Lungs Part 1 (E1)

0.0(0)
studied byStudied by 0 people
full-widthCall with Kai
GameKnowt Play
learnLearn
examPractice Test
spaced repetitionSpaced Repetition
heart puzzleMatch
flashcardsFlashcards
Card Sorting

1/42

encourage image

There's no tags or description

Looks like no tags are added yet.

Study Analytics
Name
Mastery
Learn
Test
Matching
Spaced

No study sessions yet.

43 Terms

1
New cards

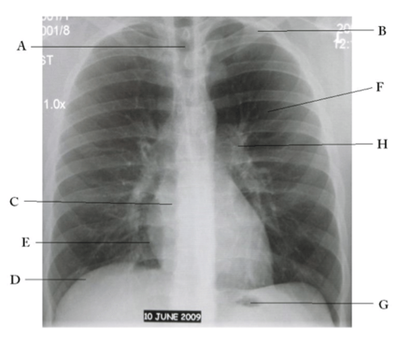
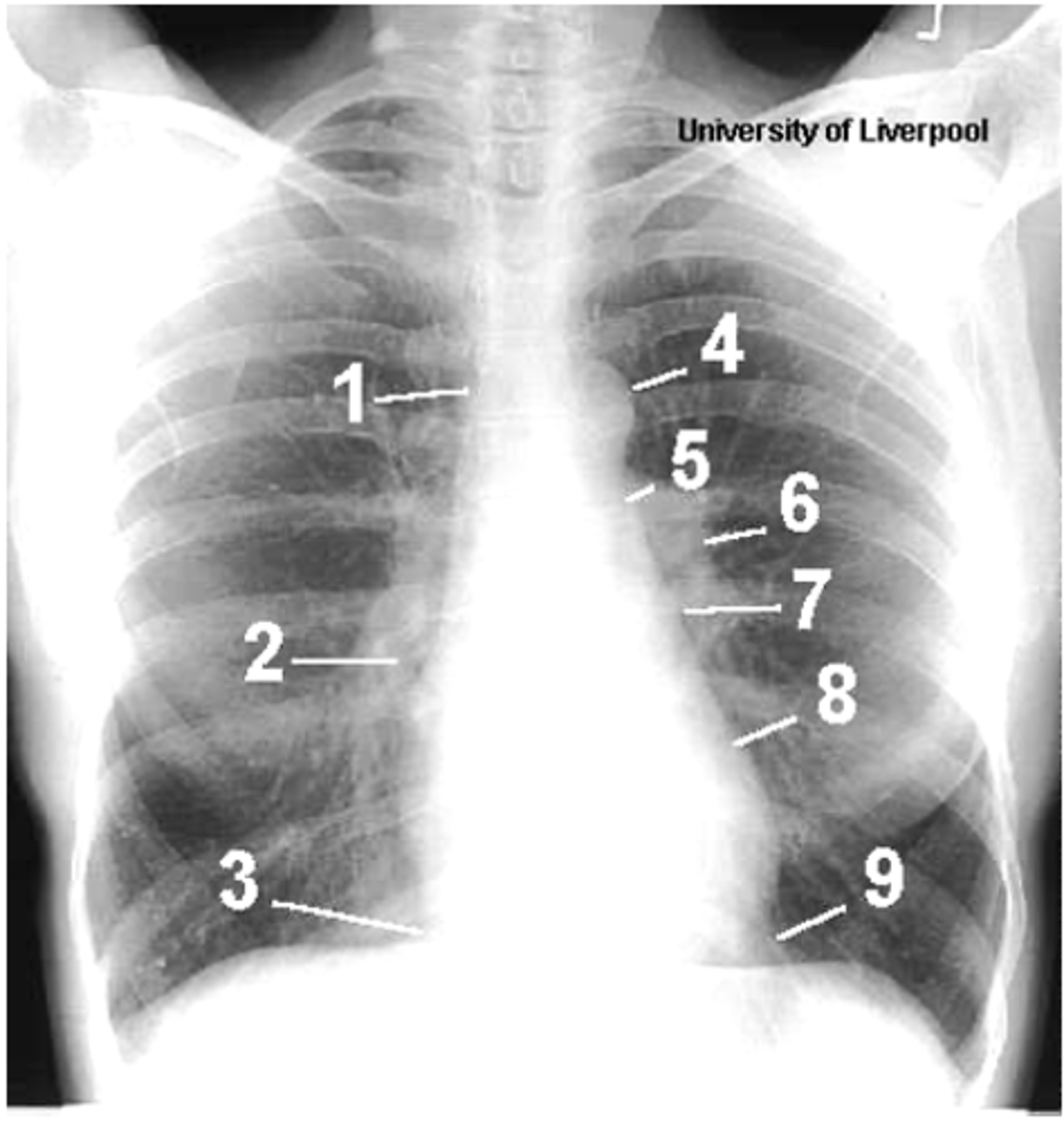
ID structures

1- superior vena cava

2- right atrium

3- inferior vena cava

4- aortic arch or knob

5- left pulmonary trunk

6- left pulmonary artery

7- left atrium

8- left ventricle

9- left cardiophrenic angle

<p>1- superior vena cava</p><p>2- right atrium</p><p>3- inferior vena cava</p><p>4- aortic arch or knob</p><p>5- left pulmonary trunk</p><p>6- left pulmonary artery</p><p>7- left atrium</p><p>8- left ventricle</p><p>9- left cardiophrenic angle</p>
2
New cards

ID structures

oA - Trachea

oB - Clavicle

oC - Right Atrium

oD - Diaphragm

oE - Cardiophrenic angle (Costocardio)

oF - Left upper lobe

oG - Gastric Bubble

oH - Left Hilum

<p>oA - Trachea</p><p>oB - Clavicle</p><p>oC - Right Atrium</p><p>oD - Diaphragm</p><p>oE - Cardiophrenic angle (Costocardio)</p><p>oF - Left upper lobe</p><p>oG - Gastric Bubble</p><p>oH - Left Hilum</p>
3
New cards

Define interstitial

tissue outside of the alveoli are affected. (diffuse)

<p>tissue outside of the alveoli are affected. (diffuse)</p>
4
New cards

Define alveolar

o alveolar spaces are filled with some material such as blood, pus, fluid or cells (tends to be localized)

5
New cards

In a normal lung, what will bronchogram show?

Both the bronchi and the surrounding alveoli are filled with air, making the bronchi invisible on an X-ray.

6
New cards

What pathological processes can cause infiltrates?

- non specific....but CHF, pulmonary fibrosis, collagen vascular diseases, etc.

