1/25
Looks like no tags are added yet.
Name | Mastery | Learn | Test | Matching | Spaced | Call with Kai |
|---|
No study sessions yet.
Varför degenererar senor?
Det sker en misnkad cellaktivtet och förändrad metabolism. När vi blir äldre så förändras cellernas beteende i senorna.
Mindre celldelning och mindre kollagenproduktion sker med den stigande åldern → Senan blir svagare och mindre bra på att reparera sig själv.
Oxidativ stress, mitokondriell dysfunktion och apoptos → färre fungerande celler finns kvar i senan
Sämre underhåll av ECM → när cellerna fungerar sämre kan de inte reparera skador, upprätthålla kollagenstrukturen & hantera belastning lika bra → Senan försvagas över tid och riskerar att degenerera (åldras eller skadas).
Hur förändras senans extracellulära matrix vid degeneration?
Kollagen typ I är det starka kollagenet som senor främst består av → ger senan dragfasthet. Vid degeneration misnkar typ 1 & ökar typ 3 kollageen som är svagare och mer oorganiserat.
Andra icke-kollagena komponenter ökar såsom proteoglykaner.
Senan blir svagare och mer oorganierad.
Hur förändras kollagenets sammansättning och struktur i degenererade senor?
Kollagenfibrer hålls ihop av tvärbindningar. Normalt är dessa ordnade och ger stabilitet.
Vid degeneration blir tvärbindningarna oregelbundna.
Det kan förstärkas av glukosering (socker binder in och skadar strukturer), vilket är extra tydligt vid t.ex. diabetes.
Resultatet är att kollagenet blir stelare & mindre funktionellt.
Hur påverkar ökade glykosaminoglykaner och vatten senans egenskaper?
Glykosaminoglykaner (t.ex. hyaluronsyra) binder vatten. När deras mängd ökar → binder senan mer vatten. Det leder till:
svullnad i senan
men också sämre elasticitet, eftersom vattenrik vävnad beter sig annorlunda och inte återgår lika effektivt till sin ursprungsform.
Resultatet senan blir tjockare men mindre elastisk & mer lättaskadad
Hur bidrar mekanisk överbelastning och mikrotrauman till sensdegeneration?
När en sena belastas mer än den hinner återhämta sig uppstår små, små skador i vävnaden – mikrotrauman.
Detta sker t.ex. vid repetitiv belastning, dålig återhämtning, överträning eller felbelastning.
Med tiden börjar kollagenfibrerna brytas ned → detta kallas kollagenfragmentering.
Senans struktur blir svagare och mer oorgansierad
Hur påverkar senors begränsade blodförsörjning läkning och degeneration?
Senor har naturligt dålig blodcirkulation jämfört med många andra vävnader. Det betyder att:
syre- och näringstillförseln är låg,
läkningsprocessen är långsam,
och reparationen ofta inte blir helt fullständig.
Vad är neovaskularisering och nervinväxt vid senskada?
Vid långvarig irritation försöker kroppen reparera området genom att skapa nya små blodkärl (neovaskularisering).
tillsammans med blodkärlen växer även nerver in i senan — där det normalt sett finns få nerver.
Detta leder till mer smärtkäsnlighet, smärta vid belastning och ibland i vila. Dessa nya nervtrådar är en viktig orsak till smärtan vid tendinopatier.
Vilken roll spelar låggradig inflammation vid sensdegeneration?
Även om sen-degeneration (tendinopati) inte är en klassisk “inflammatorisk sjukdom”, kan en låggradig, kronisk inflammation ändå uppstå som en följd av skadan. Detta trots att processen inte är klassikt inflammatorisk.
Cytokiner frisätts och påverkar matrix negativt:
IL-1β
TNF-α
prostaglandiner
Dessa signalämnen:
bryter ned kollagen,
stör normal vävnadsuppbyggnad,
och bidrar till fortsatt degeneration.
Matrixomsättningen blir obalanserad, med mer nedbrytning än uppbyggnad. Kroppen fastnar i ett ond cirkel av: skada → låggradig inflammation → försämrad läkning → mer degeneration.
Vilka systemiska och livsstilsrelaterade faktorer bidrar till sensdegeneration?
Ålder → minskad mitos, blodfläde och aktivtet i cellerna → mer benägna att degenerera
Diabetes → ökad glykering: socker binder till kollagen och gör det stelare och mer sprött. Ytterligare försämras blodcirkulationen
Rökning → Rökning leder till försämrad mikrocirkulation (sämre blodflöde i små kärl). Det minskar också kollagensyntesen.
