1/112
Looks like no tags are added yet.
Name | Mastery | Learn | Test | Matching | Spaced | Call with Kai |
|---|
No analytics yet
Send a link to your students to track their progress

Organ: Plămân (cu pleura viscerală)
- Plămân tapetat de pleura viscerală
- Pigment antracotic subpleural
Leziune: Emfizem bulos
- Numeroase formațiuni chistice cu conținut aeric, situate subpleural
Diagnostic diferențial:
Chist hidatic pulmonar: de obicei intraparenchimatos, conține vezicule fiice și membrane anhiste
Tuberculoză pulmonară: leziuni nodulare cu necroză cazeoasă
Bronșiectazie: bronșii dilatate, pline cu mucus

Organ: Plămân
- Organ parenchimatos
- Aspect spongios pe secțiune
- Prezența de pigment antracotic de culoare neagră
Leziune: Bronșiectazie
- Bronșii dilatate, pline cu mucus vâscos
- Parenchim pulmonar adiacent atelectatic
Diagnostic diferențial:
Emfizem bulos: numeroase formațiuni chistice cu conținut aeric, situate subpleural
Chist hidatic pulmonar: de obicei intraparenchimatos, conține vezicule fiice și membrane anhiste
Tuberculoză pulmonară: leziuni nodulare cu necroză cazeoasă
Abces pulmonar: inflamație purulentă, circumscrisă; conține fluid cremos, gălbui = puroi
Tumori maligne: masă solidă, infiltrativă, cu arii de hemoragie și necroză

Organ: Plămân
- Organ parenchimatos
- Aspect spongios pe secțiune
Leziune: Bronhopneumonie
- Leziuni nodulare, cenușii, cu contur policiclic, centrate de bronșiole
- Leziunile sunt separate de arii de parenchim pulmonar normal
Diagnostic diferențial:
Bronhopneumonia tuberculoasă: culoare alb-cenușie (cazeificare)
Pneumonie: bronșiole neafectate; afectarea unul lob pulmonar în întregime
Abces pulmonar: inflamație purulentă, circumscrisă; conține fluid cremos, gălbui = puroi
Infarct pulmonar: formă triunghiulară, culoare roșie

Organe: Trahee + bronșii principale + parenchim pulmonar cu pleură viscerală
Trahee+bronșii principale:
- Organe tubulare cu inele de cartilaj
Plămân:
- OrganOparenchimatos
- Aspect spongios pe secțiune
- Prezența de pigment antracotic de culoare neagră
Leziune: Carcinom
- Formațiune tumorală, infiltrativă în parenchimul pulmonar, cu dimensiuni mari, cu margini
neregulate
- Culoare albicioasă
- În relație cu o bronșie principală
Diagnostic diferențial:
Tuberculoză pulmonară: necroză de cazeificare
Abces pulmonar: inflamație purulentă, circumscrisă; conține fluid cremos, gălbui = puroi
Infarct pulmonar: formă triunghiulară, culoare roșie

Organ: Plămân
- Organ parenchimatos
- Spongios pe secțiune, cu prezența de pigment antracotic de culoare neagră
Leziune : Carcinom – forma nodulară
- Formațiune tumorală nodulară
- Criterii sugestive pentru malignitate:
- Dimensiuni mari
- Margini imprecis delimitate
- Necroză centrală
- Criterii sugestive pentru originea epitelială (carcinom = tumoră malignă epitelială):
- Culoarea albicioasă-cenușie
Diagnostic diferențial
Metastază: bine delimitată, de obicei leziuni multiple
Tumoră benignă: bine delimitată, fără necroză, dimensiuni mai mici
Sarcom: culoare roz-cenușie, aspect cărnos

Organ: Plămân și pleură
- Organ parenchimatos
- Spongios pe secțiune, cu prezența de pigment antracotic de culoare neagră
- Tapetat la exterior de pleură
Leziune: Mezoteliom malign pleural
- Pleura este mult îngroșată, de culoare gri-albicioasă
- Se observă arii de infiltrare în parenchimul pulmonar subiacent
- Plămânul este colabat, încastrat de tumoră
Diagnostic diferențial:
Pahipleurită: foițe pleurale îngroșate, fără infiltrarea parenchimului pulmonar
Pleurezie fibrinoasă: depozite gri-albicioase, fibrilare pe suprafața pleurei
Empiem pleural: fluid cremos, gălbui pe suprafața pleurei

Coloraṭie: Hematoxilină-Eozină
- Celulele au nucleul albastru, citoplasma roșie
Organ: Plămân
- Spații alveolare și septuri alveolare
Leziune: Emfizem
- Spații alveolare anormal de largi separate prin septuri subţiri
- Ruptura pereților alveolari
- Porii lui Kohn lărgiți
Diagnostic diferenṭial:
Fibroza pulmonară idiopatică: fibroză sistematizată de-a lungul septurilor, fără formare de noduli

Coloraṭie: Tricrom Masson
- Colagen albastru, celule cu citoplasma roșie
Organ: Plămân
- Spații alveolare și septuri alveolare
Leziune: Fibroză pulmonară idiopatică
- Fibroză interstiţială de-a lungul septuriloralveolare
- Zonele fibroase sunt hipocelulare şi colagenizate
- Colabarea pereţilor alveolari şi formarea de spaţii chistice (fibroză în fagure de miere)
- Modificări vasculare datorate hipertensiunii pulmonare: îngroșarea pereților arteriolari (formare
de strat muscular)
Diagnostic diferențial:
Emfizem: spații alveolare anormal de largi separate prin septuri subţiri; ruptura pereților alveolari;
porii lui Kohn lărgiți
Silicoza: nodul silicotic:
- Zona centrală: fibre de colagen dispuse în vârtejuri cu hialinizare
- Zona intermediară: fibre de colagen dispuse concentric
- Zona periferică: macrofageîncărcate cu praf şi proliferare fibroasă cu fibre de colagen dispuse
la întâmplare (aspect stelat)

Coloraṭie: Hematoxilină-Eozină:
- Celulele au nucleul albastru, citoplasma roșie
Organ: Plămân
- Spații alveolare și septuri alveolare
Leziune- Pneumonie lobară–hepatizaţie cenuşie
- Pneumonie = inflamația parenchimului pulmonar
- Pneumonie lobară = toate alveolele sunt afectate uniform
- Spații alveolare complet lipsite de aer, cu rețea filamentoasă eozinofilă(=exsudat fibrinos) și
polimorfonucleare neutrofile
- Faza de hepatizaţie cenuşie:
- Septuri subţiri (edemul şi congestia au dispărut)
- Spații alveolare cu polinorfonucleare normale şi degradate, hematii degradate (unele
fagocitate de macrofage)
Diagnostic diferențial
Edem pulmonar acut: spațiile alveolare conțin un material palid eozinofil, omogen și bule de aer
Sindroame de detresă respiratorie : membrane hialine care tapetează pereții alveolari
Infarct pulmonar: necroză de coagulare + hematii
Abcesul pumonar: prezența de colonii bacteriene, detritusuri celulare, neutrofile = puroi
inflamația purulentă este circumscrisă = abces

Coloraṭie: Hematoxilină-Eozină:
- Celulele au nucleul albastru, citoplasma roșie
Organ: Plămân
- Spații alveolare și septuri alveolare
Leziune: Bronhopneumonie – aspect eterogen (neuniform)
- Septuri congestionate
- Spațiile alveolare: seamănă cu diferitele stadii ale pneumoniei: alveolită seroasă (edem
inflamator) sau fibrinoneutrofilică
- Spații alveolare libere
Diagnostic diferențial:
Pneumonia francă lobară: toate alveolele sunt afectate uniform; sunt complet lipsite de aer, cu
rețea filamentoasă eozinofilă (= exsudat fibrinos) și polimorfonucleare
Abcesul pumonar: prezența de colonii bacteriene, detritusuri celulare, neutrofile = puroi
-inflamația purulentă este circumscrisă = abces
Pneumonii interstițiale: spații alveolare reduse; septuri alveolare îngroșate prin congestie și
infiltrat limfocitic

Coloraṭie: Hematoxilină-Eozină - celulele au nucleul albastru, citoplasma roșie
Organ: Plămân - spații alveolare și septuri alveolare
Leziune: Nodul silicotic
- Zona centrală:fibre de colagen dispuse în vârtejuri cu hialinizare
- Zona intermediară: fibre de colagen dispuse concentric
- Zona periferică: macrofageîncărcate cu praf şi proliferare fibroasă cu fibre de colagen dispuse
la întâmplare (aspect stelat)
Diagnostic diferenṭial:
Tuberculoza: granuloame cu necroză cazeoasă
Sarcoidoza: granuloame fără necroză cazeoasă
Fibroza pulmonară idiopatică: fibroză sistematizată de-a lungul septurilor, fără formare de noduli

Coloraṭie: Hematoxilină-Eozină:
- Celulele au nucleul albastru, citoplasma roșie
Organ: Mucoasă respiratorie
- Mucoasă tapetată de epiteliu pseudostratificat cilindric ciliat (stânga)
- Corion alcătuit din țesut conjunctiv lax
Leziune: Carcinom scuamos invaziv
- Criterii sugestive pentru malignitate: proliferare celulară situată în corion, sub membrana bazală a
epiteliului = caracter invaziv
- Criterii sugestive pentru originea epitelială (carcinom = tumoră malignă epitelială): celule tumorale
coezive care formează insule neregulate, de dimensiuni variabile, înconjurate de stromă
- Criterii sugestive pentru diagnosticul de carcinom scuamos: celule tumorale cu citoplasmă abundentă,
eozinofilă (seamănă cu cele din stratul spinos al mucoasei)
Diagnostic diferențial
Metaplazia scuamoasă: înlocuirea epiteliului respirator cu epiteliu pavimentos stratificat
Carcinom scuamos in situ: proliferarea tumorală nu depășește membrana bazală
Adenocarcinom: sunt prezente structuri glandulare tumorale

Organ: Inimă – valvă atrio-ventriculară
- Organ musculocavitar
- Perete muscular gros, cu mușchi papilari
- Valvă atrio-ventriculară și cordaje tendinoase
Leziune: Endocardită reumatismală (verucoasă)
- Vegetații de dimensiuni mici, stabile
- Culoare roz-albicioasă
- Situate pe fața de închidere a cuspelor
Diagnostic diferențial:
Endocardita infecțioasă acută
- Vegetații de dimensiuni mari, cu arii de hemoragie, instabile
- Distrug cuspele valvulare

