1/24
Looks like no tags are added yet.
Name | Mastery | Learn | Test | Matching | Spaced | Call with Kai |
|---|
No study sessions yet.
Which of the following is considered a standard radiographic projection of the shoulder?
anterior posterior with external rotation
3 multiple choice options
Which structure is highlighted by the yellow arrow in this AP view of the shoulder with internal rotation?
lesser tuberosity
3 multiple choice options

Which structure is labeled letter "D" in the image?
coracoid process
3 multiple choice options

Which accurately describes the plane of this MRI of the shoulder?
axial
3 multiple choice options

Which of the following clinical test is useful to determine whether someone needs elbow radiography as discussed in the lecture?
range of motion
3 multiple choice options
What is highlighted by the yellow arrow in the image of the elbow?
growth plate of the radius
3 multiple choice options

Which structure is highlighted by the star?
scaphoid
3 multiple choice options

A lateral view radiograph of the wrist is particularly useful for viewing the _____
lunate
3 multiple choice options
which of the following is a lateral border of the anatomical snuff box?
abductor pollicis longues tendon
3 multiple choice options
which of the following is a medial border of the anatomical snuffbox?
extensor pollicis longus tendon
3 multiple choice options
you will like to assess for scapholunate ligament instability. which of the following tests will be appropriate?
Watson's instability test
3 multiple choice options
which of the following tests is used to assess the lunotriquetral ligament?
Ballottement test
3 multiple choice options
which of the following tests is used to assess the ulnar collateral ligament of the thumb?
1st MCP stress test
3 multiple choice options
which of the following tests assesses the radioulnar ligament?
radioulnar integrity test
3 multiple choice options
your 38 year old patient presents with left dorsoradial wrist pain after falling on an outstretched hand and aggravated by weight lifting, at worst a 8/10. they have a 50% limitation of wrist flexion, extension, and radioulnar deviation. after performing a subjective and objective exam, you are suspicious of a scaphoid fracture. should the clinician refer the patient to be seen by an appropriate health care provider for imaging of the wrist?
yes
1 multiple choice option
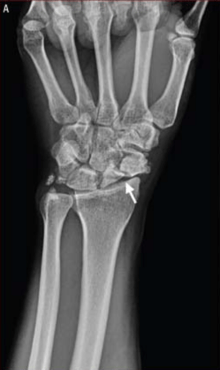
what radiograph view is this figure?
posteroanterior
3 multiple choice options

what does the white arrow in the radiograph in this image indicate?
non-union scaphoid fracture
3 multiple choice options

