophage colony-stimulating factor; stimulates granulocytes and monocytes</p>
15
New cards

Hematology

The study of blood and blood disorders

<p>The study of blood and blood disorders</p>
16
New cards

Hematology nurses

These nurses specialize in caring for patients with blood disorders

<p>These nurses specialize in caring for patients with blood disorders</p>
17
New cards

Leukocytes

White blood cells

<p>White blood cells</p>
18
New cards

Granular leukocytes

Neutrophils, eosinophils, basophils

PHILLED (filled) with granules (enzymes)

<p>Neutrophils, eosinophils, basophils</p><p>PHILLED (filled) with granules (enzymes)</p>
19
New cards

Agranular leukocytes

Lymphocytes and monocytes

No granules

<p>Lymphocytes and monocytes</p><p>No granules</p>
20
New cards

What is unique about lymphocytes?

They can move between blood and lymphatic tissue, whereas all others only circulate in blood

That's why they're called LYMPHocytes you silly goose

21
New cards

What are the two most common leukocytes?

Neutrophils and lymphocytes

22
New cards

Neutrophils

Structure: Nuclei has three or more lobes, granules stain light pink

Function: The most common WBC; fights bacterial infections by engulfing bacteria by phagocytosis

<p>Structure: Nuclei has three or more lobes, granules stain light pink</p><p>Function: The most common WBC; fights bacterial infections by engulfing bacteria by phagocytosis</p>
23
New cards

Where does the name neutrophils come from?

Their granules do not stain with acid OR basic dye -- they are neutral

24
New cards

Other name for neutrophils

Polymorphonuclear leukocytes (bc they have many lobes)

25
New cards

Eosiniphils

Structure: Nuclei has two lobes, granules stain bright red

Function: A WBC that digests and destroys parasitic worms, they also play a role in allergy and immune response

<p>Structure: Nuclei has two lobes, granules stain bright red</p><p>Function: A WBC that digests and destroys parasitic worms, they also play a role in allergy and immune response</p>
26
New cards

Where does the name eosinophils come from?

Their granules stain bright pink/red with acidic dye called eosin

27
New cards

Basophils

Structure: Nuclei is U or S shaped but is obstructed by HUGE blue granules

Function: A WBC that produces histamine --> causing inflammation during an immune response

<p>Structure: Nuclei is U or S shaped but is obstructed by HUGE blue granules</p><p>Function: A WBC that produces histamine --&gt; causing inflammation during an immune response</p>
28
New cards

Where does the name basophils come from?

Their granules stain blue with hematoxylin dye

29
New cards

Monocytes

Structure: Largest WBCs, U shaped nucleus

Function: A large WBC that transform into macrophages to fight off viruses and chronic infections

<p>Structure: Largest WBCs, U shaped nucleus</p><p>Function: A large WBC that transform into macrophages to fight off viruses and chronic infections</p>
30
New cards

Lymphocytes

Structure: Has a large, dark purple nucleus that takes up most of the cell volume

Function: B cells make antibodies, T cells fight off viral infections, NK cells

<p>Structure: Has a large, dark purple nucleus that takes up most of the cell volume</p><p>Function: B cells make antibodies, T cells fight off viral infections, NK cells</p>
31
New cards

B cells

A type of lymphocyte that is created in the bone marrow; creates antibodies that isolate and destroy pathogens

32
New cards

Naive B cells

A B cell that has not been exposed to an antigen yet

33
New cards

Effector B cells

Active B cells that have been exposed to antigens

34
New cards

Plasma cells

A type of effector B cells, they produce antibodies

<p>A type of effector B cells, they produce antibodies</p>
35
New cards

Memory B cells

A type of effector B-cell that memorizes the characteristics of the pathogen antigen; it remains dormant until reactivated by the same antigen

An elephant never forgets.

