1/16
Looks like no tags are added yet.
Name | Mastery | Learn | Test | Matching | Spaced | Call with Kai |
|---|
No analytics yet
Send a link to your students to track their progress
areolar
connective tissue proper; loose connective tissue.
widely distributed under epithelia of body i.e. forma lamina propria of mucous membranes; packages organs; surrounds capillaries.

adipose
connective tissue proper; loose connective tissue. under skin in subcutaneous tissue; around kidneys and eyeballs; within abdomen; in breasts.

reticular
connective tissue proper; loose connective tissue. lymphoid organs (lymph nodes, bone marrow and spleen)

dense regular
connective tissue proper; dense connective tissue. tendons, most ligaments, aponeuroses.

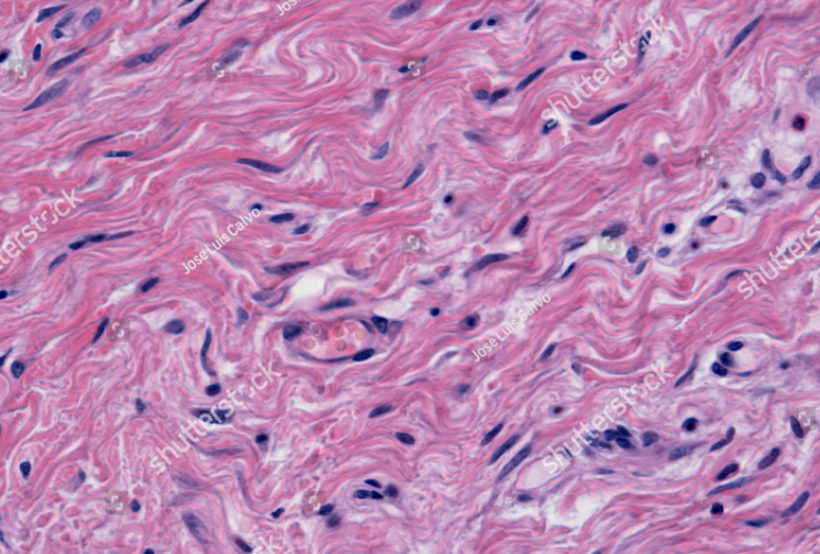
dense irregular
connective tissue proper; dense connective tissue. fibrous capsules of organs and of joints; dermis of the skin; submucosa of digestive tract

elastic
connective tissue proper; dense connective tissue. walls of large arteries; within certain ligaments associated with the vertebral column; within the walls of the bronchial tubes.