Organ: Inimă – valvă atrio-ventriculară
- Organ musculocavitar
- Perete muscular gros, cu mușchi papilari
- Valvă atrio-ventriculară și cordaje tendinoase
Leziune: Endocardită infecțioasă (septică, vegetantă)
- Vegetații de dimensiuni mari, cu arii de hemoragie, instabile
- Distrug cuspele valvulare
Diagnostic diferențial:
Endocardita reumatismală
- Vegetații de dimensiuni mici, stabile
- Culoare roz-albicioasă
- Situate pe fața de închidere a cuspelor

Organ: Inimă
- Organ musculocavitar; perete muscular gros, cu mușchi papilari -ventricul
Leziune: Cardiomiopatie dilatativă
- Inimă de dimensiuni mari
- Ventricul mult dilatat
- Perete ventricular îngroșat
Diagnostic diferențial:
Cardiomiopatie hipertrofică
- Cavitatea ventriculară diminuată
- Hipertrofie masivă a miocardului ventriculului stâng, preponderent la nivelul septului
Hipertrofie excentrică: ventricul dilatat; boală valvulară
Cardiopatia ischemică:
- Creșterea în dimensiuni a inimii cu dilatarea tuturor camerelor
- Perete ventricular subțiat
- Prezența de striuri albicioase-sidefii pe suprafața de secțiune a miocardului

Organ: Inimă
- Organ musculocavitar cu mai mult de o cavitate – doi ventriculi și septul interventricular
- perete muscular gros, cu mușchi papilari
Leziune: Cardiomiopatie hipertrofică
- Hipertrofie masivă a miocardului ventriculului stâng, preponderent la nivelul septului
- Diminuarea cavității ventriculare
- Septul proemină în lumenul ventricular
Diagnostic diferențial:
Hipertrofie ventriculară concentrică: îngroșare concentrică uniformă a miocardului ventricular
Cardiomiopatia dilatativă: inimă de dimensiuni mari, ventricul mult dilatat
- Perete ventricular îngroșat
Cardiopatia ischemică:
- Creșterea în dimensiuni a inimii cu dilatarea tuturor camerelor
- Perete ventricular subțiat
- Prezența de striuri albicioase-sidefii pe suprafața de secțiune a miocardului

Organ: Inimă – ventriculi
- Organ musculocavitar
- Cu mai mult de o cavitate – doi ventriculi și septul interventricular
- Perete muscular gros, cu mușchii papilari
Leziune: Infarct miocardic transmural
- Arie de necroză, formă neregulată, contur de ”hartă geografică”, localizat la nivelul peretelui
ventricular stâng anterior și al treimii anterioare a septului interventricular
- De culoare violacee, cu arii albicioase
- Ocupă întreaga grosime a peretelui miocardic
Diagnostic diferențial:
Infarct subendocardic
- Arie violacee sau albicioasă, în funcție de vechime
- Situată în 1/3 subendocardică a miocardului
Abcese miocardice
- Inflamație purulentă circumscrisă, formă regulată
- Conține fluid, cremos, gălbui = puroi

Organ: Inimă – ventriculi
- Organ musculocavitar
- cumai mult de o cavitate – doi ventriculi și septul interventricular
- Perete musculargros, cu mușchi papilari
Leziune: Infarct subendocardic
- Arie albicioasă, circumferențială, cu contur neregulat
- Situată în 1/3 subendocardică a miocardului
Diagnostic diferențial:
Infarct miocardic transmural
- Arie de necroză, formă neregulată, contur de ”hartă geografică”
- De culoare violacee, cu arii albicioase
- Ocupă întreaga grosime a peretelui miocardic

Organ: Inimă
- Organ musculocavitar
- Perete muscular gros, cu mușchi papilari
Leziune: Infarct miocardic complicat cu tromboză parietală
- Endocard cu o arie de culoare albicioasă-gălbuie, cu contur neregulat = infarct
- Peretele miocardic subțiat
- Aderent de zona de infarct se observă o masă violacee, mată, friabilă, aderentă = tromb parietal
Diagnostic diferențial:
Anevrism ventricular postinfarct: dilatare saciformă a peretelui
Ruptură ventriculară postinfarct: zonă de întrerupere a continuității peretelui ventricular

Organ: Inimă
- Organ musculocavitar
- cu mai mult de o cavitate – doi ventriculi și septul interventricular
- -perete muscular gros, cu mușchi papilari
Leziune: Anevrism ventricular trombozat postinfarct
- Arie albicioasă-sidefie, cu contur neregulat, la nivelul peretelui ventricular = infarct miocardic vechi
(cicatricial)
- Dilatare saciformă a peretelui ventricular, cu subțierea acestuia = anevrism
- Masă gri-albicioasă, cu arii violacee, mată, friabilă, aderentă = tromb
Diagnostic diferențial:
Fibroelastoza endocardică: endocard de culoare gri-albicioasă, fără dilatare anevrismală, fără infarct subiacent
Infarct miocardic recent: culoare roșie sau palidă a miocardului
Abces miocardic
- Inflamație purulentă circumscrisă
- Situat în grosimea miocardului
- Conține fluid, cremos, gălbui = puroi

Organ: Inimă+pericard visceral
- -Organ musculo-cavitar, cu formă de trunchi de con, din baza căreia își au originea vasele mari
- Tapetată de pericardul visceral la exterior
Leziune: Hemopericard datorat unui infarct miocardic rupt
- Arie violacee, de formă neregulată, care se poate observa prin transparența epicardului = infarct miocardic
- Zona de ruptură a miocardului (săgeata albă)
- Masă violacee, coagulată, lucioasă pe suprafața epicardului = hemopericard
Diagnostic diferențial:
Pericardită fibrinoasă: depozite gri-albicioase, fibrilare pe suprafața epicardului
Pericardită fibrino-hemoragică
- Depozite gri-albicioase, fibrilare pe suprafața epicardului
- Asociat cu lichid de culoare roșie-violacee
Pericardită purulentă: acumulare de fluid cremos, gălbui în cavitatea pericardică

Colorație: Hematoxilină-Eozină
- Celulele au nucleul albastru, citoplasma roșie
Organ: Miocard
- Țesut muscular striat de tip cardiac (nucleu unic, central)
Leziune: Nodul Aschoff (nodul reumatismal)
- Limfocite T, plasmocite, histiocite
- Celule Anitschow: macrofage mari, cu citoplasmă abundentă şi nucleusituat central, rotund sau oval,
cu cromatină centrală, sub formă de bandă (panglică)ondulată, cu prelungiri laterale (ca un miriapod)
- Celule gigante Aschoff: mari, multinucleate
Diagnostic diferențial:
Tuberculoza: granuloame cu necroză cazeoasă
Miocardită virală: infiltrat inflamator interstiţial limfo-plasmocitar; necroza unor fibre izolate
Miocardita bacteriană: infiltrat interstiţial neutrofilic difuz; necroze focale ale fibrelor musculare
Abces miocardic: prezența de colonii bacteriene, detritusuri celulare, neutrofile = puroi

Colorație: Hematoxilină-Eozină
- Celulele au nucleul albastru, citoplasma roșie
Organ: Miocard
- Țesut muscular striat de tip cardiac (nucleu unic, central)
Leziune: Infarct recent
- Necroză de coagulare, cu aspect înghețat al fibrelor: intens eozinofile, contur păstrat; nuclei absenți
Diagnostic diferențial:
Infarct miocardic în curs de organizare
- Necroză de coagulare
- Țesut de granulaţie la periferie, care înlocuieşte treptat zona de infarct
Infarct miocardic vechi : cicatrice fibroasă
Miocardită virală: infiltrat inflamator interstiţial limfo-plasmocitar; necroza unor fibre izolate
Miocardita reumatismală - Nodul Aschoff
- Necroză fibrinoidă înconjurată de celule inflamatoare
- Celule anitschow, celule gigante aschoff
Miocardita bacteriană: infiltrat interstiţial difuz neutrofilic; necroze focale ale fibrelor musculare

Colorație: Hematoxilină-Eozină
- Celulele au nucleul albastru, citoplasma roșie
Organ: Miocard
- țesut muscular striat de tip cardiac (nucleu unic, central)
Leziune: Infarct miocardic în curs de organizare
- Necroză de coagulare, cu aspect înghețat al fibrelor: fibre intens eozinofile, contur păstrat;
- Nucleii sunt absenți
- Țesut de granulaţie la periferie, care înlocuieşte treptat zona de infarct
Diagnostic diferenṭial:
Infarct miocardic recent: necroză de coagulare, cu aspect înghețat al fibrelor; fibre intens eozinofile,
contur păstrat; nucleii sunt absenți. Fără țesut de granulație
Abcesul miocardic în curs de cronicizare: inflamație purulentă circumscrisă, delimitată de țesut de
granulație
Infarct miocardic vechi: cicatrice fibroasă

Colorație: Hematoxilină-Eozină
- Celulele au nucleul albastru, citoplasma roșie
Organ: Miocard
- Țesut muscular striat de tip cardiac (nucleu unic, central)
Leziune: Miocardită virală
- Infiltrat inflamator interstiţial limfo-plasmocitar
- Necroza unor fibre izolate
Diagnostic diferenṭial:
Miocardita reumatismală -Nodul Aschoff : necroză fibrinoidă înconjurată de celule inflamatoare
- Celule Anitschow, celule gigante Aschoff
Miocardita bacteriană: infiltrat interstiţial neutrofilic difuz; necroze focale ale fibrelor musculare
Abces miocardic: prezența de colonii bacteriene, detritusuri celulare, neutrofile = puroi

Colorație: Hematoxilină-Eozină
- Celulele au nucleul albastru, citoplasma roșie
Organ: Arteră
- Organ cu lumen, cu perete gros
- Prezența limitantei elastice interne
Leziune: Placă fibrolipidică
- Stratul fibrosă: colagen fibrilar, celule musculare netede, fibre elastice; acoperit de endoteliu continuu
- Umărul plăcii (în intimă): macrofage, celule musculare netede, limfocite
- Centrul lipidic: necroză eozinofilă, granulară, celule spumoase, lipide extracelulare (cristale
decolesterol), detritusuri celulare, calcificări
- Media subiacentă: atrofie de compresiune, limitanta elastică internă discontinuă
Diagnostic diferenṭial:
Boala Horton, forma clasică: inflamaţie granulomatoasă în 1⁄2 internă a mediei; fragmentarea
limitantei elastice interne
Mediocalcinoza: calcificarea mediei

