Intro to Diagnostic Imaging

0.0(0)
studied byStudied by 0 people
full-widthCall with Kai
GameKnowt Play
learnLearn
examPractice Test
spaced repetitionSpaced Repetition
heart puzzleMatch
flashcardsFlashcards
Card Sorting

1/104

encourage image

There's no tags or description

Looks like no tags are added yet.

Study Analytics
Name
Mastery
Learn
Test
Matching
Spaced

No study sessions yet.

105 Terms

1
New cards

Procedures that are guided by medical imaging

Fluoroscopy, angiography/angioplasty, stent placement, biopsies, etc

interventional radiology

2
New cards
<p>what type of view?</p>

what type of view?

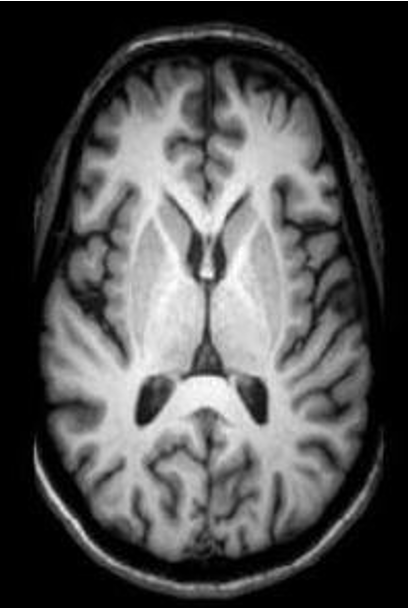
axial

3
New cards
<p>what type of view?</p>

what type of view?

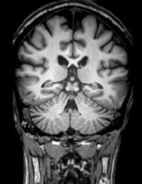
coronal

4
New cards
<p>what type of view?</p>

what type of view?

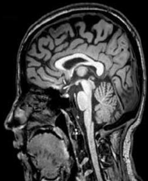
sagittal

5
New cards

Using targeted doses of high-energy radiation to kill cancer cells

radiology oncology

6
New cards

radiographs (x-ray/plain films) use what type of radiation?

ionizing

7
New cards

what is remnant radiation?

beam passes through the patient, leftover beam that makes it through the patient

8
New cards

What determines X-ray attenuation?

Tissue density

9
New cards

What captures remnant radiation?

Image receptor

10
New cards

What happens after the image receptor captures radiation?

Information is processed into a viewable image

11
New cards

what is ionizing radiation?

A type of high-energy radiation that has enough energy to remove an electron (negative particle) from an atom or molecule, causing it to become ionized

12
New cards

What is radiodensity?

Combination of physical qualities of an object that determine how much radiation it absorbs from the x-ray beam

13
New cards

in an x-ray, if there is more absorption (high radiodensity), how will the image look?

whiter

14
New cards

what primarily determines radiodensity?

Density and thickness

15
New cards

what is radiographic density?

Amount of radiation that passes through an object (blackening on radiograph)

16
New cards

Relationship between radiodensity and radiographic density?

Inverse

17
New cards

if there is greater radiodensity, there is more/less radiographic density, resulting in whiter/blacker image

less radiographic density; whiter image

18
New cards

Radiodensity categories from black to white?

  • Air (black)

  • Fat (gray-black)

  • Water (gray)

  • Bone (white)

19
New cards

X-ray color = air

black

20
New cards

X-ray color = fat

grey-black

21
New cards

X-ray color = water

grey

22
New cards

X-ray color = bone

white

23
New cards

if there is high radiographic density, and low radiodensity, how will the image look? (lighter/darker)

darker

24
New cards

Indication for radiographs after trauma?

Exclude or diagnose fractures

25
New cards

Radiographs are used to assess joint or spinal disease such as?

DJD, spondylosis, scoliosis

26
New cards

Radiographs are used to assess cardiopulmonary disease such as?

Pneumonia (chest X-ray)

27
New cards

Radiographs are used to assess surgical equipment placement such as?

Screws or pins

28
New cards

Radiographs are used to monitor what?

Healing of fractures or surgical procedures

29
New cards

Radiographs are used to screen for what conditions?

Bone tumors, breast cancer, kidney stones, foreign bodies, osteoporosis, enlarged heart

30
New cards

x-rays indicated for assessment of…

  • joint or spinal disease

  • cardiopulmonary disease

  • surgical equipment placement

  • heeling progress

31
New cards

How many radiographs are needed for proper evaluation?

At least two images, made as close to 90˚ to each other as possible, are required to view all three dimensions

32
New cards

# and orientation of images taken typically depends on?

body part

33
New cards

Common radiographic projections?

