1/38
Looks like no tags are added yet.
Name | Mastery | Learn | Test | Matching | Spaced | Call with Kai |
|---|
No study sessions yet.
1. Color
2. Borders
3. Diameter/size (in mm/cm)
4. Texture
5. Elevation/Depression (be specific)
6. Location (be specific)
Cardinal Bird Describes The Easy Lesion
How do we describe soft tissue lesions?
1. Location
2. Borders
3. Internal Structure
4. Surrounding Structures
5. Diameter
Love Bone, It's So Delightful
How do we describe bony lesions?
they're both flat lesions with a change of shape or color
macule: any change in shape or color that is < 1cm
patch: macule > 1cm
Differentiate macule and patch
vesicle: < or equal to 0.5cm
bulla: > 0.5cm
What are the names for fluid filled blisters? Differentiate them
raised solid lesions
papule: < or equal to 0.5cm
nodule: > 0.5cm (sessile vs pedunculated)
Differentiate papule and nodule
tumor
non-specific for any large, solid mass
pustule
pus-filled elevation of any size
plaque
slightly elevated lesion with large area
keratosis
white, raised lesion caused by an increase in keratin
large, solid swelling
define mass
sessile
dome shaped nodule
pedunculated
she likes this word so it'll be on the exam!
mushroom shaped nodule
atrophy
thinning of the mucosa
erosion
depressed lesion, incomplete loss of mucosa
fissure
linear cleavage of mucosa
ulcer
complete loss of mucosa
scar
result of injury causing mucosal atrophy or hypertrophy with increased underlying collagen
red
eryhthematous
even ; same throughout
homogenous
uneven
variegated
blending with normal tissue
ill-defined/diffuse
wrinkled
corrugated
firm
indurated
fluid-filled
fluctant
ground glass
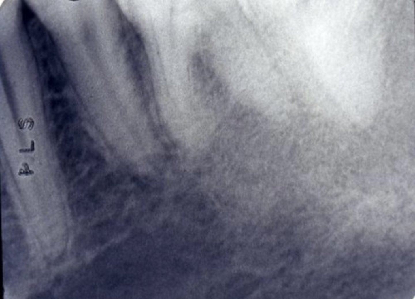
What type of trabecular pattern is exhibited in this radiograph?

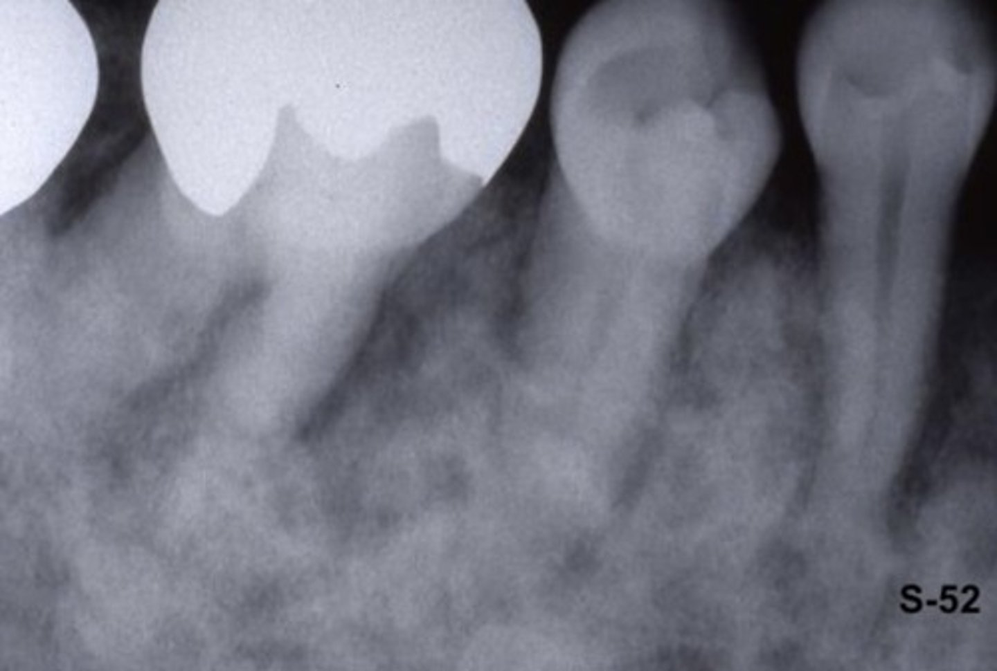
cotton wool
What type of trabecular pattern is exhibited in this radiograph?

checks for periodontal abscesses, sinus tract & vertical fractures
How is probing used for diagnostic testing?
checking for vertical fracture
How is transillumination/bite stick used for diagnostic testing?

checks vestibule for swelling
How is palpitation used for diagnostic testing?

tap on teeth to check for PDL inflammation
How is percussion used for diagnostic testing?

only used to distinguish maxillary from mandibular - same side
How is selective anesthesia used for diagnostic testing?
use gotta percha to locate tooth
How is the sinus tract used for diagnostic testing?
uses cold, sometimes hot
- tests for vital pulp
- must compare results to other teeth
more accurate than electric pulp test
How are thermal tests used for diagnostic testing?
CBCT; PAX (no diagnosis based on x-rays alone)
How are radiographs used for diagnostic testing?
- tests for vital pulp
- must compare results to other teeth
- not as accurate as cold test
not used if open apex
How is the electric pulp test used for diagnostic testing?

percussion sensitivity
How is symptomatic apical periodontitis diagnosed?
periapical radiolucent lesion
How is asymptomatic apical periodontitis diagnosed?
diagnosed with swelling (localized or generalized)
How is acute apical abscess diagnosed?
sinus tract + radiolucent lesion
How is chronic apical abscess diagnosed?