Organ: Esofag
- organ tubular
- absența pliurilor mucoasei, a cartilajului sau a emergențelor vasculare
Leziune: Esofag Barrett
- mucoasa albă-sidefie scuamoasă este înlocuită parțial cu mucoasă de tip intestinal de culoare roșie
Diagnostic diferențial:
Candidoză esofagiană
- depozite albicioase, care se îndepărtează prin raclare, pe suprafața mucoasei
Esofagită herpetică
- ulcerații multiple pe suprafața mucoasei
Sindrom Mallory-Weiss
- fisuri lineare longitudinale, de obicei la joncțiunea eso-gastrică
Varice esofagiene
- vene tortuoase, turgescente, sinuoase, situate sub mucoasa esofagiană
Tumoră malignă esofagiană
- tumoră infiltrativă, cu arii de hemoragie și necroză

Organ: Esofag
- organ tubular
- absența pliurilor mucoasei, a cartilajului sau a emergențelor vasculare
Leziune: Carcinom vegetant (exofitic)
- tumoră malignă epitelială , cu arii de necroză si hemoragie=carcinom
- formă exofitică, supraelevată comparativ cu planul mucoasei =vegetant (exofitic)
Diagnostic diferențial:
Alte forme de carcinom
Ulcerat - tumoră infiltrativă, cu aspect excavat
Esofag Barrett
- mucoasa albă-sidefie scuamoasă este înlocuită parțial cu mucoasă de tip intestinal de culoare roșie
Candidoza esofagiană
- depozite albicioase pe suprafața mucoasei, care se îndepărtează prin raclare

Organ: Stomac
- organ cavitar
- pliurile mucoasei paralele între ele și orientate longitudinal
Leziune: Gastrită cronică foliculară
- prin transparența mucoasei se observă leziuni nodulare, mici, albicioase (foliculi limfoizi)
Diagnostic diferențial:
Gastrita acută
- congestie, arii de hemoragie, eroziuni și ulcerații
Boala Ménétrier
- mucoasa gastrică prezintă pliuri îngroșate
Atrofie gastrică
- mucoasă gastrică cu pliuri aplatizate, netedă

Organ: Duoden
- organ tubular cu pliurile paralele între ele și perpendiculare pe axul lung al organului
Leziune: Ulcer peptic cronic
- arie de lipsă de substanță profundă, cu dimensiuni de aproximativ 2 cm
- margini netede, regulate
- baza ulcerului este curată
Diagnostic diferențial:
Ulcer peptic acut
- baza ulcerului cu hemoragie
Duodenită peptică
- mucoasa congestionată, cu eroziuni și ulcerații
Tumoră malignă duodenală
- margini neregulate, cu arii de necroză si hemoragie

Organ: Stomac
- organ cavitar
- pliurile mucoasei paralele între ele și orientate longitudinal
Leziune: Ulcer peptic cronic hemoragic
- leziune cu lipsă de substanță profundă
- prezența unui coagul în baza ulcerului – material roșu-violaceu, lucios
- mucoasa gastrică adiacentă ulcerului este impregnată hemoragic
- pliurile mucoasei adiacente converg către leziune
Diagnostic diferențial:
Ulcere acute Curling și Cushing - multiple, de dimensiuni mici (<1 cm)
Tumoră malignă formă ulcerată
- dimensiuni mari, margini neregulate, pliurile mucoasei nu converg spre ulcer
Tumoră malignă formă infiltrativă (linita plastică)
- perete gastric îngroșat difuz
Gastrita cronică foliculară
- mucoasă gastrică de aspect micronodular, fără ulcerații și hemoragie

Organ: Stomac
- organ cavitar
- pliurile mucoasei paralele între ele și orientate longitudinal
Leziune: Carcinom gastric, forma ulcerativă
- leziune cu lipsă de substanță profundă
- contur neregulat
- marginile crenelate, mai elevate decât planul mucoasei adiacente
- aspect inomogen, cu arii hemoragice și necroze
Diagnostic diferențial:
Alte forme de carcinom
- infiltrativ (linită plastică) - mucoasă aparent neafectată, perete îngroșat difuz
Ulcer peptic cronic
- leziune cu lipsă de substanță profundă
- contur regulat, marginile ulcerului sunt în același plan cu mucoasa adiacentă
- baza curată sau hemoragică
- pliurile mucoasei adiacente converg către leziune
Ulcere acute Curling și Cushing - multiple, de dimensiuni mici (<1 cm)

Organ: Stomac
- organ cavitar
- pliurile mucoasei paralele între ele și orientate longitudinal
Leziune: Carcinom gastric, formă infiltrativă(linită plastică)
- mucoasă aparent neafectată
- perete îngroșat difuz
Diagnostic diferențial:
Alte forme de carcinom
- ulcerativ – leziune de dimensiuni mari, margini neregulate, pliurile mucoasei nu converg spre leziune
Ulcer peptic cronic
- leziune cu lipsă de substanță profundă
- pliurile mucoasei adiacente converg către leziune
Ulcere acute Curling și Cushing - multiple, de dimensiuni mici (<1 cm)
Gastrită acută hemoragică difuză
- mucoasă eritematoasă, cu eroziuni punctiforme distribuite difuz
Gastrită cronică atrofică - perete subțire, mucoasa cu pliuri aplatizate

Organ: Stomac
- organ cavitar
- pliurile mucoasei paralele între ele și orientate longitudinal
Leziune: Carcinom gastric, formă infiltrativă(linită plastică)
- mucoasă albicioasă, fermă
- perete îngroșat difuz, cu striuri albicioase
Diagnostic diferențial:
Alte forme de carcinom
- ulcerativ – leziune de dimensiuni mari, margini neregulate, pliurile mucoasei nu converg spre leziune
Ulcer peptic cronic
- leziune cu lipsă de substanță profundă
- pliurile mucoasei adiacente converg către leziune
Ulcere acute Curling și Cushing - multiple, de dimensiuni mici (<1 cm)
Gastrită acută hemoragică difuză: mucoasă eritematoasă, cu eroziuni punctiforme distribuite difuz
Gastrită cronică atrofică: perete subțire, mucoasa cu pliuri aplatizate

Organ: Uter+anexe+peritoneu al fundului de sac Douglas
- organ musculo-cavitar cu formă de pară
- anexe: organe pereche – ovar și salpinge
Leziune: Tumori Krukenberg – metastaze bilaterale ovariene cu punct de plecare digestiv
- multiple formatiuni tumorale care denivelează suprafața overului, de culoare albicioasă, cu arii de
necroză și hemoragie, dimensiuni variabile
- interesează ambele ovare și fundul de sac Douglas
Diagnostic diferențial:
Alte metastaze – necesită diagnostic microscopic
Tumori maligne primare ovariene - necesită diagnostic microscopic
Chistadenom ovarian – formațiune chistică, pereți subțiri, conținut seros sau mucinos

Organ: Intestin
- organ tubular cu pliurile paralele între ele și perpendiculare pe axul lung al organului
Leziune: Boală Crohn
- perete îngroșat
- mucoasă cu aspect de ”pietre de pavaj”
Diagnostic diferențial:
Colita ulcerativă
- perete subțire
- cu arii extinse de ulcerații și hemoragie
Polipoza intestinală
- multiple formațiuni polipoide, sesile sau pediculate
Tumori maligne
- leziune de obicei solitară

Organ: Colon
-organ tubulo-cavitar
-pliuri paralele ale mucoasei, perpendiculare pe axul lung
-prezența de haustre
Leziune: Colită ulcerativă
- perete subțire, afectare difuză a colonului
- cu arii extinse de ulcerații și hemoragie
Diagnostic diferențial:
Boala Crohn
- perete îngroșat, mucoasă cu aspect de ”pietre de pavaj”
Colita pseudomembranoasă
-depozite galben-verzui (exsudat fibrinos) pe suprafața mucoasei, care confluează=pseudomembrane
-congestia mucoasei=colită
Polipoza intestinală: multiple formațiuni polipoide, sesile sau pediculate
Tumori maligne: leziune de obicei solitară

Organ: Colon
-organ tubulo-cavitar
-pliuri paralele ale mucoasei, perpendiculare pe axul lung
-prezența de haustre
Leziune: Colita ulcerativă (pseudopolipi – polipoză filiformă)
- formațiuni polipoide filiforme asociate cu regenerarea mucoasei colonice
- alcătuiți din țesut de granulație
Diagnostic diferențial:
Boala Crohn
- perete îngroșat, mucoasă cu aspect de ”pietre de pavaj”
Colita pseudomembranoasă
-depozite galben-verzui (exsudat fibrinos) pe suprafața mucoasei, care confluează=pseudomembrane
-congestia mucoasei=colită
Polipoza intestinală
- multiple formațiuni polipoide, sesile sau pediculate
- necesită diagnostic microscopic
Tumori maligne: leziune de obicei solitară

Organ: Rect și canal anal
-organ tubulo-cavitar, pliuri paralele ale mucoasei, perpendiculare pe axul lung
-prezența unei mucoase albicioase
Leziune: Polipoză adenomatoasă familială
- multiple formațiuni polipoide sesile sau pediculate
- sute de polipi
Diagnostic diferențial:
Boala Crohn: perete îngroșat, mucoasă cu aspect de ”pietre de pavaj”
Colita pseudomembranoasă
-depozite galben-verzui (exsudat fibrinos) pe suprafața mucoasei, care confluează=pseudomembrane
-congestia mucoasei=colită
Pseudopolipi inflamatori
- multiple formațiuni polipoide filiforme, la pacienți cu istoric de colită ulcerativă
- necesită diagnostic microscopic
Tumori maligne: leziune de obicei solitară

Organ: Rect inferior + canal anal
-organ tubulo-cavitar, pliuri paralele ale mucoasei, perpendiculare pe axul lung
-prezența unei mucoase albicioase
Leziune: Adenocarcinom vegetant
- tumoră malignă epitelală = carcinom
- tumoră malignă a epiteliului glandular = adenocarcinom
- formațiune tumorală, vegetantă, exofitică cu arii de hemoragie
Diagnostic diferențial:
Alte forme de carcinom
Infiltrativ – perete îngroșat, mucoasă aparent neafectată
Ulcerativ – formațiune tumorală cu necroză centrală
Adenom colonic: neinfiltrativ, dimensiuni mai mici
Pseudopolipi inflamatori
- multiple formațiuni polipoide filiforme, la pacienți cu istoric de colită ulcerativă
- necesită diagnostic microscopic
Hemoroizi: vene tortuoase, turgescente, sinuoase, situate sub

Organ: Apendice
- organ saciform aflat în continuarea cecului
Leziune: Apendicită acută
- culoare roșietică cu arii verzui
Diagnostic diferențial:
Diverticulită Meckel: diametrul diverticulului Meckel este egal cu al intestinului subțire
Diverticuloza colonică: leziuni multiple, afectează peretele colonic
Bridă: bandă albicioasă-sidefie, reprezentată de țesut conjunctiv