<p>A type of effector B-cell that memorizes the characteristics of the pathogen antigen; it remains dormant until reactivated by the same antigen</p><p>An elephant never forgets.</p>
36
New cards

T cells

A type of lymphocyte that is created in the thymus; produce substances that attack infected cells in the body

37
New cards

CD8 T cells

Cytotoxic T cells

A type of effector T-cell; they target and kill invading pathogens and cancer cells

<p>Cytotoxic T cells</p><p>A type of effector T-cell; they target and kill invading pathogens and cancer cells</p>
38
New cards

CD4 T cells

Helper T cells

A type of effector T-cell that, when activated, stimulates activity of B cells and cytotoxic T cells

<p>Helper T cells</p><p>A type of effector T-cell that, when activated, stimulates activity of B cells and cytotoxic T cells</p>
39
New cards

Memory T cells

A T cell that remembers antigens and quickly stimulates the immune response upon re-exposure

A crow never forgets.

<p>A T cell that remembers antigens and quickly stimulates the immune response upon re-exposure</p><p>A crow never forgets.</p>
40
New cards

Natural Killer (NK) cells

A type of lymphocyte found in the blood/lymph nodes/spleen --> they kill cancer cells and cells infected with viruses

<p>A type of lymphocyte found in the blood/lymph nodes/spleen --&gt; they kill cancer cells and cells infected with viruses</p>
41
New cards

Primary lymphoid tissues

Bone marrow and thymus

<p>Bone marrow and thymus</p>
42
New cards

Secondary lymphoid tissues

Lymph nodes, spleen, and mucosa-associated lymphoid tissue (MALT)

<p>Lymph nodes, spleen, and mucosa-associated lymphoid tissue (MALT)</p>
43
New cards

What does the bone marrow do?

Produces blood cells

<p>Produces blood cells</p>
44
New cards

What does the thymus do?

Site of T cell differentiation and maturation

<p>Site of T cell differentiation and maturation</p>
45
New cards

What do the lymph nodes do?

Filter lymph --> trap pathogens for destruction by white blood cells

<p>Filter lymph --&gt; trap pathogens for destruction by white blood cells</p>
46
New cards

What does the spleen do?

Filters blood and removes damaged blood cells --> THE RED BLOOD CELL GRAVEYARD

<p>Filters blood and removes damaged blood cells --&gt; THE RED BLOOD CELL GRAVEYARD</p>
47
New cards

Mucosa-associated lymphoid tissue (MALT)

Lymphatic tissue without a connective tissue capsule (salivary glands, eyes, breast tissue)

<p>Lymphatic tissue without a connective tissue capsule (salivary glands, eyes, breast tissue)</p>
48
New cards

Non-neoplastic

Not cancerous

49
New cards

What kind of non-neoplastic leukocyte disorders are the most common?

Those that involve neutrophils and lymphocytes

50
New cards

What kind of non-neoplastic disorders are the least common?

Those that involve monocytes, eosinophils, and basophils

51
New cards

Neutropenia

Definition: Abnormally low number of neutrophils

Etiology: Chemotherapy, autoimmune disorders, septicemia that uses up neutrophils

S+S: Recurrent infections, absence of pus formation at sites of infection

Treatment: Antimicrobial meds, hematopoietic growth factors

52
New cards

Agranulocytosis

Severe neutropenia (deficiency in neutrophils appears as if there is just an elevated number of the agranular cells --> hence the name)

53
New cards

Neutrophilic Leukocytosis

Definition: Abnormally high number of neutrophils

Etiology: Normal immune response to infection, autoimmune disorders

S+S: N/A

Treatment: Solve underlying cause of infection/injury

54
New cards

Lymphocytopenia

Definition: Abnormally low number of lymphocytes

Etiology: Chemotherapy, autoimmune disorders, HIV or TB

S+S: Recurrent infections, decreases in B, T, or NK cells

Treatment: Antimicrobial meds, gamma globulins (artificial antibodies)

55
New cards

Lymphocytic leukocytosis

Definition: Abnormally high number of lymphocytes (B cells, T cells, or NK cells)

Etiology: Viral infections, autoimmune disorders

S+S:

