cards 1 HTN HLD CAD

0.0(0)
studied byStudied by 2 people
full-widthCall with Kai
GameKnowt Play
learnLearn
examPractice Test
spaced repetitionSpaced Repetition
heart puzzleMatch
flashcardsFlashcards
Card Sorting

1/94

encourage image

There's no tags or description

Looks like no tags are added yet.

Study Analytics
Name
Mastery
Learn
Test
Matching
Spaced

No study sessions yet.

95 Terms

1
New cards

cyanosis

2
New cards

clubbing

3
New cards

edema

4
New cards

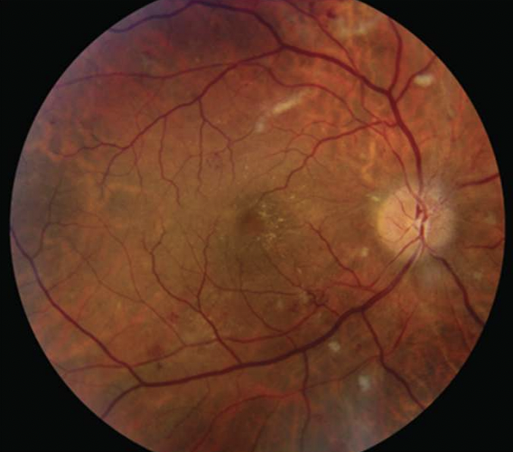
papilledema

5
New cards

cotton wool spots

6
New cards

xanthomas

7
New cards

xanthelasma

8
New cards

S1 sound

lub

9
New cards

S1 actions

mitral and tricuspid valves close

aortic and pulmonic valves open

10
New cards

S2 sound

dub

11
New cards

S3 sound meaning

CHF, ventricular gallop

12
New cards

S2 actions

aortic and pulmonic valves close

mitral and tricuspid valves open

13
New cards

S4 action

aortic valve closes

14
New cards

S4 pathology

acute MI, LV stiff, severe HTN

15
New cards

aortic valve auscultation

2nd R ICS

16
New cards

pulmonic valve auscultation

2nd L ICS and 3rd R ICS

17
New cards

tricuspid valve auscultation

4-5th L ICS sternal border

18
New cards

mitral valve auscultation

5th L ICS at apex at MCL

19
New cards

narrow pulse pressure pathologies

shock and hypotension

20
New cards

widened pulse pressure pathologies

hypertension, severe aortic regurg, arteriovenous shunting, elderly

21
New cards

primary HTN

HTN d/t unidentified cause

22
New cards

primary HTN RF

fhx, smoking, EtOH, obesity

23
New cards

secondary HTN

HTN d/t identifiable cause

24
New cards

secondary HTN causes

medications, endocrine, neuro, kidneys, cardiac

25
New cards

HTN sx

HA, blurred vision, ā€œheartbeat in my ear,ā€ fatigue, flushing

26
New cards

HTN PE

papilledema, cotton wool spots, retinopathy, displacement of PMI, renal artery bruit

27
New cards

HTN EKG

possible LVH

28
New cards

hypertensive urgency

no end organ damage

29
New cards

hypertensive emergency

acute end organ damage

30
New cards

hypertensive emergency management

decrease MAP by no more than 25% w/in first hour and titrate meds to 160/110 w/in 2-6h

31
New cards

hypertensive emergency sx

CP, HA, blurred vision, palpitations, dizziness

32
New cards

hypertensive emergency PE

papilledema, AV nicking, cotton wool spots, S4, displaced PMI, heaves

33
New cards

hypertensive emergency RF

smoking, CAD

34
New cards

orthostatic hypotension

decrease in SBP of 20 or DBP of 10 w/in 1-2 min of moving supine to standing

35
New cards

meds causing orthostatic hypotension

thiazides, loop diuretics, alpha blockers, CCB, hydralazine

36
New cards

orthostatic hypotension non med causes

dehydration, GI blood loss, neurological illness

37
New cards

orthostatic hypotension sx

dizziness, weakness, fatigue, near syncope, syncope

38
New cards

hyperlipidemia hx/RF

fhx, smoking, diabetes, EtOH, thyroid

39
New cards

hyperlipidemia PE

xanthoma, xanthelasma, abdominal obesity

40
New cards

CP skin do not miss dx

herpes zoster

41
New cards

CP MSK do not miss dx

costochondritis, pectoral strain, rib fracture, cervical/thoracic spondylosis

42
New cards

CP esophageal do not miss dx

spasm, rupture, GERD, esophagitis

43
New cards

CP GI do not miss dx

PUD, GB disease, pancreatitis

44
New cards

CP pulmonary do not miss dx

pleural effusion, pneumonia, neoplasm, viral infection, PE

45
New cards

CP cards do not miss dx

ACS, MI, pericarditis, myocarditis, stable angina, arrhythmias

46
New cards

CP vascular do not miss dx

aortic dissection

47
New cards

angina

clinical syndrome with chest discomfort caused by transient ischemia

48
New cards

coronary artery disease

atherosclerotic plaque buildup in coronary arteries leading to narrowing or blockage that reduces blood flow to heart muscle

