Lab 6 biology (animal support, locomotion, and external protection)

0.0(0)
studied byStudied by 0 people
0.0(0)
full-widthCall with Kai
GameKnowt Play
New
learnLearn
examPractice Test
spaced repetitionSpaced Repetition
heart puzzleMatch
flashcardsFlashcards
Card Sorting

1/43

flashcard set

Earn XP

Description and Tags

Latter half of lab 6

Study Analytics
Name
Mastery
Learn
Test
Matching
Spaced

No study sessions yet.

44 Terms

1
New cards

Fibers

muscle tissue cells that are capable of contraction and relaxation.

2
New cards

Integument

Protective outer covering that prevents inner tissues from being damaged.

3
New cards
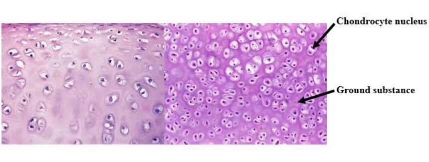
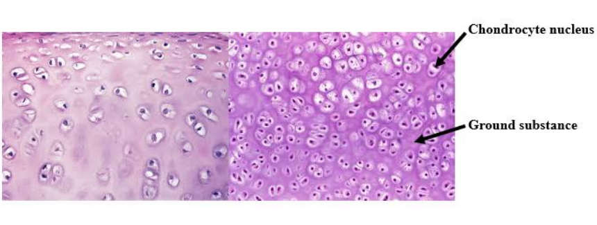
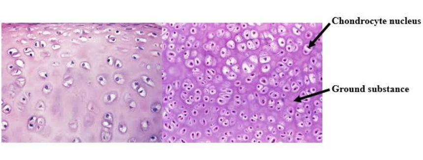
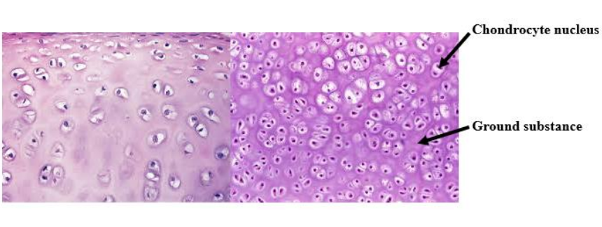
<p>Chondrocytes</p>

Chondrocytes

Dense connective tissue cells in cartilage.

<p>Dense connective tissue cells in cartilage.</p>
4
New cards
<p>Ground substance</p>

Ground substance

Rubbery protein-carbohydrate that suspends the chondrocytes in cartilage.

<p>Rubbery protein-carbohydrate that suspends the chondrocytes in cartilage.</p>
5
New cards
<p>Bone connective tissue</p>

Bone connective tissue

tissue found in the endoskeletons and teeth of vertebrate animals.

<p>tissue found in the endoskeletons and teeth of vertebrate animals.</p>
6
New cards
<p>Osteons</p>

Osteons

oval-shaped mineralized matrix surrounding a central cavity housing blood vessels and nerves.

<p>oval-shaped mineralized matrix surrounding a central cavity housing blood vessels and nerves.</p>
7
New cards
<p>Chaete</p>

Chaete

short spines of chitin that project laterally and ventrally from each body segment of a worm.

<p>short spines of chitin that project laterally and ventrally from each body segment of a worm.</p>
8
New cards
<p>circular muscle</p>

circular muscle

muscle directly beneath the epidermis of a worm

<p>muscle directly beneath the epidermis of a worm</p>
9
New cards
<p>Longitudinal muscle</p>

Longitudinal muscle

Muscle beneath the circular layer of a worm with a longitudinal arrangement.

<p>Muscle beneath the circular layer of a worm with a longitudinal arrangement.</p>
10
New cards

Endoskeletons

consist of hardened, fibrous skeletal elements embedded within soft tissues. found in sponges, corals, echinoderms, and chordates

11
New cards
<p>Fibers and spicules</p>

Fibers and spicules

What the endoskeleton of sponges are made of. consist of proteins, calcium, carbonate, and silica.