Organ: Ficat
- organ parenchimatos
- aspect compact pe secțiune
- prezența de lumene pe suprafața de secțiune
Leziune: Ciroză hepatică
- ficat retractat, contur boselat
- prezența de multipli noduli, bine delimitați, de dimensiuni variabile = noduli de regenerare
- nodulii sunt separați de septuri albicioase, care retractă parenchimul = fibroză
- fibroză+noduli de regenerare = ciroză
Diagnostic diferențial:
Adenom hepatic: leziune de obicei unică, bine delimitată; ficat noncirotic adiacent leziunii
Carcinom hepatocelular: formațiune tumorală, expansivă, cu arii de hemoragie și necroză
- culoare galbenă, verzuie = produce bilă
- dezvoltat pe ficat cirotic
Colangiocarcinom: formațiune tumorală infiltrativă, de culoare albicioasă, cu arii de hemoragie și
necroză; dezvoltat pe ficat fără ciroză
Metastaze: multiple formațiuni nodulare, rar unice, cu fenomen de ombilicare; pe ficat fără ciroză
- necesită diagnostic microscopic
Steatoză hepatică: ficat de dimensiuni crescute, culoare galbenă, aspect omogen pe suprafața de
secțiune; suprafața capsulei netedă
Ficat de stază cronică: ficat de aspect pestriț pe suprafața de secțiune

Organ: Ficat
- organ parenchimatos, aspect compact pe secțiune
- prezența de lumene pe suprafața de secțiune
Leziune: Carcinom hepatocelular dezvoltat pe ciroza
- ficat de dimensiuni reduse, contur boselat
- prezența de multipli noduli, bine delimitați, de dimensiuni variabile = noduli de regenerare
- nodulii sunt separați de septuri albicioase, care retractă parenchimul = fibroză
- fibroză+noduli de regenerare = ciroză
- formațiune tumorală, infiltrativă, cu arii de hemoragie și necroză
- aspect inomogen pe secțiune, cu arii de culoare galbenă, verzuie = produce bilă
Diagnostic diferențial:
Adenom hepatic: leziune de obicei unică, bine delimitată; ficat normal adiacent leziunii
Colangiocarcinom: formațiune tumorală infiltrativă, de culoare albicioasă, cu arii de hemoragie și
necroză; dezvoltat pe ficat fără ciroză
Metastaze: multiple formațiuni nodulare, rar unice, cu fenomen de ombilicare; pe ficat fără ciroză
- necesită diagnostic microscopic
Steatoză hepatică: ficat de dimensiuni crescute, culoare galbenă, aspect omogen pe suprafața de
secțiune; suprafața capsulei netedă
Ficat de stază cronică: ficat de aspect pestriț pe suprafața de secțiune

Organ: Ficat: organ parenchimatos tapetat de capsulă
Leziune: Metastaze hepatice
- formațiuni tumorale multiple, de dimensiuni variabile, situate în general subcapsular, albicioase
- cu fenomen de ombilicare (săgeata)
- necesită diagnostic microscopic
Diagnostic diferențial:
Ciroza: ficat de dimensiuni reduse, cu retracții ale capsulei, aspect multinodular
Adenom hepatic: leziune unică, bine delimitată
Colangiocarcinom: leziune unică
Steatoză hepatică: ficat de dimensiuni crescute, galben omogen
Ficat de stază cronică: ficat de dimensiuni crescute, aspect pestriț

Organ: Pancreas
- organ parenchimatos
- aspect lobular, gălbui pe secțiune
Leziune: Pancreatită acută necrotico-hemoragică
-pancreas cu arii de hemoragie și necroză de coagulare și steatonecroză
Diagnostic diferențial:
Pancreatită acută interstitială: pancreas cu arii de edem și necroză interstițială
Pancreatită cronică
- pancreas cu arii de fibroză, de culoare albicioasă-sidefie
- ducte dilatate chistic cu calcificări
Lipomatoza pancreatică: parenchim pancreatic înlocuit de țesut adipos
Carcinom pancreatic: formațiune tumorală, infiltrativă, de culoare albicioasă-cenușie cu arii de
necroză și hemoragie

Colorație: Hematoxilină-Eozină
- celulele au nucleul albastru, citoplasma roșie
Organ: Esofag
Leziune: Esofag Barrett : epiteliul esofagian scuamos este înlocuit parțial cu un epiteliu cilindric metaplazic, cu
epiteliu de suprafaţăşi glande mucoase
- diagnosticul de certitudine -prezenţa de celule caliciforme
- corion fibros, cu un infiltrat inflamator limfoplasmocitar redus
Diagnostic diferențial:
Esofagita de reflux:
- epiteliul de tip scuamos pluristratificat
- prelungirea papilelor corionice
-îngroșarea stratului bazal
-infiltrat inflamator intraepitelial cu eozinofile și limfocite
Displazia: prezența de atipii citologice și arhitecturale care nu depășesc membrana bazală
Adenocarcinomul esofagian: glande cu atipii citoarhitecturale, care infiltrează corionul

Colorație: Hematoxilină-Eozină: celulele au nucleul albastru, citoplasma roșie
Giemsa (insert): nuclei albastru intens
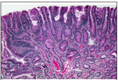
Organ: Stomac: prezența foveolelor gastrice
Leziune: Gastrită cronică atrofică activă cu Helicobacter pylori
- modificări degenerative ale epiteliului
- semne de activitate: - criptită (neutrofilele infiltrează şi distrug pereţii glandulari)
- abcese criptice (prezenţa neutrofilelor în lumenul glandelor)
- infiltrat polimorf în mucoasă: limfocite, plasmocite, neutrofile, macrofage
- atrofie gastrică= spațierea glandelor gastrice
- colorație Giemsa: bacteriile se observă la nivelul mucusului din foveolele gastrice (săgeți roșii)
Diagnostic diferențial:
Gastrita acută: infiltratul inflamator nu conține limfocite
Atrofia gastrică: fără aspecte de activitate

Colorație: Hematoxilină-Eozină
- celulele au nucleul albastru, citoplasma roșie
Organ: Fără elemente de diagnostic de organ
Leziune: Adenocarcinom de tip intestinal, bine diferențiat histologic (G1)
- criterii sugestive pentru originea epitelială
- proliferare tumorală compusă din grupuri de celule coezive, înconjurate de stromă
- criterii sugestive pentru originea glandulară
- celulele tumorale formează glande
- criterii sugestive pentru malignitate (adenocarcinom = tumoră malignă a epiteliilor glandulare):
- prezența de atipii celulare (raport nucleu/citoplasmă crescut, nuclei cu talie și formă variabile,
hipercromi, cu neregularități ale membranei nucleare)
- prezența de atipii arhitecturale (celulele se stratifică și se dispun dezordonat)
- prezența a numeroase mitoze
- nu sunt prezente arii solide = adenocarcinom bine diferențiat histologic, G1
Diagnostic diferențial:
Adenom: atipii citoarhitecturale reduse, limitate de membrana bazală
Adenocarcinom slab diferențiat, G3: alcătuit preponderent din arii solide și trabecule, cu rare structuri
glandulare

Coloraṭie: Hematoxilină-Eozină
-celulele au nucleul albastru, citoplasma roșie
Organ: Colon
- prezența de cripte Lieberkühn
Leziune: Boala Crohn
- infiltrat inflamator mixt
- granuloame tuberculoide (săgeata): cu celule epitelioide şi celule gigante Langhans, fără necroză
Insert: Limfoganglion cu granuloame tuberculoide
Diagnostic diferențial:
Tuberculoza intestinală: granuloame cu necroză cazeoasă
Colita ulcerativă: nu sunt prezente granuloame tuberculoide

Coloraṭie: Hematoxilină-Eozină
-celulele au nucleul albastru, citoplasma roșie
Organ: Intestin subţire
- prezența de vilozități intestinale și cripte Lieberkühn
Leziune: Boală celiacă
- enterită difuză cu atrofie severă/pierderea totală a vilozităţilor
- epiteliul de suprafaţă:
- pierderea marginii în perie
- număr crescut de limfocite intrepiteliale
- criptele - alungite, sinuoase
- grosimea mucoasei este nemodificată: inversarea raportului vilozităţi/cripte
- corionul: număr crescut de plasmocite, limfocite, macrofage, eozinofile și mastocite
Diagnostic diferențial:
Boala Crohn: prezența de granuloame tuberculiode
Enterite virale: diagnostic diferențial serologic

Coloraṭie: Hematoxilină-Eozină
- celulele au nucleul albastru, citoplasma roșie
Organ: Colon
- prezența de cripte Lieberkühn
Leziune: Colită ulcerativă (abcese criptice)
- infiltrat inflamator:
- corion: limfocite, plasmocite, polimorfonucleare
- cripte: polimorfonucleare neutrofile
- criptită (neutrofilele infiltrează şi distrug pereţii criptelor)
- abcese criptice (prezenţa neutrofilelor în lumenul criptelor)
- modificări reactive/regenerative ale epiteliului (diminuarea cantității de mucus)
- distorsiuni ale arhitecturii criptelor (ramificate, fuzionate, scurtate)
Diagnostic diferențial:
Boala Crohn: prezența de granuloame tuberculoide
Adenoame tubulare/viloase: nu sunt prezente abcese criptice și criptită
Colita pseudomembranoasă: prezența unui exsudat fibrinoleucocitar pe suprafața mucoasei

Coloraṭie: Hematoxilină-Eozină: celulele au nucleul albastru, citoplasma roșie
Organ: Colon
- prezența de cripte Lieberkühn
Leziune: Adenom vilos
- cripte numeroase, cu arhitectură modificată, viloasă, asemănătoare vilozităților intestinului subțire
- citologie: nuclei înalți, hipercromi, pseudostratificați, citoplasmă redusă, cu secreţie de mucină diminuată
Diagnostic diferențial:
Adenom tubular: arhitectură tubulară
Adenocarcinom: glande cu atipii citoarhitecturale, care infiltrează corionul
Polip hiperplazic: glande cu arhitectură modificată, cu lumenul serat, dar fără modificări citologice

Coloraṭie: Hematoxilină-Eozină: celulele au nucleul albastru, citoplasma roșie
Organ: Ficat
- prezența spațiului port ce conține: ramură a venei porte, ramură a arterei hepatice, canalicul biliar
- prezența cordoanelor de hepatocite
Leziune: Hepatită virală cronică (gradare)
Inflamaţia portală: celule mononucleare: limfocite T, plasmocite, macrofage
- interesează spaţiile porte
- mai densă decât în hepatita acută → spaţii porte lărgite
Hepatita de interfaţă: necroză și apoptoză hepatocitară şi inflamaţie periportală
- celule mononucleare: limfocite T, plasmocite, macrofage
Hepatita lobulară: necroză hepatocitară focală, infiltrat inflamator mononuclear
Necroza confluentă
- necroză confluentă:în punţi (centro-centrolobulare, centro-portale, porto-portale), panlobulară
- infiltrat inflamator mononuclear
Gradarea hepatitei cronice (necroza + inflamaţia, activitatea necroinflamatoare)
Diagnostic diferențial:
Stadializare: evaluarea fibrozei portale/periportale/lobulare

