1/183
Looks like no tags are added yet.
Name | Mastery | Learn | Test | Matching | Spaced | Call with Kai |
|---|
No analytics yet
Send a link to your students to track their progress
location
direction of muscle fibers
relative size
number of origins
location of origin and insertion
shape
action
List two of the seven criteria listed in your lab manuel that are used to name muscles
acetylcholine
What neurotransmitter do motor neurons use to stimulate muscle cells?
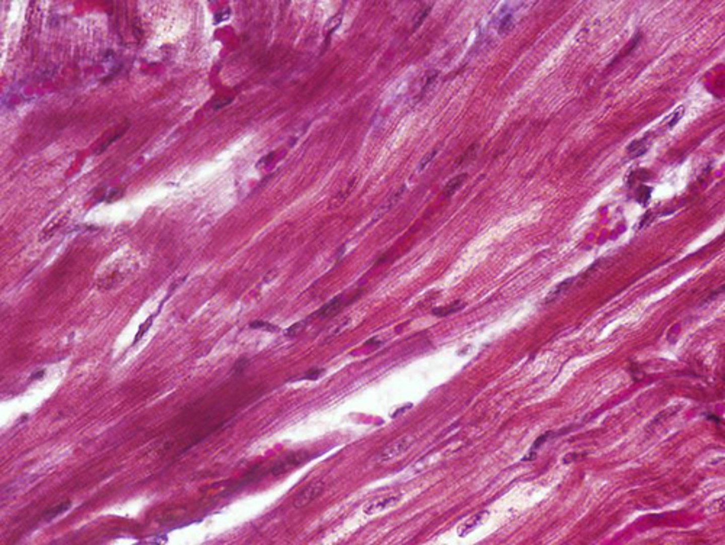
skeletal
Identify the type of muscle tissue shown

Z-disc
Identify the indicated region of the sarcomere

I-band
Identify the indicated region of the sarcomere

terminal cistern of sarcoplasmic reticulum
Identify the indicated structure

muscle fiber
Identify the indicated structure

t-tubule
A portion of the plasma membrane of a skeletal muscle indents into the cytoplasm and surrounds the bundles of muscle filaments. This structure is called:
synaptic cleft
The space between a neuron axon terminal and the target cell is called:
triad
The structure formed by two termianl cisternae of the sarcoplasmic reticulum and a transverse tubule is called:
synergists
What do we call muscles that aid the action of other muscles by reducing undesirable of unnecessary movement?
location of origin and insertion
Which of the seven criteria used for naming a muscle applies to the sternocleidomastoid muscle?
shape
Which of the seven criteria used for naming a muscle applies to the deltoid muscle?
latent period
The three phases of a muscle twitch are the contraction period, the relaxation period, and the:
sarcoplasmic reticulum
From what cellular organelle is calcium released during the latent period of a muscle twitch?
recruitment
By steadily increasing the number of motor units that are activated, we produce a steady increase in the force produced by a muscle. This process is called:
passive
What type of force is produced by the elastic recoil of a stretched muscle?
extension of the thigh at the hip
Name one action of the semitendinosus muscle
flexion of the thigh at the hip
Name one action of the rectus femoris muscle
extension of the lower leg at the knee
Name one action of the vastus medialis muscle
extension of the forearm at the elbow
Name one action of the triceps brachii muscle
skin and muscle at the corner of the mouth
Name one insertion of the zygomaticus minor muscle
greater tubercle of the humerus
Name one inserton of the infraspinatus muscle
tibial tuberosity
Name one insertion of the vastus medialis muscle
coronoid process of the ulna
Name one insertion of the brachilais muscle
ischial tuberosity
Name one origin of the semitendinosus muscle
ramus and body of the pubis
Name one origin of the gracilis muscle
sternum
Name one origin of the pectoralis major muscle
medial epicondyle of the humerus
Name one origin of the flexor carpi radialis muscle
external oblique abdominal
Idenitfy the indicated muscle