<p>What the endoskeleton of sponges are made of. consist of proteins, calcium, carbonate, and silica.</p>
12
New cards
<p>endoskeletal ossicles</p>

endoskeletal ossicles

calcified plates that lie beneath the epidermal layer of echinoderms

<p>calcified plates that lie beneath the epidermal layer of echinoderms</p>
13
New cards
<p>Notochord</p>

Notochord

an internal skeletal rod in chordates, that is the evolutionary pre-cursor of the vertebral column.

<p>an internal skeletal rod in chordates, that is the evolutionary pre-cursor of the vertebral column.</p>
14
New cards
<p>nerve cord</p>

nerve cord

tube on the top side of a chordate, develops into the central nervous system

<p>tube on the top side of a chordate, develops into the central nervous system</p>
15
New cards
<p>pharyngeal basket</p>

pharyngeal basket

a complex structure of the pharynx containing slits or pouches that function in feeding and respiration, filtering food from water and absorbing oxygen. (like gills)

<p>a complex structure of the pharynx containing slits or pouches that function in feeding and respiration, filtering food from water and absorbing oxygen. (like gills)</p>
16
New cards
<p>post-anal tail</p>

post-anal tail

a posterior elongation of the body that extends beyond the anus, containing muscle and skeletal elements

<p>a posterior elongation of the body that extends beyond the anus, containing muscle and skeletal elements</p>
17
New cards
<p>Axial skeleton</p>

Axial skeleton

endoskeleton division that consists of the cranium and the vertebral column

<p>endoskeleton division that consists of the cranium and the vertebral column</p>
18
New cards
<p>Appendicular skeleton</p>

Appendicular skeleton

Endoskeleton division that consists of pectoral girdle which supports the skeletal elements of the forelimbs, and the pelvic girdle which supports the skeletal elements of the hindlimbs

<p>Endoskeleton division that consists of pectoral girdle which supports the skeletal elements of the forelimbs, and the pelvic girdle which supports the skeletal elements of the hindlimbs</p>
19
New cards
<p>vertebral column (spine)</p>

vertebral column (spine)

notochord becomes segmented during development to form this column. it consists of segmented vertebrae

<p> notochord becomes segmented during development to form this column. it consists of segmented vertebrae</p>
20
New cards
<p>Trunk vertebrae</p>

Trunk vertebrae

Shorter ribs, bones that make up the upper section of the vertebral column

<p>Shorter ribs, bones that make up the upper section of the vertebral column</p>
21
New cards
<p>Caudal vertebrae</p>

Caudal vertebrae

longer ribs, bones that make up the lower section of the spinal column

<p>longer ribs, bones that make up the lower section of the spinal column</p>
22
New cards
<p>Pelvic girdle (synsacrum)</p>

Pelvic girdle (synsacrum)

a ring of bones that forms the lower part of the trunk and supports the weight of the upper body

<p>a ring of bones that forms the lower part of the trunk and supports the weight of the upper body</p>
23
New cards
<p>Pectoral girdle (clavical)</p>

Pectoral girdle (clavical)

the skeletal framework which provides attachment for the forelimbs or pectoral fins.

<p>the skeletal framework which provides attachment for the forelimbs or pectoral fins.</p>
24
New cards
<p>cervical vertebrae</p>

cervical vertebrae

highly mobile bones in the neck that support the head, protect the spinal cord, and facilitate head movement

<p>highly mobile bones in the neck that support the head, protect the spinal cord, and facilitate head movement</p>
25
New cards
<p>sacral vertebrae</p>

sacral vertebrae

There is a single one of these vertebra in salamanders and ancestral tetrapods. has a slender sacral rib.

<p>There is a single one of these vertebra in salamanders and ancestral tetrapods. has a slender sacral rib.</p>
26
New cards
<p>Humerus</p>

Humerus

the single, long bone of the upper arm that extends to the elbow.

