1/55
Looks like no tags are added yet.
Name | Mastery | Learn | Test | Matching | Spaced | Call with Kai |
|---|
No analytics yet
Send a link to your students to track their progress

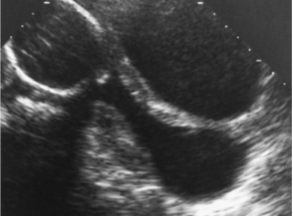
width measurement of GS in trans

length and AP measurement of GS in long

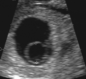
gestational sac and yolk sac

right arrow
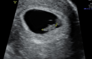
embryo

yolk sac measurement

crown rump length (embryo)

crown rump length (fetus)

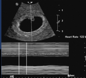
heart rate using m-mode

nuchal translucency

midsagittal facial profile

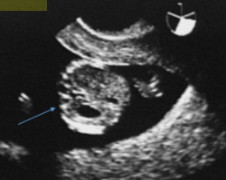
blue arrow
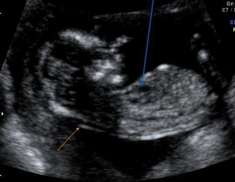
stomach

blue arrow
heart

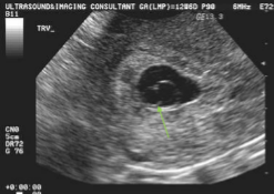
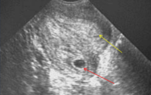
GS and double decidua sign

yolk sac and amnion

bottom arrow
yolk sac

top arrow
fetal pole/embryo

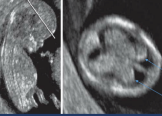
brain vesicles in 8 week embryo

early umbilical cord

umbilical cord and mid-gut herniation

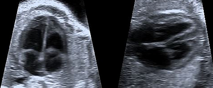
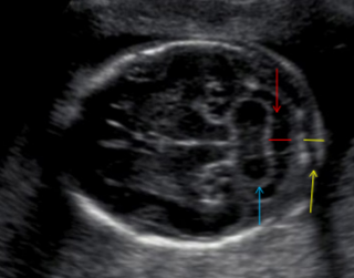
choroid plexus

stomach

4 chamber heart

choroid plexis and atria measurement

white matter tracts

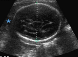
biparietal diameter (leading edge to leading edge)

cavum septum pellucidum

column of fornix

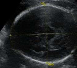
head circumference

which measurement is the one going horizontally over the image?
Occipitofrontal diameter

calculated from using both of these measurements?
cephalic index

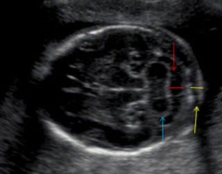
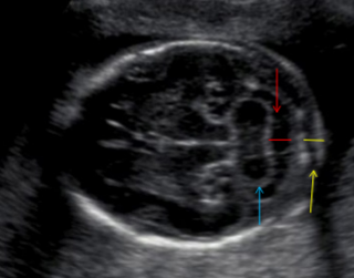
red arrows
cisterna magna

blue arrow
cerebellum

yellow arrows
nuchal fold

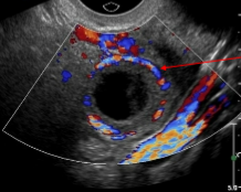
corpus luteum cyst

corpus luteum cyst displaying ring of fire

hematosalpinx

white arrows
braxton hicks contraction

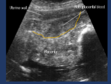
placental abruption

fibroid

bicornate uterus

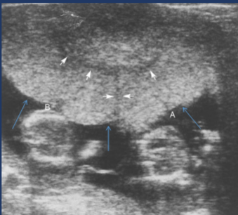
T cervix

Y cervix

V cervix

U cervix

incompetent cervix

what are the plus shaped calipers measuring?
binocular distance

what are the x shaped calipers measuring?
interorbital distance

what is the very bottom line pointing at?
spine

what is the top line pointing at?
umbilical vein

what is the left line indicating?
stomach

what is being measured?
abdominal circumference

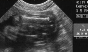
femur length

humerus length

forearm

leg and foot

clavicle