Treatment: Solve underlying cause of infection/injury

56
New cards

Infectious mononucleosis

Definition: Kissing disease

Etiology: Epstein-Barr virus (EBV)

S+S: Sore throat, fatigue, fever, enlarged spleen, large number of BIG lymphocytes

Treatment: Rest + no exercise

<p>Definition: Kissing disease</p><p>Etiology: Epstein-Barr virus (EBV)</p><p>S+S: Sore throat, fatigue, fever, enlarged spleen, large number of BIG lymphocytes</p><p>Treatment: Rest + no exercise</p>
57
New cards

Pathogenesis of mono

EBV enters and multiplies in epithelial cells in mouth --> Spreads to B cells in the throat --> Infected B cells multiply --> Signs and symptoms --> Cytotoxic T cells and NK cells destroy infected B cells --> Recovery

<p>EBV enters and multiplies in epithelial cells in mouth --&gt; Spreads to B cells in the throat --&gt; Infected B cells multiply --&gt; Signs and symptoms --&gt; Cytotoxic T cells and NK cells destroy infected B cells --&gt; Recovery</p>
58
New cards

Leukemias

Cancers of the hematopoietic stem cells in the bone marrow

<p>Cancers of the hematopoietic stem cells in the bone marrow</p>
59
New cards

Where does the name leukemia come from?

There is a reversal of the normal RBC to WBC ratio --> now more WBCS than RBCS --> "white blood"

<p>There is a reversal of the normal RBC to WBC ratio --&gt; now more WBCS than RBCS --&gt; "white blood"</p>
60
New cards

What 2 factors are used to classify leukemias?

Based on

1. Whether they are acute or chronic

2. Affected cell type (lymphoid or myeloid)

61
New cards

Lymphocytic leukemia

Leukemia involving cells that originate from lymphoid stem cells

62
New cards

Myelocytic leukemia

Leukemia involving cells that originate from myeloid stem cells

63
New cards

Acute Leukemias

Large numbers of immature BLAST leukocytes in the blood and bone marrow (rapid onset and progression)

<p>Large numbers of immature BLAST leukocytes in the blood and bone marrow (rapid onset and progression)</p>
64
New cards

Acute lymphocytic leukemia (ALL)

Acute leukemia of lymphoid stem cells that occurs in children and adolescents

65
New cards

Acute myelocytic leukemia (AML)

Acute leukemia of myeloid stem cells that occurs in older adults

66
New cards

Chronic Leukemias

Large numbers of mature, differentiated leukocytes in the blood and bone marrow (slow onset and progression)

67
New cards

Chronic lymphocytic leukemia (CLL)

Chronic leukemia of lymphoid stem cells that occurs in older adults

68
New cards

Chronic myelocytic leukemia (CML)

Chronic leukemia of myeloid stem cells that occurs in older adults

69
New cards

S+S of leukemias

Fever, chills and night sweats, loss of appetite, weight loss, bone pain, enlarged lymph nodes, spleen, and liver

<p>Fever, chills and night sweats, loss of appetite, weight loss, bone pain, enlarged lymph nodes, spleen, and liver</p>
70
New cards

Why is fatigue a symptom of leukemia?

Anemia occurs due to the lack of RBCs --> fatigue

71
New cards

Why is bleeding a symptom of leukemia?

Decreased platelet count occurs to the lack of thrombocytes --> bleeding

72
New cards

Why is recurrent infections a symptom of lymphocytic leukemias?

Neutropenia occurs as a result of too many lymphocytes --> more prone to infections

73
New cards

Leukostasis

Complication of acute leukemia; a severely elevated circulating immature WBC count --> blood is more viscous --> clot development

<p>Complication of acute leukemia; a severely elevated circulating immature WBC count --&gt; blood is more viscous --&gt; clot development</p>
74
New cards

Pulmonary leukostasis

Sudden shortness of breath and progressive dyspnea; caused by a WBC clot

<p>Sudden shortness of breath and progressive dyspnea; caused by a WBC clot</p>
75
New cards

Cerebral leukostasis

Severe headache which can progress to confusion and coma; caused by a WBC clot

76
New cards

Genetic factors that increase the likelihood of leukemia

Down Syndrome --> high risk of acute leukemias

Family history --> high risk of CLL

Philadelphia chromosome --> high risk of CML

77
New cards

Environmental factors that increase the likelihood of leukemia

Exposure to chemicals, chemotherapy

78
New cards

How are leukemias diagnosed?