<p>- non specific....but CHF, pulmonary fibrosis, collagen vascular diseases, etc.</p>
7
New cards

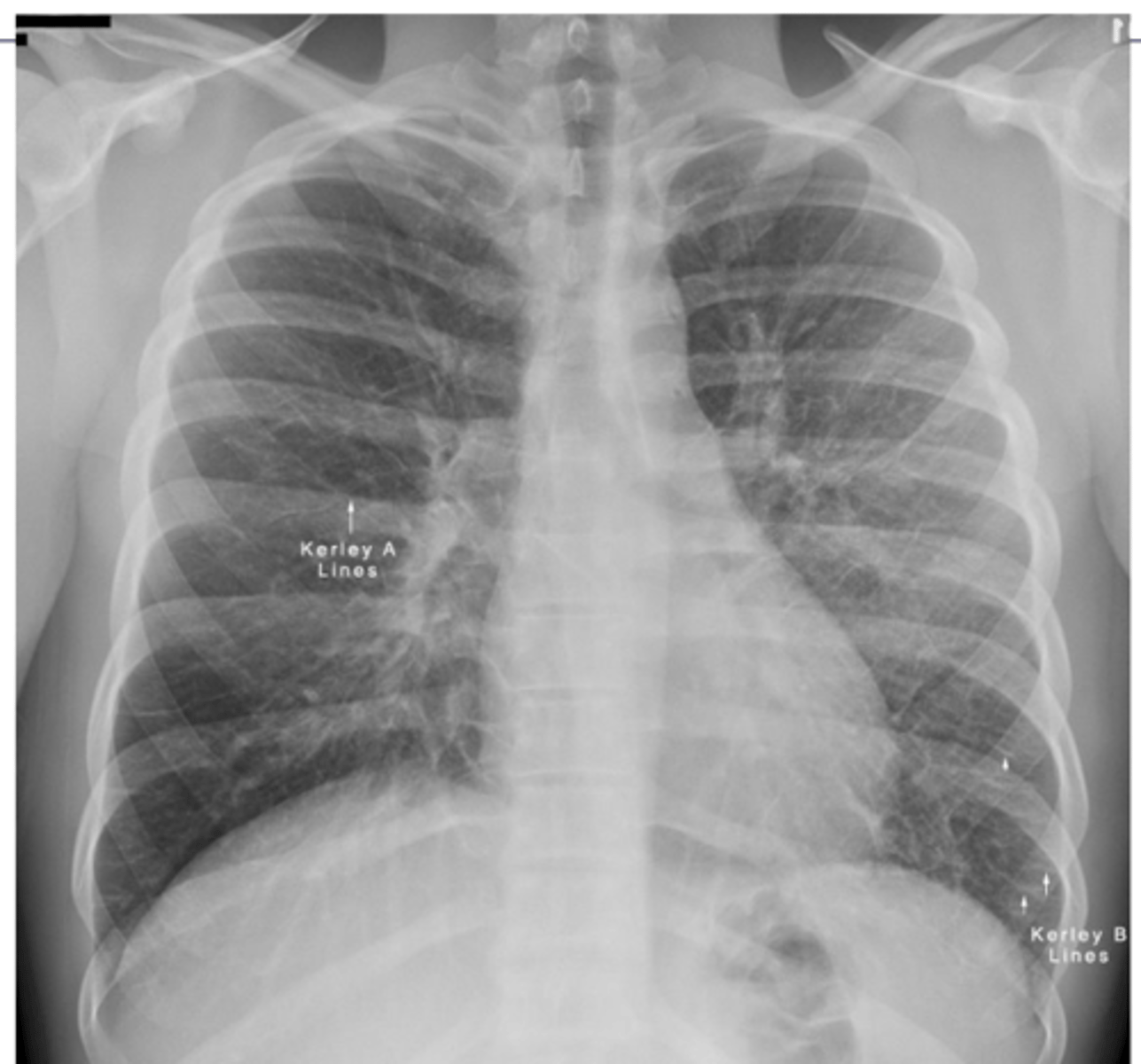
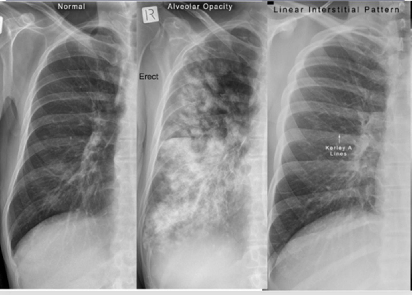
What are kerley A and B lines?

•Kerley A lines are linear opacities extending from the periphery to the hila caused by distention between peripheral and central lymphatics

•Kerley B lines are small, horizontal, peripheral straight lines demonstrated at the lung bases that represent thickened interlobular septa on CXR.

<p>•Kerley A lines are linear opacities extending from the periphery to the hila caused by distention between peripheral and central lymphatics</p><p>•Kerley B lines are small, horizontal, peripheral straight lines demonstrated at the lung bases that represent thickened interlobular septa on CXR.</p>
8
New cards

What does alveolar infiltrate look like?

alveolar infiltrate - looks "fluffy

<p>alveolar infiltrate - looks "fluffy</p>
9
New cards

Dx middle

lung fibrosis

<p>lung fibrosis</p>
10
New cards

What does an air bronchogram sign look like? What causes the abnormal appearance?

Alveoli are white but bronchi remain dark creating a visible pattern

<p>Alveoli are white but bronchi remain dark creating a visible pattern</p>
11
New cards

What dz would have an air bronchogram sign?

Pneumonia.

The infection causes the alveoli to fill with fluid.

<p>Pneumonia.</p><p>The infection causes the alveoli to fill with fluid.</p>
12
New cards

What do interstitial infiltrates look like and what are some causes? IS this sign specific or non specific?

caused by acute and chronic disease processes that affect the tissue outside of the alveoli.

Interstitial processes are usually diffuse & are seen as thin white lines. May appear honeycombed (reticular)

Interstitial infiltrates are nonspecific as they can be caused by many processes such as CHF, pulmonary fibrosis, collagen vascular diseases, etc.

<p>caused by acute and chronic disease processes that affect the tissue outside of the alveoli.</p><p>Interstitial processes are usually diffuse &amp; are seen as thin white lines. May appear honeycombed (reticular)</p><p>Interstitial infiltrates are nonspecific as they can be caused by many processes such as CHF, pulmonary fibrosis, collagen vascular diseases, etc.</p>
13
New cards

What are linear interstitial infiltrates also called? What is this sign commonly associated with?

Kerley lines --> interstitial pulm edema

<p>Kerley lines --&gt; interstitial pulm edema</p>
14
New cards

What is reticular opacity? What is this difference between fine and coarse?