Coloraṭie: Tricrom Masson
- colagen albastru, celule cu citoplasma roșie
Organ: Ficat: prezența unor noduli formați din hepatocite
Leziune: Ciroză
- septuri fibroase- conţin vase şi ducte biliare mici
- noduli de regenerare înconjuraţi de septuri conjunctive
- lipsesc spaţiile porte şi venele centrolobulare
- dovezi de regenerare: trabecule groase (> 1 celulă)
Diagnostic diferențial:
Celelalte stadii de fibroză din hepatita cronică : septuri fibroase incomplete, care nu delimitează
noduli de regenerare
Staza cronică hepatică : fibroză perivenocentrolobulară

Coloraṭie: Hematoxilină-Eozină
- celulele au nucleul albastru, citoplasma roșie
Organ: Colon
- prezența de cripte Lieberkühn
Leziune: Adenom tubular
- cripte numeroase, cu arhitectură modificată, tubulară
- citologie: nuclei înalți, hipercromi, pseudostratificați, citoplasmă redusă, cu secreţie de mucină diminuată
Diagnostic diferenṭial:
Adenom vilos: arhitectură viloasă, asemănătoare vilozităților intestinului subțire
Adenocarcinom: glande cu atipii citoarhitecturale, care infiltrează corionul
Polip hiperplazic: glande cu arhitectură modificată, cu lumenul serat, dar fără modificări citologice

Coloraṭie: Hematoxilină-Eozină
- celulele au nucleul albastru, citoplasma roșie
Organ: Pancreas
- organ glandular cu acini seroși și insule Langerhans
Leziune – Pancreatită acută necrotico-hemoragică
- necroză acinară și ductală
- necroză grasă-arie bazofilă cu aspect granular (datorită depunerilor de calciu) într-o zonă cu țesut
adipos, umbre de adipocite: celule fără nuclei, limite celulare vizibile
- necroză vasculară și hemoragii
Diagnostic diferențial:
Necroză grasă traumatică: apare în teritoriile bogate în țesut adipos (ex. glanda mamară)
Pancreatita cronică: ducte dilatate, atrofie acinară, persistența insulelor Langerhans; fibroză
Fibroza chistica pancreatică: ducte dilatate, obstruate cu dopuri de mucus eozinofil
- atrofia completă a acinilor pancreasului exocrin
- păstrarea insulelor Langerhans
- stromă fibroasă

Coloraṭie: Hematoxilină-Eozină
- celulele au nucleul albastru, citoplasma roșie
Organ: Pancreas: organ glandular cu acini seroși și insule Langerhans
Leziune: Pancreatită cronică
- ducte dilatate, cu mucus intens eozinofil în lumen
- reducerea dimensiunilor şi a numărului de acini = atrofie
- păstrarea insulelor Langerhans
- infiltrat inflamator cronic redus: perilobular şi periductal
- fibroză marcată
Diagnostic diferențial:
Pancreatita acută necrotico-hemoragică: necroză acinară și ductală, necroză grasă, necroză
vasculară și hemoragii
Fibroza chistica pancreatică
- ducte dilatate, obstruate cu dopuri de mucus eozinofil
- atrofia completă a acinilor pancreasului exocrin
-păstrarea insulelor Langerhans
- stromă fibroasă
Adenocarcinomul ductal pancreatic: ducte cu atipii care se insinuează printre ductele normale

Colorație: Hematoxilină-Eozină
- celulele au nucleul albastru, citoplasma roșie
Organ: Pancreas: organ glandular cu acini seroși și insule Langerhans (în centru și în insert)
Leziune: Fibroză chistică
- ducte dilatate, obstruate cu dopuri de mucus eozinofil
- atrofia completă a acinilor pancreasului exocrin
- păstrarea insulelor Langerhans
- stromă fibroasă
Diagnostic diferențial:
Pancreatita cronică: ducte dilatat, atrofie acinară, persistența insulelor Langerhans, fibroză.

Organ: Rinichi+vezica urinară+uretra+aorta abdominală cu artere renale și iliace
Rinichi: organ parenchimatos, pereche, în formă de ”boabă de fasole”
Vezica urinară: organ cavitar; pliurile mucoasei se întretaie în unghiuri ascuțite
Ureter: organ tubular pereche
Artere: organe tubulare din care pornesc ramificații
Leziune: Hipoplazie renală unilaterală:
- rinichi de dimensiuni mici
- anomalie prezentă de la naștere
Diagnostic diferențial:
Rinichi polichistic autosomal dominant
- rinichi măriţi bilateral cu pierderea formei reniforme
- suprafaţa externă deformată, boselată - numeroase chisturi cu diametrul depână la 3-4 cm, fără
parenchim normal între ele
- chisturile sunt prezente în corticală şi în medulară, deformează caliciile şi pelvisul
- conţinutul: lichid transparent, hemoragic sau brun (hemoragie recentă ori veche), purulent (în cazul
suprainfecţiei)
Rinichi polichistic autosomal recesiv:
- rinichi măriţi, cu suprafaţa externă netedă
- pe suprafaţa de secţiune: aspect spongios: numeroase chisturi mici în corticală şi medulară, de formă
cilindrică (asemănătoare unor fante înguste, perpendiculare pe corticală)
Glomerulonefrita cronică:
- rinichi contractaţi, simetrici, decapsulare dificilă, suprafaţa granulară
- culoare palidă cenuşie, corticala subţiată
- grăsimea din sinusul renal mai abundentă (umple spaţiul lăsat liber prin reducerea parenchimului)
Nefroangioscleroza: rinichi de dimensiuni mici, asociat hipoxiei cauzate de stenoza de arteră renală

Organ: Rinichi și uretere
Rinichi: organ parenchimatos, pereche, în formă de ”boabă de fasole”
Ureter: organ tubular pereche
Leziune: Rinichi ”în potcoavă”: fuziunea polilor inferiori renali; ureterele își au originea pe fața
anterioară renală
Diagnostic diferențial:
Hipoplazie renală: rinichi de dimensiuni mici; anomalie prezentă de la naștere
Rinichi ”în farfurie”: fuziunea ambilor poli renali
Rinichi polichistic autosomal dominant: rinichi deformați, simetrici, cu multiple chisturi mari
Glomerulonefrita cronică: rinichi contractaţi, simetrici, decapsulare dificilă, suprafaţa granulară
Nefroangioscleroza: rinichi de dimensiuni mici, asociat hipoxiei cauzate de stenoza de arteră renală

Organ: Rinichi - organ parenchimatos, pereche, în formă de ”boabă de fasole”
Leziune: Rinichi polichistic autosomal dominant
- rinichi măriţi bilateral cu pierderea formei reniforme
- suprafaţa externă deformată, boselată - numeroase chisturi cu diametrul depână la 3-4 cm, fără
parenchim normal între ele
- chisturile sunt prezente în corticală şi în medulară, deformează caliciile şi pelvisul
- conţinutul: lichid transparent, hemoragic sau brun (hemoragie recentă ori veche),purulent (în cazul
suprainfecției)
Diagnostic diferențial:
Rinichi polichistic autosomal recesiv
- rinichi măriţi cu suprafaţa externă netedă
- pe suprafaţa de secţiune: aspect spongios - numeroase chisturi mici în corticală şi medulară, de
formăcilindrică (asemănătoare unor fante înguste, perpendiculare pe corticală)
Hidronefroză: dilatarea aparatului pielo-caliceal datorită unui obstacol; atrofia secundară a
parenchimului renal
Pielonefrita cronică: deformarea şi dilatarea calicelor + cicatrizare corticomedulară suprajacentă;
leziuni bilaterale asimetrice

Organ: Rinichi - organ parenchimatos, pereche, în formă de ”boabă de fasole”
Leziune: Rinichi polichistic autosomal recesiv
- rinichi măriţi cu suprafaţa externă netedă
- pe suprafaţa de secţiune: aspect spongios - numeroase chisturi mici în corticală şi medulară, de formă
cilindrică (asemănătoare unor fante înguste, perpendiculare pe corticală)
Diagnostic diferențial:
Rinichi polichistic autosomal dominant: rinichi măriţi bilateral cu pierderea formei reniforme,
suprafaţa externă deformată, boselată: numeroase chisturi mari, fără parenchim normal între ele
- chisturile sunt prezente în corticală şi în medulară, deformează caliciile şi pelvisul
Hidronefroză: dilatarea aparatului pielo-caliceal datorită unui obstacol; atrofia secundară a
parenchimului renal
Hipoplazie renală: rinichi de dimensiuni mici; anomalie prezentă de la naștere

Organ: Rinichi+uretere
Rinichi: organ parenchimatos, pereche, în formă de ”boabă de fasole”
Ureter: organ tubular pereche
Leziune: Hidronefroză+hidroureter+malformație ureterală
- rinichi mari, structură chistică (1-20 cm) cu pereţii subţiri, cu atrofia marcată aparenchimului, atrofia
totală a piramidelor şi îngustarea corticalei
- papile aplatizate
-prezența a două uretere, ambele dilatate
Diagnostic diferențial:
Rinichi polichistic autosomal dominant: rinichi măriţi bilateral cu pierderea formei reniforme,
suprafaţa externă deformată, boselată: numeroase chisturi mari, fără parenchim normal între ele
- chisturile sunt prezente în corticală şi în medulară, deformează caliciile şi pelvisul
Rinichi polichistic autosomal recesiv: rinichi măriţi cu suprafaţa externă netedă
- pe suprafaţa de secţiune: aspect spongios: numeroase chisturi mici în corticală şi medulară, de formă
cilindrică (asemănătoare unor fante înguste, perpendiculare pe corticală)
Pionefroză: hidronefroză + acumulare de fluid cremos, gălbui (puroi)
Pielonefrita cronică: deformarea şi dilatarea calicelor + cicatrizare corticomedulară suprajacentă;
leziuni bilaterale asimetrice