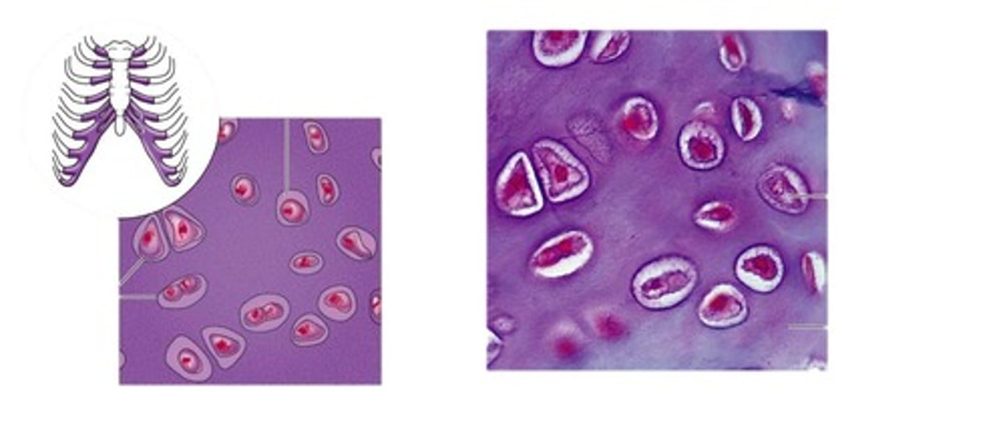
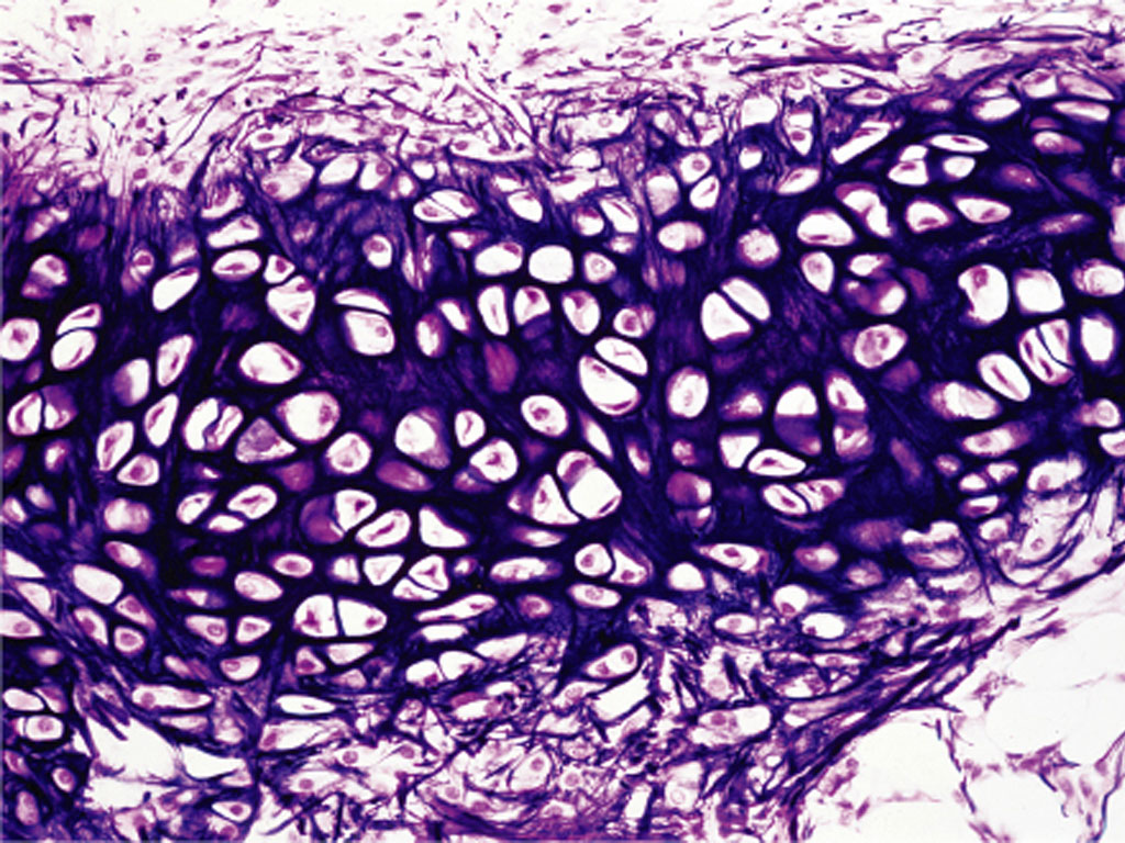
hyaline cartilage
cartilage; forms most of the embryonic skeleton; covers the ends of long bones in joint cavities; forms costal cartilages of the ribs; cartilages of the nose, trachea, and larynx.

elastic cartilage
cartilage; supports the external ear (pinna); epiglottis

skeletal muscle
in skeletal muscles attached to bones or occasionally to skin

cardiac muscle
the walls of the heart

smooth muscle
mostly in the walls of hollow organs (intestines)

nervous tissue
brain, spinal cord, and nerves

fibrocartilage
intervertebral discs; pubic symphysis; discs of knee joint

osseous tissue
bone;

blood
connective tissue; contained with blood vessels

Nonciliated Simple Columnar
epithelium; lines most of the digestive tract (stomach to anal canal), gallbladder, and excretory ducts of some glands; functions in secretion of mucus and enzymes and absorption.
Simple Ciliated Columnar