AP, lateral, oblique

34
New cards

Advantages of radiographs?

  • Fast, inexpensive, low radiation

  • excellent bone detail

  • screens many pathologies

  • helps guide next imaging study

35
New cards

Main limitation of radiographs?

show only significant bone density changes → some may not be observable until later stages (osteoporosis, avascular necrosis, stress fractures)

36
New cards

Why might some fractures still be missed even with 2 views?

bone thickness can obscure areas (e.g., tibial plateau fx)

37
New cards

what are not well-defined on an x-ray?

soft tissues

38
New cards

What does CT merge?

X-ray with computer processing

39
New cards

How does CT work?

x-ray beam and detector system rotate in an arc around patient → computer reconstructs data into an image

40
New cards

What does each CT image represent? how thick?

Axial cross-sectional slice 0.2-1.5 cm thick

41
New cards

Why are multiple CT slices viewed together?

To evaluate dimensions of a structure

42
New cards

What do newer CT technologies allow?

Multiplanar (sagittal, coronal) and 3D images

43
New cards

what are the 3D images from a CT scan called?

reformations

44
New cards

Modality of choice for neuroimaging in acute/trauma settings?

CT scan

45
New cards

CT primarily for the evaluation of…

  • Loose bodies within a joint

  • Degenerative changes within the spine

  • Spinal stenosis, exp if combined with myelogram

  • Soft tissue processes like cellulitis or abscesses

46
New cards

indications for CT scan

High-risk trauma patients (initial examination) at thorax, abdomen, and pelvis (TAP) → assess for life threatening injuries

Identification of subtle and/or complex fractures

47
New cards

what types of fractures are best for CT scan?

Subtle or complex

48
New cards

Advantages of CT?

  • Detailed anatomy/pathologic processes

  • faster than MRI/US

  • cheaper than MRI

  • better for claustrophobic patients

49
New cards

Main disadvantage of CT?

  • Higher radiation dose

  • less soft tissue contrast than MRI

  • Patient movement or metal implants can produce artifacts

50
New cards

What happens to radiation that passes through the patient?

It is collected to make an image

51
New cards

What is effective radiation dose? measured in?

Amount of radiation absorbed by patient

millisieverts (mSv)

52
New cards

What principle guides radiation safety in imaging? its purpose?

ALARA (As Low As Reasonably Achievable)

Every effort is made to decrease radiation risk

53
New cards

how can you tell T1 and T2 weighted images apart?

T2 = find a structure that has a lot of water in it, see if its the lightest/whites thing in the picture

54
New cards

what imaging technique is used in MRI?

cross-sectional

55
New cards

What does MRI use to generate signals?

magnet orients protons in a specific direction, radio frequency shifts them away from magnet

realignment of protons releases energy, which the MRI measures

56
New cards

what does MRI stand for

magnetic resonance imaging

57
New cards

how does MRI work?

  1. magnetic field is used to align hydrogen protons

  2. radio frequency waves are absorbed by protons and then emitted as a signal

  3. a radio frequenting coil picks up the signal and transmits it to the computer

  4. computer processes the data and an image is generated

58
New cards

Why do tissues appear different on MRI?

resonate at different radiofrequencies

59
New cards

MRI signal intensities of tissues differ based on ____

composition

60
New cards

What does MRI sequence mean?

timing of the radiofrequency pulse and the capturing of the energy signal

61
New cards

Why are multiple MRI sequences used?

compare how the tissue appears in different sequences to help with diagnosis

62
New cards

Most common MRI sequences?

T1 and T2 weighted

63
New cards

What does MRI T1 sequence show best?

resolution of anatomy

64
New cards

What does MRI T2 sequence show best?

Signal from water is brightest

65
New cards

what MRI weighted sequence is most valuable for identifying pathology that has a component of inflammation/edema?

T2

66
New cards

what is hypo-intensity on an MRI?

less bright than surrounding structures

67
New cards

What contrast medium is commonly used in MRI?

Gadolinium

68
New cards

why would a contrast medium be needed in an MRI?

Improved resolution in tissues when evaluating blood vessels, possible tumor, infection, or inflammation

69
New cards

MRI indications

  • Soft tissue injuries, especially to ligaments and tendons

  • Diagnosis of bone tumors, stress fractures, osteomyelitis, and avascular necrosis

  • Evaluation of intervertebral disc pathology

70
New cards

why is MRI indicated for looking at bone?