Organ: Rinichi+aorta abdominală cu arterele renale
Rinichi: - organ parenchimatos, pereche, în formă de ”boabă de fasole”
Artere: -organe tubulare din care pornesc ramificații
Leziune: Glomerulonefrită cronică
- rinichi retractați, simetrici, decapsulare dificilă, suprafaţa granulară
- culoare palidă cenuşie, corticala subţiată
- grăsimea din sinusul renal mai abundentă (umple spaţiul lăsat liber prin reducerea parenchimului)
Diagnostic diferențial:
Hipoplazie renală: rinichi de dimensiuni mici, prezent de la naștere
Glomerulonefrită acută proliferativă
- rinichi uşor măriţi, simetrici cu suprafaţa externă: netedă, cu peteşii (aspect „pişcat de purici”)
- pe secţiune: corticală îngroşată
Pielonefrită cronică
- deformarea şi dilatarea calicelor + cicatrizare corticomedulară suprajacentă
- leziuni bilaterale asimetrice

Organ: Rinichi
Rinichi: - organ parenchimatos, în formă de ”boabă de fasole”
Leziune: Carcinom cu celule renale
- tumoră malignă cu mod de creştere aparent expansiv, dar care infiltrează parenchimul și deformează
conturul renal
- culoare galbenă (celulele conţin lipide), arii hemoragice, necrotice, chistice, consistenţă moale
Diagnostic diferențial:
Sarcom: culoare roz-cenușie, aspect cărnos
Litiază bazinetală: masă solidă, de culoare brună-negricioasă, cu suprafața rugoasă = calcul
Abces renal: leziune circumscrisă, care conține un fluid, cremos, gălbui
Infarct renal
- leziune triunghiulară, cu baza spre periferie și vârful spre hil, bine delimitată, albicioasă sau cu
prezența unei rame hiperemice
Metastaze: de obicei multiple, localizate în corticală

Organ: Vezică urinară+prostată+uretra prostatică
Vezica urinară: organ cavitar
Prostata: organ parenchimatos situat la baza vezicii urinare, străbătut de uretra prostatică (organ
tubular)
Leziune: Carcinom urotelial
- tumoră malignă dezvoltată din epiteliul urotelial = carcinom urotelial
- dimensiuni mari, se extinde pe toată mucoasa vezicii urinare
- prezintă arii de hemoragie
Diagnostic diferențial:
Papiloame uroteliale: tumori benigne cu aspect papilar, dimensiuni mici
Cistită hemoragică: perete îngroșat datorită edemului, mucoasa cu ulcerații si hemoragie
Hiperplazie benignă de prostată + hipertrofia vezicii urinare
Hiperplazie benignă de prostată:
- prostata de dimensiuni crescute
- pe suprafața de secțiune prezintă aspect nodular
- lobul median este vizibil și comprimă uretra
Hipertrofia peretelui vezicii urinare:
- vezica urinară este dilatată
- peretele vezical este îngroșat pe baza stratului muscular (normal 0,3-0,4 cm)
- prin transparența mucoasei se observă fibrele musculare hipertrofiate

Organ: Vezica urinară+prostată+uretra prostatică
Prostata: organ parenchimatos situat la baza vezicii urinare, străbătut de uretra prostatică (organ
tubular)
Vezica urinară: organ cavitar; pliurile mucoasei se întretaie în unghiuri ascuțite
Leziune: Hiperplazie benignă de prostată, litiază vezicală, hipertrofia peretelui vezicii urinare
Hiperplazie benignă de prostată: prostata de dimensiuni crescute; pe suprafața de secțiune prezintă
aspect nodular; lobul median este vizibil și comprimă uretra
Hipertrofia peretelui vezicii urinare: vezica urinară este dilatată; peretele vezical este îngroșat pe
baza stratului muscular (normal 0,3-0,4 cm); prin transparența mucoasei se observă fibrele musculare
hipertrofiate
Litiază vezicală: masă solidă, de culoare brună-negricioasă, cu suprafața rugoasă = calcul
Diagnostic diferențial:
Adenocarcinom de prostată: tumoră malignă, infiltrativă, imprecis delimitată; culoare albicioasă-
cenușie
Carcinom urotelial vezical: dimensiuni mari, prezintă arii de hemoragie și caracter infiltrativ
Papiloame vezicale: tumori benigne cu aspect papilar, dimensiuni mici
Dilatarea vezicii urinare: peretele este subțire

Organ: Prostată -organ parenchimatos, străbătut de uretra prostatică (organ tubular)
Leziune: Adenocarcinom prostatic
- tumoră malignă, infiltrativă, imprecis delimitată; culoare albicioasă-cenușie
Diagnostic diferențial:
Hiperplazie benignă de prostată: prostata de dimensiuni crescute; pe suprafața de secțiune prezintă
aspect nodular
Abces prostatic: leziune circumscrisă, care conține un fluid, cremos, gălbui
Tuberculoză prostatică: noduli albicioși, cu necroză cazeoasă

Organ: Testicul
- organ parenchimatos, cu epididim si duct deferent
Leziune: Seminom
- formațiune tumorală nodulară, care înlocuiește parenchimul testicular, de obicei fără necroză și
hemoragie
Diagnostic diferențial:
Abces testicular: leziune circumscrisă, care conține un fluid, cremos, gălbui
Tuberculoză testiculară: noduli albicioși, cu necroză cazeoasă

Organ: Prostată
- organ parenchimatos, străbătut de uretra prostatică (organ tubular)
Leziune: Hiperplazie benignă de prostată
- prostata de dimensiuni crescute
- pe suprafața de secțiune prezintă aspect nodular
Diagnostic diferențial:
Adenocarcinom prostatic
- tumoră malignă, infiltrativă, imprecis delimitată
- culoare albicioasă-cenușie
Abces prostatic: leziune circumscrisă, care conține un fluid, cremos, gălbui
Tuberculoză prostatică: noduli albicioși, cu necroză cazeoasă

Coloraṭie: Hematoxilină-Eozină
- celulele au nucleul albastru, citoplasma roșie
Organ: Rinichi
- prezența de glomeruli
Leziune: Glomerulonefrită postinfecțioasă
-ghem glomerular de talie mare, aspect hipercelular
- infiltrare cu leucocite
- proliferarea celulelor mezangiale
- proliferarea celulelor endoteliale
- spaţiul urinifer este diminuat („pensat”)
-leziuneaeste globală (afectează uniform glomerulii individuali) şi difuză (afectează ambii glomeruli)
- interstiţiul: uşor infiltrat inflamator periglomerular
-tubii: fără modificări
- vasele: fără modificări
Diagnostic diferențial:
Glomerulonefrita cu semilune: sunt prezente semilune în diferite faze
Glomerulonefrita membranoasă:
- glomerulii nu sunt hipercelulari; membrana bazală îngroșată
- suprafața externă a membranei bazale prezintă spiculi argirofili (spikes)
Nefropatia diabetică: glomeruli cu scleroză difuză sau nodulară
Glomerulonefrita cronică:
- glomeruli cu sclerohialinizare
- interstiţiul cu fibroză și infiltrat inflamator focal limfoplasmocitar
Pielonefrita cronică:
- afectează predominant tubii şi interstiţiul
- glomerulii prezintă fibroză periglomerulară (centripetă)

Coloraṭie: Hematoxilină-Eozină
- celulele au nucleul albastru, citoplasma roșie
Organ: Rinichi
- prezența unui glomerul
Leziune: Glomerulonefrită cu semilune – semilună celulară
- glomerul cu prezenţa în spaţiul subcapsular a unei structuri formate prin înmulțirea celulelor
epiteliale parietale ale capsulei Bowman, alături de celule mononucleare și fibrină = semilună celulară
- tubii, interstiţiul, vasele: fără modificări importante
Diagnostic diferențial:
Glomerulonefrita cu semilune în alte faze
- semilună fibro-celulară: celulele de mai sus plus fibroblaste
- semilună fibroasă: proliferarea de celule epiteliale şi inflamatorii este înlocuită prin ţesut fibros: se
produc aderenţe între ghem şi capsulă
Glomerulonefrită postinfecțioasă: ghem glomerular de talie mare, aspect hipercelular
Glomerulonefrita membranoasă
- lipsesc semilunele
- membrana bazală îngroșată
- suprafața externă a membranei bazale prezintă spiculi argirofili (spikes)
Nefropatia diabetică: glomeruli cu scleroză difuză sau nodulară
Glomerulonefrita cronică
- glomeruli cu sclerohialinizare
- interstiţiul cu fibroză și infiltrat inflamator focal limfoplasmocitar
Pielonefrita cronică
- afectează predominant tubii şi interstiţiul
- glomerulii prezintă fibroză periglomerulară (centripetă)

Coloraṭie: Hematoxilină-Eozină
- celulele au nucleul albastru, citoplasma roșie
Organ: Rinichi
- prezența unui glomerul
Leziune: Glomerulonefrită cu semilune - semilună fibrocelulară
- glomerul cu prezenţa în spaţiul subcapsular a unei structuri formate prin înmulțirea celulelor
epiteliale parietale ale capsulei Bowman, alături de celule mononucleare și fibroblaste = semilună
fibrocelulară
- tubii, interstiţiul, vasele: fără modificări importante
Diagnostic diferențial:
Glomerulonefrita cu semilune în alte faze
- semilună celulară: fibrină și celulele de mai sus fără fibroblaste
- semilună fibroasă: proliferarea de celule epiteliale şi inflamatorii este înlocuită prin ţesut fibros: se
produc aderenţe între ghem şi capsulă
Glomerulonefrită postinfecțioasă: ghem glomerular de talie mare, aspect hipercelular
Glomerulonefrita membranoasă
- lipsesc semilunele
- membrana bazală îngroșată
- suprafața externă a membranei bazale prezintă spiculi argirofili (spikes)
Nefropatia diabetică: glomeruli cu scleroză difuză sau nodulară
Glomerulonefrita cronică
- glomeruli cu sclerohialinizare
- interstiţiul cu fibroză și infiltrat inflamator focal limfoplasmocitar
Pielonefrita cronică
- afectează predominant tubii şi interstiţiul
- glomerulii prezintă fibroză periglomerulară (centripetă)

Coloraṭie: Hematoxilină-Eozină
- celulele au nucleul albastru, citoplasma roșie
Organ: Rinichi
- prezența unui glomerul
Leziune: Glomerulonefrită cu semilune - semilună fibroasă
- glomerul cu prezenţa în spaţiul subcapsular a unei structuri formate din țesut conjunctiv = semilună
fibroasă
- prezența de aderențe între ghem și capsulă
- tubii, interstiţiul, vasele: fără modificări importante
Diagnostic diferențial:
Glomerulonefrita cu semilune în alte faze
- semilună celulară: fibrină și celule epiteliale parietale ale capsulei Bowman, alături de celule
mononucleare,fără fibroblaste
- semilună fibro-celulară: celulele de mai sus plus fibroblaste
Glomerulonefrită postinfecțioasă: ghem glomerular de talie mare, aspect hipercelular
Glomerulonefrita membranoasă
- lipsesc semilunele
- membrana bazală îngroșată
- suprafața externă a membranei bazale prezintă spiculi argirofili (spikes)
Nefropatia diabetică: glomeruli cu scleroză difuză sau nodulară
Glomerulonefrita cronică
- glomeruli cu sclerohialinizare
- interstiţiul cu fibroză și infiltrat inflamator focal limfoplasmocitar
Pielonefrita cronică
-afectează predominant tubii şi interstiţiul
- glomerulii prezintă fibroză periglomerulară (centripetă)