Coarse - greatest width of opacity (fine on L and coarse on R)

<p>Coarse - greatest width of opacity (fine on L and coarse on R)</p>
15
New cards

Describe nodular pattern interstitial infiltrate

Nodular

A nodular pattern consists of multiple round opacities, generally ranging in diameter from 1 mm to 1 cm

<p>Nodular</p><p>A nodular pattern consists of multiple round opacities, generally ranging in diameter from 1 mm to 1 cm</p>
16
New cards

What 2 patterns can community acquired pneumonia appear as? Typical patterns of bacterial, viral, mycoplasma and conolidation

Alveolar or interstitial

oBacterial – usually alveolar and focal

oViral and mycoplasma– usually interstitial and diffuse

oA consolidation = severe alveolar infiltrate

17
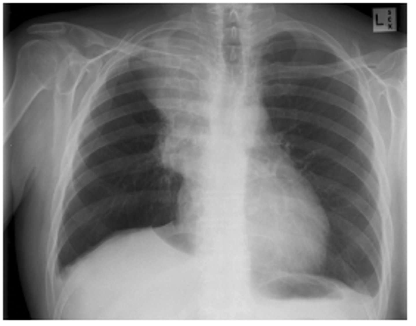
New cards

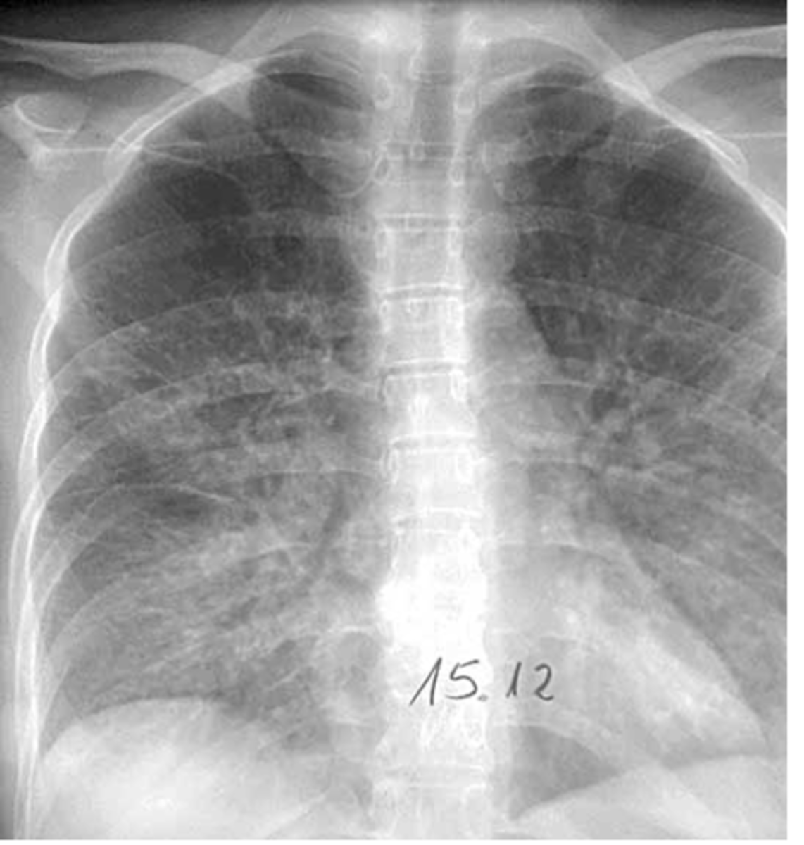
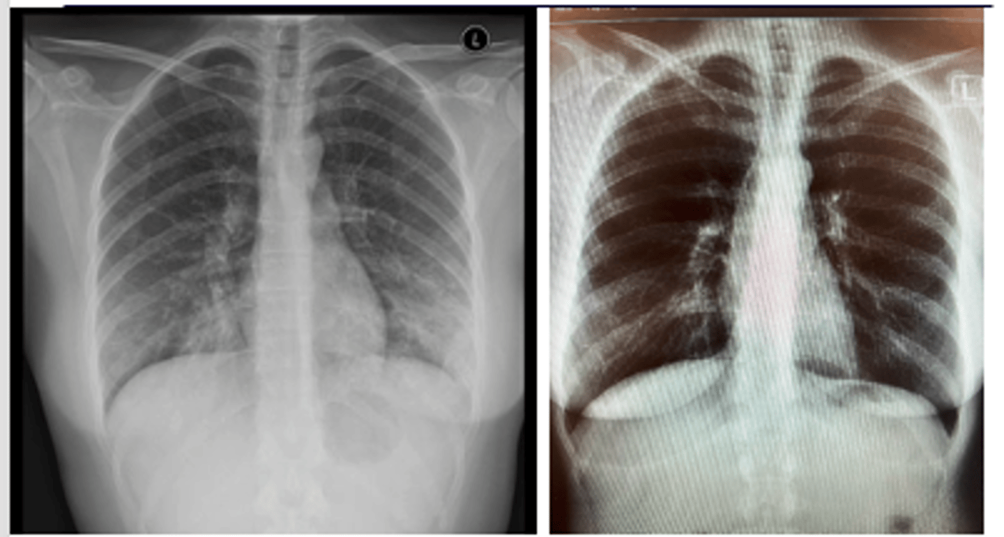
ID picture on back

LLL pneumonia

<p>LLL pneumonia</p>
18
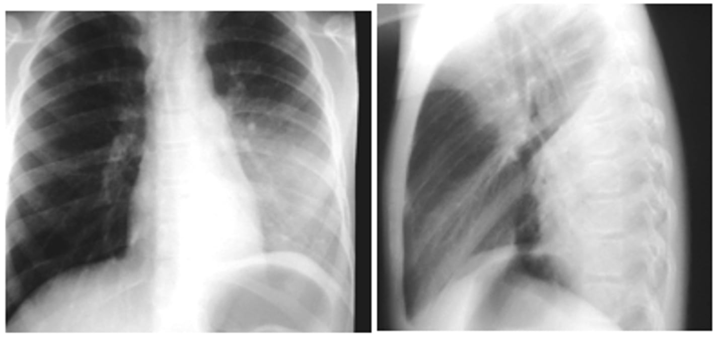
New cards

ID picture on back

RUL pneumonia with air bronchogram sign

<p>RUL pneumonia with air bronchogram sign</p>
19
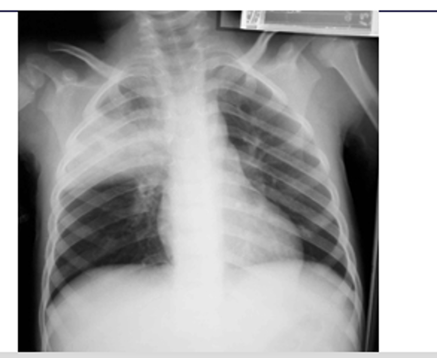
New cards

What is the silhouette sign? What does it help determine?

oHelps determine the location of an abnormality in comparison to normal anatomy.

oLoss of a normal border and contour occurs if there is an abnormality contiguous with that structure (next to)

EX: if the R cardiac border is obscured, then the infiltrate must be in the medial segment of the R middle lobe.

