1/13
Looks like no tags are added yet.
Name | Mastery | Learn | Test | Matching | Spaced |
|---|
No study sessions yet.

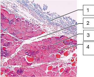
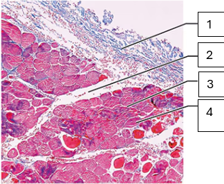
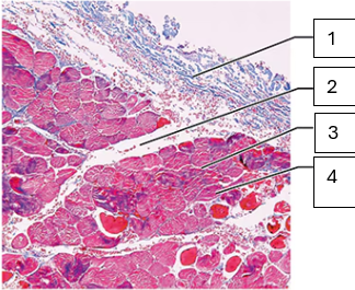
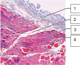
1
epimysium, protective covering of whole muscle

2
perimysium, protective covering of fasicles

3
endomysium, protective covering of single muscle cell

4
muscle fiber within a fasicle

1
bone, movement

2
tendon, connects muscle to bone

3
epimysium, protective covering of whole muscle

4
blood vessel, deliver oxygen

5
perimysium, protective covering of fasicle

6
endomysium, protective covering of single muscle cell

7
muscle fiber, muscle contraction

8
myofibril, makes up bulk of muscle cell, contains actin and myosin

9
perimysium, protective covering of fasicle

10
fasicle, bundle muscle fibers for coordinated contraction