Coloraṭie: Hematoxilină-Eozină - celulele au nucleul albastru, citoplasma roșie
Colorație argentică (insert) - membranele bazale sunt colorate în negru
Organ: Rinichi - prezența unui glomerul
Leziune: Glomerulonefrită membranoasă:
- îngroşare difuză, uniformă a pereţilor capilari
- suprafața externă a membranei bazale prezintă spiculi argirofili (spikes)
- tubii, interstiţiul, vasele: fără modificări importante
Diagnostic diferențial:
Glomerulonefrita cu semilune: sunt prezente semilune în diferite faze
Glomerulonefrita postinfecțioasă: ghem glomerular de talie mare, aspect hipercelular
Nefropatia diabetică: glomeruli cu scleroză difuză sau nodulară
Glomerulonefrita cronică:
- glomeruli cu sclerohialinizare
- interstiţiul cu fibroză și infiltrat inflamator focal limfoplasmocitar
Pielonefrita cronică:
- afectează predominant tubii şi interstiţiul
- glomerulii prezintă fibroză periglomerulară (centripetă)

Coloraṭie: Hematoxilină-Eozină
- celulele au nucleul albastru, citoplasma roșie
Organ: Rinichi
- prezența unui glomerul
Leziune: Glomeruloscleroza focal-segmentară:
- hialinoză segmentară cu închiderea unor capilare
- aderenţe ghem-capsulă = sinechii
- tubii atrofici; interstiţiul cu fibroză; vasele: fără modificări importante
Diagnostic diferențial:
Glomerulonefrita cu semilune: sunt prezente semilune în diferite faze
Glomerulonefrita postinfecțioasă: ghem glomerular de talie mare, aspect hipercelular
Glomerulonefrita membranoasă:
- membrana bazală îngroșată
- suprafața externă a membranei bazale prezintă spiculi argirofili (spikes)
Nefropatia diabetică: glomeruli cu scleroză difuză sau nodulară
Glomerulonefrita cronică:
- glomeruli cu sclerohialinizare
- interstiţiul cu fibroză și infiltrat inflamator focal limfoplasmocitar
Pielonefrita cronică:
- afectează predominant tubii şi interstiţiul
- glomerulii prezintă fibroză periglomerulară (centripetă)

Coloraṭie: Hematoxilină-Eozină
- celulele au nucleul albastru, citoplasma roșie
Organ: Rinichi
- prezența unui glomerul
Leziune: Nefropatie diabetică - Noduli Kimmelstiel-Wilson (glomeruloscleroză nodulară)
- noduli omogeni, eozinofili, hialini, la periferia glomerulului
- nodulii comprimă capilarele glomerulare
- interstiţiul cu fibroză
- tubii și vasele: fără modificări importante
Diagnostic diferențial:
Glomerulonefrita cu semilune: sunt prezente semilune în diferite faze
Glomeruloscleroza focal-segmentară:
- hialinoză segmentară cu închiderea unor capilare
- aderenţe ghem-capsulă = sinechii
Glomerulonefrita postinfecțioasă: ghem glomerular de talie mare, aspect hipercelular
Glomerulonefrita membranoasă:
- membrana bazală îngroșată
- suprafața externă a membranei bazale prezintă spiculi argirofili (spikes)
Glomerulonefrita cronică:
- glomeruli cu sclerohialinizare
- interstiţiul cu fibroză și infiltrat inflamator focal limfoplasmocitar
Pielonefrita cronică:
- afectează predominant tubii şi interstiţiul
- glomerulii prezintă fibroză periglomerulară (centripetă)

Coloraṭie: PAS
Organ: Rinichi - prezența de glomeruli
Leziune: Glomerulonefrită cronică
-mici mase sferice, eozinofilice, acelulare („pietre de mormânt”) = glomeruli cu sclerohialinizare
- tubii: atrofie
- focal sunt prezenți glomeruli mari, cu spaţiu urinifer lărgit și tubi aferenți dilataţi = nefroni
hipertrofiaţi compensator
- interstiţiul: fibroză, infiltrat inflamator focal limfoplasmocitar
- arterele şi arteriolele: modificări consecutive HTA
Diagnostic diferențial:
Nefropatia diabetică: glomeruli cu glomeruloscleroză difuză sau nodulară
Glomerulonefrita cu semilune: sunt prezente semilune în diferite faze
Glomeruloscleroza focal-segmentară
- hialinoză segmentară cu închiderea unor capilare
- aderenţe ghem-capsulă – sinechii
Glomerulonefrita postinfecțioasă: ghem glomerular de talie mare, aspect aspect hipercelular
Glomerulonefrita membranoasă
- membrana bazală îngroșată
- suprafața externă a membranei bazale prezintă spiculi argirofili (spikes)
Pielonefrita cronică
- afectează predominant tubii şi interstiţiul
- glomerulii prezintă fibroză periglomerulară (centripetă)

Coloraṭie: Hematoxilină-Eozină - celulele au nucleul albastru, citoplasma roșie
Organ: Rinichi - prezența de glomeruli
Leziune: Pielonefrită acută
- glomeruli fără modificări
- interstițiul cu infiltrat inflamator neutrofilic, hiperemie și colonii bacteriene
- tubii cu neutrofile intratubular
- arii cu necroză tubulară
Diagnostic diferențial:
Pielonefrita cronică
- tubii atrofici sau dilatați, cu epiteliu aplatizat și cu cilindri hialini în lumen (tiroidizare)
- interstiţiul cu infiltrat inflamator cronic (Li, Pl)
- glomerulii prezintă fibroză periglomerulară (centripetă)
Nefropatia diabetică: glomeruli cu scleroză difuză sau nodulară

Coloraṭie: Hematoxilină-Eozină - celulele au nucleul albastru, citoplasma roșie
Organ: Rinichi - prezența de glomeruli
Leziune: Pielonefrită cronică (tiroidizarea tubilor renali)
- glomeruli cu fibroză periglomerulară (centripetă)
- tubii dilataţi, cu epiteliu aplatizat și cu prezența unui material eozinofil în lumen - cilindri
hialini(tiroidizare)
- interstițiul cu infiltrat inflamator cronic (Li, Pl)
Diagnostic diferențial:
Pielonefrită acută
- interstițiul cu infiltrat inflamator neutrofilic și colonii bacteriene
- tubii cu neutrofile intratubular
- arii cu necroză tubulară
Nefropatia diabetică: glomeruli cu scleroză difuză sau nodulară

Coloraṭie: Hematoxilină-Eozină
- celulele au nucleul albastru, citoplasma roșie
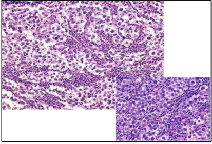
Organ: Fără elemente de Organ
Leziune: Carcinom cu celule renale clare
- trabecule și plaje de celule poligonale, talie mare, cu limite celulare evidente și citoplasmă abundentă,
clară (lipide, glicogen) sau eozinofilă
- grupurile de celule sunt demarcate de o stromă vasculară fină
Diagnostic diferențial:
Seminom
- celulele sunt mari, uniforme, rotunde/poligonale, cu citoplasmă clară
- stroma conține limfocite și granuloame tuberculoide

Coloraṭie: Hematoxilină-Eozină
- celulele au nucleul albastru, citoplasma roșie
Organ: Fără elemente de Organ
Leziune: Seminom
- plaje de celule mari uniforme, rotunde/poligonale, cu membrană distinctă
- citoplasma este clară, nucleul este central, mare, hipercrom, cu 1-2 nucleoli
- stroma este fină și conține limfocite
Diagnostic diferențial:
Carcinom cu celule renale clare
- trabecule și plaje de celule poligonale, talie mare, cu limite celulare evidente și citoplasmă abundentă,
clară (lipide, glicogen) sau eozinofilă
- grupurile de celule sunt demarcate de o stromă vasculară fină

Coloraṭie: Hematoxilină-Eozină
- celulele au nucleul albastru, citoplasma roșie
Organ: Fără elemente de Organ
Leziune: Adenocarcinom prostatic
- glande tumorale cu contur neregulat, tapetate de un singur strat de celule: absența celulelor bazale
-celulele sunt mari, cu nuclei veziculoși și nucleol proeminent
Diagnostic diferențial:
Alte tipuri de adenocarcinom
- diagnostic imunohistochimic
Hiperplazia benignă a prostatei
- sunt prezente celulele bazale
- nucleolii nu sunt evidenți

Organ: Sân
Leziune: Carcinom mamar invaziv
- Tumoră malignă epitelială
- Care infiltrează, deformează și distruge parenchimul mamar și tegumentul
- Tegumentul prezintă arii de necroză și ulcerație
Diagnostic diferențial:
Fibroadenom: bine delimitat, neinfiltrativ
Boală Paget: afectează mamelonul și areola
Hematom: pielea nu este ulcerată

Organ: Fără elemente de Organ
Leziune: Molă hidatiformă completă
- Multiple vezicule, de dimensiuni variabile
- Cu conținut lichidian gălbui, clar
- Dispuse sub formă de ciorchine de strugure
- Fără prezența de resturi embrionare
Diagnostic diferențial:
Mola hidatiformă parțială: sunt prezente resturi embrionare

Organ: Uter+anexe
- Organ musculo-cavitar, unicameral
- În formă de pară, alcătuit din corp uterin și col uterin
- Anexe: organe pereche – ovar și salpinge
Leziune: Carcinom cervical
- Tumoră care infiltrează și deformează colul uterin
- De culoare albicioasă, cu arii de necroză
- Dimensiuni mari
Diagnostic diferențial:
Tumori benigne (leiomiom): dimensiuni reduse, bine delimitate, nu infiltrează
Hiperplazia endometrială: este afectat endometrul
Polip endocervical
- Formațiune polipoidă care prolabează prin ostium
- Nu infiltrează

Organ: Uter
- Organ musculo-cavitar, unicameral
- În formă de pară, alcătuit din corp uterin și col uterin
Leziune: Hiperplazie endometrială
- Endometrul este îngroșat (normal 0,1-0,2 cm)
- De aspect polipoid (normal neted)
- Cu arii violacee (zone de hemoragie)
Diagnostic diferențial:
Carcinom endometrial: masă neregulată, albicioasă-cenușie, cu arii de hemoragie și necroză, infiltrativă în
miometru
Leiomiom: formațiune nodulară, bine delimitată, albicioasă, localizată la nivelul miometrului (tumoră a
țesutului muscular neted)