Leukocyte count, bone marrow biopsy, genetic tests

79
New cards

How are leukemias treated?

Chemo, radiation, bone marrow transplants, antimicrobial meds

80
New cards

Malignant Lymphomas

Solid neoplastic tumors that originate in the peripheral lymphoid tissues

81
New cards

Hodgkin's lymphoma (HL)

Definition: Tumor that originates in ONE single lymph nodes --> spread to other nodes

Pathogenesis: B cells transform into large, abnormal cells (Reed-Sternberg cells)

S+S: Painless enlargement of lymph nodes above the diaphragm, fever, weight loss

Treatment: Chemo and radiation

<p>Definition: Tumor that originates in ONE single lymph nodes --&gt; spread to other nodes</p><p>Pathogenesis: B cells transform into large, abnormal cells (Reed-Sternberg cells)</p><p>S+S: Painless enlargement of lymph nodes above the diaphragm, fever, weight loss</p><p>Treatment: Chemo and radiation</p>
82
New cards

What ages are most affected by Hodgkin's lymphomas?

Common in young adults (20-30 yrs) and older adults (over 55 yrs)

83
New cards

Non-Hodgkin's lymphomas (NHLs)

Definition: Tumor that originates in multiple lymph nodes --> spread to other body tissues

Pathogenesis: B cells OR T cells become malignant

Etiology: Infections, immunosuppression, chemicals

S+S: Painless enlargement of lymph nodes in neck, axilla, or groin, fever, weight loss

Treatment: Chemo, radiation

<p>Definition: Tumor that originates in multiple lymph nodes --&gt; spread to other body tissues</p><p>Pathogenesis: B cells OR T cells become malignant</p><p>Etiology: Infections, immunosuppression, chemicals</p><p>S+S: Painless enlargement of lymph nodes in neck, axilla, or groin, fever, weight loss</p><p>Treatment: Chemo, radiation</p>
84
New cards

What ages are most affected by Non-Hodgkin's lymphoma?

Common in the elderly (over 65 yrs)

<p>Common in the elderly (over 65 yrs)</p>
85
New cards

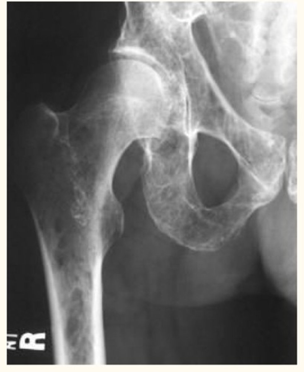
Multiple Myeloma

Definition: Malignancy of plasma cells

Pathogenesis: Terminally differentiated plasma (B) cells secrete a TON of antibodies

Etiology: N/A

S+S: Bone pain, fractures, loss of appetite, weight loss, fatigue, kidney failure

Treatment: Chemo + palliative care :(

<p>Definition: Malignancy of plasma cells</p><p>Pathogenesis: Terminally differentiated plasma (B) cells secrete a TON of antibodies</p><p>Etiology: N/A</p><p>S+S: Bone pain, fractures, loss of appetite, weight loss, fatigue, kidney failure</p><p>Treatment: Chemo + palliative care :(</p>
86
New cards

Defining characteristics of Multiple Myeloma

High antibody level, osteolytic lesions in bones

<p>High antibody level, osteolytic lesions in bones</p>
87
New cards

What demographic groups are most affected my multiple myeloma?

More common in elderly, men, and African-Americans

<p>More common in elderly, men, and African-Americans</p>
88
New cards

How is multiple myeloma detected?

Blood test will detect M proteins (abnormal IgG)

Urine test will detect Bence-Jones proteins (fragment of antibody)