(pic also has spine sign)

<p>oHelps determine the location of an abnormality in comparison to normal anatomy.</p><p>oLoss of a normal border and contour occurs if there is an abnormality contiguous with that structure (next to)</p><p>EX: if the R cardiac border is obscured, then the infiltrate must be in the medial segment of the R middle lobe.</p><p>(pic also has spine sign)</p>
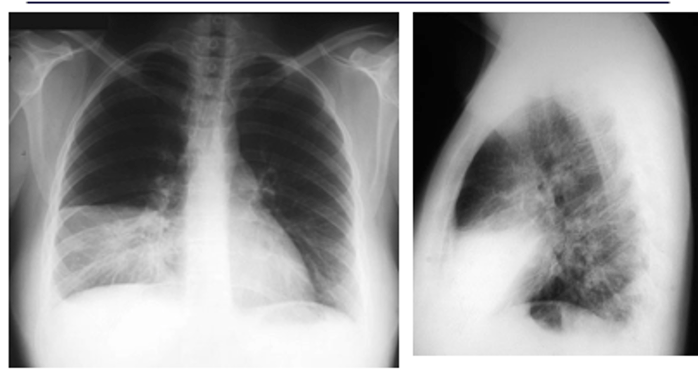
20
New cards

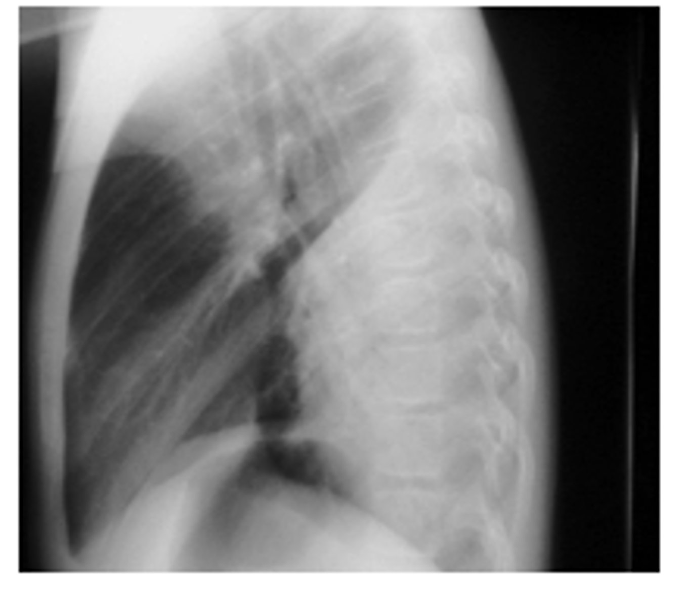
ID sign on back and finding

RML pneumonia obscuring the cardiac border but not the R hemidiaphragm. Note the triangular density on the lateral view.

<p>RML pneumonia obscuring the cardiac border but not the R hemidiaphragm. Note the triangular density on the lateral view.</p>
21
New cards

What is spine sign?

oSpine sign = vertebral bodies are lighter (white) than normal

<p>oSpine sign = vertebral bodies are lighter (white) than normal</p>
22
New cards

What x-ray findings indicate atypical pneumonias caused by mycoplasma, viruses or pneumocystis? Most common pathogen

Pneumonias that are interstitial and symmetrically diffuse in both lungs

Path: mycoplasma

<p>Pneumonias that are interstitial and symmetrically diffuse in both lungs</p><p>Path: mycoplasma</p>
23
New cards

What x-ray finding is indicative of CAP and is more common in children than adults? What can this be mistaken for?

Round pattern

oCan simulate a mass lesion such as a neoplasm.

<p>Round pattern</p><p>oCan simulate a mass lesion such as a neoplasm.</p>
24
New cards

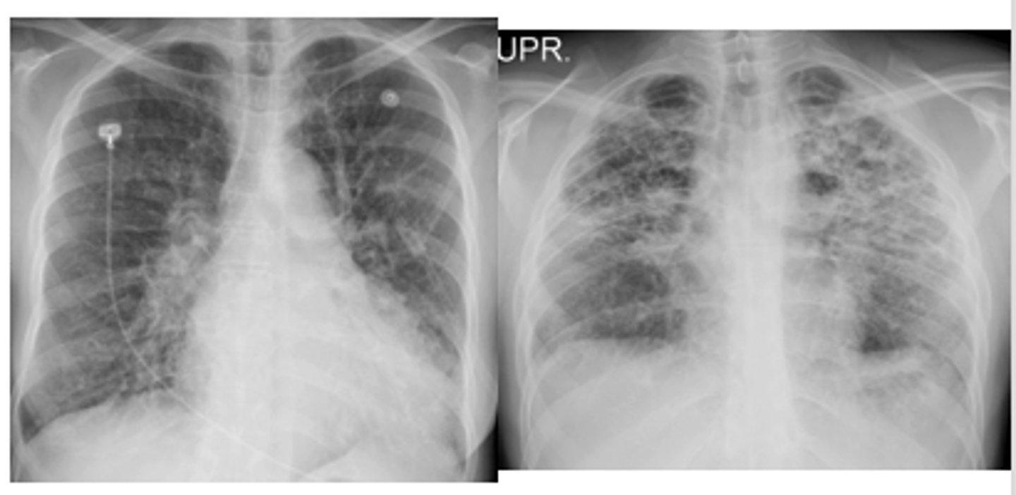
What type of pneumonia is commonly find in immunocompromised pts? How will the x-ray pattern evolve with dz progression?

oPneumocystis jiroveci pneumonia (PJP) evolves from a normal CXR to an interstitial pattern (diffuse) to an alveolar pattern (localized).