<p>the single, long bone of the upper arm that extends to the elbow.</p>
27
New cards
<p>radius</p>

radius

one of the two main bones in the forearm, alongside the ulna. It extends from the elbow to the wrist on the thumb side

<p>one of the two main bones in the forearm, alongside the ulna. It extends from the elbow to the wrist on the thumb side</p>
28
New cards
<p>ulna</p>

ulna

the longer of the two bones in the forearm, located on the pinky finger side

<p>the longer of the two bones in the forearm, located on the pinky finger side</p>
29
New cards
<p>femur</p>

femur

bone located in the upper leg, generally very strong.

<p>bone located in the upper leg, generally very strong.</p>
30
New cards
<p>tibia</p>

tibia

a long, weight-bearing bone located in the lower leg.

<p>a long, weight-bearing bone located in the lower leg.</p>
31
New cards
<p>fibula</p>

fibula

slender bone located on the lateral (outside) side of the lower leg, parallel to the tibia.

<p>slender bone located on the lateral (outside) side of the lower leg, parallel to the tibia. </p>
32
New cards
<p>Urostyle</p>

Urostyle

an enlarged, firmly fused pelvic girdle, and caudal vertebrae that are fused into this long rod-shaped bone.

<p>an enlarged, firmly fused pelvic girdle, and caudal vertebrae that are fused into this long rod-shaped bone.</p>
33
New cards
<p>Carapace</p>

Carapace

dorsal part of turtle shell.

<p>dorsal part of turtle shell.</p>
34
New cards
<p>plastron</p>

plastron

ventral part of turtle shell

<p>ventral part of turtle shell</p>
35
New cards
<p>Thoriac vertebrae</p>

Thoriac vertebrae

vertebrae that support the ribs, on the dorsal section

<p>vertebrae that support the ribs, on the dorsal section</p>
36
New cards
<p>lumbar vertebrae</p>

lumbar vertebrae

vertebrae that do not support the ribs, in the lumbar region

<p>vertebrae that do not support the ribs, in the lumbar region</p>
37
New cards
<p>Sternum</p>

Sternum

a flat, elongated bone located in the center of the chest.

<p>a flat, elongated bone located in the center of the chest.</p>
38
New cards
<p>Thoracic vertebrae</p>

Thoracic vertebrae

Vertebrae that support ribs, there’s differing numbers depending on the species

<p>Vertebrae that support ribs, there’s differing numbers depending on the species</p>
39
New cards
<p>Skeletal muscle</p>

Skeletal muscle

muscle that is enervated by the voluntary portion of the nervous system and are the muscles that move animal body parts to accomplish locomotion

<p>muscle that is enervated by the voluntary portion of the nervous system and are the muscles that move animal body parts to accomplish locomotion</p>
40
New cards
<p>Smooth muscle</p>

Smooth muscle

muscle incorporated in the walls of internal organs, controlled by the autonomic nervous system, the involuntary portion of the nervous system

<p>muscle incorporated in the walls of internal organs, controlled by the autonomic nervous system, the involuntary portion of the nervous system</p>
41
New cards
<p>Cardiac muscle</p>

Cardiac muscle

This muscle is associated with blood propulsion.

<p>This muscle is associated with blood propulsion.</p>
42
New cards
<p>study this image</p>

study this image

be able to identify both longitudinal and circular muscles as well as epithelium (epithelial tissue)

<p>be able to identify both longitudinal and circular muscles as well as epithelium (epithelial tissue)</p>
43
New cards
<p>placoid scales</p>

placoid scales

Cartilaginous fish are covered in this type of scale.

<p>Cartilaginous fish are covered in this type of scale.</p>
44
New cards
<p>study this frog integument</p>

study this frog integument

Be able to identify the following: blood vessel, poison gland, chromatophores, mucus glands, stratum corneum, epidermis, and dermis.

<p>Be able to identify the following: blood vessel, poison gland, chromatophores, mucus glands, stratum corneum, epidermis, and dermis.</p>