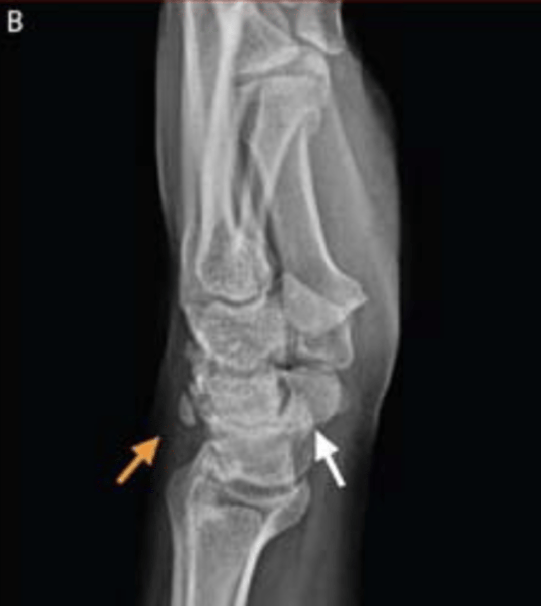
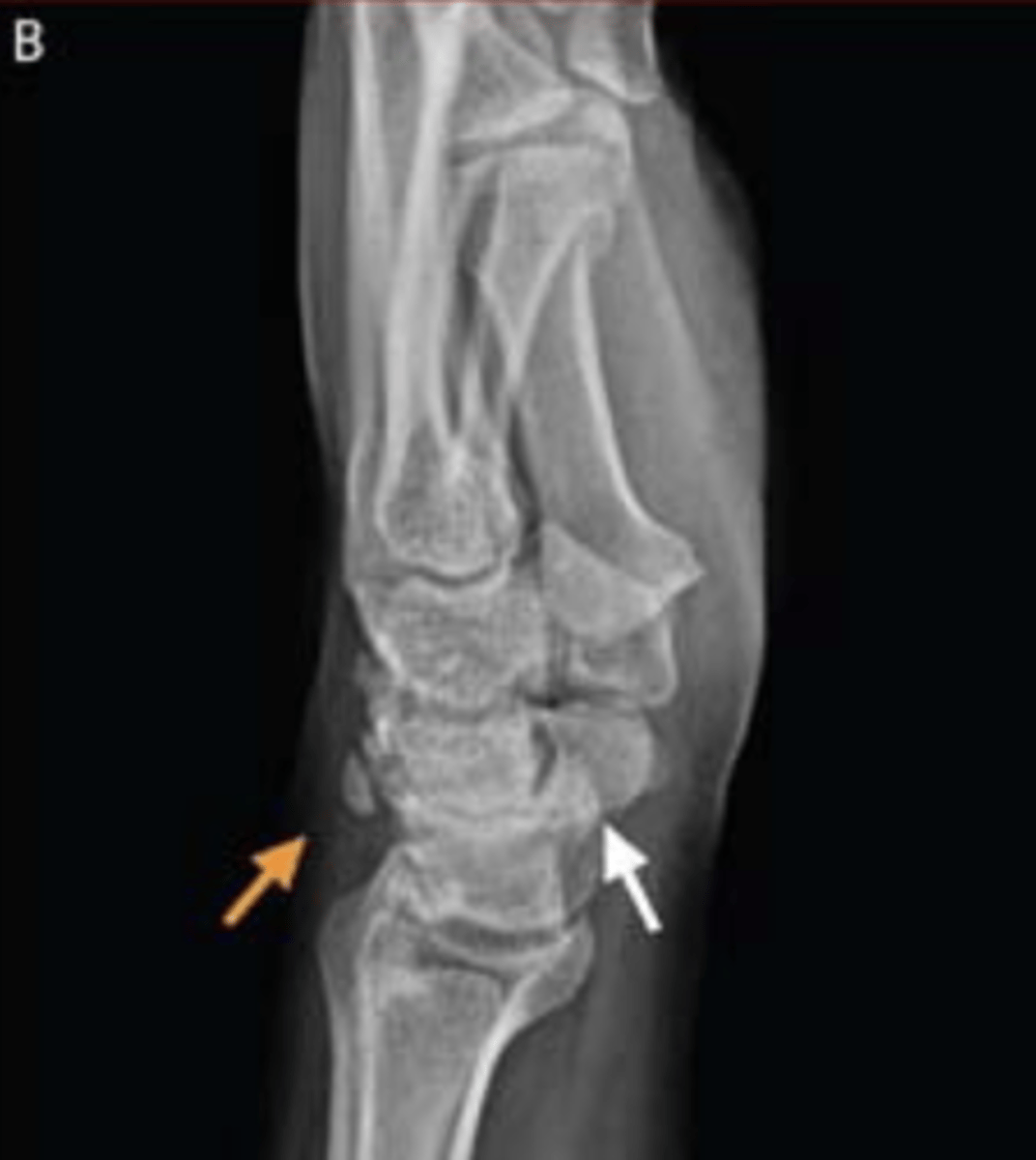
what radiograph view is this?
lateral
3 multiple choice options

what does the orange arrow in this radiograph indicate?
remote triquetral fracture
3 multiple choice options

what is the recommended length of immobilization for scaphoid fractures?
6-12 weeks
3 multiple choice options
which type of imaging is typically recommended to visualize a rotator cuff tear?
MRI
3 multiple choice options
with shoulder dislocation, a glenoid labrum injury can occur. which imaging modality would best evaluate for this pathology?
MRI
3 multiple choice options
which type of imaging is typically used to examine for inflammatory arthritis?
MRI
3 multiple choice options
what is the name of this view of the shoulder?
axillary
3 multiple choice options

which structure of the shoulder is highlighted by the blue line in the image?
clavicle
3 multiple choice options