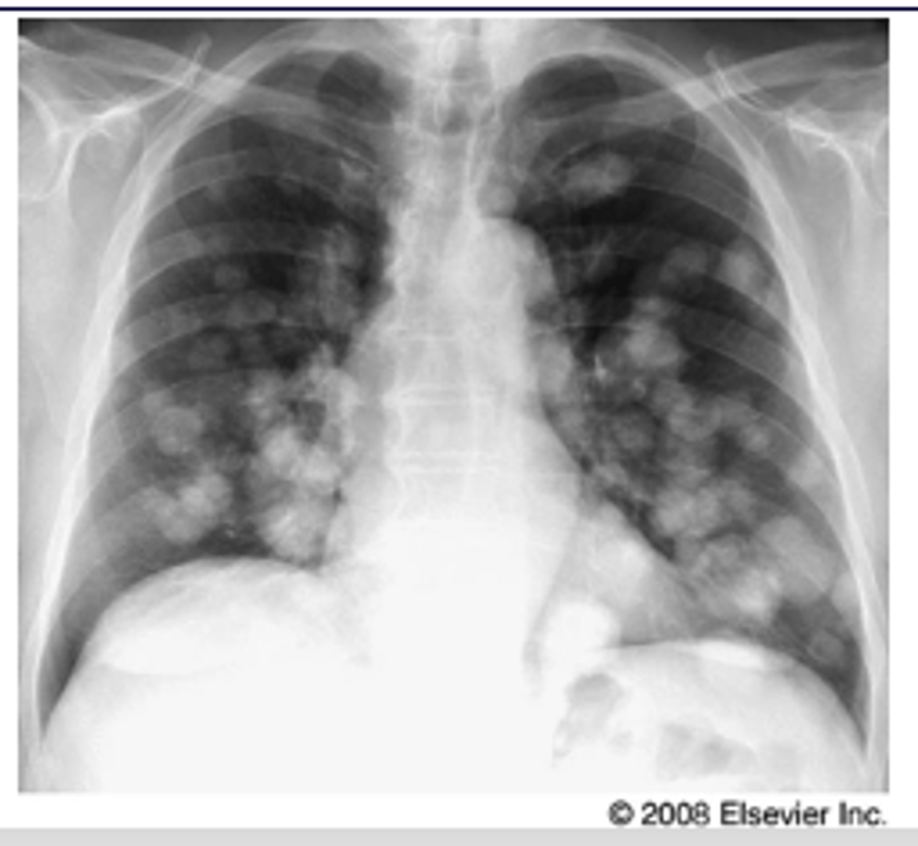
25
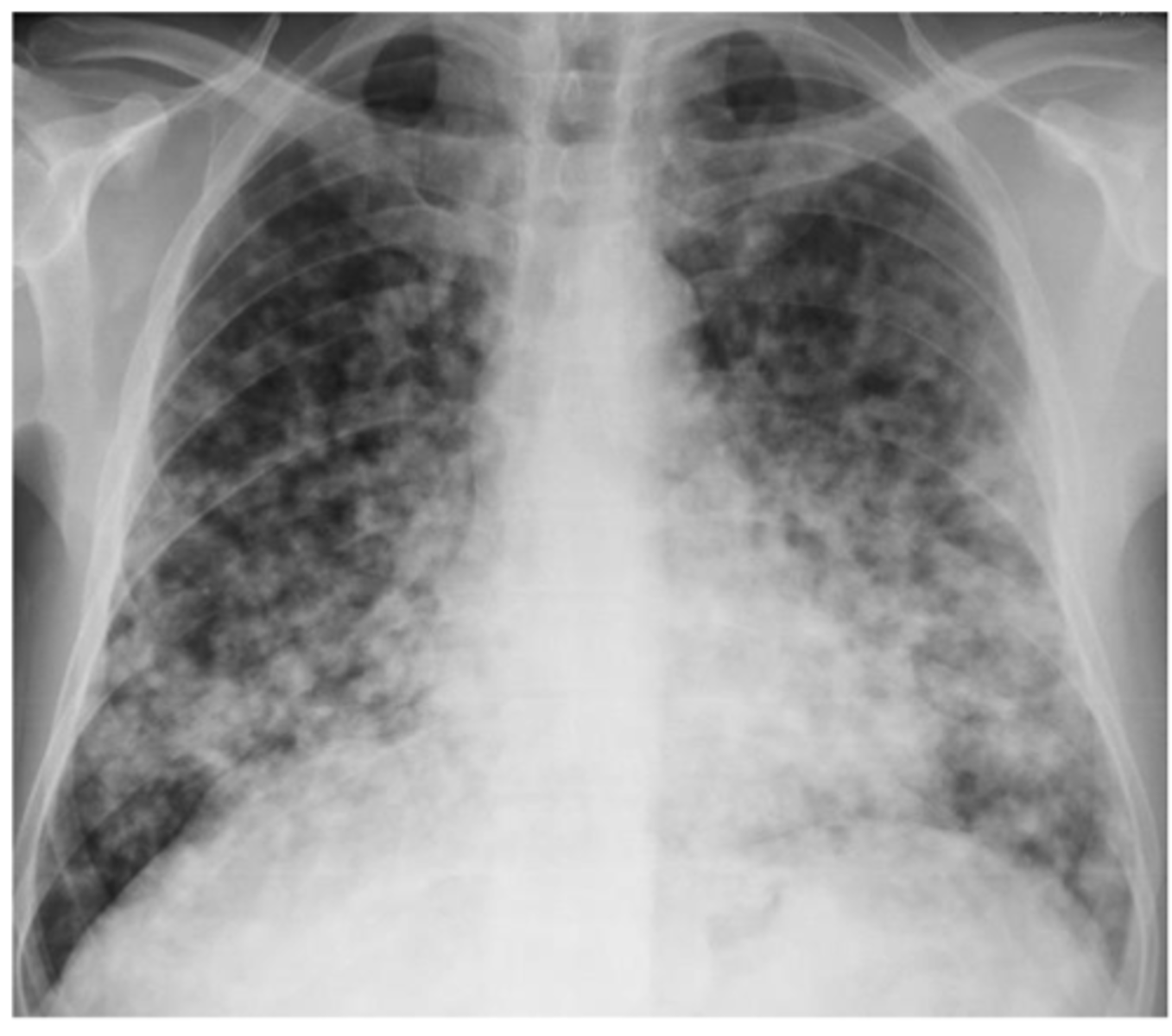
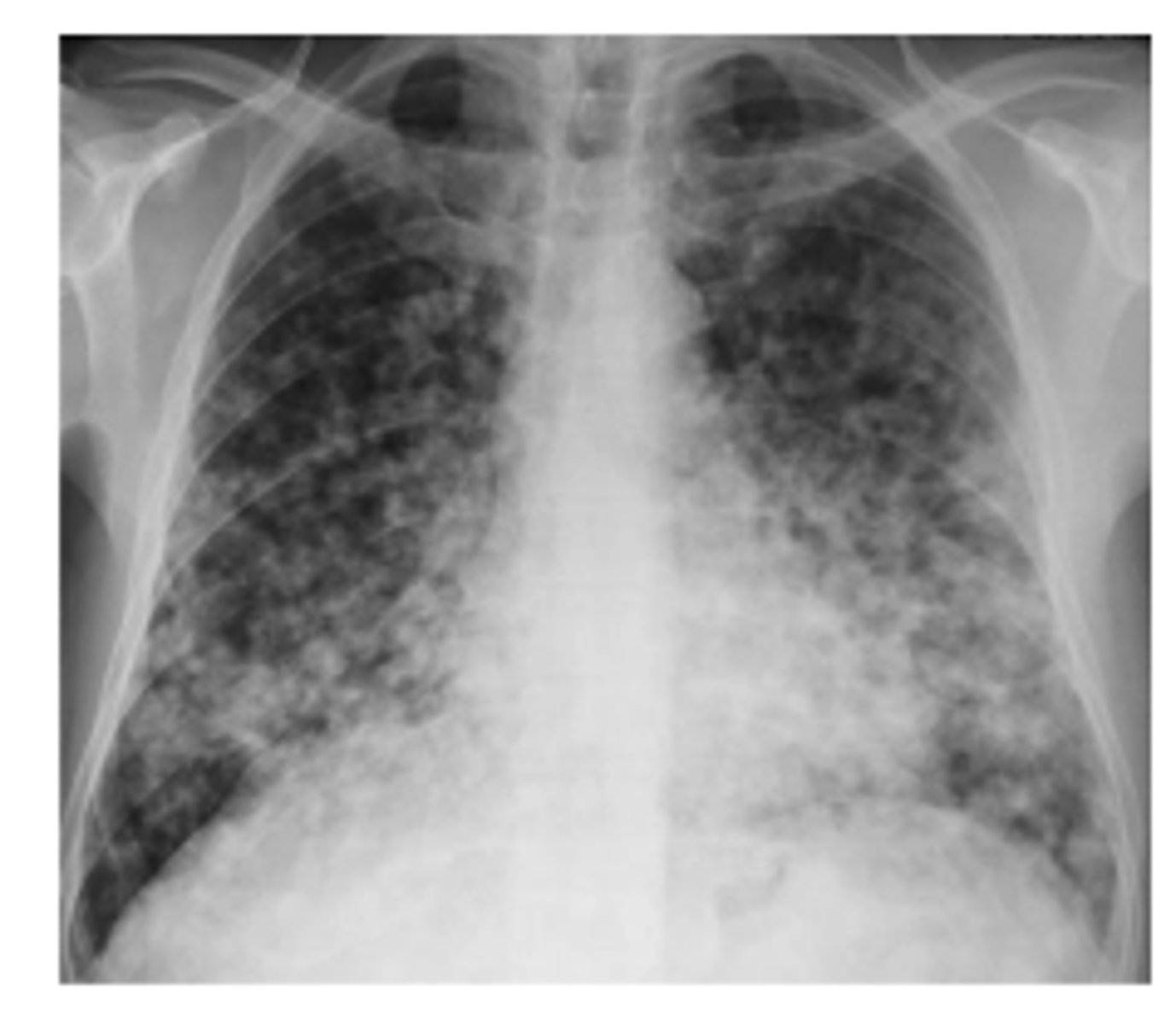
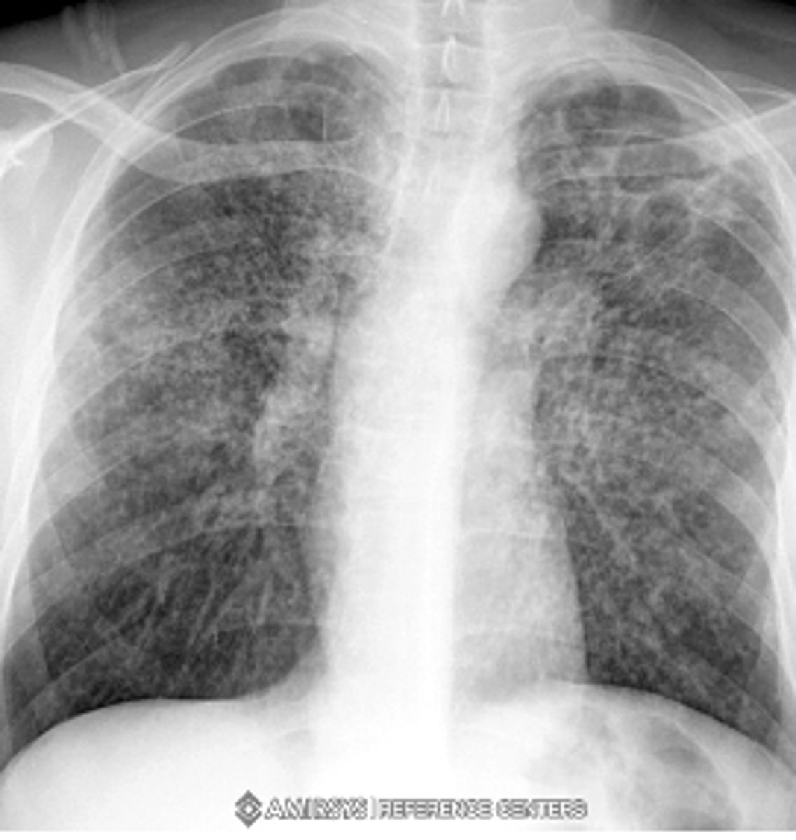
New cards