Kortikosteroridanvändning → Kortison hämmar cellproliferation, dvs. cellernas förmåga att dela sig. Det minskar även kollagenproduktion.
Hormonella förändringar → misnkade östrogennivåer ger problem då det är viktigt för kollagenmetabolsim & vävnadens elasticitet
Vilka är stegen i utvecklingen av sensdegeneration?
Mekanisk mikrotrauma: Upprepade småskador på senan från överbelastning → Tenocyter (senceller) och den extracellulära matrixen skadas → startpunkten för degenerationen.
Cellulär dysfunktion: Cellernas funktion försämras efter den upprepade belastningen.
Minst kollagen produceras.
Mer apoptos (celldöd) sker
Matrixdegeneration: ECM bryts ner snabbare än den byggs upp → : Kollagenet blir oorganiserat, fibrillerna tunnare och hållfastheten minskar → senan blir svagare och mer sårbar
Neovaskularisering & nervinväxt: Kroppen försöker reparera sig genom att bilda nya kärl, och samtidigt växer nerver in i området.
Kronisk tendinos: Kombinationen av mikrotrauma, cellskada, sämre matrix och smärta skapar en ond cirkel. Senan blir:
degenerativ
dåligt organiserad
icke-läkande
Vad är tendinit?
Tendinit innebär en akut inflammatorisk process i senan. Det är en kortvarig, aktiv inflammation som uppstår efter en plötslig överbelastning
värme, svullnad, rodnad
Orsakas av:
Akut överbelastning
Ett specifikt ”misstag” i träningen
Mikrotrauma som kroppen svarar på med inflammation
Tidsförlopp:
akut
dagar/veckor
Hur uppstår tendinit och hur ser förloppet ut?
Tendinit uppstår när senan utsätts för plötslig överbelastning som den inte hinner anpassa sig till. Mikrorupturer i kollagenfibrerna leder till att tenocyterna producerar inflammatoriska signalämnen som aktiverar immunförsvaret. Inom timmar kommer:
Neutrofiler → första försvarslinjen
Makrofager → städar bort debris och frisätter tillväxtfaktorer
Klassiska inflammationssymptom
Makrofager frisätter:
TGF-β
PDGF
Detta stimulerar fibroblaster/tenocyter att producera nytt kollagen (typ I). Senan repareras och går ofta tillbaka till normalt tillstånd om belastningen minskas i tid
Vad är tendinos?
Tendinos är kroniska, strukturella skador i senan, inte en klassisk inflammation. Det handlar om nedbrytning av kollagen, förändrad cellfunktion och oorganiserad matrix.
långvarig smärta, stelhet, nedsatt funktion – utan tydliga tecken på akut inflammation.
Orsakas av:
Långvarig upprepade belastning
Åldrande
Otillräcklig läkning
Sämre kvalitet på senans matrix över tid
Systemiska faktorer (diabetes, hormoner, rökning)
Tidsförlopp:
kronisk
veckor/månader/år
Hur skiljer sig tendinos från tendinit?
Tendinos är INTE en klassisk inflammation. I stället är det en långvarig felreglering av vävnadens uppbyggnad → destruktiv ombyggnad av senan. Den delas upp i 4 processer:
Cellulär dysfunktion
Matrixdegeneration
Neovaskularisering/nervinväxt
Låggradig sekundär inflammation som hämmar kollagensyntes & stimulerar matrixnedbrytning (bibheåller en nedbrytande miljö)
Vad innebär impingement i axeln?
Impingement innebär att mjukdelar i axeln – oftast supraspinatussenan och subakromiala bursan – kläms eller kommer i kläm under akromion när armen lyfts. Detta leder till:
smärta
irritation
inflammation i bursa (bursit)
och på sikt degeneration av senan
Vad är artros och hur uppstår sjukdomen?
Hur är normalt ledbrosk uppbyggt och vilken funktion har det?
Normalt brosk:
Kondrocyter (broskceller) håller balansen. De sköter syntes & nedbrytning av gammalt material. I ett friskt brosk är detta i jämvikt → samma mängd byggs upp som bryts ned.
Broskets matrix består av:
Kollagen typ II → ger styrka och stabilitet
Agrekan (en stor proteoglykan) → binder vatten → ger brosket sin elasticitet och ”stötdämpning”
Tillsammans gör detta brosket:
slätt
glansig
låg friktion
tåligt mot kompression
Hur förändras brosket vid artros?
