1/116
Looks like no tags are added yet.
Name | Mastery | Learn | Test | Matching | Spaced | Call with Kai |
|---|
No analytics yet
Send a link to your students to track their progress
zygomatic
what is #1 pointing at?

maxilla
what is #2 pointing at?

temporal
what is #3 pointing at?

frontal
what is #4 pointing at?

mandible
what is #5 pointing at?

nasal
what is #6 pointing at?

parietal
what is #1 pointing at?

temporal
what is #2 pointing at?

mandibular condyle
what is #3 pointing at?

coronoid process
what is #4 pointing at?

coronal suture
what is #5 pointing at?

sphenoid (greater wing)
what is #6 pointing at?

external acoustic meatus
what is #7 pointing at?

zygomatic process
what is #1 pointing at?

mastoid process
what is #2 pointing at?

temporal process of zygomatic
what is #3 pointing at?

sagittal suture
what is #1 pointing at?

lambdoid suture
what is #2 pointing at?

occiput
what is #3 pointing at?

EOP
what is #4 pointing at?

cribiform plate of ethmoid
what is #1 pointing at?

sella turcica of sphenoid
what is #2 pointing at?

frontal sinus
what is #1 pointing at?

sphenoid sinus
what is #2 pointing at?

sella turcica
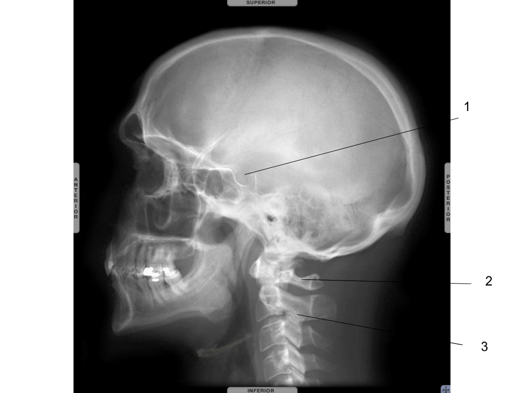
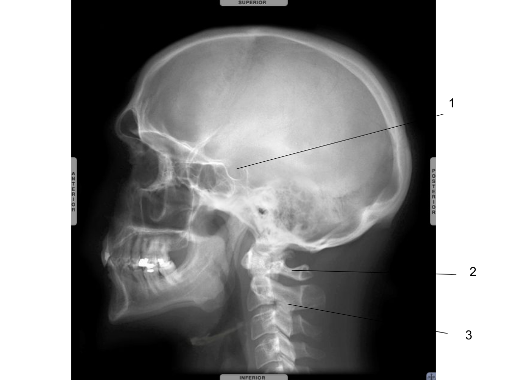
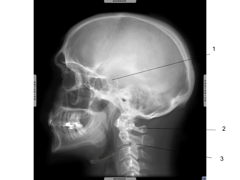
what is #1 pointing at?

Atlas C1
what is #2 pointing at?

Axis C2
what is #3 pointing at?

C1
what is #1 pointing at?

C2
what is #2 pointing at?

sacrum
what is #3 pointing at?

coccyx
what is #4 pointing at?

cervical
what is #1 pointing at?

thoracic
what is #2 pointing at?

lumbar
what is #3 pointing at?

7
how many vertebrae are in the cervical region?
12
how many vertebrae are in the thoracic region
5
how many vertebrae are in the lumbar region?
vertebral body
what is #1 pointing at?

pedicle
what is #2 pointing at?

transverse process
what is #3 pointing at?

lamina
what is #4 pointing at?

spinous process
what is #5 pointing at?

lamina
what is #6 pointing at?

pedicle
what is #7 pointing at?

manubrium
what is #1 pointing at?


gladius
what is #2 pointing at?
xiphoid
what is #3 pointing at?

first 7
where are the true ribs located?
last 5
where are the false ribs located?
2 of the last false ribs
where are floating ribs located?
scapula
what is #1 pointing at?

spine
what is #2 pointing at?

acromion
what is #3 pointing at?

glenoid fossa
what is #4 pointing at?

supraspinous fossa
what is #1 pointing at?

infraspinous fossa
what is #2 pointing at?

acromion of scapula
what is #1 pointing at?

clavicle
what is #2 pointing at?

coracoid process of scapula
what is #3 pointing at?

humerus
what is #4 pointing at?

clavicle
what is #1 pointing at?

coracoid process
what is #2 pointing at?

acromion
what is #3 pointing at?

glenoid fossa
what is #4 pointing at?

humeral head
what is #5 pointing at?

humeral head
what is #1 pointing at?

lateral epicondyle
what is #2 pointing at?

medial epicondyle
what is #3 pointing at?

olecranon fossa
what is #4 pointing at?

greater tubercle
what is the * pointing at?

lesser tubercle
what is the # pointing at?

capitulum
what is #1 pointing at?

trochlea
what is #2 pointing at?

radial head
what is #1 pointing at?

radius
what is #2 pointing at?

ulna
what is #3 pointing at?

ulna styloid process
what is #4 pointing at?

olecranon process
what is #1 pointing at?

scaphoid
what is #1 pointing at?

lunate
what is #2 pointing at?

triquetrum
what is #3 pointing at?

quisiform
what is #4 pointing at?

trapezium
what is #5 pointing at?

trapezoid
what is #6 pointing at?

capitate
what is #7 pointing at?

hamate
what is #8 pointing at?

metacarpals
what is #1 pointing at?

proximal phalanges
what is #2 pointing at?

middle phalanges
what is #3 pointing at?

distal phalanges
what is #4 pointing at?

ilium
what is #1 pointing at?

ischium
what is #2 pointing at?

pubis
what is #3 pointing at?

pubic symphysis
what is #4 pointing at?

iliac crest
what is #1 pointing at?

ASIS (Anterior Superior Iliac Spine)
what is #2 pointing at?

femoral head
what is #3 pointing at?

sacral ala (wings)
what is #4 pointing at?

sacral foramina (openings or passages)
what is #5 pointing at?

AIIS (Anterior Inferior Iliac Spine)
what is #6 pointing at?