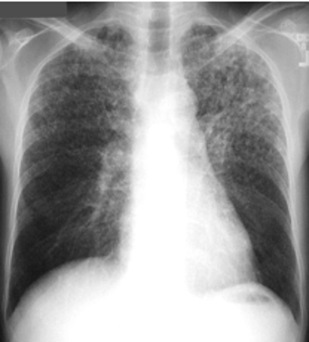
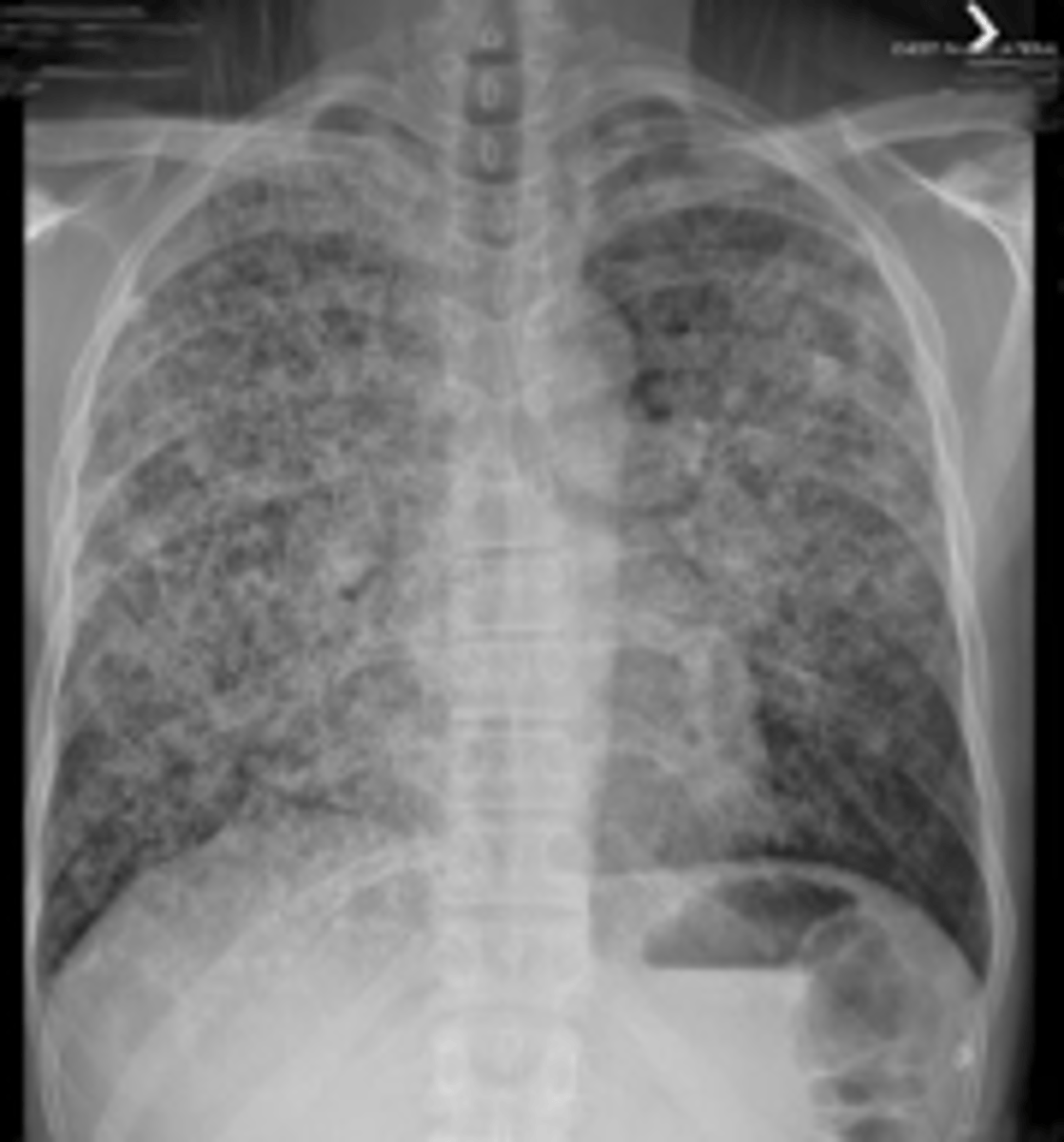
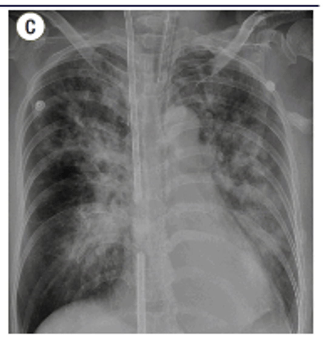
What is the pattern on the image of the back of the card?

