1/110
Looks like no tags are added yet.
Name | Mastery | Learn | Test | Matching | Spaced | Call with Kai |
|---|
No analytics yet
Send a link to your students to track their progress
Macule
flat, colored spot on the skin less than 1 cm
Ex: freckles

Patch
a flat, discolored area on the skin larger than 1 cm
Ex: vitiligo

Papule
small, solid skin elevation less than 1 cm
Ex: Wart

Plaque
an elevated patch on the skin formed by a coalscense of papules
Ex: psoriasis

Nodule
solid, round or oval elevated lesion 1 cm or more
Ex: cyst

Vesicle
small circumscribed elevation of the epidermis containing clear fluid less than 1 cm
Ex: herpes simplex

Bulla
A circumscribed elevation of the epidermis containing clear fluid greater than 1 cm
Ex: 2nd degree burn

Wheal
a circumscribed, raised lesion consisting of dermal edema
Ex: hives

Pustule
small palpable collection of pus
Ex: acne, impetigo

Comedone
the plugged opening of a sebaceous gland at pore/follicle
Ex: Acne (white- closed black- open)

Furuncle
skin abscesses at the hair follicle and surrounding tissue

Carbuncle
multiple furuncles

Erosion
Loss of the superficial epidermis, surface is moist but does not bleed
Ex: rupture of a vesicle in chicken pox

Ulcer
deeper loss of skin, may bleed and scar
Ex: stasis ulcers

stage 1 ulcer
intact skin; red/irritation; unblanchable

stage 2 ulcer
broken skin; partial thickness; blister epidermis and dermis; can ooze

stage 3 ulcer
Full-thickness pressure ulcer extending into the subcutaneous tissue and resembling a crater. May see subcutaneous fat but not muscle, bone, or tendon.

stage 4 ulcer
Full-thickness tissue loss with exposed bone, muscle, or tendon

Fissure
a linear crack in the skin
Ex: angular cheilitis

Crust
Hard and rough surface formed by dried sebum =, exudate, blood or toher body fluids
Ex: impetigo

Scale
a thin flake of exfoliated epidermis
Ex: dandruff

Lichenification
Thickening and roughening of the skin with increased visibility of the normal skin furrows
Ex: atopic dermatitis

Atrophy
thinning of the skin with the loss of normal skin furrows
Ex: seen in aging

Excoriation
an abrasion or scratch mark

Scar
replacement of destroyed tissue by fibrous tissue

Keloid
firm, hypertrophic mass of scar tissue that extends beyond area of injury

Telangiectasia
fine, irregular, blood vessels

Spider angioma
central red macule with radiating spider like arms

cherry angioma
small red papules

petechiae
reddish-purple macules
1-3mm

Purpura
reddish-purple macules
>3mm

Ecchymosis
purple or blue macules caused by trauma

Hematoma
A localized collection of blood
elevated ecchymosis

localized distribution
Restricted to one particular body area

generalized distribution
Covering much of the body in a regularly even pattern

symmetric distribution
lesions appear to be distributed in a similar arrangement on differing sides of the body

asymmetric distribution
Lesions are not distributed in a symmetrical pattern

discrete distribution
Separate, distinct lesions that are not joined to one another

coalescing distribution
lesions that have grown together

grouped distribution
lesions appear in clusters or groups

cleavage plane
arranged along lines of skin tension

circinate lesions
circular

arciform lesion
arc shaped

linear lesion
line

serpiginous lesion
wavy, snake like lesion

annular lesion
circular with central clearing

target lesion
concentric rings of color in lesions

Gyrate lesion
twisted, coiled spiral, snakelike

Zosteriform lesion
linear arrangement along a unilateral nerve route

geographic configuration
map like configuration

reticular configuration
lesions with a "net-like" arrangement

Verruca configuration
wart

Umbilicated configuration
skin nodule with central depression

Vegetative Configuration
the proliferation of papillomatous masses

Vitiligo
depigmented macule, may coalesce into extensive areas that lack melanin

Tinea versicolor
-Superficial fungal (yeast) infection of the skin
-Scaly macules
-Common in summer and tropical areas