linea alba
Identify the indicated structure

epicranius frontal belly
frontalis
Identify the indicated muscle

mentalis
Identify the indicated muscle

orbicularis oculi
Identify the indicated muscle

occipitalis
epicranius occipital belly
Idenitfy the indicated muscle

stylohyoid
Identify the indicated muscle

mylohyoid
Identify the indicated muscle

external intercostals
Identify the indicated muscle

internal intercostals
Idenitfy the indicated muscle

pectoralis minor
Identify the indicated muscle

brachialis
Idenitfy the indicated muscle

teres minor
Idenitfy the indicated muscle

brachioradialis
Identify the indicated muscle

extensor digitorum
Identify the indicated muscle

extensor carpi ulnaris
Idenitfy the indicated muscle

flexor carpi radialis
Identify the indicated muscle

tensor fascia latae
Identify the indicated muscle

vastus lateralis
Identify the indicated muscle

soleus
Identify the indicated muscle

semitendinosus
Idenitfy the indicated muscle

cardiac
Identify the type of muscle tissue shown

myosin
The indicated region of the sarcomere is composed of what protein?

thick filaments
Identify the indicated region of the sarcomere

perimysium
Identify the indicated layer of connective tissue

myofilaments
Chains of proteins within the muscle cells are called:
motor unit
A single motor neuron, along with all of the muscle fibers that it innervates is called:
triad
Idenitfy the indicated structure

moveable site of attachment
Define "insertion" as it applies to skeletal muscles
location
Which of the seven criteria used for naming a muscle applies to the tibilais anterior muscle?
action and relative size
Which of the seven criteria used for naming a muscle applies to the adductor magnus muscle?
fatigue
If we require a muscle to contract until it starts to run out of ATP, what do we call the state of the muscle at that point?
latent period
What do we call the period of time between the application of a stimulus to a muscle and the first observable response or movement of the muscle?
tetany
tetanus
What phenomenon is considered an extreme form of wave summation in which a steady, sustained contraction is achieved?
closes the eyelid
Name one action of the orbicularis oculi muscle
flexion and rotation of the vertebral column
Name one action of the rectus abdominis muscle
extension of the thigh at the hip
Name one action of the semimembranosus muscle
calcaneus
Name one insertion of the gastrocnemius muscle
angle and ramus of the mandible
Name one insertion of the masseter muscle
lateral epicondyle of the humerus
Name one origin of the extensor digitorum muscle
occipital bone
Name one origin of the trapezius muscle
zygomatic bone
Name one origin of the zygomaticus minor muscle
acromion and spinous process of scapula
Name one origin of the deltoid muscle
internal oblique abdominal
Idenitfy the indicated muscle

rectus abdominis
Identify the indicated muscle

levator labii superioris
Identify the indicated muscle

corrugator supercilli
Idenitfy the indicated muscle

sternohyoid
Identify the indicated muscle

pectoralis major
Identify the indicated muscle

deltoid
Identify the indicated muscle

biceps brachii
Identify the indicated muscle

teres major
Identify the indicated muscle

palmaris longus
Identify the indicated muscle

sartorius
Identify the indicated structure

adductor magnus
Identify the indicated muscle

peroneus
fibularis longus
Identify the indicated muscle

smooth
Identify the type of muscle tissue shown

H-zone
Identify the indicated region of the sarcomere

thin filaments
Identify the indicated region of the sarcomere

epimysium
Identify the indicated layer of connective tissue

perimysium
The connective tissue sheath that forms around a bundle of skeletal muscle cells is called:
immovable site of attachment
Define "origin" as it applies to skeletal muscles
location of origin and insertion
Which of the seven criteria used for naming a muscle applies to the brachioradialis muscle?
active
What type of force is produced by the physiological contraction of a muscle rather than by elastic recoil?
contraction period
The three phases of a muscle twitch are the latent period, the relaxation period, and the:
isometric
If we place a muscle under more load than it can lift and stimulate it, what type of contraction will we produce?
flexion of the forearm at the elbow
Name one action of the biceps brachii muscle
elevation of the lateral corners of the mouth
Name one action of the zygomaticus major muscle
extension of the fingers at the metacarpal and phalangeal joints
Name one action of the extensor digitorum muscle
abduction of the arm at the shoulder
Name one action of the deltoid muscle
medial aspect of upper tibial shaft
Name one insertion of the semitendinosus muscle