Cystic PJP - PA chest radiograph shows diffuse bilateral reticulonodular interstitial infiltrates

<p>Cystic PJP - PA chest radiograph shows diffuse bilateral reticulonodular interstitial infiltrates</p>
26
New cards

What is aspiration pneumonia? What x-ray finding will be seen?

Gastric contents or other bodily fluids can be aspirated into the lungs

patchy, alveolar infiltrate

<p>Gastric contents or other bodily fluids can be aspirated into the lungs</p><p>patchy, alveolar infiltrate</p>
27
New cards

Common x-ray finding of primary active TB

oEnlargement of hilar or mediastinal lymph nodes is present about 95% of the time in primary active TB.

oCalcification usually occurs at the site of infection or in the node or both.

<p>oEnlargement of hilar or mediastinal lymph nodes is present about 95% of the time in primary active TB.</p><p>oCalcification usually occurs at the site of infection or in the node or both.</p>
28
New cards

Common x-ray finding of military TB. What makes military TB particularly deadly?

diffuse bilateral infiltrates with very small nodules

-late phase of TB: potentially fatal form of the disseminated disease due to the hematogenous spread of tubercle bacilli to the lungs, and other organs.

<p>diffuse bilateral infiltrates with very small nodules</p><p>-late phase of TB: potentially fatal form of the disseminated disease due to the hematogenous spread of tubercle bacilli to the lungs, and other organs.</p>
29
New cards

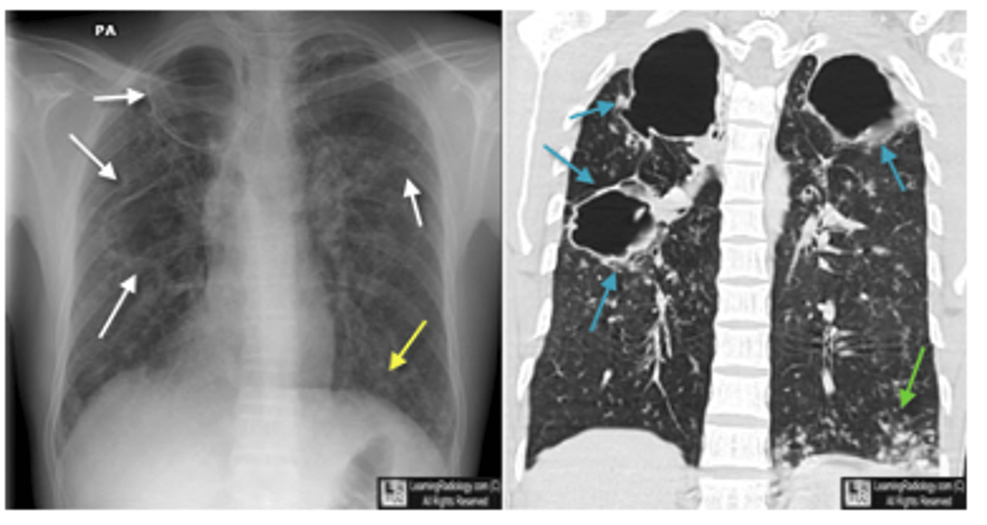
What is cavitary TB? What will X-ray look like?

oCavitary TB is also a late phase of TB.

oHealing leads to fibrososis and calcifications which may pull the hilum up on the affected side.

