1/104
Looks like no tags are added yet.
Name | Mastery | Learn | Test | Matching | Spaced | Call with Kai |
|---|
No study sessions yet.

1
greater trochanter

2
femoral neck

3
Femoral head

4
acetabulum

5
intertrochanter Crest

6
intertrochanter Crest

7
Lesser trochanter

A
Acetabulum

B
Femoral head

C
Intertrochanter crest

D
Femoral neck

E
Greater trochanter

F
Shaft/body of femur

G
Pubic symphysis

H
Lesser trochanter

I
fovea Capitis

A
Ala/wing of ilium

B
Acetabulum

C
Femoral head

D
femoral neck

E
Greater trochanter

F
Body of femur

G
Lesser trochanter

H
Body of ischium

I
Isvhial tuberosity

J
Obturator foramen

K
Superior ramus of pubis

L
Inferior ramus of pubis

M
Pubic symphysis

N
Pelvic brim

O
Ischial spine

A
right acebulutum

B
Right femoral head

C
Right Femoral neck

D
Right greater trochanter

E
Lesser trochanter

F
Shaft of right femur

G
right ischial tuberosity

A
Femoral neck

B
Left Greater trochanter

C
Left lesser trochanter

D
Iscial tuberosuty

E
Left femoral heas

f
Abetalubum

Projection?
Ap oblique modified cleaves

Identify projection
Ap hip

this position is used to observe what anatomy
Greater trochanter in profile laterally, femoral neck wo foreshortening

Projection
Ap axiolatetal

what is the patient position
supine, unaffected limb raised

A
Right iliac crest

B
Right ala

C
Right ASIS

D
acetabulum

E
right femoral head

F
right femoral neck

G
right greater trochanter

H
right lesser trochanter

I
right ischial tuberosity

J
right obturator foramen

K
inferior ramus of pubis

L
pubic symphysis

M
superior ramus of pubis

N
coccyx

O
left ischial body

P
pelvic brim

Q
ischial spine

R
sacrum

A
left iliac crest

B
ASIS

C
ischial body

D
ischial tuberosity

E
pubic symphysis

F
inferior ramus of pubis

G
superior ramus of pubis

H
ischial spine

I
acetabulum

J
femoral neck

K
greater trochanter

L
femoral head

M
ala/wing of ilum

What projection is this
AP Pelvis

Projection?
AP Pelvis

Projection?
AP Axial outlet projection of pelvis, taylor method

This position is used to
image what anatomy?
superior and inferior rami of pubis and ischeal ramus without foreshortening,

Projection?
AP Axial inlet projection of pelvis, bridgeman method

What anatomy is demonstrated
entire pelvic inlet for trauma assessment

Position of patient ?
LPO

Projection?
AP Oblique internal rotation

Method name ?
Judet

Patient position?
RPO

Projection?
AP OBlique external rotation

Method name ?
Judet

Projection ?
AP OBlique modeified cleaves

Projection?
AP Axial coccyx

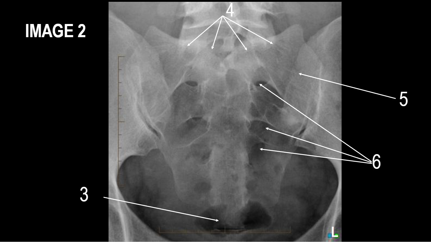
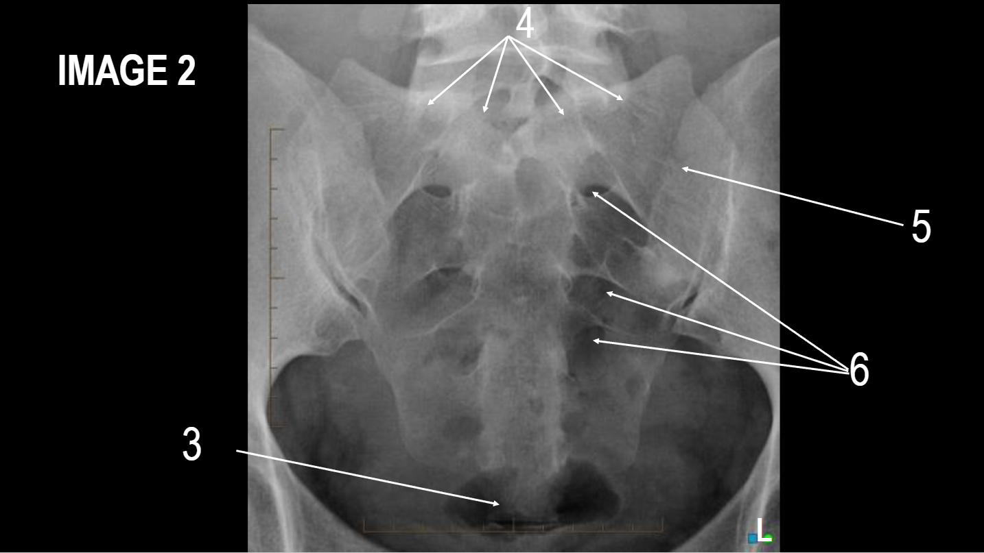
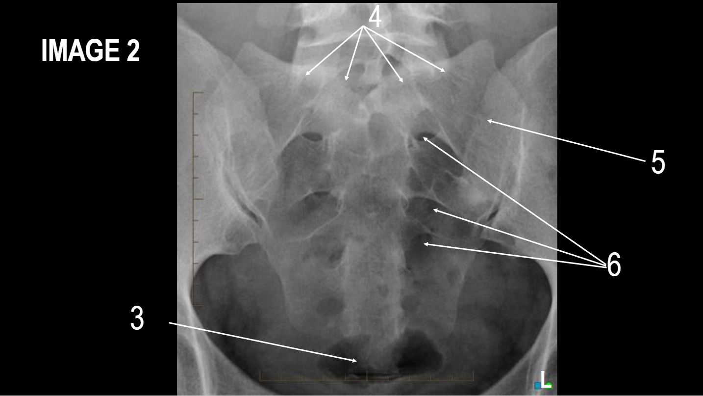
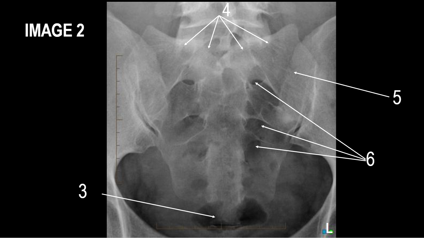
2
coccyx

3
apex of sacrum

4
sacral base

5
ala of sacrum

6
sacral foramina

7
median sacral crest