Kondrocyter aktiveras av mekanisk stress, åldrande & inflammation. De frisätter katabola enzymer. Dessa är nedbrytande enzymer, t.ex.:
MMP-13 (bryter ned kollagen typ II)
ADAMTS-5 (bryter ned agrekan)
Broskets viktigaste komponenter bryts ner snabbare än de byggs upp. Cytokiner driver på nedbrytning såsom IL-1b, TNF-a & IL-6 → dessa ökar produktion MMPs ADAMTS & minskar syntesen av kollagen & nya proteoglykaner.
Minskad syntes av nya matrixkomponenter sker när kondrocyterna inte längre producera nytt kollagen typ 2 & agrekan → obalans mellan nedbrytning & uppbyggnad.
Resultatet blir:
Brosket blir tunnare & ytan blir ojämn och uppfransad
Mindre vatten och proteoglykaner → sämre stötdämpning
Benet under brosket blir reaktivt och förtjockat (subkondral skleros)
Osteofyter bildas
Inflammation i ledkapseln (synovit)
Vad är primär artros och vilka leder drabbas oftast?
Det vanligaste är att detta händer i:
höfter
knän
händer (t.ex. DIP/PIP, CMC1)
Typiska riskfaktorer
ålder
genetisk predisposition
övervikt
mekanisk belastning under livet
Vilka orsaker kan leda till sekundär artros?
Sekundär artros pga ledaskada:
Posttraumatisk artros. Vanliga orsaker:
menisk- eller korsbandsskador i knät
frakturer som engagerar leden
upprepade luxationer
broskskador
höftledens impingement (FAI)
Sekundär artors pga annan ledsjukdom:
RA/inflammatorisk sjukdom → Kronisk synovit → bryter ner brosk och ben → artrosliknande förändringar.
Blödarsjuka → Upprepade blödningar i leden → broskskada → artros.
Utvecklingsrubbningar → ex höftdysplasi så man får onormal belastning
Perthes sjukdom → Barnsjukdom med nekros av höftkulan → deformitet → predisponerar för artros senare.
Vad kännetecknar höftledsartros?
Höftleden bär en stor del av kroppsvikten → hög belastning → hög risk för degeneration. Särskilt vanligt vid:
åldrande
höftdysplasi
tidigare höftskada
FAI (femoroacetabulärt impingement)
Vad kännetecknar knäledsartros?
Den vanligaste lokalisationen för artros. Drabbar både:
insida (medial compartment)
utsida (lateral compartment)
patellofemorala leden
Riskfaktorer: övervikt, menisk-/korsbandsskada, felställningar (t.ex. hjul- eller kobenthet).
Hur yttrar sig artros i hand och fingrar?
DIP-leder → Typiska vid knutor (Heberdens knutor). Vanligt vid primär artros.
Tummmen (CMC1-leden)

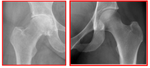
Vilka röntgenfynd är typiska vid artros?
Sänkt ledspringa → Ledspringan är avståndet mellan benen i en led. Normalt håller brosket jämt avstånd men vid artros försvinner brosket och springan minskar. Detta är det tydligaste tecknet på artros.
Osteofyter (benpålagringar) → ostefyter är små benknölar eller utskott som bildas längs ledkanterna. De bildas för att stabilisera en skadad led. Syns som utväxter längs ledens kanter.
Subkondral skleros → Förtjockning och förhårdning av benet precis under brosket (subkondralt ben). Syns som ljusare, tätare område på röntgen. När brosket inte längre dämpar stötar → mer kraft överförs direkt till benet vilket gör benet tätare och hårdare.
Subkondrala cystor → små hålrum i benet fyllda med vätska. Uppstår pga ökat tryck i leden så synoviqalvätska pressas in i benet eller mikroskopiska fraktirer.

Vilka är de kliniska kriterierna för knäledsartros?
knäledssmärta (måste finnas)
krepitationer
morgonstelhet i under 30 min
benpålagringar runt ledytorna
över 38 år
Vilka är de kliniska kriterierna för höftledsartros?
höftledssmärta
nedsatt inåtrotation, under 15 grader
smärta vid inåtrotation
morgonstelthet i under 60 min
över 50 år
höftflexion inder 115 grader → begränsad rörlighet upp mot knät