Can be revealed in the early stages due to sensitivity of MRI to detect bone marrow changes

71
New cards

MRI contraindications

  • Cardiac pacemakers

  • Ferromagnetic aneurysm clips

  • Metal foreign bodies in eyes/orbit

  • Cochlear implants

  • 1st trimester pregnancy

72
New cards

main advantages of MRI

  • Excellent resolutions of all soft tissues

  • No ionizing radiation

73
New cards

main disadvantages of MRI

  • Poor for imaging bone (due to limited water content)

  • Is expensive, time consuming

  • Claustrophobia is an issue

74
New cards

Nuclear medicine procedure using radioactive tracer to diagnose the severity of a variety of bone diseases and conditions

Skeletal Scintigraphy (Bone Scan)

75
New cards

bone scan primarily looks at what bones diseases and conditions?

fractures, infection, and cancer (esp. metastasis)

76
New cards

how does bone scan work?

radioactive tracer adheres to metabolically active bone (hot spots)

77
New cards

Bone scans being replaced by _____ as they may be more sensitive and specific

PET scans

78
New cards

Enhanced form of a radiograph that is used to measure bone loss and bone mineral density

Gold standard for diagnosing osteoporosis

Dual Energy X-ray Absorptiometry (DEXA or DXA)

79
New cards

how does DXA machine work?

sends x-rays with two distinct energy peaks through the bones being examined

soft tissue amount can be subtracted from the total and what remains is a patient's bone mineral density

80
New cards

in DXA machine, what are the energy peaks absorbed by?

one by soft tissue, other by bone

81
New cards

Cross sectional imaging technique based on the reflection of sound waves off tissue interfaces

diagnostic MSK ultrasound

82
New cards

diagnosis MSK US indications

  • Soft tissue pathology, particularly in sports injuries including tendon and muscle tears

  • Evaluation of fluid collection, including cysts, bursas, synovitis, infections, inflammation

  • Assessment of articular cartilage

  • Evaluation of nerves for inflammation or entrapment

83
New cards

advantages of MSK US

  • Low cost, portable

  • image soft tissue in the presence of hardware

  • Easy to compare to opposite side of body

  • Able to include dynamic movements and/or stress tissues

84
New cards

disadvantages of MSK US

  • Operator dependent → need STRONG anatomy knowledge

  • US does not penetrate bone, cannot see some intra-articular ligaments

  • Time consuming

  • Can be difficult to image patients who are obese

85
New cards

ABCs of radiologic analysis

A: Alignment

B: Bone Density

C: Cartilage Spaces

S: Soft Tissues

86
New cards

what is the purpose of search patterns in radiography?

methodology for looking at an image in an organized fashion

Helps to ensure that everything possible to observe has been visually accounted for

87
New cards

ABCS: alignment evaluates?

  • skeletal architecture

  • contour of bone

  • bones to adjacent bones

88
New cards

ABCS: bone density evaluates?

  • textural abnormalities

  • local bone density changes

89
New cards

ABCS: cartilage spaces evaluates?

  • joint space width

  • subchondral

  • epiphyseal plates

90
New cards

ABCS: soft tissues evaluates?

  • muscles

  • fat pads, fat lines

  • joint capsules

  • periosteum

  • misc. findings

91
New cards

open mouth films look at?

C1/C2 instability

92
New cards

flexion/extension films look at?

Atlantodental interface >3mm indicates instability (C1/C2 subluxation)

93
New cards

search pattern for MRI (ABCDS)

A = alignment of anatomy

B = bone signal

C = cartilage

D = edema

S = soft tissues and synovial tissue

94
New cards

MRI ABCDS: bone signal looks at?

altered signal in bone MARROW. Can also assess for tumors, cysts, or avascular bone

95
New cards

MRI ABCDS: alignment of anatomy looks at?

Assess the alignment and continuity of ligaments, nerve, and muscles

96
New cards

MRI ABCDS: cartilage looks at?

Assess for osteochondral or articular cartilage abnormalities or tears (e.g. labral, meniscus, TFC)

97
New cards

MRI ABCDS: edema looks at?

”footprint” of injury.

On T2 images, look for edema due to inflammation

98
New cards

what are the 4 validated clinical decision rules?

  • Ottawa Ankle Rules

  • Ottawa Knee Rules

  • Pittsburgh Rules for Knee Trauma

  • Canadian C-spine Rule

99
New cards

purpose of clinical decision rules in radiology

  • Standardize care among first-contact providers

  • Reduce unnecessary radiologic imaging

  • Identify injuries that should be evaluated by radiograph

100
New cards

Pittsburgh Rules for Knee Trauma

blunt trauma or fall mechanism of injury AND

  • age under 12 or over 50 AND/OR

  • inability to walk 4 WB steps in the ED