1/7
Looks like no tags are added yet.
Name | Mastery | Learn | Test | Matching | Spaced | Call with Kai |
|---|
No study sessions yet.
duplication
part of a chromosome is copied

deletion
part of a chromosome is lost

inversion
part of a chromosome is flipped backwards

translocation
part of a chromosome is attached to a non-homologous chromosome

Trisomy 21
condition in which an individual has three number 21 chromosomes, resulting in Down syndrome

Trisomy 18
condition when an individual has three number 18 chromosomes, resulting in Edwards syndrome

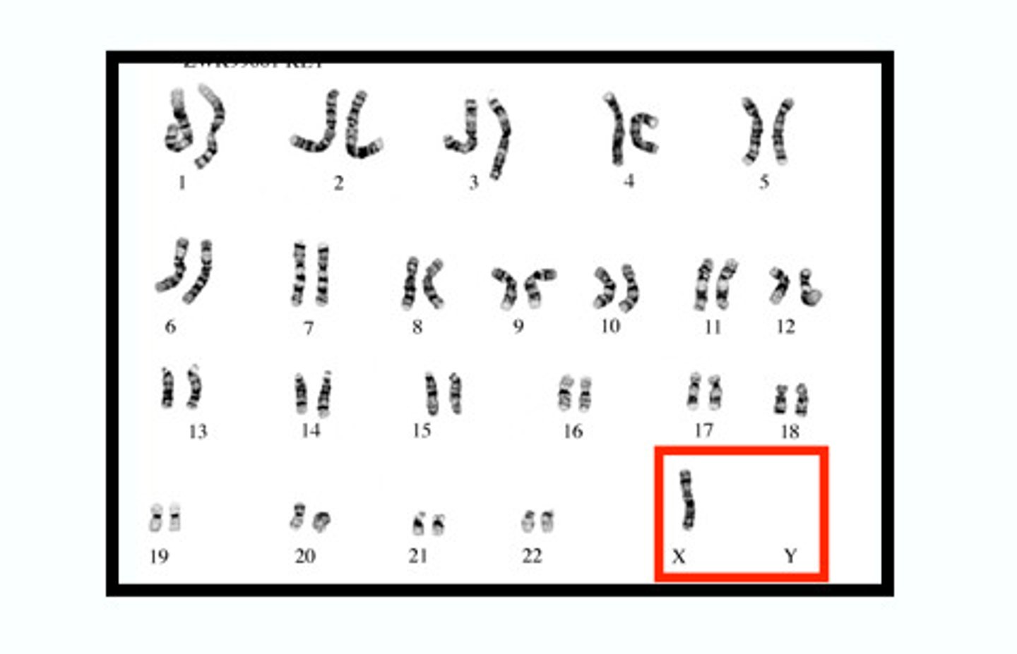
Monosomy X (Turner Syndrome)
produces X0 females, who are sterile; it is the only known viable monosomy in humans

Klinefelter syndrome
A chromosomal disorder in which males have an extra X chromosome, making them XXY instead of XY.
