Hemolytic Anemias (Chapter 9)

0.0(0)
studied byStudied by 2 people
full-widthCall with Kai
GameKnowt Play
learnLearn
examPractice Test
spaced repetitionSpaced Repetition
heart puzzleMatch
flashcardsFlashcards
Card Sorting

1/26

encourage image

There's no tags or description

Looks like no tags are added yet.

Study Analytics
Name
Mastery
Learn
Test
Matching
Spaced

No study sessions yet.

27 Terms

1
New cards

Defects of the RBC leads to:

Premature destruction & hemolysis

2
New cards

Hemolytic anemias

Disorders associated with both: intrinsic (intracorpuscular) defects of the RBC and extrensic (extracorpuscular) abnormality

3
New cards

Intracorpuscular

Caused by defect inside the RBC

4
New cards

Extracorpuscular

Caused by factors outside the RBC

5
New cards

The most frequent tests used to reflect increased red cell destruction are:

  • Unconjugated (indirect) bilirubin

  • Serum haptoglobin (binds free Hgb in blood)

6
New cards

Coombs’ test

Establish cause of hemolysis

7
New cards

Coombs’ test - positive means:

The hemolysis is caused by the immune system (antibodies)

8
New cards

Coombs’ test - negative means:

Hemolysis is not caused by antibodies. Further divided into:

  • Smear positive

  • Smear negative/nonspecific

9
New cards

Smear-positive

Abnormal RBC morphology visible; hemolysis due to RBC membrane damage/fragmentation

10
New cards

Smear-negative/nonspecific

No clear smear findings, other causes like enzyme defects

11
New cards

Hereditary spherocytosis (HS)

Decreases amounts of spectrin, ankyrin, AE1, or protein 4.2

12
New cards

Patients with HS who test for osmotic fragility should show

Increased

13
New cards

Patients with HS who test for Glycerol lysis should show

Increased

14
New cards

Patients with HS who test for Eosin 5’Maleimide Flow Cytometry should show:

Lower fluorescence

15
New cards

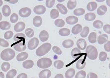
Hereditary Elliptocytosis is characterized by:

The presence of elliptical RBCs

16
New cards
<p>What disease could cause this?</p>

What disease could cause this?

Hereditary elliptocytosis

17
New cards

Southeast Asian Ovalocytosis (SAO)

Very common in Melanesian & other Southeast Asian population groups due to the protective effect toward malarial parasites

18
New cards
<p>What condition could cause this?</p>

What condition could cause this?

Southeast Asian Ovalocytosis

19
New cards

Alterations in the permeability of the RBC membrane to cations affect:

RBC hydration

20
New cards

Hereditary hydrocytosis (stomatocytosis)

RBCs are swollen

21
New cards

Hereditary Xerocytosis

RBCs are markedly dehydrated

22
New cards
<p>What condition could possibly cause this?</p>

What condition could possibly cause this?

Hereditary hydrocytosis

23
New cards
<p>What condition could possibly cause this?</p>

What condition could possibly cause this?

Hereditary xerocytosis

24
New cards

Passive sodium leak, increases the sodium & water content; causes macrocytosis is a characteristic of:

Hereditary hydrocytosis

25
New cards

The presence of stomatocytes can indicate:

Hereditary hydrocytosis

26
New cards

A smear with target cells present can possibly indicate:

Hereditary xerocytosis

27
New cards

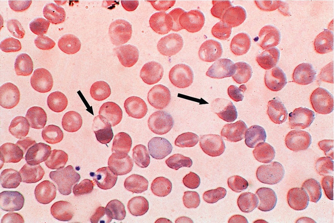
Uneven Hgb distribution (caused by Hereditary Xerocytosis)

Cells with hemoglobin concentrated in one part of the cell (puddled)