Organ: Uter+anexe
- Organ musculo-cavitar, unicameral, în formă de pară, alcătuit din corp uterin și col uterin
- Anexe: organe pereche - ovar și salpinge
Leziune: Carcinom endometrial
- Masă neregulată, albicioasă-cenușie, cu arii de hemoragie și necroză
- Situată la nivelul endometrului, care infiltrează miometrul
Diagnostic diferențial:
Hiperplazie endometrială: endometrul este îngroșat (normal 0,1-0,2 cm); are aspect polipoid (normal
neted); cu arii violacee (zone de hemoragie)
Polip endometrial: de dimensiuni mai mici, neinfiltrativ
Carcinom cervical: localizare la nivelul colului
Leiomiom: formațiune nodulară, bine delimitată, albicioasă, localizată la nivelul miometrului (tumoră
a țesutului muscular neted)
Leiomiosarcom: tumoră malignă a țesutului muscular neted; de obicei neasociat cu leiomioame
- Infiltrativ, cu arii de necroză și hemoragie

Organ: Uter+col - organ musculo-cavitar, unicameral, în formă de pară, alcătuit din corp uterin și col
uterin
Leziune: Leiomioame uterine
- Formațiuni nodulare, bine delimitate, albicioase, localizate în miometru (tumoră a țesutului
muscular neted)
Diagnostic diferențial:
Leiomiosarcom: tumoră malignă a țesutului muscular neted; de obicei neasociat cu leiomioame
- Infiltrativ, cu arii de necroză și hemoragie
Carcinom endometrial: masă neregulată, albicioasă-cenușie, cu arii de hemoragie și necroză
- Situată la nivelul endometrului, care infiltrează miometrul
Hiperplazie endometrială: endometrul este îngroșat (normal 0,1-0,2 cm); are aspect polipoid (normal
neted); cu arii violacee (zone de hemoragie)
Polip endometrial: de dimensiuni mai mici, neinfiltrativ
Carcinom cervical: localizare la nivelul colului

Organ: Fără elemente de Organ
Leziune: Chistadenom
- Formațiune chistică de dimensiuni mari (10-15 cm)
- Delimitată de pereți netezi, fibroși, cu mici proiecții papilare focale
- Conținut seros sau mucinos
Diagnostic diferențial:
Carcinom ovarian
- Tumoră malignă alcătuită din arii chistice și solide
- Cu arii de hemoragie și necroză
- Proliferări papilare care infiltrează și proemină pe fața externă a chistului
Teratom ovarian
- Formațiune chistică având un conținut alcătuit din sebum și fire de păr
- Conține tesut adipos, os, dinți

Organ: Fără elemente de Organ
Leziune: Carcinom ovarian
- Tumoră malignă alcătuită din arii chistice si solide
- Cu arii de hemoragie și necroză
- Proliferări papilare care infiltrează și proemină pe fața externă a chistului
Diagnostic diferențial:
Chistadenom
- Formațiune chistică de dimensiuni mari (10-15 cm)
- Delimitată de pereți netezi, fibroși
- Conținut seros sau mucinos
Teratom ovarian
- Formațiune chistică având un conținut alcătuit din sebum și fire de păr
- Conține țesut adipos, os, dinți

Organ: Fără elemente de Organ
Leziune: Chist dermoid (teratom matur chistic)
- Formațiune chistică având un conținut alcătuit din sebum și fire de păr
- Conține tesut adipos, os, dinți
- Dinții sunt dispuși într-o protuberanță = tuberculul rokitansky
Diagnostic diferențial:
Chistadenom
- Formațiune chistică de dimensiuni mari (10-15 cm)
- delimitată de pereți netezi, fibroși
- conținut seros sau mucinos
Carcinom ovarian
- Tumoră malignă alcătuită din arii chistice și solide
- cu arii de hemoragie și necroză
- proiecții papilare care infiltrează și proemină pe fața externă a chistului

Organ: Sân
Leziune: Fibroadenom
- Nodul bine delimitat, suprafaţă externă netedă
- Pe secţiune: alb-cenuşiu, vârtejuri, fante
Diagnostic diferențial:
Carcinom mamar invaziv
- Aspect infiltrativ, formă stelată

Colorație: Hematoxilină-Eozină
- Celulele au nucleul albastru, citoplasma roșie
Organ: Fără elemente de organ
Leziune: Fibroadenom
- Proliferare tumorală bifazică
- Structuri glandulare tapetate de celule cubice sau aplatizate
- Stromă mixoidă, laxă
- Stroma comprimă pereţii glandelor → lumen transformat într-o fantă
- Stroma tracţionează pereţii glandelor → lumene dilatate chistic
Diagnostic diferențial:
Tumora filodă
- Proeminenţe stromale celulare acoperite de epiteliu, uneori proiectate într-un spaţiu chistic
- Tumora este străbătută de fante ramificate care îi conferă un aspect asemănător unor frunze
Boala fibrochistică mamară
- Structuri glandulare normale sau dilatate chistic
- Secreție eozinofilăîn lumen și macrofage spumoase
- Epiteliu cubic/aplatizat/cu metaplazie apocrină (celule mari, cu citoplasma abundentă, eozinofilă)
- Fibroză ȋn interstițiu
- Adenoză

Colorație: Hematoxilină-Eozină
- Celulele au nucleul albastru, citoplasma roșie
Organ: Fără elemente de organ
Leziune: Tumoră seroasă borderline
- Formaṭiunechistică cu pereți conjunctivi ce prezintă spre lumen structuri papilare complexe (multiplu
ramificate)
- Papile tapetate de celule cubice sau ciliate cu stratificări celulare focale
- Fără invazie stromală (pseudoinvazie datorată incidenṭei de secṭiune)
Diagnostic diferențial:
Chistadenom seros
- Formațiune chisticăfără papile sau cu papile simple, tapetate de celule cubice sau ciliate
Chistadenom mucinos
- Formațiune chistică tapetată deepiteliu mucosecretant
Carcinom seros
- Structuri papilare complexe, ramificate
- Mase solide
- Celule cu trăsăturile malignităţii
- Corpi psamomatoşi
- Invazie stromală

Diagnostic de colorație: Hematoxilină-Eozină
- Celulele au nucleul albastru, citoplasma roșie
Organ: Fără elemente de organ
Leziune: Tumoră de granuloasă
- Proliferare tumorală alcatuită din celule monomorfe, mici, cubice sau poligonale
- Nucleul are o incizură longitudinală: aspect de „boabă de cafea”
- Arhitectură microfoliculară:
- Corpusculi call-exner= celule tumorale dispuse în jurul unui spaţii ce conţin un material eozinofil
Diagnostic diferenṭial:
Adenocarcinom: glande cu atipii citoarhitecturale, care infiltrează corionul

Colorație: Hematoxilină-Eozină
- Celulele au nucleul albastru, citoplasma roșie
Organ: Glandă mamară
- Ducte și țesut adipos
Leziune: Boală fibrochistică mamară
- Structuri ductale normale sau dilatate chistic
- Secreție eozinofilăîn lumen
- Epiteliu: cubic/aplatizat/cu metaplazie apocrină (celule mari, cu citoplasma abundentă, eozinofilă)
- Fibroză ȋn interstițiu
- Adenoză: creşterea numărului de acini/lobul (creșterea numărului de structuri glandulare)
Diagnostic diferențial:
Fibroadenomul
- Proliferare tumorală bifazică
- Structuri glandulare tapetate de celule cubice sau aplatizate
- Stromă mixoidă, laxă
- Stroma comprimă pereţii glandelor → lumen transformat într-o fantă
- Stroma tracţionează pereţii glandelor → lumene dilatate chistic
Tumora filodă
- Proeminenţe stromale celulare acoperite de epiteliu, uneori proiectate într-un spaţiu chistic
- Tumora este străbătută de fante ramificate care îi conferă un aspect asemănător unor frunze
Papiloame intraductale
- Axe fibrovasculare ramificate tapetate de celule mioepiteliale şi luminale
- Dezvoltat în ducte dilatate
Carcinomul mamar invaziv
- Formațiune tumorală malignă cu pleomorfism celular şi activitate mitotică variabile
- Arhitectură: plaje extinse, insule solide, glande, cordoane, celule individuale

Colorație: Hematoxilină-Eozină - celulele au nucleul albastru, citoplasma roșie
Organ: Endometru - mucoasă alcătuită din glande tubulare și stromă hipercelulară
Leziune: Hiperplazie glandulară fără atipii
- Raportul glande/stromă crescut
- Glandele de dimensiuni variabile (mici sau cu dilataţii chistice)
- Epiteliul: celulele sunt bine diferenţiate, fără atipii
Diagnostic diferențial:
Polip endometrial: structură polipoidă cu stromă laxă, cu glande endometriale dilatate chistic
Hiperplazie glandulară cu atipii
- Raportul glande/stromă crescut, glande dispuse dens, „spate în spate”, de dimensiuni variabile
- Epiteliul glandular cuatipii: creşterea raportului nucleo-citoplasmatic, pierderea polarităţii
nucleilor, - mitoze numeroase
Adenocarcinom endometrial endometrioid: glande tumorale cu arhitectură mai complexă, care
infiltrează peretele uterin

Colorație: Hematoxilină-Eozină - celulele au nucleul albastru, citoplasma roșie
Organ: Endometru - mucoasă alcătuită din glande tubulare și stromă hipercelulară
Leziune: Hiperplazie glandulară cu atipii
- Raportul glande/stromă crescut, glande dispuse dens, „spate în spate”, de dimensiuni variabile
- Epiteliul glandular cu atipii: creşterea raportului nucleo-citoplasmatic, pierderea polarităţii
nucleilor, mitoze numeroase
Diagnostic diferențial:
Polip endometrial: structură polipoidă cu stromă laxă, cu glande endometriale dilatate chistic
Hiperplazie glandulară fără atipii: raportul glande/stromă crescut, glandele de dimensiuni variabile
(mici sau cu dilataţii chistice); epiteliul: celulele sunt bine diferenţiate, fără atipii
Adenocarcinom endometrial endometrioid: glande tumorale cu arhitectură mai complexă, care
infiltrează peretele uterin

Organ: Tiroidă/Loja anterioară a gâtului
Leziune: Gușă
- Deformarea lojei anterioare a gîtului, cu creșterea sa în volum
- Simetrică, în formă de fluture
Diagnostic diferențial:
Tuberculoza limfoganglionară: prezența de fistule cutanate
Limfadenopatii reactive: de obicei unilaterale