X-ray will have dark spots indicating holes/cavities

<p>oCavitary TB is also a late phase of TB.</p><p>oHealing leads to fibrososis and calcifications which may pull the hilum up on the affected side.</p><p>X-ray will have dark spots indicating holes/cavities</p>
30
New cards

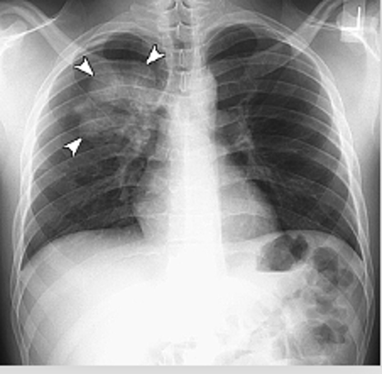
What are the key differences between ghon and ranke complexes?

Key Differences:

Stage of Disease:

1. Ghon complex: Represents the active or primary stage of TB infection.

2. Ranke complex: Indicates a healed or inactive stage of TB.

Calcification:

1. Ghon complex: May or may not be calcified.

2. Ranke complex: Is fully calcified.

Clinical Significance:

1. Ghon complex: Shows an active or recently acquired TB infection.

2. Ranke complex: Suggests the patient has had TB in the past, and the infection has resolved.

31
New cards

ID Ghon and Ranke complexes on xray

There is a combination of a calcified peripheral granuloma (black arrow) and a calcified hilar lymph node (white arrow) on the same side. Several other, small calcified granulomas are seen in the right mid-lung field - ranke complex

ranke typically more dense

<p>There is a combination of a calcified peripheral granuloma (black arrow) and a calcified hilar lymph node (white arrow) on the same side. Several other, small calcified granulomas are seen in the right mid-lung field - ranke complex</p><p>ranke typically more dense</p>
32
New cards

What would a lung abscess look like on x-ray?

oMay appear solid or cavitary with an air fluid level and a thick wall.

<p>oMay appear solid or cavitary with an air fluid level and a thick wall.</p>
33
New cards

What is ARDS and what is the etiology?

oCapillaries are "leaky" and fluid shifts into the lungs from the blood supply through the capillaries - alveolar infiltrates.

oInitial insult to the alveoli usually caused by either alveolar or vascular damage.

oIncreases the permeability of the capillaries surrounding the alveoli and causes protein-rich fluid to fill the alveolar sacs.

34
New cards

ARDS x-ray appearance

"white out appearance" sometimes with sparing of costophrenic angles

<p>"white out appearance" sometimes with sparing of costophrenic angles</p>
35
New cards

What are pulmonary nodules? How do they appear on x-ray?

Small, round opacities within the lung parenchyma.CXR Findings:Solitary or multiple nodules. Well-defined or irregular borders.

<p>Small, round opacities within the lung parenchyma.CXR Findings:Solitary or multiple nodules. Well-defined or irregular borders.</p>
36
New cards

Benign vs malignant pulm nodules

oBenign Nodule

Less than 3 cm

Calcified

Round, well-defined borders

Solid - no cavity

oMalignant Nodule

Greater than 3 cm

Not calcified

Irregular shape, poorly defined borders, ground glass

Cavitated

Growth in past 2 yrs

37
New cards

CT scan indications for lung mass

-New or larger lesion when compared to previous films.

-size greater than 3 cm in patient less than 35 yrs old.

-Any size in patient greater than 35 yrs old.

-Hilar enlargement

38
New cards

Adenocarcinomas

are the most common type of lung CA and usually occur peripherally.

<p>are the most common type of lung CA and usually occur peripherally.</p>
39
New cards

Squamous cell carcinomas

usually occur centrally and tend to cavitate.

<p>usually occur centrally and tend to cavitate.</p>
40
New cards

Small cell carcinomas

often present as an indistinct hilar or mediastinal mass. (pic: R hilar and paratracheal region)

<p>often present as an indistinct hilar or mediastinal mass. (pic: R hilar and paratracheal region)</p>
41
New cards

Non-small cell carcinomas

can occur peripherally or centrally and grow rapidly with early metastases - poor prognosis.

<p>can occur peripherally or centrally and grow rapidly with early metastases - poor prognosis.</p>
42
New cards

Pancoast tumor

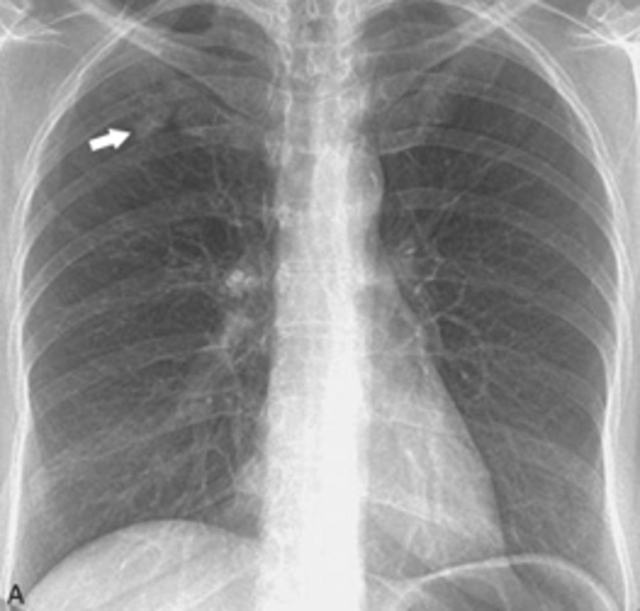
-Arise in the superior sulcus of the lung as an apical soft tissue mass.

-Frequently invade the chest wall and the brachial plexus. Rib destruction common.

-Symptoms may include shoulder, arm and hand pain or weakness – T1 distribution most commonly.

<p>-Arise in the superior sulcus of the lung as an apical soft tissue mass.</p><p>-Frequently invade the chest wall and the brachial plexus. Rib destruction common.</p><p>-Symptoms may include shoulder, arm and hand pain or weakness – T1 distribution most commonly.</p>
43
New cards

What will metastatic dz look like on radiograph?

Nodular pattern resulting from multiple small metastases to the lung from a colonic adenocarcinoma

<p>Nodular pattern resulting from multiple small metastases to the lung from a colonic adenocarcinoma</p>