1/10
Looks like no tags are added yet.
Name | Mastery | Learn | Test | Matching | Spaced | Call with Kai |
|---|
No analytics yet
Send a link to your students to track their progress
Life cycle

Malaria replication
Sexual multiplication: Mosquito (starts in the human and finishes in the mosquito)
Two types of Asexual multiplication:
Sporogony: Mosquito → Sporozoites (infective)
Schizogony: Human → Schizonts (Merozoites)
- Liver: Exo-erythrocytic or pre-erythrocytic
- Red blood cells: Erythrocytic
Exo-erythrocytic or pre-erythrocytic schizogony (liver asexual cycle)
After inoculation of sporozoites (mosquito) dermis → blood in ~30 min → transverse hepatic sinusoids → invade hepatocytes
Immediate multiplication to Schizonts containing Merozoites
If enter a latent phase → Hipnozoites (only P. vivax and P. ovale)
Mature schizont → budding of parasite-filled vesicles (Merosomes) → merozoites into liver sinusoids → in plasma ~15 min → invade RBC
Hipnozoite (weeks, months) → Schizonts → Relapse
Erythrocytic schizogony (RBC asexual cycle)
RBC:
Merozoites → invade RBCs ~30 seconds → Trophozoite
Immature trophozoites (ring form) → mature schizonts → rupture releasing merozoites → RBC invasion cycle
Some parasites develop into sexual erythrocytic stages (Gametocytes)
Gametocytes, male (microgametocytes) and female (macrogametocytes), are ingested by an Anopheles mosquito → zygote → ookinete (mosquito stage)

Erythrocytes developmental stages of trophozoites
Ring trophozoite
Ameboid trophozoite / Band trophozoite (P.malariae, P. knowlesi)
Immature schizont (nucleus replication)
Mature schizont (8-24 merozoites)
Gametocytes

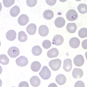
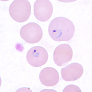
Rings of P. falciparum in a thin blood smear

Ring-form trophozoites of P. falciparum in a thin blood smear, exhibiting Maurer's clefts.

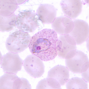
Trophozoite of P. ovale in a thin blood smear.
Note the fimbriation and Schüffner's dots.

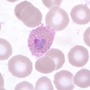
Trophozoite of P. vivax in a thin blood smear.
Note the amoeboid appearance, Schüffner's dots and enlarged infected RBCs.

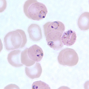
Ring-form trophozoites of P. vivax in a thin blood smear.
Note enlarged infected RBCs

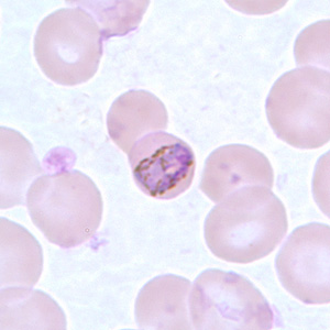
Band-form trophozoite of P. malariae in a thin blood smear.