49
New cards

stable angina

chest discomfort or pressure that occurs predictably with exertion or emotional distress and is relieved with rest or nitro

50
New cards

acute coronary syndrome

medical emergency that refers to a spectrum of conditions caused by sudden, reduced blood flow to the heart muscle due to partial or complete blockage of a coronary artery

51
New cards

stable angina diagnostic

plain treadmill stress test

52
New cards

unstable angina

ischemia without cardiac muscle death (no elevated trop)

53
New cards

NSTEMI

partial blockage with myocardial necrosis

54
New cards

NSTEMI diagnostics

elevated trop, no ST elevation on EKG

55
New cards

STEMI

complete blockage with myocardial necrosis

56
New cards

STEMI diagnostics

elevated trop, ST elevation on EKG in 2-3 leads

57
New cards

stable angina HPI

gradual, dull aching/pressure/tightness/squeezing, intermittent, subsides in 5-20 min, lasts <20 min,

58
New cards

stable angina location

substernal, left precordium, radiation to throat, arm, or jaw

59
New cards

stable angina exacerbation cause

activity, cold, anxiety

60
New cards

stable angina alleviating factors

nitro, rest

61
New cards

stable angina associated sx

nausea, SOB

62
New cards

unstable angina HPI

sudden and severe onset, dull aching/pressure/tightness/squeezing, constant and severe, lasts >20 min

63
New cards

unstable angina location

substernal, left precordium, radiates to throat, arm, or jaw

64
New cards

unstable angina exacerbating factors

anything, occurs at rest, with minimal exertion, or progressively worsens

65
New cards

unstable angina alleviating factors

none - not relieved with rest or nitro

66
New cards

unstable angina associated sx

nausea, vomiting, SOB, diaphoresis

67
New cards

angina relevant pmhx/fhx/RF

DM, HTN, HLD, fhx CAD, smoking, EtOH, diet, exercise

68
New cards

CAD PE

S4, murmur, xanthomas or xanthelasma (HLD), irregular HR/arrhythmia, HTN, diabetic retinopathy, levine’s sign

69
New cards

levine’s sign

patient clenches their fist over their chest to describe the sensation of chest pain

70
New cards

acute coronary syndrome

unstable angina and NSTEMI

71
New cards

ACS HPI

unstable angina sx

72
New cards

ACS management

inpatient/ER, trop, EKG monitoring

73
New cards

STEMI HPI

unstable angina sx

74
New cards

STEMI management

cath lab within 90 min (ā€œtime is tissueā€)

75
New cards

STEMI meds tx

plavix, heparin, beta blocker, statin

76
New cards

anterior STEMI artery

LAD

77
New cards

anterior STEMI EKG ST elevation

V1-V4

78
New cards

anterior STEMI EKG ST depression

inferior leads II, III, aVF

79
New cards

anteroseptal STEMI artery

proximal LAD

80
New cards

anteroseptal STEMI EKG ST elevation

V1-V3 maybe V4

81
New cards

anteroseptal STEMI EKG ST depression

inferior leads II, III, aVF

82
New cards

anterolateral STEMI artery

LAD or left circumflex

83
New cards

anterolateral STEMI EKG ST elevation

V3-V6, I, aVL

84
New cards

anterolateral STEMI EKG ST depression

inferior leads II, III, aVF

85
New cards

lateral STEMI artery

left circumflex

86
New cards

lateral STEMI EKG ST elevation

I, aVL, V5-V6

87
New cards

lateral STEMI EKG ST depression

inferior leads II, III, aVF

88
New cards

inferior STEMI artery

right coronary artery (80%) or left circumflex (20%)

89
New cards

inferior STEMI EKG ST elevation

II, III, aVF

90
New cards

inferior STEMI EKG ST depression

lateral leads I, aVL

sometimes anterior leads V1-V3

91
New cards

posterior STEMI artery

right coronary artery posterior descending or left circumflex artery

92
New cards

posterior STEMI EKG ST elevation

posterior leads V7-V9

93
New cards

posterior STEMI EKG ST depression

V1-V3

94
New cards

unstable angina tx

antiplatelet/anticoagulation

95
New cards

NSTEMI tx

antiplatelet/anticoagulation, cardiac cath

Explore top flashcards