what is the Nevi Evaluation?
an acronym used to guide questions/findings about a lesion
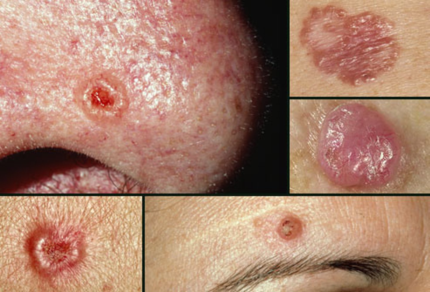
what is slow growing and locally invasive translucent papule or nodule with depressed center and rolled edges & what is it caused by?
basal cell carcinoma
sun exposure

grows quicker and more aggressively than a BCC
More ulcerated, also caused by the sun
squamous cell carcinoma

what is malignant melanoma?
most deadly skin cancer that develops in melanocytes

what is actinic keratosis? how is it described?
-Pre-cancerous lesions
-superficial flattened erythematous papules covered by dry scales

what is seborrheic keratosis?
common benign neoplasm, brown raised lesions in sun exposed areas

1/4 of the nail plate that is covered by the proximal nail fold
nail root
E in photo

what is the cuticle of the nail?
a thick layer of epithelium

what is the Lunula of the nail?
the half moon shaped, white area at the base of the nail

what is the hard, translucent part of the nail?
nail plate

what is the function of the nail bed?
Portion of the living skin that supports the nail plate as it grows toward the free edge.

What is the free edge of the nail?
the portion of the nail that grows out away from the body

what is the hyponychium of the nail? what is the paronychial edge of the nail?
-the region beneath the free edge of the nail (tip of nail)
-the lateral folds of the nail

what is the normal capillary refill of a nail?
<2 seconds
the distal phalanx of each finger is rounded and bulbous
nail clubbing

what is painless separation of the nail from the nail bed?
onycholysis

thickened yellow hypertrophic nail growth due to fungal infection
onychomycosis

paronychia
Inflammation and infection of the proximal and lateral nail folds, becoming erythematous, swollen, and tender

what occurs when the nail turns mostly white with a brown/red band? what can it indicate?
-terry's nails
-liver disease, heart failure, diabetes

what is leukonychia? who may have it?
-White spots on the nail
-people with anemia

Transverse depressions in the nails associated with acute or severe illness
beau's lines

what conditions cause pitted nails?
-Psoriasis
-psoriatic arthritis

what is hirstuism?
-excessive hair growth
-in females with PCOS this may occur in areas where males usually grow hair: chin, face, etc.

what is alopecia areata?
spot baldness

what is Telogen effluvium?
uniform hair thinning, constant shedding of hair

what is Trichotillomania?
hair pulling disorder, associated with psych conditions

what are the functions of the integumentary system?
secretion
heat regulation
absorption
protection
excretion
sensation
true or false? the epidermis contains many blood vessels
false- the epidermis contains no blood vessels
what structures exist in the dermis?
blood vessels
nerves
muscles
sweat glands
hair follicles
sebaceous glands
which layer is made up of fat, insulates the body, and serves as a place for energy storage?
subcutaneous tissue layer
what are sebaceous glands & where are they found?
oil secreting glands
located everywhere except palms & soles
what is the function of apocrine glands & where are they found?
-located deep in subcutaneous layer & secrete into the hair follicles
-located in the genitals & armpits
#2 in photo

what is the function of eccrine glands & where are they found?
-secrete to the surface (epidermis)
-located in the dermis

______ is the pigmentation in the skin
melanin
_________ is the golden/yellow layer in the skin
carotene
what are the two types of hemoglobin?
oxyhemoglobin
deoxyhemoglobin
which type of hemoglobin is bright red in color & predominant in the arteries & capillaries?
oxyhemoglobin
which type of hemoglobin is dark/somewhat bluish in color & is indicative of cyanosis or COPD?
deoxyhemoglobin
what acronym is used to form the HPI during an exam?
OPQRST
what are some important things to ask a patient when they come in for a skin check?
-any severe sunburns
-have you traveled recently
-family hx of skin cancer
-tattoos
-previous skin history
-allergies
when performing an exam, we start at the _________ and work towards the __________
head
toes
what parts of the hands & feet must be checked?
webbing
palms/soles
nails
what scale is used to determine skin pigmentation/skin type?
Fitzpatrick Scale
what does the Fitzpatrick scale tell us?
how the skin type will react to UV light & pt risk for cancer